Death from the introduction of Ceftriaxone in the presence of Lidocaine (case report)
- Authors: Travenko E.N.1, Porodenko V.A.1, Surikova A.V.1
-
Affiliations:
- Kuban State Medical University
- Issue: Vol 9, No 1 (2023)
- Pages: 69-78
- Section: Case reports
- Submitted: 18.11.2021
- Accepted: 22.11.2022
- Published: 06.03.2023
- URL: https://for-medex.ru/jour/article/view/670
- DOI: https://doi.org/10.17816/fm670
- ID: 670
Cite item
Full Text
Abstract
In clinical and expert practice, pathological processes such as toxic reactions and anaphylaxis may develop following the introduction of the local anesthetic lidocaine; however, information about the death of children is limited and scattered. The morphological signs of these cases are non-specific, which leads to difficulty in interpreting the results of the study and determining the causes of death.
This report described the death of a child following intramuscular administration of ceftriaxone in a 2% lidocaine solution. The results of the primary and commission examination of the corpse and data of repeated pathohistological examinations of a 2-year-old child are presented. The objective expert conclusion about the cause of death following the intramuscular administration of ceftriaxone in a 2% lidocaine solution was toxic effects (overdose) or anaphylactic shock, which requires assessing the sequence of the event and nature of the clinical picture, taking into account the route of drug administration, comprehensive pathohistological and morphological studies, and mandatory forensic chemical determination of the concentration of these drugs in the internal organs and blood.
Morphological signs of an allergic reaction can be verified based on pathomorphological data, including changes in the target organs of anaphylaxis and pronounced hemocirculatory disorders. In our opinion, further in-depth study and systematization of available data are needed.
Keywords
Full Text
АКТУАЛЬНОСТЬ
Лидокаин (ксикаин) относится к группе местных анестетиков (амидная группа), применяется для всех видов анестезии в концентрации 1–3% и более.
По данным наблюдений, частота анафилаксии на лидокаин за 20 лет составила 4 случая на 280 000 больных [1], при этом отмечается тенденция роста анафилактического шока на препараты местной анестезии, в том числе у детей.
При введении лидокаина возможно развитие токсического эффекта (передозировка) или аллергических реакций, как с преимущественным поражением отдельных органов, так и с системными проявлениями. Согласно классификации Джелла и Кумбса (H. Gell, R. Coombs, 1968), а также классификации лекарственной аллергии, принятой Международным консенсусом по лекарственной аллергии (International Concensus on drug allergy ICON on Drug Allergy, 2014), реакции могут развиваться по любому из типов [2]. В частности, токсический эффект обычно возникает при абсолютной передозировке, когда доза препарата превышена, либо при относительной передозировке, когда нарушен его метаболизм [3]. Дети в возрасте от 0 до 4 лет наиболее подвержены риску тяжёлых проявлений анафилаксии [4]. В случаях прямого поступления в кровь даже незначительных доз раствора лиокаина может наступить летальный исход.
Истинные аллергические реакции, в том числе анафилактический шок, возникают очень редко (0,1–1% всех побочных эффектов) [5]. Согласно инструкции, максимальная доза лидокаина не должна превышать 4,5 мг на 1 кг веса1. По данным Международной ассоциации судебных токсикологов (International Association of Forensic Toxicologists, TIAFT), терапевтическая концентрация лидокаина в сыворотке составляет 1,5–5, токсическая ― 7–14, летальная ― более 25,0 мг/л [6]. Вместе с тем развитие аллергических реакций не всегда зависит от излишнего количества введённого анестетика: даже рекомендуемые к применению дозы препаратов могут вызвать подобные осложнения [7].
Лидокаин нередко вводят с другими препаратами, и, по мнению ряда авторов2 [8], аллергия обычно развивается не на сам лидокаин, а на лекарство-спутник. Классический вариант — когда лидокаином разводят антибиотик и вводят его в вену. Наступает сенсибилизация (приобретение организмом специфической повышенной чувствительности к чужеродным веществам — аллергенам). При повторном введении препарата с этим антибиотиком у человека развивается анафилактический шок. Другие авторы отмечают возможное развитие анафилаксии не только на лидокаин, но и на вводимый антибиотик, в частности цефтриаксон, который сам по себе может вызывать побочные реакции, а также на сочетание этих препаратов [9].
