A study of morphological changes in the mandible associated with sexual dimorphism: a digital panoramic study
- Authors: Patil K.1, Harshitha N.1, Sanjay C.1, Nagabhushana D.1, Renuka D.1, Viveka S.1
- 
							Affiliations: 
							- JSS Dental College and Hospital, JSS Academy of Higher Education and Research
 
- Issue: Vol 8, No 3 (2022)
- Pages: 5-15
- Section: Original study articles
- Submitted: 14.03.2022
- Accepted: 14.09.2022
- Published: 15.11.2022
- URL: https://for-medex.ru/jour/article/view/706
- DOI: https://doi.org/10.17816/fm706
- ID: 706
Cite item
Abstract
BACKGROUND: In forensic anthropology, osteological remains are widely used to assess various characteristics of a person, which helps in establishing the identity of the deceased or serves as additional evidence in controversial cases.
AIMS: The study aimed to measure, compare and distinguish the gender-related changes in the mandible among dentate of different age groups on digital panoramic radiographic images and to evaluate their reliability in sex determination that might serve as evidence in forensics.
MATERIALS AND METHODS: Digital panoramic images were obtained for 420 patients, which included 210 males and 210 females. Various parameters such as gonial angle, condylar length, ramus length, cortical bone thickness and ramal notch width were measured and evaluated. The data obtained was subjected to descriptive statistical analysis and two-way ANOVA test.
RESULTS: Comparison between gender groups showed statistically significant differences in all parameters with p <0.05 except the ramal notch width. The mean value of all parameters, was found to be comparatively higher in males. Among the groups, gonial angle and ramus length were found to be higher on right side, but in ramal notch width it was higher on left. The condylar length among males showed greater value on right side, and females showed greater value on left side. The cortical bone thickness among males depicted greater value on left side, and females depicted greater value on right side. Thus, all parameters except the ramal notch width were found to be reliable in sex determination.
CONCLUSION: It was found that males had greater value when compared to females. Hence, this study recommends the use of these parameters for the purpose of sex determination.
Full Text
INTRODUCTION
In forensic anthropology, human osteological remains are widely used for estimation of various features of each person in order to help in identification or as evidence in a suspected identification [1]. Identification of the human skeleton remains of an unknown deceased person is regarded as a difficult first step [2]. Establishing one’s identity is critical for the unknown deceased person in homicide, accidents, suicide, and catastrophic disasters such as terrorist attacks, explosions, earthquakes, and plane accidents, as well as for criminals who are hiding their identities [3]. A wide variety of specialties is necessary when examining skeletal and dental age-related variations for both the living and the deceased [4]. As a person gets older and their dentoalveolar status changes, the mandible goes through a lot of structural and morphological changes. This is true for both men and women [5]. A gonial area, antegonial region, condyle, and ramus are some of the remodelling areas in the mandible that alter [6]. As no two radiographs are similar, age information may be derived from a variety of skeletal factors. This idea could be implicated in radiological identification [[7]. Orthopantomography (OPG) is a commonly employed method in scientific research and criminal investigations. Even though there are a variety of ways of determining sex, OPG can provide anatomical measurements with accuracy when the exterior features are damaged [8].
The current study aims to evaluate the morphological alterations in the mandible with ageing and dental condition by considering one angular and four linear measurements across the body and ramus of the mandible.
