A radiomorphometric evaluation of age-related changes in mandibular morphology
- Authors: Harshitha N.1, Patil K.1, Sanjay C.J.1, Nagabhushana D.1, Viveka S.1
-
Affiliations:
- JSS Dental College and Hospital, JSS Academy of Higher Education and Research
- Issue: Vol 8, No 4 (2022)
- Pages: 5-14
- Section: Original study articles
- Submitted: 05.03.2022
- Accepted: 24.10.2022
- Published: 17.12.2022
- URL: https://for-medex.ru/jour/article/view/702
- DOI: https://doi.org/10.17816/fm702
- ID: 702
Cite item
Abstract
AIMS: The main aim of this study was to determine, compare and differentiate the morphologically related changes of the mandible in dentate males and females among different age groups on digital panoramic images and to assess their authenticity in age estimations to provide evidence in forensics.
MATERIALS AND METHODS: Digital panoramic images were made of 620 subjects, belonging to into four groups of ages ranging between 12–18 years, 19–40 years, 41–60 years, and older than 60 years. Measurements such as gonial angle, condylar length, ramus length, cortical bone thickness, and ramal notch width were measured and evaluated. The data obtained was then subjected to descriptive statistical analysis followed by a Paired t-test and a Two-way ANOVA test to arrive at the results.
RESULTS: On measuring an angular and four linear measurements a statistically significant differences were found among all the age groups with p <0.05 and also increased on aging except for the gonial angle. Among all the parameters, the gonial angle, ramus length, and ramal notch width depicted a statistically significant difference between the right and left sides and with p <0.05.
CONCLUSION: Age estimation with linear and angular measurements of the mandible was possible among the study population. It is found that all parameters except gonial angle are reliable for age determination. It was found that as age increased, the mean value of all the parameters increased and showed a significant difference between all age groups except the gonial angle. Hence, this study positively recommends the use of all parameters except gonial angle for the purpose of age estimation in the field of forensics.
Full Text
BACKGROUND
According to evolutionary biology studies, humans are descended from ancient apes. There are exciting developments in all fields that contribute to our understanding of human evolution [1]. Many studies have characterised the evolution of genetically based variations in personality between age and sex groups as well as their genetic components [2].
In legal medicine and forensic anthropology, establishing the identity of the unknown deceased person in a crime, accident, suicide, or mass tragedy, as well as for criminals who are hiding their identities, is very critical and skeletal traits are among the most commonly used traits to determine a person’s gender and age [3].
The mandible exhibits many anatomical and morphological changes with progression of age. Changes in the size and shape of the mandible are noticed along with gradual growth and function of jaws, which vary according to age, gender, and dental condition [4]. A gonial area, antegonial region, condyle, and ramus are some of the remodelling areas in the mandible that alter [5]. All these areas are best viewed, measured, and evaluated by Orthopantomography (OPG), which is a commonly employed method in scientific research and criminal investigations for age and sex determination [6].
The current study aims to evaluate the morphological alterations in the mandible with ageing and dental condition by considering one angular and four linear measurements across the body and ramus of the mandible.
MATERIALS AND METHODS
In the Department of Oral Medicine and Radiology, a prospective study was conducted with the sample size of 620. After critically reviewing, the research was approved by JSS Dental College and Hospital Institutional Ethics Committee [ IEC PROTOCOL NO 63/2019 dated on 25/10/2019].
This study included groups of young and old dentulous individuals who had complete sets of medical records and whose teeth that were all intact except for third molars (present or absent). over 60 years old with at least five teeth in each quadrant, except third molars. Old denture wearers and any patients with the presence of supernumerary teeth (erupted or impacted), any systemic disease affecting the jaw bone, and history or evidence of orthodontic or orthognathic treatment were excluded from the study.
The panoramic digital radiographs were taken using the Planmeca Promax Digital Panoramic system, under standard exposure conditions as recommended by the manufacturer. All the age groups were comprised of 180 individuals, except for the age group of greater than 60 years, which comprised of 80 individuals. All mandibular measurements were made bilaterally using ROMEXIS DICOM viewer software (Planmeca, Helsinki, Finland). The present study was performed for about 18 months.
