Postmortem characteristics of drowning death in freshwater: a systematic review
- Authors: Aflanie I.1, Suharto G.M.1, Nurikhwan P.W.1
-
Affiliations:
- Universitas Lambung Mangkurat
- Issue: Vol 10, No 2 (2024)
- Pages: 220-228
- Section: Systematic reviews
- Submitted: 17.01.2024
- Accepted: 22.04.2024
- Published: 07.06.2024
- URL: https://for-medex.ru/jour/article/view/16113
- DOI: https://doi.org/10.17816/fm16113
- ID: 16113
Cite item
Abstract
BACKGROUND: Drowning is the third leading cause of death by unintentional injury, accounting for 7% of all injury-related deaths worldwide. According to the latest World Health Organization Global Health Estimates, 236,000 people died from drowning in 2019.
AIM: This systematic review aimed to examine the clinical, laboratory, and other postmortem characteristics associated with death from drowning in freshwater areas.
MATERIALS AND METHODS: A systematic search of PubMed, Epistemonikos, and Cochrane Library databases was performed with no restrictions to find relevant articles. After the removal of duplicates, articles were reviewed, and information on the clinical, laboratory, and other postmortem characteristics of freshwater drowning deaths was extracted.
RESULTS: Of the 493 articles, 73 papers were considered relevant for full-text review. Of these, 22 articles met the inclusion criteria for the review. Most drowning deaths occurred in freshwater. Victims were males, with a male-to-female ratio of 8:3. External and internal clinical characteristics that are widely reported included signs of asphyxia such as cyanosis of the lips and bilateral fingernails, immersion signs such as washerwoman’s hand, pink teeth, Neil’s sign, Svechnikov’s sign, Wydler’s sign, and debris in the airways, and typical drowning signs such as froth in the airway, emphysema aquosum, and Paltauf spot.
CONCLUSION: The results of this study suggest that the presence of signs of asphyxia, immersion signs, and typical drowning signs such as froth in the airway, emphysema aquosum, and Paltauf spots were associated with drowning deaths in freshwater.
Keywords
Full Text
Background
Drowning is the process of experiencing respiratory impairments from submersion/immersion in liquid and is essentially a death by asphyxia [1]. Complete submersion is unnecessary for drowning, and submersion of only the nose and mouth for a sufficient period can result in death. According to the latest World Health Organization Global Health Estimates, 236,000 people died from drowning in 2019. Drowning is the third leading cause of unintentional injury death, accounting for 7% of all injury-related deaths worldwide [2].
Drowning deaths often occur during water recreational activities such as swimming, bathing, and boating, as well as in motor vehicle accidents. Suicide is another common cause of drowning and is often related to psychiatric illness. In addition, diseases such as epilepsy may play a role in drowning, and alcohol and drugs are often factors [3].
Drowning-related mortality rates are higher in low-income countries. In high-income countries, drowning often occurs in swimming pools, whereas in low-middle-income countries, it is more common in natural bodies of water such as ponds, ditches, rivers, lakes, drains, sumps, and water behind dams. Lack of awareness of water safety, risky behavior around water, and low perceived risk are also considered important factors [4].
A postmortem diagnosis of drowning was described as one of the most difficult in forensic medicine. [5]. In most cases, findings from the external examination and autopsy are nonspecific, and the interpretation of laboratory findings remains debatable in the scientific community [6, 7]. Investigating deaths associated with natural bodies of water such as lakes, rivers, and oceans can be challenging because of their constantly changing characteristics. However, not all water-related deaths are caused by drowning; other factors such as extreme water and weather conditions, drug or alcohol intoxication, or disease may be sufficient to cause death and thus preclude a postmortem finding of drowning [8]. A finding of death by drowning may be reached only after reviewing all external, internal, and laboratory findings from the forensic examination [7].
Not many studies have discussed drowning in freshwater areas [9].
Aim
Thus, this study aimed to review and characterize the clinical, laboratory, and other postmortem findings typical of drowning death in freshwater areas.
Materials and methods
A systematic review of the medical literature was performed following the Preferred Reporting Items for Systematic Reviews and Meta-Analyses (PRISMA) Statement Guidelines for the identification, screening, and inclusion of articles (Fig. 1). A database search of PubMed, Epistemonikos, and Cochrane Library was conducted on July 12, 2022 by three of the authors. The search terms were “drowning death” or “death drowning” with no database restrictions. Although we did not apply any restrictions on the publication type, status, language, or publication period in our search, papers in languages other than English and animal studies were excluded. Letters, editorials, reviews, and systematic reviews or meta-analyses were also excluded.