MATERIALS AND METHODS
This study was a prospective observational study that included 420 apparently healthy subjects of 4 different age groups—12–18 years, 19–40 years, 41–60 years, and older than 60 years—who were selected by simple purposive sampling for whom panoramic radiography had been advised for assessment/treatment of any oro-dentofacial conditions without any developmental defects or trauma to the head and neck region with no evidence of midfacial fracture.
Eligibility criteria
Inclusion criteria:
- Subjects who had all of their teeth intact, except for impacted third molars.
- Subjects over 60 years old with at least five teeth in each quadrant, except third molars.
- Ideal digital panoramic radiographic images with optimum diagnostic quality and clearly showing all the reference landmarks.
Exclusion criteria:
- Subjects with any systemic disease affecting the jaw bone.
- Subjects with a history or evidence of orthodontic or orthognathic treatment.
- Subjects wearing partial dentures
- Radiographic evidence of developmental anomalies, supernumerary teeth, traumatic / surgical defects and pathologies affecting maxillofacial region
- Digital panoramic images with any artefacts.
Method
The clinical examination was carried out after obtaining written consent from the selected cases, and the clinical findings were recorded in individual proforma specially designed for the study. Individuals satisfying the eligibility criteria were subjected to OPG examination at fixed operating parameters based on the built of the subject by adopting the requisite radiation protection measures. Linear and angular measurements were performed on digital panoramic images for all parameters on both sides using Planmeca Romexis software (3D Software).
The parameters that were measured in our study were as follows:
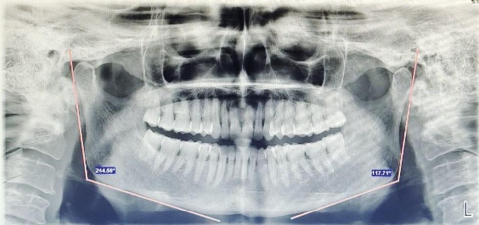
- Gonial angle (GA):
Fig. 1. Bilateral angular measurement of the gonial angle.
It is formed by drawing a line between two imaginary lines that extend from lower border of the mandible to ramus of the mandible.
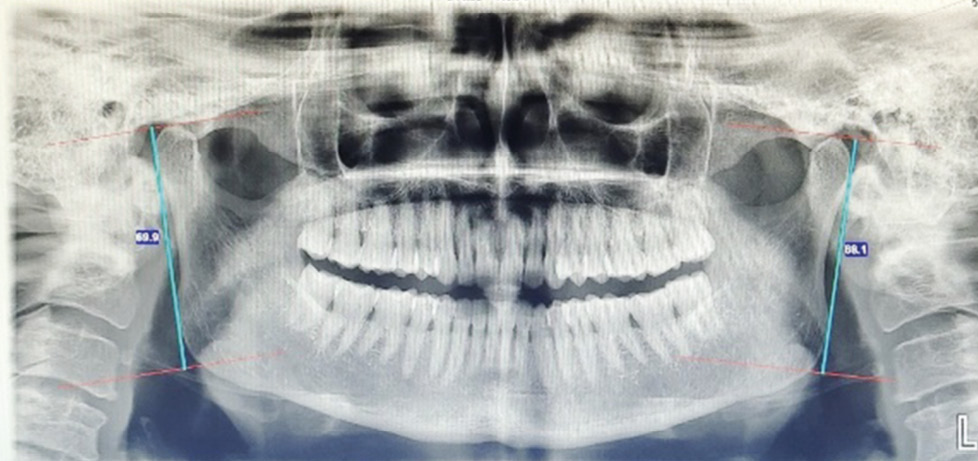
- Condyle length (CL):
Fig. 2. Length of the condyle bilaterally.
It is the distance measured between two tangential lines that are drawn at the superior most point of the condylar head and the deepest point of the concavity of the sigmoid notch.
- Ramus length (RL):
Fig. 3. Ramus length bilaterally.
It is calculated by drawing two lines, both parallel to ramus tangent line one at the level of the most lateral image of condyle and the other at the level of the most lateral image of ramus. The distance between these two lines is RL.
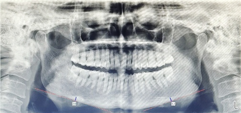
- Cortical bone thickness:
Fig. 4. Cortical bone thickness bilaterally.
The thickness of the radiopaque band is measured at lower border of the mandible’s body, where antegonial notch begins mesially.
- Ramal notch depth (RND):
Fig. 5. Width of the Ramal notch bilaterally.
It is calculated by drawing a line from ramus tangent line to ramus notch concavity’s deepest point.
All the obtained data were tabulated and analyzed statistically and compared between the right and the left maxillary sinuses of the same individual and between the sex groups respectively using SPSS software version 22.0. All obtained data was then subjected to descriptive statistics, Paired t-test and Two-way ANOVA test to arrive at the results.
RESULTS
Of the 420 subjects, 210 (50%) were males and 210 (50%) were females. Each age group was comprised of 120 (28.6%) individuals, of which 60 (14.3%) were males and 60 (14.3%) were females, except for the age group of greater than 60 years, which was comprised of 60 (14.3%) individuals, of which 30 (7.15%) were males and 30 (7.15%) were females. The mean age for males was 43.1333 and 41.8667 for females. (Table 1)
Table 1: Cross table showing Distribution of study subjects according to age and sex with the mean values
