Forensic evaluation of ankle injury sustained as a result of a hoverboard impact: case from practice
- Authors: Siedin M.S.1,2, Plis S.S.1, Klevno V.A.1
-
Affiliations:
- Moscow Regional Research and Clinical Institute
- Bureau of Forensic Medical Examination of the Health Committee of the Kursk region
- Issue: Vol 8, No 1 (2022)
- Pages: 19-24
- Section: Case reports
- Submitted: 09.02.2022
- Accepted: 05.04.2022
- Published: 14.04.2022
- URL: https://for-medex.ru/jour/article/view/692
- DOI: https://doi.org/10.17816/fm692
- ID: 692
Cite item
Full Text
Abstract
Currently, the so-called means of individual mobility are gaining high popularity. Their use naturally entailed an increase in the number of road “incidents”, as well as the number of examinations carried out. The question of the most “traumatic” parts of the human body, the type volume of injuries in this type of injury in the domestic forensic medical literature has not been studied to date.
A description of the case from practice is given: citizen A. received an isolated injury to the right ankle joint when a person driving a hoverboard hit her. Citizen A. was hospitalized in the surgical department of the district hospital, where she underwent inpatient treatment and was discharged on the 16th day after the grass. The patient was examined by doctors, she underwent radiography of the right tibia. During the commission forensic medical examination on the case file with the examination of the victim, with the involvement of a radiologist as an expert and a detailed description of the radiographs, conclusions were made about the localization, nature, amount of damage, as well as the severity of the harm caused to health.
Analysis of foreign studies suggests that injuries associated with the participation of gyroscooters occur mainly when falling with the formation of fractures of the bones of the upper limbs. However, some authors cite cases of lower limb injuries with ankle injury. This case confirms the research of some foreign authors. In addition, this case clearly illustrates the role and significance of an additional instrumental method of research (radiography) and objective examination of the injured of the expert commission.
Full Text
ОБОСНОВАНИЕ
В последнее время во всём мире невероятно высокую популярность набирают так называемые средства индивидуальной мобильности (СИМ). СИМ представляют собой устройства, предназначенные для передвижения посредством электродвигателя (сегвей, моноколесо, электросамокат, гироскутер, электроскейтборд) либо с помощью мускульной энергии человека (самокат, роликовые коньки, скейтборд) [1]. Появление СИМ, с одной стороны, помогает человеку стать более мобильным, экономить деньги и время [2], с другой стороны, их использование влечёт за собой увеличение дорожных инцидентов.
Большинство отечественных публикаций, в которых рассматриваются проблемы и актуальность средств индивидуальной мобильности, не являются медицинскими, а изучаются в рамках административного права [3, 4]. Отечественных работ в области медицины (и судебной медицины в частности), касающихся вида, локализации, механизма возникновения, а также судебно-медицинской оценки повреждений у лиц, пострадавших в происшествиях с участием средств индивидуальной мобильности, нам не встретилось. В зарубежной литературе можно найти немало работ, авторы которых, будучи клиницистами, проводили преимущественно ретроспективную оценку повреждений у лиц, пострадавших в инцидентах с участием такой категории средств индивидуальной мобильности, как гироскутер (hoverboard). Гироскутер ― это электрическое самобалансирующееся средство передвижения, оснащённое двумя соединёнными поперечными площадками для стоп, подвижных относительно друг друга, и колёсами по бокам, приводимое в движение при определённом угле наклона площадок стопами благодаря электроприводам и системе гироскопических датчиков балансировки.
Анализ зарубежных источников, посвящённых травматизму на гироскутерах, свидетельствует о том, что по большей части он является детским, несмертельным, и средний возраст пострадавших приходится на 10–13 лет [5–10]. Однако, по данным ретроспективного анализа Национальной электронной системы наблюдения за травмами (National Electronic Injury Surveillance System, NEISS), выполненного A. Al-Kashmiri с соавт. [11], в США в период с 2011 по 2016 г. зафиксировано 77 инцидентов, из них 9 с летальным исходом, при этом средний возраст пострадавших составил 24,3 года. Согласно сведениям A.L. Tan и соавт. [12], из 614 случаев травм с участием моторизованных средств индивидуальной мобильности, к которым относятся и гироскутеры, было 6 смертельных случаев, из них 3 у лиц в возрасте от 40 до 59 лет и 3 у лиц старше 60 лет. Кроме этого, авторы пришли к выводу, что у лиц пожилого и старческого возраста отмечаются более тяжёлые травмы (какие именно, авторы не детализируют).