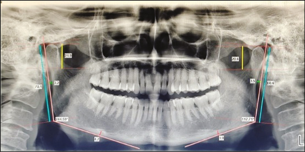
The parameters that were measured in our study were as follows: (Fig. 1)
Fig. 1. All linear and angular parameters on OPG using Planmeca Romexis Software
1) Gonial angle (GA): It is formed by drawing a line between two imaginary lines that extend from the inferior border of the mandible to the ramus of the mandible.
2) Condylar length (CL): It is the distance between two lines drawn tangentially, one at the superior most point of the condylar head and the other at the deepest point of the sigmoid notch’s concavity.
3) Ramus length (RL): It is calculated by drawing two lines, one parallel to the ramus tangent line at the level of the most lateral image of the condyle and the other parallel to the ramus tangent line at the level of the most lateral image of the ramus. The distance between these two lines is RL.
4) Cortical bone thickness: The thickness of the radiopaque band is measured at the lower border of the mandible’s body, where the antegonial notch begins mesially.
5) Ramal notch depth (RND): It is the distance between the ramus tangent line and the ramus notch concavity’s deepest point.
For each variable, descriptive statistics followed by Two-way ANOVA test were determined. The difference in measures between the left and right sides of the mandible were analysed using a paired t test.
RESULTS
In our study, all 620 subjects were categorised into 4 different age groups. Group 1 of 12–18 years, group 2 of 19–40 years and group 3 of 41–60 years were comprised of 180 (28.6%) individuals each, except for group 4 of greater than 60 years, which was comprised of 80 (14.3%) individuals.
Gonial angle
The mean value of the Gonial Angle among groups 1 (12–18 years) was 180.8372°, group 2 (19–40 years) was 180.0166°, group 3 (41–60 years) was 180.6042°, and group 4 (greater than 60 years) was 180.4131°.
The mean value of the gonial angle was comparatively higher among the younger age group and less among the older age group. Therefore, the gonial angle decreases as age increases.
The mean value of the gonial angle showed no significant difference between all age groups. Thus, this was found to be statistically insignificant with a p value (p=0.568) (Table 1).
Table 1. Comparison of four Age groups (Group 1, Group 2, Group 3, Group 4) with mean values and standard deviation of gonial angle (°), ramus height (mm), condylar length (mm), cortical bone thickness (mm) and ramus notch depth (mm). Two-way ANOVA test for all parameters.
Descriptive Statistics | Two-way ANOVA test | |||||
Variables | Ages (in years) | Mean | Std. Deviation | Mean Square | F | Sig. |
Gonial angle | 12–18 | 180.8372 | 6.35736 | 14.399 | 0.674 | 0.568 |
19–40 | 180.0166 | 5.20161 | ||||
41–60 | 180.6042 | 2.44684 | ||||
60+ | 180.4131 | 1.92699 | ||||
Condylar length | 12–18 | 20.9397 | 3.88782 | 58.004 | 3.584 | 0.014* |
19–40 | 22.1681 | 4.44695 | ||||
41–60 | 22.2246 | 3.70023 | ||||
60+ | 22.1692 | 4.06674 | ||||
Ramus length | 12–18 | 65.9610 | 9.78409 | 522.762 | 7.731 | 0.000* |
19–40 | 69.8940 | 8.07540 | ||||
41–60 | 70.1633 | 7.99625 | ||||
60+ | 70.8367 | 7.07502 | ||||
Cortical bone thickness | 12–18 | 3.3413 | 0.62294 | 5.794 | 11.531 | 0.000* |
19–40 | 3.6350 | 0.59964 | ||||
41–60 | 3.8704 | 0.73088 | ||||
60+ | 3.7517 | 0.91614 | ||||
Ramal notch width | 12–18 | 2.5629 | 0.94160 | 8.275 | 8.419 | 0.000* |
19–40 | 2.8821 | 1.01761 | ||||
41–60 | 2.9317 | 0.86233 | ||||
60+ | 3.3858 | 1.08460 | ||||
Note. *— p <0.05 significance at 5% level of significance.
The right and left sides of the gonial angle showed a significant difference and were found to be statistically significant with p <0.05. The gonial angle on the right side showed a significantly higher value than the left side (Table 2)
Table 2. Comparison of right and left sides of gonial angle (°), ramus height (mm), condylar length (mm), cortical bone thickness (mm) and ramus notch depth (mm) with mean values and standard deviation. Paired T-test for all parameters.