Fig. 1. PRISMA flow diagram.
Three reviewers screened the identified articles based on the evaluation of the titles and abstracts. Articles whose titles and abstracts did not meet the inclusion criteria were excluded. Differences in the opinion among the three reviewers regarding the inclusion of articles were discussed until an agreement was reached. After the first screening, the full texts of the articles were reviewed for a final assessment of eligibility for inclusion in the study.
During the final assessment, articles were evaluated based on the level of evidence, quality, and risk of bias. The quality of articles was evaluated using the Joanna Briggs Institute critical appraisal, which was used to categorize each article as include, exclude, or need information. Only those articles categorized as include were analyzed and reported in this study. After screening, feasibility, and assessment of quality and risk of bias, data were extracted from all included articles. Important findings from each article were recorded, and data were synthesized. Data were extracted by three authors independently, and all extracted results were cross-checked. The extracted data were as follows: 1) clinical postmortem findings, 2) laboratory postmortem findings, and 3) other postmortem findings on death from drowning in a freshwater area.
Results
The systematic database search considered 493 papers after duplicates were removed. After a review of the papers by titles and abstracts, 73 underwent a full-text review. A total of 51 papers were excluded after a full-text review, leaving 22 articles that met the inclusion criteria for the review (Fig. 1).
Most drownings occurred in freshwater. Most victims were male, with a male-to-female ratio of 8:3. In some cases, bodies were found in the state of decomposition. In general, in freshwater drowning, external and internal clinical characteristics that are widely reported include signs of asphyxia such as cyanosis of the lips and bilateral fingernails and signs of immersion in the form of washerwoman’s hand, pink teeth, Neil’s sign, Svechnikov’s sign, Wydler’s sign, presence of debris in the respiratory and digestive tracts, pericardial effusion, and heart dilatation. Meanwhile, the typical external and internal findings of drowning include froth exuding from the nostrils and mouth into the respiratory tract due to a mixture of air, water, and mucus, forced breathing when drowning, and emphysema aquosum and Paltauf spots due to the rupture of the alveolar walls caused by increased pressure resulting from forced expiration when drowning. Diatom examination is also performed in most cases to assist in the identification of drowning.
In saltwater drowning, in addition to the findings above, a study reports the presence of deposited seawater component elements on enamel and increased adhesion of phytoplankton to the enamel surface. In addition, several studies found bilateral pleural effusion and pulmonary edema. If we look at the size of the bilateral pleural effusion, saltwater drownings have more significant bilateral pleural effusions than freshwater drownings. In addition, saltwater drownings have significantly more pulmonary and intrathoracic weights than freshwater drownings. Summary details of the studies are displayed in Supplement 1.
Discussion
Recently, the role of forensic pathologists has expanded beyond criminal justice to include public health and safety. Forensic pathologists are in a unique position to clarify the cause and manner of sudden unexpected deaths [18]. Drowning is a significant and neglected public health problem worldwide [1]. The mechanism of death by drowning is complicated by the involvement of asphyxia and filling of the airways with fluid, with associated hydrostatic and osmotic effects. Although autopsy findings among drowning cases are usually characteristic, they are often not diagnostic [4].
This study described rates of drowning death that were higher in men than in women. The higher incidence in men is likely caused by increased exposure to risky situations, increased risk-taking behavior, and greater involvement in activities outside the home [4].
Decomposition involves two processes, autolysis (destruction of cells and organs by intracellular enzymes) and putrefaction caused by bacteria and fermentation. Decomposition begins approximately 24 h after death, showing a greenish color in the lower right abdomen. It gradually becomes more visible, spreads across the abdomen and chest, and causes a foul smell. According to Casper’s law of decomposition, the environment where the body is left affects the decay process such that the proportional ratio of decomposition in air, water, and soil is 1:2:8 [7].
Washerwoman’s hand is characterized by pallor with wrinkling of the palms, soles, fingers, and toes. It starts on the fingertips, moves to the palm, and then spreads to the back of the hand. The skin gets thicker, wrinkled, whitened, and moistened (Fig. 2). These changes result from cutaneous absorption of water apparent at the fingertips, which characterizes immersion [15]. Although the washerwoman’s hand can emerge in 20–30 min after immersion/submersion, it can slowly disappear upon exposure to the open air and may not be apparent at autopsy. In forensic pathology, pink teeth have often been observed in drowning victims. The reddish tooth discoloration involves the diffusion of blood into the pulp in the dentinal tubules. Environmental conditions, particularly humidity, play an essential role in the development of pink teeth [7].
Fig. 2. Washerwoman’s hand [8].