Наиболее травмоуязвимыми частями тела у пострадавших в происшествиях с участием гироскутеров являются верхние конечности [13]. Так, в подавляющем числе случаев переломы обнаруживаются в области дистального отдела лучевой кости и составляют, по данным C.J. Donnally с соавт. [5], 51,4%, по данным M. Ho с соавт. [14] ― 43%; P. Hosseinzadeh и соавт. [10] сообщают о 52,5% переломов в области дистального отдела лучевой и локтевой кости. Травма нижних конечностей, согласно наблюдениям M. Ho с соавт. [14], составила 21%, из них 11% пришлось на голеностопный сустав (вид повреждений голеностопного сустава в данной работе не детализирован). P. Hosseinzadeh с соавт. [10] сообщают менее чем о 3% случаев травматизации головы, органов грудной клетки и туловища. В свою очередь, A. Al-Kashmiri с соавт. [11] считают, что травмы, связанные с участием гироскутеров, не имеют каких-либо определённых закономерностей, «излюбленной» локализации, а формирующиеся повреждения зависят от покрытия соударения и скорости передвижения. Не во всех исследуемых случаях удавалось выяснить механизм травмы. В большинстве своём формирование повреждений возникало при падении с гироскутера на вытянутую руку [6, 8–10], причём, как утверждают M. Ho и соавт. [14], в 63% случаев падение происходит назад, в 21% ― вперёд, в 16% ― на боковую сторону. Кроме этого, среди 9 смертельных случаев с участием гироскутеристов, упомянутых в работе A. Al-Kashmiri с соавт. [11], 7 произошли в результате наезда автомобиля.
В отечественной судебно-медицинской литературе нам не встретилось работ, посвящённых изучению локализации, характера и морфологических особенностей повреждений, возникающих у пострадавших с участием средств индивидуальной мобильности.
Ниже приведён случай из практики, в котором повреждения были получены в происшествии с участием гироскутера.
ПРИМЕР ИЗ ПРАКТИКИ
Обстоятельства травмы
На пешеходной дорожке вблизи автобусной остановки лицо, непосредственно управляющее гироскутером, осуществляя движение прямо, совершило наезд (без последующего переезда) на гражданку А. 77 лет. Гражданка А. с полученными телесными повреждениями была доставлена в медицинскую организацию.
Данные медицинских документов
Исследована медицинская карта стационарного больного.
С места происшествия гражданка А. была доставлена бригадой скорой медицинской помощи в хирургическое отделение центральной районной больницы. При поступлении у пострадавшей отмечались деформация в области правой голени и голеностопном суставе, подвижность костных фрагментов, резкая болезненность при пальпации, а также ссадины размерами 2×0,1 и 3×0,1 см в области внутренней поверхности голеностопного сустава.
Гражданке А. выполнена рентгенография правой голени с захватом голеностопного сустава, по результатам которой обнаружены вывих стопы кнаружи, оскольчатый перелом нижней трети диафиза малоберцовой кости с угловым смещением, перелом медиальной лодыжки с боковым смещением.
В течение 15 сут больная находилась на стационарном лечении. На 16-е сут после травмы выписана в удовлетворительном состоянии под наблюдение травматолога по месту жительства. Через 3 мес после получения травмы пострадавшая осмотрена амбулаторно врачом-хирургом: выявлены отёк, ограничение движения в суставе, болезненность в правом голеностопном суставе.
Результаты судебно-медицинского обследования подэкспертного
Более чем через 11 мес после травмы пострадавшая осмотрена врачами судебно-медицинскими экспертами. Предъявляла жалобы на периодические умеренные боли в правой нижней конечности, возникающие после ходьбы и самостоятельно проходящие при снижении нагрузки на ногу. Со слов пострадавшей, наезд был совершён сзади («почувствовала удар в правую заднюю подколенную область, от полученного удара начала падать на спину, и в этот момент правая нога подвернулась в голеностопном суставе, так что стопа была вывернута кнаружи»). При объективном осмотре каких-либо повреждений, а также следов их заживления (участков депигментации, рубцов), в том числе в области правого и левого голеностопных суставов, не обнаружено. Окружность правого голеностопного сустава ― 22 см, левого ― 22 см. Объём свободных движений (сгибание и разгибание) в правом голеностопном суставе как при фиксированной пятке, так и в свободном положении достаточный, безболезненный.