Variables | Sides | Mean | Std. Deviation | Paired differences | p | |
mean | Std. dev | |||||
Gonial angle | Right | 236.0962 | 8.19937 | 111.24123 | 15.46445 | 0.000* |
Left | 124.8550 | 9.76338 | ||||
Condylar length | Right | 21.8139 | 4.19556 | -0.03900 | 2.69601 | 0.767 |
Left | 21.8529 | 4.35044 | ||||
Ramus length | Right | 69.2093 | 8.78312 | 0.45469 | 3.06425 | 0.003* |
Left | 68.7546 | 8.76774 | ||||
Cortical bone thickness | Right | 3.6179 | 0.75727 | -0.03429 | 0.46712 | 0.133 |
Left | 3.6521 | 0.76497 | ||||
Ramal notch width | Right | 2.7962 | 1.03384 | -0.16167 | 0.69174 | 0.000* |
Left | 2.9579 | 1.07159 | ||||
Note. * — p <0.05 significance at 5% level of significance.
Condylar length
The mean value of the condylar length among groups 1 (12–18 years) was 20.9397 mm, group 2 (19–40 years) was 22.1681 mm, group 3 (41–60 years) was 22.2246 mm and group 4 (greater than 60 years) was 22.1692 mm.
The mean value of condylar length was comparatively lower among the younger age group and higher among the older age group. Therefore, the gonial angle increases as age increases.
The mean value of condylar length showed a significant difference between all age groups. Thus, this was found to be statistically significant with a p value. (p=0.035).
The right and left sides of condylar length showed no significant difference and were found to be statistically insignificant with p >0.05.
Ramus length
The mean value of Ramus length among group 1 (12–18 years) was 65.9610 mm, group 2 (19–40 years) was 69.8940 mm, group 3 (41–60 years) was 70.1633 mm and group 4 (greater than 60 years) was 70.8367 mm.
The mean value of ramus length was comparatively lower among the younger age group and higher among the older age group. Therefore, the ramus length increases as age increases.
The mean value of ramus length showed a significant difference between all age groups. Thus, this was found to be statistically significant with a p value (p=0.000).
The right and left sides of the ramus length showed a significant difference and were found to be statistically significant with p <0.05. The ramus length on the right showed a significantly higher value than on the left.
Cortical bone thickness
The mean value of cortical bone thickness among groups 1 (12–18 years) was 3.3413 mm, group 2 (19–40 years) was 3.6350 mm, group 3 (41–60 years) was 3.8704 mm, and group 4 (greater than 60 years) was 3.7517 mm.
The mean value of cortical bone thickness was comparatively lower among the younger age group and higher among the older age group, and again, after 60 years, the cortical bone thickness starts decreasing. Therefore, the gonial angle increases as age increases, and after 60 years it starts to decrease.
The mean value of cortical bone thickness showed a significant difference between all age groups. Thus, this was found to be statistically significant with a p value (p=0.000).
The right and left sides of cortical bone thickness showed no significant difference and were found to be statistically insignificant with p >0.05.
Ramal notch width
The mean value of Ramal notch width among group 1 (12–18 years) was 2.5629 mm, group 2 (19–40 years) was 2.8821 mm, group 3 (41–60 years) was 2.9317 mm, and group 4 (greater than 60 years) was 3.3858 mm.
The mean value of ramal notch width was comparatively lower among the younger age group and higher among the older age group. Therefore, the ramal notch width increases as age increases.
The mean value of ramal notch width showed a significant difference between all age groups. Thus, this was found to be statistically significant with a p value (p=0.000).
The right and left sides of the ramal notch width showed a significant difference and were found to be statistically significant with p <0.05. The ramal notch width on the left showed a significantly higher value than on the right side.
DISCUSSION
This study’s discussion centres on a number of methodological challenges that frequently occur when attempting to estimate age at death or when providing osteological evidence that may aid in confirming identifications [7]. The identification of the person and the assessment of the cause of death are the two basic issues that arise when human skeletal and dental remains are discovered. In forensic science, determining age and gender from skeletal remains is the first step [8].
To aid forensic identification, recent research has focused on using multiple skeleton features to assess variation linked to age and ethnicity [9]. Bones change constantly during a person’s life, and those changes in the skeleton follow a chronological pattern. Knowing what changes occur in the bones can aid in determining the age of the skeleton. The skull and mandible, in addition to the pelvis, are the few additional skeletal remains that display the most sexual dimorphism and should be used for this purpose when accessible [10]. The mandible is considered a significant tool in age determination because it is a strong bone that is difficult to break and disintegrate, as well as because of the changes in the size and shape of the jaw bones that occur during adult life.