| Ages | sex | Total | |
| Male | Female | ||
| 12–18 | 60 (14.3% ) | 60 (14.3% ) | 120 (28.6%) | 
| 19–40 | 60 (14.3% ) | 60 (14.3% ) | 120 (28.6%) | 
| 41–60 | 60 (14.3% ) | 60 (14.3% ) | 120 (28.6%) | 
| 60+ | 30 (7.15%) | 30 (7.15%) | 60 (14.3%) | 
| Total | 210 (50.0%) | 210 (50.0%) | 420 (100.0%) | 
| Mean | 37.7857 | 35.1619 | 36.4738 | 
Gonial angle
The mean value of gonial angle among 210 males was 181.0514, and among 210 females it was 179.8998. A significant difference in mean value was noted, with males depicting comparatively higher values than females. This was again found to be statistically more significant with a p value (p=0.025). (Table 2)
Table 2 : Comparison of the mean values of males and females in all parameters.
| Parameters | Gender | 12–18 years | 19–40 years | 41–60 years | 60+ years | Total Mean | p | 
| Gonial angle | Male | 181.6615 | 180.6968 | 181.0040 | 180.6350 | 181.0514 | .025* | 
| Female | 180.0130 | 179.3363 | 180.2044 | 180.1912 | 179.8998 | ||
| Condylar length | Male | 20.4402 | 23.0337 | 22.6100 | 24.1550 | 22.3318 | .001* | 
| Female | 21.4392 | 21.3025 | 21.8392 | 20.1833 | 21.3350 | ||
| Ramus length | Male | 66.2783 | 71.6304 | 72.9633 | 76.1133 | 71.1225 | .000* | 
| Female | 65.6437 | 68.1577 | 67.3633 | 65.5600 | 66.8413 | ||
| Cortical bone thickness | Male | 3.2467 | 3.6467 | 4.0667 | 4.0533 | 3.6712 | .048* | 
| Female | 3.4300 | 3.6467 | 4.0667 | 4.0533 | 3.5988 | ||
| Ramal notch depth | Male | 2.2583 | 3.0658 | 3.0542 | 3.6883 | 2.9207 | .114 | 
| Female | 2.8675 | 2.6983 | 2.8092 | 3.0833 | 2.8333 | 
Note. *p <0.05 significance at 5% level of significance.
On the right side, a significant difference in the mean value of gonial angle was noted, with males depicting comparatively higher values than females, and on left, no significant difference was noted between males and females. (Table 3)
Table 3 : Comparison of the mean values of the right and left gonial angles according to gender.
| Parameter | Sides | sex | Mean | Std. Deviation | 
| Gonial angle | Right | Male | 237.2703 | 6.75731 | 
| Female | 234.9221 | 9.29245 | ||
| Left | Male | 124.8325 | 11.74227 | |
| Female | 124.8775 | 7.29529 | ||
| Condylar length | Right | Male | 22.3792 | 4.49094 | 
| Female | 21.2486 | 3.80511 | ||
| Left | Male | 22.2844 | 4.71649 | |
| Female | 21.4214 | 3.91457 | ||
| Ramus length | Right | Male | 71.3717 | 10.22537 | 
| Female | 67.0469 | 6.37968 | ||
| Left | Male | 70.8733 | 10.22272 | |
| Female | 66.6358 | 6.37097 | ||
| Cortical bone thickness | Right | Male | 3.6319 | .80761 | 
| Female | 3.6038 | .70500 | ||
| Left | Male | 3.7105 | .82884 | |
| Female | 3.5938 | .69234 | ||
| Ramal notch depth | Right | Male | 2.8324 | 1.09059 | 
| Female | 2.7600 | .97506 | ||
| Left | Male | 3.0090 | 1.19190 | |
| Female | 2.9067 | .93607 | 
A statistically significant difference was noted between the right and left gonial angles (p=0.000), with the right side depicting comparatively higher values than the left in both males and females of all age groups. (Table 4)
Table 4 : Comparison of mean values of right and left sides in each parameter. Paired T-test values on pairing right and left values.
| Parameters | Side | Mean | Std. Deviation | Paired t-test ( Paired Differences ) | ||
| Mean | Std. Deviation | Sig. (2-tailed) | ||||
| Gonial angle | Right | 236.0962 | 8.19937 | 111.24123 | 15.46445 | .000* | 
| Left | 124.8550 | 9.76338 | ||||
| Condylar length | Right | 21.8139 | 4.19556 | -.03900 | 2.69601 | .767 | 
| Left | 21.8529 | 4.35044 | ||||
| Ramus length | Right | 69.2093 | 8.78312 | .45469 | 3.06425 | .003* | 
| Left | 68.7546 | 8.76774 | ||||
| Cortical bone thickness | Right | 3.6179 | .75727 | -.03429 | .46712 | .133 | 
| Left | 3.6521 | .76497 | ||||
| Ramal notch depth | Right | 2.7962 | 1.03384 | -.16167 | .69174 | .000* | 
| Left | 2.9579 | 1.07159 | ||||
Note. *p <0.05 significance at 5% level of significance.