Результаты рентгенологического исследования
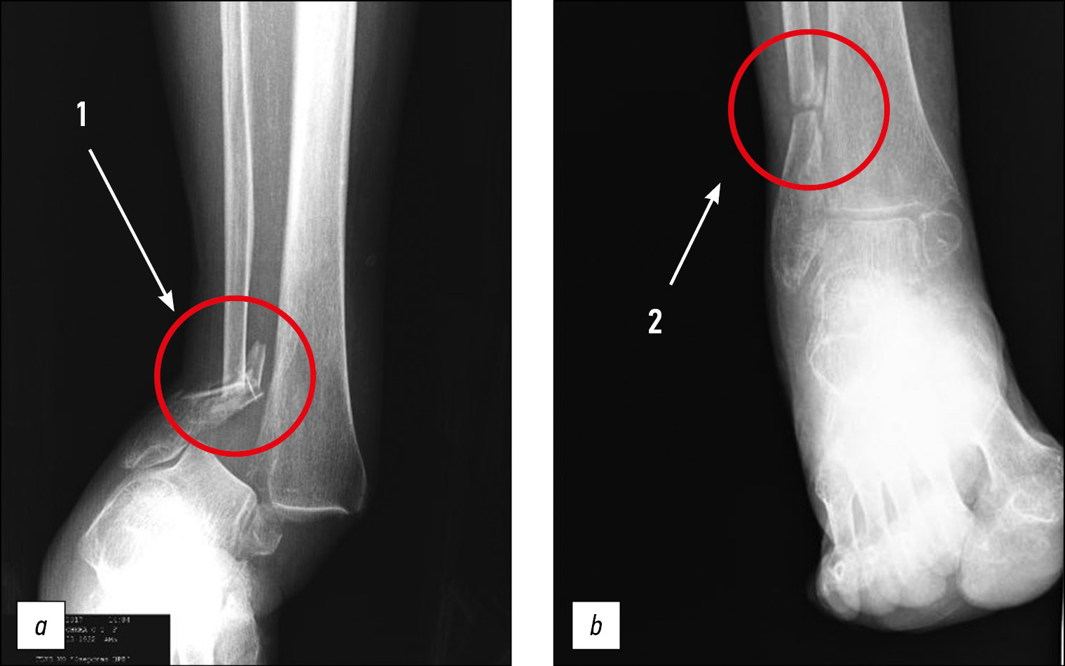
В рамках комиссионной экспертизы данные рентгенограммы изучены врачом-рентгенологом, которым констатировано следующее: «Определяются оскольчатый перелом нижней трети диафиза правой малоберцовой кости со смещением по длине и ширине, линейный перелом лодыжки правой большеберцовой кости со смещением, линейный перелом заднего края правой большеберцовой кости без смещения; соотношение костей в правом голеностопном суставе нарушено за счёт вывиха правой стопы кнаружи и кпереди. Края переломов заострены. Имеется расхождение костей правой голени в нижней трети за счёт разрыва дистального межберцового синдесмоза. Рентгенологических признаков консолидации не определяется» (рисунок).
Рис. Рентгеновский снимок правого голеностопного сустава в день травмы (а) и в динамике спустя 3 мес (b). Цифрами 1 (а) и 2 (b) обозначен оскольчатый перелом диафиза малоберцовой кости в нижней трети.
Fig. X-ray of the right ankle joint on the day of injury (a) and in dynamics after 3 months (b). The numbers 1 (a) and 2 (b) indicate a comminuted fracture of the fibular diaphysis in the lower third.
ОБСУЖДЕНИЕ
В разделе судебно-медицинской травматологии отсутствуют сведения о качественно-количественных характеристиках повреждений, образующихся в результате происшествий с участием средств индивидуальной мобильности (электросамокаты, самокаты, гироскутеры и пр.). Учитывая рост дорожных инцидентов с использованием СИМ (в том числе гироскутеров), нам представляется весьма актуальным изучение повреждений как у лиц, непосредственно управляющих такими средствами, так и лиц, получивших повреждения частями СИМ.