Radiology is critical in determining a person’s age. Radiological images were utilised in the process of estimating age, which is among the most important tools in forensic science [9]. Panoramic imaging is a widely implemented technology in routine dental exams. It is a practical method for surveying dental problems since it provides all of the necessary information on a single panoramic film. As a result, the parameters in this investigation were measured using panoramic radiography [11].
This study assessed, correlated, and evaluated one angular (gonial angle) and four linear (condylar length, ramus length, cortical bone thickness, and ramal notch width) mandibular measurements as seen on digital panoramic radiographs in order to determine their utility in determining the age.
Gonial angle
In our present study, there was no significant difference in gonial angle between any of the age groups, which was found to be statistically not significant with p >0.05. This statement is in agreement with the studies conducted by RJdvan OkGayan et al.[4], Raustia and Salonen [12], Xie and Ainamo [13], who also found no significant difference in the gonial angle between the different age groups. In contrast, the study performed by Ohm and Silness [14], who found the gonial angle increasing with age and advancing edentulism, As our study did not include edentulous subjects, this could be one of the reasons for the difference observed in the increased gonial angle found by Ohm and Silness. However, on considering the dentate subjects, this study was found to be correlated with our study. Overall, this parameter (gonial angle) did not show a promising parameter for age determination.
In our study, we discovered a significant difference in gonial angle between both sides of the jaw. This is in correlation with the findings of Revant H. Chol e et al. [15], who also discovered a significant difference in the gonial angle between right and left sides of the jaw. However, this factor is not in agreement with the findings of Larheim et al. [16], who observed no significant difference between right and left gonial angles. This disagreement might be due to a disparity in sample size and the age group (14–28 years) of their study population.
In addition, our study also reported that the gonial angle was significantly greater on the right side of the mandible and was found to be statically significant when pairing right and left gonial angles with a p value <0.05.
Condylar length
When comparing different age groups, a few studies, which were performed by V. Sairam et al. [14] and Huumonen et al. [17], revealed a significant difference in condylar length. In our study, condylar length was found to be comparatively greater in the elderly age group than in the younger age group. In contrast, Okayson et al. [4], Joo et al. [18], Raustia and Salonen [12], and Merrot et al. [19] revealed no significant differences in condylar length when comparing different age groups. This disagreement in the study might be due to disparities in ethnicity, sample size, and age group. The studies that are in disagreement included edentulous subjects. Our study did not include edentulous subjects. Overall, this parameter (condylar length) appears to be a promising age determination.
In addition, our study did not show a statistically significant difference in condylar length when comparing both sides of the mandible and found to be statistically insignificant with p >0.05.
Ramus length
In our study, a significant difference in ramus length was observed between all age groups. This statement is in agreement with the other study by RJdvan OkGayan et al. [4], who also noted significant differences in RL values between all age groups. However, this is not in agreement with the findings of Joo et al. [18], Raustia and Salonen [12], and Merrot et al. [19], who reported no significant difference in the RL with ageing. This disagreement in the study might be due to differences in ethnicity, sample size, and age group. In our study and the study conducted by V. Sairam et al. [11], found that the RL increases with aging. In contrast, studies by RJdvan OkGayan et al. [4] and Huumonen et al. [17] observe that RL decreases as age increases. This disagreement might be due to the fact that our study did not include edentulous subjects. Overall, this parameter (ramus length) can be used for age determination.
In our study, a difference in ramus length was found between the right and left sides of the mandible and was found to be statistically significant, with the right side showing a higher value. (p = <0.05).
Cortical bone thickness
In our present study, a statistically significant difference in the thickness of cortical bone was observed between all age groups of dentate subjects and was shown to be in accordance with a few other studies carried out by JEONG-KI JOO [18], C.L. Schwartz-Dabney and P.C. Dechow [20]. The cortical bone thickness found in our study was statistically lower in younger age groups and increased in older age groups. Our study did not include completely edentulous individuals. Hence, this factor cannot be compared with the findings involving edentulous subjects in previous studies. Overall, this parameter (cortical bone thickness) can be strongly used for age determination.
In our study, though a difference in the cortical bone thickness was found between right and left sides of the mandible, the right side showed a greater value than the left side and was found to be statistically insignificant with p > 0.05.