Данная проблема обсуждается в зарубежных и отечественных публикациях. В судебно-медицинской практике описаны аллергические реакции у взрослых на лидокаин (анафилактический шок) при производстве паравертебральной блокады терапевтической дозой (2% лидокаин в объёме 4 мл) спустя 4 дня после первой инъекции на фоне предварительной отрицательной кожной пробы и анамнеза об использовании препарата ранее хирургом и стоматологом; при парацервикальной блокаде шейки матки с целью искусственного прерывания беременности путём введения 8 мл 10% раствора без предварительной внутрикожной пробы; при введении в позвоночный канал 2% раствора в связи с флебэктомией; при операциях лапаро- и торакоцентеза; при гистероскопии и парацервикальной анестезии и пр. [10–12]. Случаи анафилаксии и смерти детей разных возрастных периодов от введении анастетика представлены незначительным и несистематизированным рядом работ, в которых нередко указывается реакция на введение антибиотика в сочетании с лидокаином [13–16].
В настоящее время критерии анафилаксии в целом одинаковы как для детей, так и для взрослых пациентов. Однако существуют трудности в диагностике анафилаксии у детей, особенно раннего возраста, часто обусловленные наличием у них неспецифических симптомов (тахикардия, боли в животе и др.), отсутствием возможности вербального контакта с больным, широким спектром заболеваний с остро возникающими симптомами [17], а также ограниченными данными о фармакокинетике лидокаина у детей младшего возраста [18]. Описанные исследователями морфологические и патогистологические признаки констатируются как неспецифичные и требуют дальнейшего изучения [19, 20].
ОПИСАНИЕ СЛУЧАЯ
Объектом исследования явились материалы гистологического архива и комиссионной экспертизы по факту смерти ребёнка в лечебном учреждении.
Обстоятельства происшествия
Из постановления следователя известно, что 13.10.2020 ребёнку 2018 года рождения в фельдшерско-акушерском пункте была сделана прививка «Превенар ретард 13». Со слов матери, 16.10.2020 у ребёнка повысилась температура до 39°С, появились насморк, кашель. Не имея специальных познаний в области оказания медицинской помощи и медицинского образования, без рекомендаций медицинских работников мать самостоятельно осуществляла симптоматическое лечение и внутримышечные инъекции раствором цефтриаксона (1 г), разведённого лидокаином (2%, 2,0 мл). 18.10.2020 около 18 ч мать сделала очередную внутримышечную инъекцию, после чего состояние ребёнка ухудшилось: он стал вялым, начались судороги, затем появились хрипы, одышка, потеря сознания. Была вызвана скорая помощь.
Данные медицинских документов
18.10.2020 в 18.55 бригадой скорой медицинской помощи ребёнок доставлен в приёмное отделение ЦРБ в состоянии клинической смерти. Реанимационные мероприятия успеха не имели, и в 19.35 констатирована биологическая смерть. Клинический диагноз основной: «Анафилактический шок, молниеносное течение, III стадия».
Сведения об аллергическом анамнезе у ребёнка в медицинской документации не отражены. Труп ребёнка направлен на судебно-медицинское вскрытие.
Результаты судебно-медицинского исследования трупа
При наружном исследовании выявлены экхимозы в слизистую оболочку век, отёк языка со следами прикусывания кончика, сукровичная жидкость в отверстиях рта и носа. В верхненаружном квадранте левой ягодицы ― две точечные ссадины (следы от медицинских уколов). При внутреннем исследовании трупа ― отёк и полнокровие мягкой мозговой оболочки и головного мозга; отёк мягких тканей гортани; мелкоточечные кровоизлияния под плеврой; очаговый отёк в лёгких; неравномерное кровенаполнение почек. Остальные органы без особенностей.
Результаты гистологического исследования
При судебно-гистологическом исследовании выявлены «шоковые лёгкие», очаговый начинающийся альвеолярный отёк, спазм сосудов лёгких, гемодинамический ателектаз, острая эмфизема в лёгких; «шоковые почки» (сегментарный разрыв базальных мембран канальцев, интерстициальный отёк, коллапс клубочков); гемодинамические нарушения в системе микроциркуляторного русла (стазы эритроцитов, сепарация плазмы и форменных элементов, набухание эндотелиоцитов).