В отечественной литературе работы, касающиеся данной проблемы, отсутствуют. В статьях зарубежных авторов имеются сведения о том, что из 87 пострадавших в происшествиях с участием гироскутеров 82 непосредственно управляли средством индивидуальной мобильности, а 5 получили телесные повреждения, будучи его пассажирами или пешеходами [14]. В серии случаев, опубликованных в работе T. Robinson с соавт. [15], описан эпизод наезда гироскутера на четырёхлетнего ребёнка, результатом чего стали повреждения кожи и подлежащих мягких тканей двух пальцев стопы с формированием разрывов 1-го и 2-го пальцев без каких-либо иных костно-травматических изменений.
Представленный нами случай рассматривался в ходе комиссионной экспертизы, в состав которой были включены врачи судебно-медицинские эксперты, врач-рентгенолог. В результате наезда гироскутера на пешехода сзади (без последующего переезда) у гражданки А. выявлены следующие телесные повреждения: травма правой нижней конечности, включающая ссадины на внутренней поверхности правого голеностопного сустава, закрытый оскольчатый перелом нижней трети диафиза правой малоберцовой кости, закрытый перелом заднего края правой большеберцовой кости, разрыв дистального межберцового синдесмоза. Комбинация вышеприведённых повреждений свидетельствует о конструкционном характере травмы (т.е. на удалении от места приложения травмирующей силы) и чаще всего реализуется при падении пострадавшего из вертикального положения на плоскость при опоре правой нижней конечностью на пятку с обязательным условием чрезмерного подвёртывания стопы. Вышеуказанная травма, согласно п. 6.11.9. приложения «Медицинские критерии определения степени тяжести вреда, причинённого здоровью человека»1, квалифицируется как тяжкий вред.
ЗАКЛЮЧЕНИЕ
В отечественной судебно-медицинской литературе имеется большое количество работ по изучению повреждений, формирующихся при автомобильной или мотоциклетной травме, единичные работы посвящены велосипедной травме, однако полностью отсутствуют публикации, связанные с оценкой повреждений, полученных в происшествиях с участием средств индивидуальной мобильности. Приведённый случай иллюстрирует характер, локализацию и объём повреждений, полученных в случае наезда гироскутера на пешехода.
Травматизм с использованием средств индивидуальной мобильности набирает тенденцию к росту. Вслед за этим возрастает количество экспертиз, касающихся решения вопросов о виде повреждений, механизмах их возникновения, а также степени тяжести причинённого вреда здоровью человека. В состав экспертной комиссии для оценки тяжести вреда в подобных случаях особенно важно включать врачей-рентгенологов с подробным изучением рентгенограмм, в том числе целесообразно проводить очный осмотр потерпевших.
ДОПОЛНИТЕЛЬНО
Источник финансирования. Исследование и публикация статьи не имели спонсорской поддержки.
Конфликт интересов. Авторы декларируют отсутствие явных и потенциальных конфликтов интересов, связанных с публикацией настоящей статьи.
Вклад авторов. М.С. Съедин ― сбор данных; М.С. Съедин, С.С. Плис ― написание черновика рукописи; М.С. Съедин, С.С. Плис, В.А. Клевно ― научная редакция рукописи, рассмотрение и одобрение окончательного варианта рукописи. Авторы подтверждают соответствие своего авторства международным критериям ICMJE (все авторы внесли существенный вклад в разработку концепции, проведение исследования и подготовку статьи, прочли и одобрили финальную версию перед публикацией).
ADDITIONAL INFORMATION
Funding source. The study had no sponsorship.
Competing interests. The authors declare that they have no competing interests.
Authors’ contribution. M.S. Siedin ― data collection; M.S. Siedin, S.S. Plis ― draftig of the manuscript; M.S. Siedin, S.S. Plis, V.A. Klevno ― critical revition of the manuscript for important intellectual content, review and approve the final manuscript. Authors made a substantial contribution to the conception of the work, acquisition, analysis, interpretation of data for the work, drafting and revising the work, final approval of the version to be published and agree to be accountable for all aspects of the work.
1 Приложение к Приказу Министерства здравоохранения и социального развития РФ от 24 апреля 2008 г. N 194н «Об утверждении Медицинских критериев определения степени тяжести вреда, причинённого здоровью человека». Режим доступа: https://base.garant.ru/12162210/. Дата обращения: 15.02.2022.