Condylar length
The mean value of the condylar length among 210 males was 22.3318 and among 210 females it was 21.3350. A significant difference in mean value was noted, with males depicting comparatively higher values than females. This was found to be statistically significant with a p value of (p =.001).
A significant difference in the mean value of condylar length was noted on both the right and left sides, with males depicting comparatively higher values than females.
No significant difference was noted between the right and left condylar lengths (p=0.767). Among all the age groups, the right condylar length was found to be higher in males than the left condylar length in females.
Among all the age groups, the first group of 12–18 year olds showed that females had a higher mean value than males, and in the other 3 groups, males showed a higher value than females.
Ramus length
The mean value of the ramus length among 210 males was 71.1225 and among 210 females was 66.8413. A significant difference in mean value was noted, with males depicting comparatively higher values than females. This was found to be statistically significant with a p value of (p=.000).
A significant difference in the mean value of ramus length was noted on both the right and left sides, with males depicting comparatively higher values than females.
A statistically significant difference was noted between the right and left ramus length (p = 0.003), with the right side depicting comparatively higher values than the left in both males and females of all age groups.
Cortical bone thickness
The mean value of the cortical bone thickness among 210 males was 3.6712 and among 210 females it was 3.5988. A significant difference in mean value was noted, with males depicting comparatively higher values than females. This was found to be statistically more significant with a p value (P= 0.048).
A significant difference in the mean value of cortical bone thickness was noted on the left side, with males depicting comparatively higher values than females, and on the right side, no significant difference was noted between males and females.
No significant difference was noted between the right and left cortical bone thickness (p = 0.133). Among all the age groups, the right cortical bone thickness was found to be higher in females than in males, and the left cortical bone thickness was found to be higher in males.
Among all the age groups, only the age groups of 12–18 years and 19–40 years showed that females had a higher mean value than males, and in the other 2 groups, males showed a higher value than females.
Ramal Notch width
In our study, a difference in ramal notch width was found between males and females. In which higher ramal notch width was found among males than that of females. Overall, the ramal notch width was found to be statistically not significant for sex determination.
In our study, when comparing the right and left sides, the ramal notch width was greater on left side than on right. However, this was statistically not significant.
DISCUSSION
This study’s discussion centres on a number of methodological challenges that frequently occur when attempting to estimate sex at death. In forensic anthropology, human osteological remains are frequently utilised for estimation of various traits of every person to help in identification or to utilise as evidence in a suspected identification [1]. Living people, recently deceased people, decaying bodies, disfigured and burned bodies, and skeletons all need to be identified [9]. In forensic science, determining age and gender from human skeletal and dental remains is the first step in identification of the person and the assessment of the cause of death [10].
