Case of dental restoration by materials not permitted for use in medical practice
- Authors: Nikolaychuk E.A1,2, Iordanishvili A.K.1,2, Barinov E.K.3
-
Affiliations:
- International Academy of Ecology, Human and Nature Safety Sciences
- North-Western State Medical University named aft er I.I. Mechnikov
- Moscow State University of Medicine and Dentistry named aft er A.I. Evdokimov
- Issue: Vol 7, No 1 (2021)
- Pages: 48-50
- Section: Case reports
- Submitted: 28.10.2020
- Accepted: 02.12.2020
- Published: 02.04.2021
- URL: https://for-medex.ru/jour/article/view/338
- DOI: https://doi.org/10.17816/fm338
- ID: 338
Cite item
Full Text
Abstract
Introduction: In recent years, endodontic dental treatment associated with periodontal inflammation in the provision of emergency and planned dental care is not provided with the appropriate standard and quality. Clinical case: Clinical observation is done to a patient suffering from exacerbation of chronic periodontitis, who underwent restoration of 2.6 teeth with light-cured filling material 15 years ago, and intraroot pins of which are made of materials that are not approved for medical practice use. Conclusion: The use of inappropriate material in medical practice for tooth restoration gives the patient the right to seek for material and moral compensation for bodily harm.
Full Text
Обоснование
Актуальность
В структуре стоматологической заболеваемости пульпиты и периодонтиты по-прежнему стойко занимают второе и третье место соответственно после кариеса зубов. До сих пор сохраняется высокая распространённость неосложнённого кариеса (93,7%) у взрослого населения Российской Федерации, при этом потребность в лечении зубов по поводу неосложнённого кариеса на одного больного составляет 3,7±0,7 зуба, осложнённых форм — 1,8±0,2 зуба (пульпит — 1,1±0,3, периодонтит — 0,7±0,2), в удалении — 1,2±0,2 зуба [1].
Наиболее распространёнными причинами, обусловливающими обращаемость взрослых людей за неотложной стоматологической помощью, являются воспалительные заболевания периодонта зуба — острые и обострившиеся хронические периодонтиты [2]. В настоящее время при лечении периодонтита в 74,4% случаев используется методика, предусматривающая оптимизацию регенеративного процесса костной ткани в области верхушек корней зуба с использованием стерильной суспензии гидроокиси кальция. Лечение периодонтита в одно посещение выполнено в 6,02% случаев, за несколько посещений — в 14,5%, консервативно-хирургический метод лечения периодонтита применён в 5,1% случаев [3]. Вместе с этим необходимо отметить, что в последние годы эндодонтическое лечение зубов в связи с воспалением периодонта зуба при оказании неотложной и плановой стоматологической помощи не обеспечены соответствующим стандартом и качеством, в связи с чем клинический интерес представляет случай из собственной практики.
Цель исследования — проанализировать редкий случай ненадлежащего оказания медицинской помощи в стоматологической практике, когда реставрация зуба проводилась не разрешёнными к применению материалами.
ПРИМЕР ИЗ ПРАКТИКИ
Мужчина Е., 34 года, обратился за неотложной стоматологической помощью в стоматологический кабинет одного из ведомственных медицинских учреждений. Пациент жаловался на постоянную ноющую боль в области верхней челюсти слева, усиливающуюся при накусывании на зуб 2.6. Из анамнеза установлено, что 15 лет назад во время прохождения военной службы в одной из воинских частей, дислоцирующихся на территории Архангельской области, он обращался к врачу-стоматологу воинской части для восстановления коронковой части зуба 2.6, который был разрушен кариозным процессом. Зуб 2.6 с помощью штифтов был восстановлен световым композиционным материалом.
При осмотре полости рта выявлено, что коронковая часть зуба 2.6 выполнена полностью из композиционного материала, слизистая оболочка в области переходной складки на уровне зуба 2.6 гиперемирована, отёчна, болезненна при пальпации. Перкуссия зуба 2.6 резко болезненна. Пациент направлен на рентгеновское обследование.