Результаты токсикологического исследования
При судебно-химическом исследовании выявлен лидокаин в печени, почке, стенке желудка с содержимым, кишечнике, головном мозге и крови. Количественного определения лидокаина и исследования на цефтриаксон не производилось.
На основании полученных данных установлен основной диагноз: «Анафилактический шок. Осложнение основного заболевания: «Отёк головного мозга и лёгких»; сопутствующие: «Очаговая бронхопневмония, катаральный ларингит, интерстициальный миокардит, инволютивные изменения вилочковой железы».
В отношении матери ребёнка возбуждено уголовное дело по ч. 1 ст. 1093; назначена комиссионная судебно-медицинская экспертиза для установления причины смерти и решения ряда вопросов по оценке правильности действий медицинских работников, поскольку мать была не согласна с предъявленным обвинением и настаивала, что ребёнок умер от заболевания и неправильных действий врачей. Экспертиза проведена комиссией в составе двух судебно-медицинских экспертов и врача-педиатра. В ходе проведения комиссионной экспертизы проведено повторное патогистологическое исследование.
Результаты повторного патогистологического исследования
Выявлены:
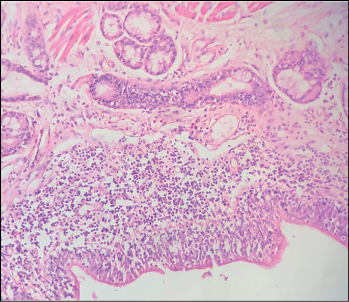
- отёк гортани, гиперплазия лимфоидных фолликулов; очаговая лимфоидная инфильтрация с эозинофильными лейкоцитами в стенке трахеи (рис. 1);
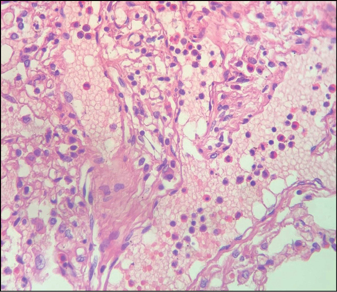
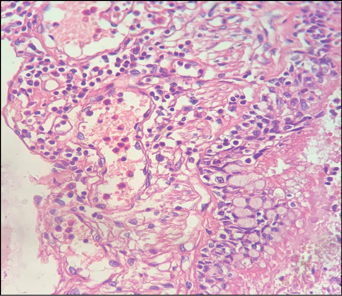
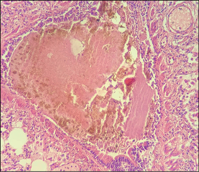
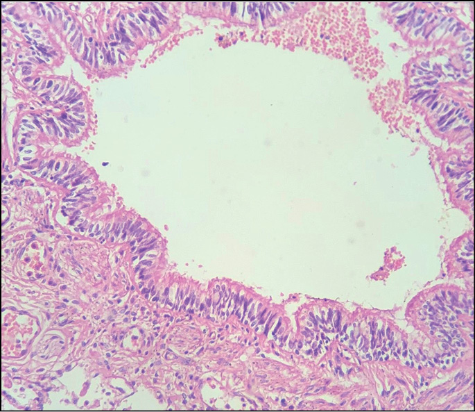
- очаги острой альвеолярной эмфиземы, дистелек-тазов, серозного отёка, интерстициального воспаления; мелкоочаговый альвеолит; нарушение гемодинамики в системе микроциркуляторного русла; в просветах сосудов эозинофилия разной степени выраженности (рис. 2); стенки бронхов с небольшой полиморфноклеточной инфильтрацией, наличием эозинофильных лейкоцитов (рис. 3); спазм бронхов и бронхиол (рис. 4), в просветах части бронхиол ― гомогенные бурые массы, клетки десквамированного эпителия (рис. 5); отёк висцеральной плевры;
- неравномерное кровенаполнение почек (ишемия коры, относительное полнокровие юкстамедуллярной зоны); белковая дистрофия канальцевого эпителия почек;
- мелкоочаговый интерстициальный миокардит; отёк стромы, нарушение гемодинамики миокарда с участками ишемии и полнокровия. В поляризованном свете: укорочены изотропные диски кар-диомиоцитов, анизотропные диски сближены, с выраженной анизотропией, поперечная исчерченность сохранена (очаговая контрактурная дегенерация кардиомиоцитов II степени);