Ramal Notch width
The study by RJdvan OkGayan et al. [4], observed that RNW increases with age but showed no statistically significant differences when compared with different age groups. In our study, ramal notch width was found to be statistically significant, being less in younger age groups and increasing in older age groups. This was in accordance with the study carried out by RJdvan OkGayan et al., who found RNW increases with aging. There was a statistically significant difference in ramal notch width even in our study between all age groups. This factor is not correlated with the study conducted by RJdvan OkGayan et al., who did not find any significant differences in the ramus notch width when comparing different age groups. This disagreement in the study might be due to the fact that it involved much older age group subjects (60–69 years) as well as edentulous subjects and also due to variations in ethnicity and sample size. Our study did not include subjects in this age group or edentulous subjects. Overall, this parameter (RNW) was found to be a promising parameter for age determination.
In our study, when comparing the right and left sides, the ramal notch width was greater on left side than on right. However, this was statistically not significant with p >0.05.
CONCLUSION
Forensic research has been conducted for many years on both living and non-living subjects for various investigative goals. In the field of forensic sciences, radiographic pictures are regarded as the best vital tool for estimating age. Of many, the measurements of the gonial condyle length, ramus length, cortical bone thickness, and ramal notch width are the most important, as these can be considered as stable indicators even when the skull is severely destructed.
The results obtained in the present study revealed that all parameters cannot be used as a tool for age estimation, as the condyle length, ramus length, cortical bone thickness, and ramal notch width except the gonial angle show anatomic variations between different age groups and are found to be statistically significant. Therefore, it is concluded that all linear measurements, except the angular measurement on digital panoramic images, with significant differences among different age groups can be used in forensic anthropology as a valuable tool for the estimation of age. Hence, these measurements are advocated varyingly for providing evidence in forensics, especially when other bones of the skeleton are unavailable.
LIMITATIONS
As this was a time-bound study, a statistically qualified minimum sample size was assessed. Further studies are recommended to validate our hypothesis with the larger sample size, including various ethnicity and socioeconomic groups for age determination.
ADDITIONAL INFORMATION
Funding source. This study was not supported by any external sources of funding.
Competing interests. The authors declare that they have no competing interests.
Authors’ contribution. All authors made a substantial contribution to the conception of the work, acquisition, analysis, interpretation of data for the work, drafting and revising the work, final approval of the version to be published and agree to be accountable for all aspects of the work. N. Harshitha, S. Viveka ― participation in planning and conducting research, data acquisition, data analysis, editing and writing; K. Patil ― participation in planning, study design, manuscript writing and manuscript editing; C.J. Sanjay ― study design, data acquisition, data analysis and manuscript writing; D. Nagabhushana ― data analysis, manuscript editing and writing.
About the authors
N. Harshitha
JSS Dental College and Hospital, JSS Academy of Higher Education and Research
Email: harshi.bnk@gmail.com
ORCID iD: 0000-0002-8795-5365
MD
India, Mysore 570015, KarnatakaKarthikeya Patil
JSS Dental College and Hospital, JSS Academy of Higher Education and Research
Author for correspondence.
Email: dr.karthikeyapatil@jssuni.edu.in
ORCID iD: 0000-0002-7941-2467
MD, Professor
India, Mysore 570015, KarnatakaC. J. Sanjay
JSS Dental College and Hospital, JSS Academy of Higher Education and Research
Email: drsanjaycj_dch@jssuni.edu.in
ORCID iD: 0000-0003-2830-1481
MD, Associate Professor
India, Mysore 570015, KarnatakaD. Nagabhushana