Neil’s sign is a black field that is caused by bleeding into the middle ear cavity and blood adherence to the mastoid process; it is likely caused by pressure changes during drowning. Bleeding points found on the mucous membranes of the mastoid bone and middle ear are strong indications of drowning [7]. n a body recovered from a natural water environment, aquatic debris such as silt, mud, sand, gravel, vegetation, or algae may adhere to the airways and stomach (Fig. 3). Svechnikov’s sign is characterized by fluid in the sphenoid sinus. This happens because the enhanced respiratory stimulus that occurs during dyspnea causes uncontrollably large amounts of fluid to enter the sinuses and airways. Wydler’s sign is a three-layering formation found inside the stomach: food particles at the bottom, a medium liquid phase, and a foamy high phase made up of a combination of drowning fluid and tracheal secretion [15].
Fig. 3. Aquatic debris in the tracheobronchial tree [8].
Froth in the airways was commonly reported in external and internal examinations of drowning victims. It is caused by the mechanical action of terminal respiratory efforts caused by forced breathing when drowning, resulting from the mixture of air, water, bronchial mucosa secretions, and surfactant in the lungs. On examination, extravasated blood from alveolar capillary rupture is the likely source of the pink or red-tinged froth (Fig. 4) [8].The foam passes out the airways retrogradely and is a typical fungiform structure in front of the mouth and nostrils [15].
Fig. 4. Froth in drowning victim [8].
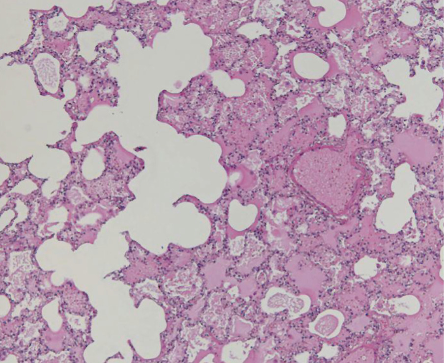
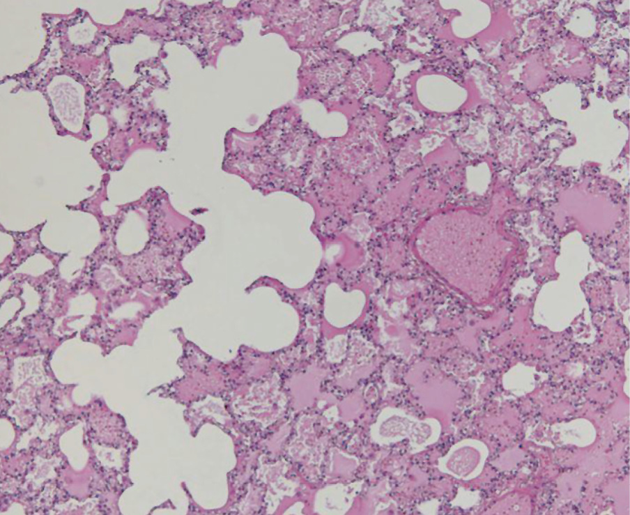
Emphysema aquosum is frequently highlighted in forensic literature as an important drowning sign, and accompanying lung changes must be correctly interpreted [15]. As a result of the airways closing during expiration, increased phlegm production and foam creation cause the hyperinflated lung as a valve mechanism. These mechanisms create the image of ballooned lungs filling the pleural cavities and reaching over the pericardium with their edges (Fig. 5). Imprints of the ribs on the lung surface can often be seen. Histologically, the overinflated lungs present flattened and ruptured interalveolar septa surrounding blister alveolar cavities. In addition, anemic and normally perfused areas alternate in the lungs, whereas the alveoli–capillary membrane is damaged. The severity of this injury is proportional to the duration of the drowning process. Other signs of pulmonary hyperinflation include washed-out rhexis bleeding under the pleura, called Paltauf’s spot [15]. Paltauf’s spot refers to bleeding spots caused by increased pressure, leading to the rupture of the alveolar walls, mostly found on the anterior surfaces and borders of the lung, and can be found in the subpleural if there has been further leakage or rupture [7].
Fig. 5. Emphysema aquosum and intra-alveolar edema [8].
Diatoms are unicellular algae belonging to the class of Bacillariophycae, which includes more than 15,000 species living in fresh, brackish, or sea water. Diatoms are inhaled during drowning; once in the bloodstream, they can reach the organs. If extracted and identified using strict protocols, these organisms are good markers of death by drowning.