Recent study has focused on using several skeleton traits to determine variation related to sex and ethnicity to improve forensic identification [11]. Bones change at a constant rate throughout a person’s life, and those changes in the skeleton follow a chronological pattern. Knowing what changes take place in the bones can help determine gender from the skeleton. The skull and mandible, along with the pelvis, are the few other skeletal remains that exhibit the most sexual dimorphism and should be employed for this purpose when available [12]. The mandible is regarded as an important tool in determining gender since it is a strong bone that is difficult to break and disintegrate.
Radiology is vital role in determining an individual’s age and gender [11]. Panoramic radiography is an often-used modality in routine dental check-ups. It is a useful method for surveying dental problems since it provides all of the necessary information with only one panoramic film. Hence, the parameters in this investigation were measured using a panoramic radiograph [13].
The main purpose of this study was to examine, correlate, and assess one angular (gonial angle) and four linear (condylar length, ramus length, cortical bone thickness, and ramal notch width) mandibular parameters seen on digital panoramic radiographs in order to ascertain their efficacy in estimating the gender.
Gonial angle
In our study, we observed disparities in the gonial angle between males and females, in which female showed a higher value than males. This above statement is partially in accordance with the findings of Revant H. Chole et al. [14], Jeong-Ki Joo et al. [15] and V. Sairam et al. [13], who observed a significant difference in the gonial angle between females and males, but wider gonial angle was observed in females than males. Overall, this parameter (gonial angle) is found to be a promising parameter for gender determination.
In our study, we discovered a significant difference in gonial angle between both sides of the jaw. This is in correlation with the findings of Revant H. Chole et al. [14], who also discovered a significant difference in the gonial angle between right and left sides of the jaw. However, this factor is not in agreement with the findings of Larheim et al. [16], who observed no significant difference between right and left gonial angles. This disagreement might be due to a disparity in sample size and the age group (14–28 years) of their study population.
In addition, our study also reported that the gonial angle was significantly greater on right side of mandible and was found to be statically significant when pairing right and left gonial angles with a p value < 0.05.
Condylar length
The study by Humphrey et al. [17], found the length of the condyle showed a significant difference among genders. In contrast to this, study conducted by Jeong-Ki Joo et al. [15] with the help of digital panoramic radiograph for the determination of sex revealed no significant differences in condyle length between genders groups. In our study, a difference in condylar length was found between males and females. Males showed higher condylar length than females. The studies those are in disagreement with our study might be due to differences in sample size, ethnicity and also much older individuals (60–69) involved compared to our study. This study considered only old dentate and edentulous subjects. Overall, this parameter (condylar length) was found to be a promising parameter for the determination of gender.
In addition, our study did not show statistically significant difference of condylar length on comparing both sides of the mandible.
Ramus length
In our study, differences in ramus length were also found between males and females. This statement is correlated with few of the other studies by Morant et al. (1936) [18], Humphrey et al. [17], Hrdlicka (1940) [19] and Mangla et al. [20]. The ramus length in males was found to be higher than females in our study. This statement goes in accordance with the study executed by Mangla et al., who also found males have a higher ramus length than females. Overall, this parameter (ramus length) was found to be a promising parameter for gender determination.
