Diagnostics of the cause of aneurism rupture in case of basal subarachnoid hemorrhage: a rare case report
- Authors: Veselkina O.V.1,2, Plis S.S.1, Khutornoy N.V.3, Shishkina L.V.4, Prazdnikov E.N.3, Klevno V.A.1
-
Affiliations:
- Moscow Regional Research and Clinical Institute
- Russian Centre of Forensic Medical Expertise, Ministry of Health of the Russia
- Moscow State University of Medicine and Dentistry named after A.I. Evdokimov
- N.N. Burdenko National Scientific and Practical Center for Neurosurgery of the Ministry of Healthcare of the Russian Federation
- Issue: Vol 6, No 4 (2020)
- Pages: 46-53
- Section: Case reports
- Submitted: 30.10.2020
- Accepted: 07.12.2020
- Published: 15.12.2020
- URL: https://for-medex.ru/jour/article/view/346
- DOI: https://doi.org/10.19048/fm346
- ID: 346
Cite item
Full Text
Abstract
Background: Basal subarachnoid hemorrhage (SAH) caused by rupture of intracranial aneurysms usually has non-traumatic etiology. However, head injury shortly before death can start legal case, even if aneurysm was found. In such cases, forensic pathologists have to decide on the cause of the rupture and the role of the injury.
Case presentation: The article presents a rare case from forensic practice: 43 years old male dies after a head blunt trauma. The death was caused by basal SAH, which was caused by a microaneurysm rapture of the left posterior cerebral artery. The autopsy revealed external damages on the face and focal hemorrhages in soft tissues of the head and back. A detailed analysis of the morphological findings, clinical picture and circumstances was performed. The results showed that it was non-traumatic basal SAH. The cause of aneurism rupture was intracranial hypertension increased by vomiting and unusual body position shortly before the death.
Conclusion: Available published articles were studied on the causes of ruptures of pathological cerebral arteries and forensic interpretation in controversial cases. Results suggest that current recommendations should be revised. The hypothesis of the most significant sign indicating unnatural death (localization of the damage in the projection of the brain base) could not be confirmed.
Full Text
Значимость для судебной медицины
Приведено описание случая из практики, в котором удалось обоснованно разделить эпизод травмы и последующее развитие БСАК, обусловленное разрывом предсуществовавшей аневризмы. Сделан обзор литературы юридических последствий и установления причинно-следственных связей при обнаружении БСАК и травмы головы.
Обоснование
Актуальность
Базальные субарахноидальные кровоизлияния (БСАК) разделяют на травматические, нетравматические и идиопатические. К первым относят случаи разрывов неизменённых сосудов при наличии признаков травмы головы и шеи. Нетравматические — БСАК, причиной которых явился разрыв патологически изменённого сосуда (чаще всего аневризмы, мальформации и т. п.). Когда не удаётся обнаружить источник кровоизлияния, БСАК относят к идиопатическим [1–4]. Наиболее сложной экспертной ситуацией является наличие травмы в сочетании с аневризмой, когда определить, что было первичным, крайне сложно. В литературе связь разрыва аневризмы с травмой рассматривается с разных позиций.
Первая группа публикаций посвящена решению вопроса о том, что было первичным — разрыв аневризмы с потерей сознания и последующим травмированием, либо причиной разрыва аневризмы была травма. Так, J. Rosenow и соавт. [5] описали случай 61-летней женщины-водителя, получившей при лобовом столкновении в дорожно-транспортном происшествии (ДТП) травму груди. На месте происшествия женщина была без сознания, поэтому в больнице её обследовали для исключения травмы головы. Компьютерная томография и ангиография выявили наличие БСАК и разрыв аневризмы глазной артерии, которая была успешно оперирована. На основании свидетельства самой пострадавшей, полностью восстановившейся после проведённой операции, а также очевидцев происшествия авторы пришли к выводу, что разрыв аневризмы произошёл «после ДТП» и не явился его причиной.
В другом случае ДТП, который был описан J. van de Nes и соавт. [6], пострадавший, мужчина-водитель в возрасте 28 лет, потерял управление и, начав двигаться из стороны в сторону, совершил наезд на правое барьерное ограждение, а затем остановился поперёк дороги. После остановки водитель не проявлял какой-либо активности, и с его неподвижным автомобилем произошло столкновение другого автомобиля, от которого он погиб. При исследовании трупа были обнаружены повреждения на голове, в области шеи (отрыв мыщелкового отростка затылочной кости) и кровоизлияние в 1-м сегменте шейного отдела спинного мозга, БСАК, а также поперечный разрыв базилярной артерии. Микроскопически в стенках артерий Виллизиева круга и вертебробазилярного бассейна выявлена фибромускулярная дисплазия, для которой характерны спонтанные разрывы. Кроме этого, был обнаружен второй источник кровотечения — микроаневризма базальной артерии с разрывом. Авторы пришли к выводу, что причиной смерти явилось нетравматическое БСАК, и отметили, что невозможно достоверно установить, что было первичным — разрыв аневризмы или разрыв патологически изменённой основной артерии, и в какой момент (до ДТП, во время него или после) произошёл разрыв.