- отёк головного мозга, дистрофические изменения нейронов; периваскулярные кровоизлияния в мягкой мозговой оболочке и стволовых структурах головного мозга, периваскулярные и мелкоочаговые кровоизлияния в стенке бокового желудочка головного мозга;
- умеренная лимфоидная гиперплазия белой пульпы селезёнки и единичные мелкоочаговые кровоизлияния;
- акцидентальная инволюция вилочковой железы, 2-я фаза;
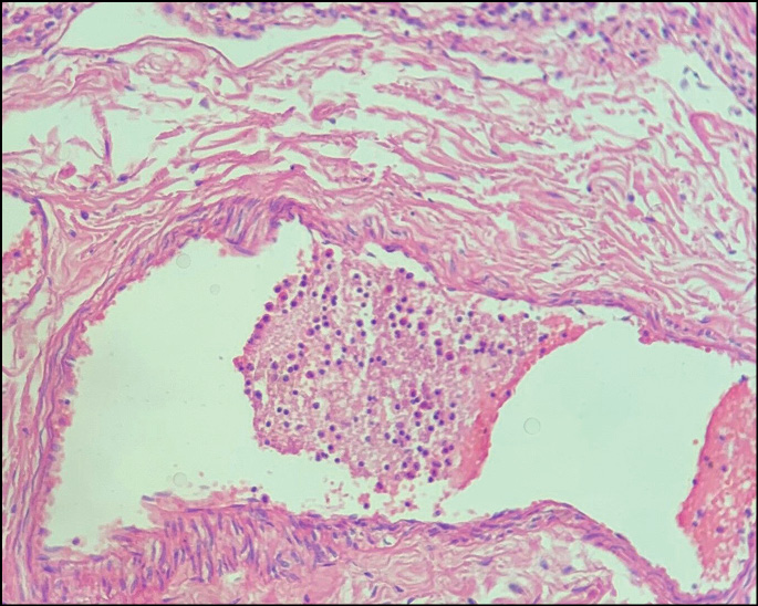
- гемодинамические нарушения в системе микроциркуляторного русла (рис. 6): набухание клеток эндотелия, венозное полнокровие, парез и дистония венул, эритростазы, отмешивание форменных элементов от плазмы, красные микротромбы, отёк, кровоизлияния во внутренних органах, неравномерное кровенаполнение.
Рис. 1. Лимфоидная инфильтрация с эозинофильными лейкоцитами в стенке трахеи. Окраска гематоксилином и эозином, ×20.
Рис. 2. Скопление эозинофильных лейкоцитов в просветах сосудов лёгких. Окраска гематоксилином и эозином, ×100.
Рис. 3. Незначительная полиморфноклеточная инфильтрация и эозинофильные лейкоциты в стенке бронхов. Окраска гематоксилином и эозином, ×100.
Рис. 4. Спазм бронхиол. Окраска гематоксилином и эозином, ×20.
Рис. 5. Наличие в просвете бронхиол гомогенных бурых масс с примесью клеток десквамированного бронхиолярного эпителия. Окраска гематоксилином и эозином, ×20.
Рис. 6. Гемодинамические нарушения в системе микроциркуляторного русла: отмешивание форменных элементов от плазмы с примесью эозинофильных лейкоцитов. Окраска гематоксилином и эозином, ×20.
На основании изучения представленных материалов и повторного патогистологического исследования комиссия экспертов не смогла точно сформулировать причину смерти ребёнка и пришла только к выводу, что смерть наступила от «развития патологической реакции на введение лидокаина».
Дефектов оказания медицинской помощи комиссией не выявлено, установлена прямая причинно-следственная связь между введением лидокаина и наступлением смерти.
ОБСУЖДЕНИЕ
Местным анестетикам свойственен узкий терапевтический диапазон: интервал между максимальной терапевтической и минимальной токсической дозой незначителен, поэтому необходимо проводить дифференциацию между аллергической и токсической реакциями [21]. Однако практика показывает, что в случаях развития патологических реакций на введение таких лекарственных препаратов трактовка механизмов их развития не всегда однозначна ввиду малоспецичности проявлений.