Conclusions
This study suggests that characteristics associated with drowning death were the presence of signs of asphyxia such as cyanosis, immersion signs such as washerwoman’s hand, pink teeth, Neil’s sign, Svechnikov’s sign, Wydler’s sign, and debris in the airways, as well as typical drowning signs such as froth in the airway, emphysema aquosum, and Paltauf’s spot. To recognize and diagnose drowning death, identifying characteristics should help forensic pathologists.
Additional information
Supplement 1. Study results that meet the selection criteria. doi: 10.17816/fm16113-145993
Funding source. This study is supported by Universitas Lambung Mangkurat DIPA Funding Allocation No SP-DIPA — 023.17.2.677518/2023 through the "Program Dosen Wajib Meneliti" program on 2023 with the ID number 615/UN8/PG/2023.
Competing interest. The authors declare that they have no competing interests.
Authors’ contribution. All authors made a substantial contribution to the conception of the work, acquisition, analysis, interpretation of data for the work, drafting and revising the work, final approval of the version to be published and agree to be accountable for all aspects of the work. I. Aflanie — conceived, designed, and coordinated the article, managed and decided data for inclusion, analyzed and interpreted the data, wrote the manuscript; P.W. Nurikhwan — collected and managed the data for the article, managed and decided data for inclusion, analyzed and interpreted the data; G.M.F. Suharto — collected and managed the data for the article, managed and decided data for inclusion, wrote the manuscript.
About the authors
Iwan Aflanie
Universitas Lambung Mangkurat
Author for correspondence.
Email: iwanaflanie73@gmail.com
ORCID iD: 0009-0002-8926-1233
MD, PhD, Department of Forensic and Medicolegal, Medical School
Indonesia, BanjarmasinGusti Muhammad Fuad Suharto
Universitas Lambung Mangkurat
Email: suhartogete@gmail.com
ORCID iD: 0000-0003-1921-3172
MD, Department of Forensic and Medicolegal, Medical School
Indonesia, BanjarmasinPandji Winata Nurikhwan
Universitas Lambung Mangkurat
Email: pandji.winata@ulm.ac.id
ORCID iD: 0000-0002-1024-5488
MD, Department of Medical Education, Medical School
Indonesia, BanjarmasinReferences
- Girela-López E, Beltran-Aroca CM, Dye A, Gill JR. Epidemiology and autopsy findings of 500 drowning deaths. Forensic Sci Int. 2022;(330):111137. EDN: ODHGCI doi: 10.1016/j.forsciint.2021.111137
- Supriya K, Pabitramala N, Singh KP, Deepen DW. A retrospective analysis of drowning deaths in Imphal. J Med Soc. 2022;36(2):65–68. EDN: AGACSC doi: 10.4103/jms.jms_46_22
- Ahlm K, Saveman BI, Björnstig U. Drowning deaths in Sweden with emphasis on the presence of alcohol and drugs: A retrospective study, 1992–2009. BMC Public Health. 2013; (13):216. EDN: RGEVFH doi: 10.1186/1471-2458-13-216
- Sugatha M, Parwathi K. Analysis of deaths due to drowning: A retrospective study. Int J Contemp Med Res. 2019;6(4):15–19. doi: 10.21276/ijcmr.2019.6.4.54
- Hansen IB, Thomsen AH. Circumstances and autopsy findings in drownings, Department of Forensic Medicine, Aarhus University, 2006–2015. Scand J Forensic Sci. 2018;24(1):1–6. doi: 10.2478/sjfs-2018-0001
- Farrugia A, Ludes B. Diagnostic of drowning in forensic medicine. In book: Forensic Med--From Old Probl to New Challenges. 2011. Р. 53–60. doi: 10.5772/19234
- Perwira S, Affrita TM, Tambunan E, Yudianto A. Autopsy findings on decomposing drowned body: Identification of specific diagnostic features of external, internal, and laboratory examinations. Open Access Maced J Med Sci. 2021;9(С):218–221. doi: 10.3889/oamjms.2021.7250
- Armstrong EJ, Erskine KL. Investigation of drowning deaths: A practical review. Acad Forensic Pathol. 2018;8(1):8–43. doi: 10.23907/2018.002
- Kanaujia A. Wetlands: Significance, threats and their conservation a quarterly newsletter lucknow. Uttar Pradesh Graphics & Layout. 2018.