About the authors
Maxim S. Siedin
Moscow Regional Research and Clinical Institute; Bureau of Forensic Medical Examination of the Health Committee of the Kursk region
Email: dablV1@mail.ru
ORCID iD: 0000-0002-4724-4008
MD, Correspondence Postgraduate Student
Russian Federation, 1 bld 61/2, Shchepkina str., Moscow; KurskSemyon S. Plis
Moscow Regional Research and Clinical Institute
Email: SSPlis.work@gmail.com
ORCID iD: 0000-0002-0232-0425
SPIN-code: 4347-1925
Assistant Lecturer
Russian Federation, 1 bld 61/2, Shchepkina str., MoscowVladimir A. Klevno
Moscow Regional Research and Clinical Institute
Author for correspondence.
Email: vladimir.klevno@yandex.ru
ORCID iD: 0000-0001-5693-4054
SPIN-code: 2015-6548
MD, Dr. Sci. (Med.), Professor
Russian Federation, 1 bld 61/2, Shchepkina str., MoscowReferences
- Jung AA, Shevtsova AG. Assessment of the accident rate of means of individual mobility in various traffic conditions. Modern Sci. 2021;(2):31–36. (In Russ). doi: 10.53039/2079-4401.2021.4.2.007
- Bloom MB, Noorzad A, Lin C, et al. Standing electric scooter injuries: impact on community. Am J Surg. 2021;221(1):227–232. doi: 10.1016/j.amjsurg.2020.07.020
- Kalyuzhny YN. Modern problems of legislative regulation of the use of certain types of electric transport. Administrative Law Practice Administration. 2019;5:27–33. (In Russ). doi: 10.7256/2306-9945.2019.5.30729
- Soynikov SA. Features of determining the administrative and legal status of road users using modern technical means of transportation (means of individual mobility). Bulletin Economic Security. 2020;1:216–219. (In Russ). doi: 10.24411/2414-3995-2020-10040
- Donnally CJ, Lawrie CM, Rush AJ, et al. The season of hoverboards: a case series of fractures. Pediatr Emerg Care. 2017;33(5):325–328. doi: 10.1097/PEC.0000000000001120
- Schapiro AH, Lall NU, Anton CG, et al. Hoverboards: spectrum of injury and association with an uncommon fracture. Pediatric Raliol. 2017;47(4):437–441. doi: 10.1007/s00247-016-3766-9
- Sobel AD, Reid DB, Blood TD, et al. Pediatric orthopedic hoverboard injuries: a prospectively enrolled cohort. J Pediatr. 2017;190:271–274. doi: 10.1016/j.jpeds.2017.07.041
- Monteilh C, Patel P, Gaffney J. Muskuloskeletal injuries associated with hoverboard use in children. Clin Pediatr. 2017;56(10):909–911. doi: 10.1177/0009922817706143
- Bandzar S, Funsch DG, Hermansen R, et al. Pediatric hoverboard and skateboard injuries. Pediatrics. 2018;141(4):e20171253. doi: 10.1542/peds.2017-1253
- Hosseinzadeh P, Devries C, Saldana RE, et al. Hoverboard injuries in children and adolescents: results of a multicenter study. J Pediatric Orthopaedics. 2019;28(6):555–558. doi: 10.1097/BPB.0000000000000653
- Al-Kashmiri A, Hasan AQ, Al-Shaqsi S. Rolling danger: the epidemiology of injuries caused by hoverboards in the United States in five years (2011–2016). J Emerg Crit Care Med. 2017;1:32. doi: 10.21037/jeccm.2017.10.02
- Tan AL, Nadkarni N, Wong TH, et al. The price of personal mobility: burden of injury and mortality from personal mobility devices in Singapore ― a nationwide cohort stude. BMC Public Health. 2019;19(1):880. doi: 10.1186/s12889-019-7210-6
- Do MT, McFaull S, Cheesman J, et al. Emergency department preentations for hoverboard-related injuries: the electronic Canadian Hospitals Injury Reporting and Prevention Program, 2015 to 2016. Health Promot Chronic Dis Prev Can. 2016;36(12):316–317. doi: 10.24095/hpcdp.36.12.06
- Ho M, Horn BD, Lin IC, et al. Musculoskeletal injuries resulting from use of hoverboars: safety concerns with an unregulated consumer product. Clin Pediatr (Phila). 2018;57(1):31–35. doi: 10.1177/0009922816687327
- Robinson T, Agarwal M, Chaudhary S, et al. Pediatric hoverboard injuries: a need for enhanced safety measures and public awareness. Clin Pediatr. 2016;55(11):1078–1080. doi: 10.1177/0009922816664066
Supplementary files