Так, в работе О.П. Денисовой и соавт. [22] описан случай введения 8 мл 10% лидокаина и смерти 27-летней женщины от отравления в результате передозировки препарата. Анализируя данные патогистологического исследования, авторы пришли к выводу, что можно было заподозрить асфиктический вариант анафилактического шока, однако по каким-то причинам этот диагноз не был выставлен. Данных о концентрации лидокаина в крови при описании случая не приводилось. И, наоборот, при описании смерти 34-летней женщины после введения лидокаина при парацервикальной анестезии указывается, что причиной летального исхода явился анафилактический шок, при этом концентрация лидокаина в крови была токсической ― 98,0 мг/л [23].
В.Д. Хохловым и соавт. [24] описан случай развития молниеносного фатального анафилактического шока при введении терапевтической дозы препарата (4 мл 2% раствора) внутримышечно. Морфологические проявления соотносились с клиническими критериями NIAID/FAAN анафилаксии и анафилактического шока, принятыми в 2005 году (Second National Institute of Allergy and Infectious Disease/Food Allergy and Anaphylaxis Network): острая реакция (минуты–часы), вовлекающая кожу и/или слизистые оболочки (например, генерализованная крапивница, зуд, приливы, отёк губ или языка), один или два из следующих критериев: (а) респираторные симптомы (например, диспноэ, бронхоспазм, стридор, гипоксемия и пр.); (б) снижение артериального давления и ассоциированные с ним симптомы поражения органов мишеней; (в) персистирующие гастроинтестинальные симптомы (например, спастические боли в животе, рвота) [25].
С учётом вышеизложенного, выявленные клинико-морфологические признаки в нашем случае следует в большей степени расценивать как проявления общей (системной) реакции на введение лекарственных препаратов: токсико-аллергическая реакция (анафилактическая) молниеносного типа (шок) в ответ на введение местного анестетика лидокаина в условиях введения терапевтической дозы (20 мг) внутримышечно при максимально допустимой по возрасту (масса тела ребёнка 13–14 кг) 58–63 мг. Вариант развития течения анафилактической реакции ― комбинированный (церебральный + асфиктический + гемодинамический).
Несмотря на то, что уровень лидокаина и содержание цефтриаксона при судебно-химическом исследовании не устанавливались, нельзя исключить также токсическое воздействие (передозировку) одного (лидокаин) или обоих препаратов.
ЗАКЛЮЧЕНИЕ
Объективизация экспертных выводов о причинах смерти от внутримышечного введения цефтриаксона, разведённого с 2% раствором лидокаина, ― токсическое воздействие (передозировка) либо развитие анафилактического шока ― требует оценки последовательности развития событий и характера клинической картины, учёта пути введения препаратов, полноценного патогистологического и морфологического исследования, а также обязательного судебно-химического определения концентрации указанных средств во внутренних органах и крови, а в случаях проведения комиссионной экспертизы ― привлечения в состав не только педиатров, но и других специалистов ― фармаколога, токсиколога.
На наш взгляд, дифференцирующими признаками аллергической реакции можно считать комплекс патоморфологических данных, включающий в себя изменения в органах-мишенях анафилаксии, а именно коже (сыпь, отёк); слизистых оболочках (мелкоочаговые и периваскулярные кровоизлияния); верхних дыхательных путях (отёк голосовых складок, гортани, очаговая эозинофильная инфильтрация стенок гортани и бронхов); нижних дыхательных путях (спазм бронхов и бронхиол, гомогенные бурые массы, клетки десквамированного эпителия в просветах бронхиол, очаги ателектазов, эмфиземы); сердечно-сосудистой системе (отёк стромы, очаговая контрактурная дегенерация кардиомиоцитов II степени); головном мозге (отёк, периваскулярные кровоизлияния в мягкой мозговой оболочке, тканях головного мозга и стволовых отделах, дистрофические изменения нейронов); почках («шоковая почка», эозинофильные массы в просвете почечных канальцев); желудочно-кишечном тракте (отёк языка, отёк и кровоизлияния в стенке кишечника); а также выраженные гемоциркуляторные расстройства (набухание клеток эндотелия, отмешивание форменных элементов от плазмы, эритростазы, микротромбы; кровоизлияния в серозные оболочки, ткани; неравномерное кровенаполнение внутренних органов).
Рассмотренная проблема, на наш взгляд, требует углублённого изучения и систематизации имеющихся данных.
ДОПОЛНИТЕЛЬНО
Источник финансирования. Авторы заявляют об отсутствии внешнего финансирования при проведении поисково-аналитической работы.