JSS Dental College and Hospital, JSS Academy of Higher Education and Research
Email: dr.nagabhushand@jssuni.edu.in
ORCID iD: 0000-0001-9035-0888
MD, Associate Professor
India, Mysore 570015, KarnatakaS. Viveka
JSS Dental College and Hospital, JSS Academy of Higher Education and Research
Email: sviveka96@gmail.com
ORCID iD: 0000-0003-2232-579X
MD
India, Mysore 570015, KarnatakaReferences
- Gluckman PD, Low FM, Buklijas T, et al. How evolutionary principles improve the understanding of human health and disease. Evol Appl. 2011;4(2):249–263. doi: 10.1111/j.1752-4571.2010.00164
- Ngun TC, Ghahramani N, Sánchez FJ, et al. The genetics of sex differences in brain and behavior. Front Neuroendocrinol. 2011;32(2):227–246. doi: n10.1016/j.yfrne.2010.10.001
- Weisberg YJ, Deyoung CG, Hirsh JB. Gender differences in personality across the ten aspects of the big five. Front Psychol. 2011;(2):178. doi: 10.3389/fpsyg.2011.00178
- Okşayan R, Asarkaya B, Palta N, et al. Effects of edentulism on mandibular morphology: evaluation of panoramic radiographs. Sci World J. 2014;2014:254932. doi: 10.1155/2014/254932
- Ghosh S, Vengal M, Pai KM, Abhishek K. Remodeling of the antegonial angle region in the human mandible: A panoramic radiographic cross-sectional study. Med Oral Patol Oral Cir Bucal. 2010;15(5):e802–807. doi: 10.4317/medoral.15.e802
- Maat GJ, Maes A, Aarents MJ, Nagelkerke NJ. Histological age prediction from the femur in a contemporary Dutch sample. The decrease of nonremodeled bone in the anterior cortex. J Forensic Sci. 2006;51(2):230–237. doi: 10.1111/j.1556-4029.2006.00062.x
- Konigsberg LW, Herrmann NP, Wescott DJ, Kimmerle EH. Estimation and evidence in forensic anthropology: Age-at-death. J Forensic Sci. 2008;53(3):541–557. doi: 10.1111/j.1556-4029.2008.00710
- Mann RW, Ubelakar DH. The forensic anthropologist. F.B.I Law enforcement bulletin. Am J Phys Anthropol. 1990;81:17–25.
- Franklin D, Cardini A, Higgins PO, et al. Mandibular morphology as an indicator of human subadult age: Geometric morphometric approaches. J Forensic Sci Med Pathol. 20084(2):91–99. doi: 10.1007/s12024-007-9015-7
- Dudar JC, Pfeiffer S, Saunders SR. Evaluation of morphological and histological adult skeletal age-at-death estimation techniques using ribs. J Forensic Sci. 1993;38(3):677–685.
- Sairam V, Potturi GR, Praveen B, Vikas G. Assessment of effect of age, gender, and dentoalveolar changes on mandibular morphology: A digital panoramic study. Contemp Clin Dent. 2018;9(1):49–54. doi: 10.4103/ccd.ccd_704_17
- Raustia AM, Salonen MA. Gonial angles and condylar and ramus height of the mandible in complete denture wearers--a panoramic radiograph study. J Oral Rehabil. 1997;24(7):512–516. doi: 10.1046/j.1365-2842.1997.00532.x
- Xie QF, Ainamo A. Correlation of gonial angle size with cortical thickness, height of the mandibular residual body, and duration of edentulism. J Prosthet Dent. 2004;91(5):477–482. doi: 10.1016/S0022391304001118
- Ohm E, Silness J. Size of the mandibular jaw angle related to age, tooth retention and gender. J Oral Rehabilitat. 1999;26(11):883–891. doi: 10.1046/j.1365-2842.1999.00464.x
- Chole R, Patil R, Chole BS, et al. Association of mandible anatomy with age, gender, and dental status: a radiographic study. ISRN Radiology. 2013;2013:453763. doi: 10.5402/2013/453763
- Larheim TA, Svanaes DB. Reproducibility of rotational panoramic radiography: Mandibular linear dimensions and angles. Am J Orthod Dentofacial Orthop. 1986;90(1):45–51. doi: 10.1016/0889-5406(86)90026-0
- Huumonen S, Sipilä K, Haikola B, et al. Influence of edentulousness on gonial angle, ramus and condylar height. J Oral Rehabil. 2010;37(1):34–38. doi: 10.1111/j.1365-2842.2009.02022.x
- Joo JK, Lim YJ, Kwon HB, Ahn SJ. Panoramic radiographic evaluation of the mandibular morphological changes in elderly dentate and edentulous subjects. Acta Odontol Scand. 2013;71(2):357–362. doi: 10.3109/00016357.2012.690446
- Merrot O, Vacher C, Merrot S, et al. Changes in the edentate mandible in the elderly. Surg Radiol Anat. 2005;27(4):265–270. doi: 10.1007/s00276-005-0323-x
- Schwartz-Dabney CL, Dechow PC. Edentulation alters material properties of cortical bone in the human mandible. J Dent Res. 2002;81(9):613–617. doi: 10.1177/154405910208100907
Supplementary files