In our study, a difference in ramus length was found between both right and left sides of mandible and found to be statistically significant with right side showing a higher value. (p = <0.05)
Cortical bone thickness
In our study, cortical bone thickness revealed statistically significant difference between males and females, in which significantly higher value was found in males. The above statement was shown to be in complete accordance with the study presented by Jeong-ki Joo [15]. Overall, this parameter (condylar length) can be strongly used for gender determination.
In our study, though a difference in the cortical bone thickness was found between right and left sides of mandible, right side showed a greater value than left side and was found to be statistically insignificant with p= >0.05.
Ramal Notch width
In our study, a difference in ramal notch width was found between males and females. In which higher ramal notch width was found among males than that of females. Overall, the ramal notch width was found to be statistically not significant for sex determination.
In our study, when comparing the right and left sides, the ramal notch width was greater on left side than on right. However, this was statistically not significant.
CONCLUSION
Forensics work has been carried on both living and non-living subjects for many years in order to achieve various investigative purposes. Radiographic images are considered the greatest critical tool for assessing age in the world of forensic studies. The measurements of the gonial condyle length, ramus length, cortical bone thickness, and ramal notch width are the most essential of many because they can be used as stable indicators even when the skull is severely damaged.
From overall results obtained in our present study revealed that all parameters cannot be used as a tool for sex determination, as the gonial angle, condyle length, ramus length and cortical bone thickness except the ramal notch width gonial show anatomic variations between different gender groups and found to be statistically significant. Therefore, it is concluded that one angular measurement and three linear measurements out of four on digital panoramic images with significant differences among different age and gender groups can be used in forensic anthropology as a valuable tool for the estimation of sex. Hence, these measurements are advocated varyingly for providing evidence in forensics, especially when other bones of the skeleton are unavailable.
LIMITATIONS
As this was a time-bound study, a statistically qualified minimum sample size was assessed. Further studies are recommended to validate our hypothesis with the larger sample size, including various ethnicity and socioeconomic groups for age determination.
ADDITIONAL INFORMATION
Funding source. This study was not supported by any external sources of funding.
Competing interests. The authors declare that they have no competing interests.
Authors’ contribution. All authors made a substantial contribution to the conception of the work, acquisition, analysis, interpretation of data for the work, drafting and revising the work, final approval of the version to be published and agree to be accountable for all aspects of the work. Karthikeya Patil ― planning, study design, manuscript writing and manuscript editing; N. Harshitha, Devi K.R. Renuka, S. Viveka ― planning and conducting research, data acquisition, data analysis, manuscript editing and manuscript writing; C.J. Sanjay ― study design, data acquisition, data analysis and manuscript writing; D. Nagabhushana ― data analysis, manuscript editing and manuscript writing.
About the authors
Karthikeya Patil
JSS Dental College and Hospital, JSS Academy of Higher Education and Research
														Email: dr.karthikeyapatil@jssuni.edu.in
				                	ORCID iD: 0000-0002-7941-2467
				                																			                								