Конфликт интересов. Авторы декларируют отсутствие явных и потенциальных конфликтов интересов, связанных с публикацией настоящей статьи.
Вклад авторов. Все авторы подтверждают соответствие своего авторства международным критериям ICMJE (все авторы внесли существенный вклад в разработку концепции, проведение поисково-аналитической работы и подготовку статьи, прочли и одобрили финальную версию перед публикацией). Наибольший вклад распределён следующим образом: Е.Н. Травенко ― концепция и дизайн работы, анализ и интерпретация данных, написание рукописи; В.А. Породенко ― концепция и дизайн работы, анализ и интерпретация данных, научное редактирование рукописи; А.В. Сурикова ― сбор и обработка данных, оформление графического материала.
ADDITIONAL INFORMATION
Funding source. This article was not supported by any external sources of funding.
Competing interest. The authors declare that they have no competing interests.
Authors’ contribution. All authors made a substantial contribution to the conception of the work, acquisition, analysis, interpretation of data for the work, draft ng and revising the work, fi al approval of the version to be published and agree to be aсcountable for all aspects of the work. E.N. Travenko — concept and design of the work, collection, analysis and interpretation of data, writing the manuscript; V.A. Porodenko — research concept and design, data analysis and interpretation, scientific editing of the manuscript; A.V. Surikova ― data collection and processing, drawing design.
1 Справочник Видаль «Лекарственные препараты в России» [Электронный ресурс]. Лидокаин (Lidocaine): описание препарата. Режим доступа: https://www.vidal.ru/drugs/lidocain_455.
2 Убийца-лидокаин. Чем он опасен и как защититься? Режим доступа: https://anest-rean.ru/asa-recomendation/1479849450506-2d13cb65-a8ff.
3 Уголовный кодекс Российской Федерации от 13.06.1996 N 63-ФЗ (ред. от 29.12.2022). Статья 109. Причинение смерти по неосторожности. 1. Причинение смерти по неосторожности. Режим доступа: https://www.consultant.ru/document/cons_doc_LAW_10699/639472a621d0ccfce338497548ff5d396aa96045/.
About the authors
Elena N. Travenko
Kuban State Medical University
Email: elenaschon@yandex.ru
ORCID iD: 0000-0001-7403-2521
SPIN-code: 8748-3506
MD, Dr. Sci. (Med.), Assistant Professor
Russian Federation, KrasnodarValeriy A. Porodenko
Kuban State Medical University
Email: porodenko52@mail.ru
ORCID iD: 0000-0001-6353-7380
SPIN-code: 6685-8824
MD, Dr. Sci. (Med.), Professor
Russian Federation, KrasnodarAnastasia V. Surikova
Kuban State Medical University
Author for correspondence.
Email: avsurikova56@yandex.ru
ORCID iD: 0000-0003-4883-0815
Russian Federation, Krasnodar
References
- Vozgomen OV. Allergy or toxic reaction. Difficult patient. 2017;15(10-11):54–56. (In Russ).
- Demoly P, Adkinson NF, Brockow K, et al. International Consensus on drug allergy. Allergy. 2014;69(4):420–437. doi: 10.1111/all.12350
- Lazarenko LL, Shabanov DV, Ses TP, et al. Drug allergy to local anesthetics: Various diagnostic strategies. Russ Med J. 2020;4(1):42–47. (In Russ). doi: 10.32364/2587-6821-2020-4-1-42-47
- Simons FE, Sampson HA. Anaphylaxis: Unique aspects of clinical diagnosis and management in infants (birth to age 2 years). J Allergy Clin Immunol. 2015;135(5):1125–1131. doi: 10.1016/j.jaci.2014.09.014
- Anaphylactic shock. Clinical recommendations (Age group: neonatal period/children/adults). 2020. 34 p.
- Donald Uges RA. TIAFT Bulletin of the International association of forensic toxicologist. The Netherland. 1996;26(1, Suppl).