- Hagen D, Pittner S, Zhao J, et al. Validation and optimization of the diatom L/D ratio as a diagnostic marker for drowning. Int J Legal Med. 2023;137(3):939–948. doi: 10.1007/s00414-023-02970-x
- Bogusz M, Bogusz I, Żelazna-Wieczorek J. The possibilities and limitations of comparative diatomaceous analysis for confirming or excluding the site of an incident: Case studies. Forensic Sci Int. 2023;(346):111644. EDN: QZIOTS doi: 10.1016/j.forsciint.2023.111644
- Szűcs D, Fejes V, Kozma Z, et al. Sternal aspirate sampling of bacillariophyceae (diatoms) and cyanobacteria in suspected drowning cases. J Forensic Leg Med. 2022;(85):102298. EDN: JTLYKR doi: 10.1016/j.jflm.2021.102298
- Evain F, Louge P, Pignel R, et al. Fatal diving: Could it be an immersion pulmonary edema? Case report. Int J Legal Med. 2022;136(3):713–717. EDN: MUJBNC doi: 10.1007/s00414-022-02809-x
- Ishigami A, Kashiwagi M, Ishida Y, et al. A comparative study of pleural effusion in water area, water temperature and postmortem interval in forensic autopsy cases of drowning. Sci Rep. 2021;11(1):21528. doi: 10.1038/s41598-021-01047-2
- Schneppe S, Dokter M. Macromorphological findings in cases of death in water: A critical view on ’drowning signs’. Int J Legal Med. 2021;135(1):281–291. EDN: NIVKAF doi: 10.1007/s00414-020-02469-9
- Wang Z, Ma K, Zou D, et al. Diagnosis of drowning using postmortem computed tomography combined with endoscopic autopsy: A case report. Medicine (Baltimore). 2020;99(11):e19182. doi: 10.1097/MD.0000000000019182
- Ishikawa T, Inamori-kawamoto O, Quan L, et al. Postmortem urinary catecholamine levels with regard to the cause of death. Leg Med. 2014;16(6):344–349. doi: 10.1016/j.legalmed.2014.07.006
- Yang K, Choi BH, Lee B, Yoo SH. Bath-related deaths in Korea between 2008–2015. J Korean Med Sci. 2018;33(14):e108. doi: 10.3346/jkms.2018.33.e108
- De Freitas Vincenti SA. Colour stability of dental restorative materials submitted to conditions of burial and drowning for forensic purposes. J Forensic Odontostomatol. 2018;36(2):20–30.
- Gotsmy W, Lombardo P, Jackowski C, et al. Layering of stomach contents in drowning cases in post-mortem computed tomography compared to forensic autopsy. Int J Legal Med. 2019;133(1):181–188. EDN: BKIKAW doi: 10.1007/s00414-018-1850-4
- Sogawa N, Michiue T, Ishikawa T, Kawamoto O. Postmortem volumetric CT data analysis of pulmonary air/gas content with regard to the cause of death for investigating terminal respiratory function in forensic autopsy. Elsevier Irel Ltd. 2014;(241):112–117. doi: 10.1016/j.forsciint.2014.05.012
- Ishikawa N, Nakamura Y, Kitamura K, et al. A method for estimating time since death through analysis of substances deposited on the surface of dental enamel in a body immersed in freshwater. J Forensic Leg Med. 2022;(92):1421–1427. EDN: KOCWLD doi: 10.1016/j.jflm.2022.102447
- Michiue T, Sakurai T, Ishikawa T, et al. Quantitative analysis of pulmonary pathophysiology using postmortem computed tomography with regard to the cause of death. Forensic Sci Int. 2012;220(1-3):232–238. EDN: PHBLCD doi: 10.1016/j.forsciint.2012.03.007
- Pregled V, Pilija V, Budakov B, Gvozdenovi L. Sudden death of a swimmer in water caused by heterotopic intracranial ossification and anomaly of the skull base. Vojnosanit Pregl. 2011;68(1):73–76. doi: 10.2298/vsp1101073p
- Tester DJ, Medeiros-domingo A, Will ML, Ackerman MJ. Unexplained drownings and the cardiac channelopathies: A molecular autopsy series. Mayo Clin Proc. 2010;86(10):941–947. doi: 10.4065/mcp.2011.0373
- Kubo SI, Ishigami A, Gotohda T, et al. An autopsy case of adrenal insufficiency 20 years after hypophysectomy: Relation between stress and cause of death. J Med Invest. 2006;53(1-2):183–187. doi: 10.2152/jmi.53.183
- Christe A, Aghayev E, Jackowski C, et al. Drowning post-mortem imaging findings by computed tomography. Eur Radiol. 2008;18(2):283–290. EDN: ZTKRUM doi: 10.1007/s00330-007-0745-4
- Moar JJ. Drowning-postmortem appearances and forensic significance. A case report. S Afr Med J. 1983;64(20):792–795.
Supplementary files