MD, Professor
India, Mysore KarnatakaN. Harshitha
JSS Dental College and Hospital, JSS Academy of Higher Education and Research
							Author for correspondence.
							Email: harshi.bnk@gmail.com
				                	ORCID iD: 0000-0002-8795-5365
				                																			                								
MD
India, Mysore KarnatakaC.J. Sanjay
JSS Dental College and Hospital, JSS Academy of Higher Education and Research
														Email: drsanjaycj_dch@jssuni.edu.in
				                	ORCID iD: 0000-0003-2830-1481
				                																			                								
MD
India, Mysore KarnatakaD. Nagabhushana
JSS Dental College and Hospital, JSS Academy of Higher Education and Research
														Email: dr.nagabhushand@jssuni.edu.in
				                	ORCID iD: 0000-0001-9035-0888
				                																			                								
MD
India, Mysore KarnatakaDevi K.R. Renuka
JSS Dental College and Hospital, JSS Academy of Higher Education and Research
														Email: renuraj796@gmail.com
				                					                																			                								
MD
India, Mysore KarnatakaS. Viveka
JSS Dental College and Hospital, JSS Academy of Higher Education and Research
														Email: sviveka96@gmail.com
				                	ORCID iD: 0000-0003-2232-579X
				                																			                								
MD
India, Mysore KarnatakaReferences
- Konigsberg LW, Herrmann NP, Wescott DJ, Kimmerle EH. Estimation and evidence in forensic anthropology: age-at-death. J Forensic Sci. 2008;53(3):541–557. doi: 10.1111/j.1556-4029.2008.00710.x
- Saini V, Srivastava R, Rai RK, et al. Mandibular ramus: an indicator for sex in fragmentary mandible. J Forensic Sci. 2011;56(Suppl 1):S13–16. doi: 10.1111/j.1556-4029.2010.01599.x
- Weisberg YJ, Deyoung CG, Hirsh JB. Gender differences in personality across the ten aspects of the big five. Front Psychol. 2011;2:178. doi: 10.3389/fpsyg.2011.00178
- Liversidge HM, Buckberry J, Marquez-Grant N. Age estimation. Ann Human Biol. 2015;42(4):299–301. doi: 10.3109/03014460.2015.1089627
- Okşayan R, Asarkaya B, Palta N, et al. Effects of edentulism on mandibular morphology: evaluation of panoramic radiographs. Sci World J. 2014;2014:254932. doi: 10.1155/2014/254932
- Ghosh S, Vengal M, Pai KM, Abhishek K. Remodeling of the antegonial angle region in the human mandible: a panoramic radiographic cross-sectional study. Med Oral Patol Oral Cir Bucal. 2010;15(5):e802–807. doi: 10.4317/medoral.15.e802
- Uthman AT, Al-Rawi NH, Al-Timimi JF. Evaluation of foramen magnum in gender determination using helical CT scanning. Dentomaxillofac Radiol. 2012;41(3):197–202. doi: 10.1259/dmfr/21276789
- Rajkumari S, Nikitha K, Monisha S, et al. Role of Orthopantamograph in forensic identification: a retrospective study among chennai population. J Pharm Bioallied Sci. 2019;11(Suppl 2):S393–S396. doi: 10.4103/JPBS.JPBS_43_19
- Nagare SP, Chaudhari RS, Birangane RS, Parkarwar PC. Sex determination in forensic identification, a review. J Forensic Dent Sci. 2018;10(2):61–66. doi: 10.4103/jfo.jfds_55_17
- Sairam V, Geethamalika MV, Kumar PB, et al. Determination of sexual dimorphism in humans by measurements of mandible on digital panoramic radiograph. Contemp Clin Dent. 2016;7(4):434–439. doi: 10.4103/0976-237X.194110
- Franklin D, Cardini A, Higgins PO, et al. Mandibular morphology as an indicator of human subadult age: geometric morphometric approaches. J Forensic Sci. 2008;4(2):91–99. doi: 10.1007/s12024-007-9015-7
- Dudar JC, Pfeiffer S, Saunders SR. Evaluation of morphological and histological adult skeletal age-at-death estimation techniques using ribs. J Forensic Sci. 1993;38(3):677–685.
- Sairam V, Potturi GR, Praveen B, Vikas G. Assessment of effect of age, gender, and dentoalveolar changes on mandibular morphology: a digital panoramic study. Contemp Clin Dent. 2018;9(1):49–54. doi: 10.4103/ccd.ccd_704_17
- Chole RH, Patil RN, Chole SB, et al. Association of mandible anatomy with age, gender, and dental status: a radiographic study. ISRN Radiology. 2013;2013:453763. doi: 10.5402/2013/453763
- Joo JK, Lim YJ, Kwon HB, Ahn SJ. Panoramic radiographic evaluation of the mandibular morphological changes in elderly dentate and edentulous subjects. Acta Odontologica Scandinavica. 2012;71(2):357–362. doi: 10.3109/00016357.2012.690446
- Larheim TA, Svanaes DB. Reproducibility of rotational panoramic radiography: mandibular linear dimensions and angles. Am J Orthod Dentofacial Orthop. 1986;90(1):45–51. doi: 10.1016/0889-5406(86)90026-0
- Humphrey LT, Dean MC, Stringer CB. Morphological variation in great ape and modern human mandibles. J Anat. 1999;195(Pt 4):491–513. doi: 10.1046/j.1469-7580.1999.19540491.x
- Morant GM, Collett M, Adyanthaya NK. A biometric study of the human mandible. Biometrika. 1936;28(1-2):84–122.
- Hrdlicka A. Lower jaw further studies. Am J Phys Anthropol. 1940;27(3):383–467.
- Mangla R, Singh N, Dua V, et al. Evaluation of mandibular morphology in different facial types. Contemp Clin Dent. 2011;2(3):200–206. doi: 10.4103/0976-237x.86458
Supplementary files
 
				
			 
					 
						 
						 
									

 
  
  
  
  
  Email this article
			Email this article 