- Rabinovich SA, Zavodilenko LA. Systemic toxicity of local anesthetics. Dentistry. 2017;96(2):36–42. (In Russ). doi: 10.17116/stomat201796236-42
- Dolginina SI, Osadchiy IA, Faerman KM, Aleksankin AV. A case of acute development of shock on the administration of Ceftriaxone, complicated by acute coronary syndrome with ST-segment elevation. Siberian Medical Review. 2019;(4):99–102. (In Russ). doi: 10.20333/2500136-2019-4-99-102
- Demchenkova EY, Gorodetskaya GI, Mazerkina IA, et al. Topical issues of identifying and monitoring adverse reactions when using cephalosporin antibiotics. Safety Risk Pharmacotherapy. 2021;9(1):34–42. (In Russ). doi: 10.30895/2312-7821-2021-9-1-34-42
- Kuzmin AV, Shafransky AP, Izmailova ZM, Remizov GV. Dental care for patients at risk of developing adverse reactions to local anesthetics. Dentistry. 2018;97(6):63–65. (In Russ). doi: 10.17116/stomat20189706163
- Malinovsky JM, Chiriac AM, Tacquard C, et al. Allergy to local anesthetics: Reality or myth? Presse Mеd. 2016;45(9):753–757. doi: 10.1016/j.lpm.2016.05.011
- Koryachkin VA, Chupris VG, Cherny AZ, et al. Systemic toxicity of local anesthetics in regional anesthesia in orthopedics and traumatology. Traumatol Orthopedics Russia. 2015;(1):129–135. (In Russ).
- Wang Y, Allen KJ, Suaini NH, et al. The global incidence and prevalence of anaphylaxis in children in the general population: A systematic review. Allergy. 2019;74(6):1063–1080. doi: 10.1111/all.13732
- Khakimova RF, Zainetdinova GM, Kurmaeva NSh, Serebryakova OA. Analysis of clinical cases of anaphylaxis in children. Practical Med. 2021;19(6):69–72. (In Russ). doi: 10.32000/2072-1757-2021-6-69-72
- Allen G, Chan D, Gue S. Investigation and diagnosis of an immediate allergy to amide local anaesthetic in a paediatric dental patient. Austral Dental J. 2017;62(2):241–245. doi: 10.1111/adj.12501
- Felker EY, Zabolotsky DV, Koryachkin VA, et al. Efficacy and safety of intravenous infusion of lidocaine in children. Anesthesiol Intensive Care. 2021;(2):50–55. (In Russ). doi: 10.17116/anaesthesiology202102150
- Fomina DS, Goryachkina LA. Anaphylaxis--diagnosis and treatment: textbook. Moscow; 2017. 95 p. (In Russ).
- Weinberg L, Peake B, Tan C, Nikfarjam M. Pharmacokinetics and pharmacodynamics of lignocaine: A review. World J Anesthesiol. 2015;4(2):17–29. doi: 10.5313/wja.v4.i2.17
- Chelan VE, Muratov DA. Review of cases of death from asphyxic form of anaphylactic shock as a result of hymenoptera stings. Forensic Med. 2016;2(4):36–40. (In Russ). doi: 10.19048/2411-8729-2016-2-4-36-40
- Novikov DK, Vykhristenko LR, Novikov PD, et al. Anaphylaxis. Anaphylactic shock. Clinical picture, diagnosis, treatment: Study guide. Vitebsk: Vitebsk State Medical University; 2018. 103 p. (In Russ).
- Peredkova EV. Variants of intolerance to local anesthetics: an algorithm for the action of an allergist-immunologist. Effective Pharmacotherapy. 2020;16(8):42–48. (In Russ). doi: 10.33978/2307-3586-2020-16-8-42-48
- Denisova OP, Kulbitsky BN, Putintsev VA, et al. Features of the morphological manifestations of anaphylactic shock on the introduction of medicinal substances in the practice of a forensic expert-histologist. Forensic Мed Examination. 2012; (2):46–49. (In Russ).
- Zvegintsev A, Gudkova TV, Frolov VV. A case of death from anaphylactic cheek on the administration of lidocaine during paracervical anesthesia. Forensic Med. 2016; 2 (1):41–44. (In Russ). doi: 10.19048/2411-8729-2016-2-1-41-44
- Khokhlov VD, Krut MI, Sashko SY. Anaphylactic shock with the introduction of lidocaine after a negative skin test. Clin Med. 2012;90 (7):62–64. (In Russ).
- Pampura AN, Esakova NV. Anaphylaxis in children: problems and solutions. Russ Bulletin Perinatol Pediatrics. 2020; 65(3):5–10. (In Russ). doi: 10.21508/1027-4065-2020-65-3-5-10
Supplementary files