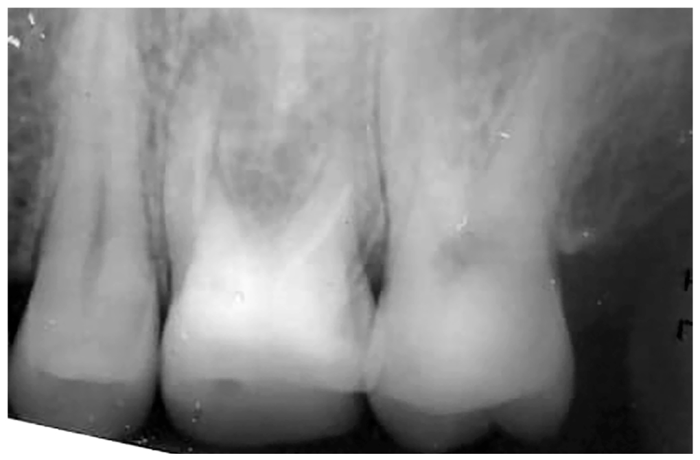
После выполнения внутриротовой рентгенографии установлено, что коронковая часть зуба 2.6 разрушена и восполнена малоконтрастным пломбировочным материалом. Нёбный канал 2.6 запломбирован, дистальный щёчный канал 2.6 обтурирован наполовину, мезиально-щёчный канал корня свободен от пломбировочного материала. В области верхушки мезиально-щёчного корня зуба 2.6 отмечалось разрежение костной ткани с нечёткими контурами диаметром до 4 мм. Внутрикорневые штифты не определяются (рис. 1).
Рис. 1. Пациент Е., 34 года: внутриротовая рентгенограмма зуба 2.6.
После клинико-рентгенологического обследования выставлен диагноз обострившегося хронического периодонтита зуба 2.6. В качестве лечебного мероприятия пациенту была показана операция по удалению зуба.
После местного обезболивания и наложения зубных щипцов была удалена коронковая часть зуба 2.6, восстановленная композиционным материалом с выстоящими из него внутрикорневыми штифтами, которые были выполнены из деревянной зубочистки (рис. 2). Несмотря на 15-летний срок с момента установки в каналы корней зуба 2.6, деревянная зубочистка в цвете не изменилась и была прочной. Послеоперационное течение не имело осложнений, пациент Е. направлен на восстановление зуба 2.6 с помощью зубной коронки на дентальном имплантате.
Рис. 2. Пациент Е., 34 года: реставрация зуба 2.6 из композиционного материала с внутрикорневыми штифтами, выполненными из деревянной зубочистки.
ЗАКЛЮЧЕНИЕ
Представленный клинический случай интересен тем, что демонстрирует использование врачом-стоматологом для реставрации зуба материала, не предназначенного для использования в медицинской практике, что оставляет за пациентом право обращения за возмещением ему материальной и моральной компенсации в связи с причинением вреда здоровью.
About the authors
Evgeny A Nikolaychuk
International Academy of Ecology, Human and Nature Safety Sciences; North-Western State Medical University named aft er I.I. Mechnikov
Author for correspondence.
Email: nikolaychuk@mail.ru
ORCID iD: 0000-0002-7679-2011
MD
Russian Federation, Saint-PetersburgAndrei K. Iordanishvili
International Academy of Ecology, Human and Nature Safety Sciences; North-Western State Medical University named aft er I.I. Mechnikov
Email: professoraki@mail.ru
ORCID iD: 0000-0003-0052-3277
SPIN-code: 6752-6698
Dr. Sci. (Med), Prof.
Russian Federation, Saint-PetersburgEvgeny Kh. Barinov
Moscow State University of Medicine and Dentistry named aft er A.I. Evdokimov
Email: ev.barinov@mail.ru
ORCID iD: 0000-0003-4236-4219
SPIN-code: 2112-4568
Dr. Sci. (Med), Prof.
Russian Federation, MoscowReferences
- Iordanishvili AK. Clinical orthopedic dentistry. Saint Petersburg: MedPress-inform; 2009.248 р.
- Iordanishvili AK. Surgical treatment of periodontitis and jaw cysts. Saint Petersburg: Nordmedizdat; 2000. 220 p.
- Iordanishvili AK, Salmanov IB. Endodontics: quality and effectiveness of treatment. Saint Petersburg: Chelovek; 2016. 136 p.
Supplementary files