Другая группа публикаций посвящена решению вопроса о том, что было поводом к разрыву предсуществовавшей аневризмы — травма или иной фактор. Так, R. Boscolo-Berto и соавт. [7] описали случай травмы 48-летней пассажирки автомобиля. После ДТП она самостоятельно покинула автомобиль, а спустя несколько минут внезапно потеряла сознание и скончалась. При исследовании трупа выявлены повреждения в области головы, разрыв микроаневризмы (d=0,2 мм) в месте соединения левой передней мозговой и передней соединительной артерии. Обозначив причину БСАК как заболевание, авторы рассуждают о причине разрыва аневризмы в свете того, что умершая пострадала в ДТП, и это может иметь юридически значимые последствия. Учитывая короткий временной промежуток, который прошёл с момента ДТП до момента потери сознания, а также крайне маленький размер разрыва микроаневризмы (1 мм), авторы заключают, что разрыв аневризмы мог произойти как в момент ДТП вследствие удара аневризмы о кости черепа, так и после ДТП вследствие подъёма артериального давления, обусловленного перенесённой эмоциональной травмой. A. Blau и J. Richardson [8] также сообщают о двух судебных случаях в их практике, в которых люди получали значительные компенсации за церебральные кровоизлияния из ангиом в результате незначительных травм головы, полученных в ДТП.
В некоторых случаях разрыв аневризмы может рассматриваться даже в контексте расследования убийства. B. Knight [9] описал случай смерти молодого мужчины, который, находясь в состоянии алкогольного опьянения, пострадал в драке и спустя три дня умер в больнице. При исследовании трупа были обнаружены повреждения на голове, разорванная аневризма задней соединительной артерии размером 3–4 мм и массивное БСАК. Несколько экспертов (от защиты и от обвинения), участвовавших в первичном и повторном исследовании трупа, не нашли иных признаков более серьёзной травмы, в том числе травмы шейного отдела позвоночника. В качестве причины разрыва аневризмы рассматривали как травму головы, так и повышение артериального давления на эмоциональном фоне. Решением был консенсус: эксперты указали, что нельзя однозначно установить причину разрыва аневризмы и, соответственно, нельзя утверждать, что такой разрыв не мог произойти в других условиях при повышении артериального давления. Тем не менее суд присяжных единогласно принял решение о виновности подсудимого в непредумышленном убийстве.
Редкость таких случаев и разность позиции судебно-медицинских школ, своего рода «давление» обстоятельств дела, а также родственников и следствия, расценивающих таких пострадавших как ранее здоровых, приводят к вариабельности суждений, обеспечивая тем самым различные экспертные выводы [10, 11].
Один из таких случаев встретился в нашей практике: мы посчитали интересным привести цепочку рассуждений о том, что явилось причиной разрыва аневризмы, дополнив описание случая обзором литературы, посвящённой данной проблеме.
Пример из практики
Злоупотребляющий алкоголем мужчина 43 лет был обнаружен в ванной комнате квартиры. Труп находился в положении стоя на коленях, перегнувшись через край ванны, головой вниз (рис. 1).
Рис. 1. a — необычное положение трупа на месте его обнаружения: стоя на коленях, перегнувшись через край ванны, головой вниз; б — отмечаются выраженная синюшность и одутловатость лица, наличие следов крови на лице; видны небольшие потёки рвотных масс вокруг рта
Обстоятельства травмы. В ходе расследования установлено, что вечером предыдущего дня у умершего произошёл конфликт с соседом, который заявил, что, защищаясь, он нанёс несколько ударов кулаком в область лица пострадавшему, от которых тот упал на пол. Очевидцы отмечали, что пострадавший «упал на бок» и какое-то время не поднимался с пола, находясь лицом вниз. Соседи вызвали полицию и бригаду скорой медицинской помощи, однако от осмотра пострадавший отказался. Всего с момента конфликта до момента обнаружения трупа прошло 20,5 ч.
Данные медицинских документов. Исследована амбулаторная карта: пострадавший к врачу обращался редко, заболеваний сердца и сосудов, в том числе повышенного артериального давления, не регистрировалось.
Результаты судебно-медицинского исследования трупа. При наружном исследовании трупа отмечены синюшность и одутловатость лица, наличие следов крови на лице вокруг отверстий рта и носа, смешанных с рвотными массами. Выявлены повреждения: две ссадины и ушибленная рана в лобной области, рваная рана на спинке носа слева, кровоподтёк и ссадина на верхней губе. Повреждений в области шеи не обнаружено.
Внутреннее исследование трупа. В мягких тканях выявлены кровоизлияния: в проекции ссадин и ран в лобной и носовой областях и в правой височной области. Обнаружено сплошное БСАК, которое располагалось в мостомозжечковой и базальной цистернах и распространялось книзу до уровня 1–2-го сегмента шейного отдела позвоночника, с максимальной толщиной (до 0,6 см) в мостомозжечковой цистерне (рис. 2).
Рис. 2. a, б — вид базального субарахноидального кровоизлияния (кровоизлияние локализовано в мостомозжечковой и базальной цистернах и вокруг ствола головного мозга); в — вид сосудов Виллизиева круга и вертебробазилярного бассейна
Кровоизлияние не распространялось по Сильвиевым бороздам и в обходную цистерну, не переходило на конвекситальную поверхность мозга. Вещество головного мозга было отёчным, в желудочках мозга отмечался кровянистый ликвор, признаков дислокации головного мозга не имелось.
При исследовании артерий Виллизиева круга и вертебробазилярного бассейна каких-либо видимых глазом повреждений, аневризматических расширений и патологической извитости не обнаружено, стенки артерий были тонкими, с минимальными атеросклеротическими изменениями.
Каменистые части внутренних сонных артерий повреждений не имели, их просвет был неравномерно расширен до 0,4–0,5 см, стенки были тонкими и просвечивались в проходящем свете.
При исследовании позвоночных артерий, шейного отдела позвоночника, атланто-окципитальной мембраны каких-либо изменений не обнаружено.
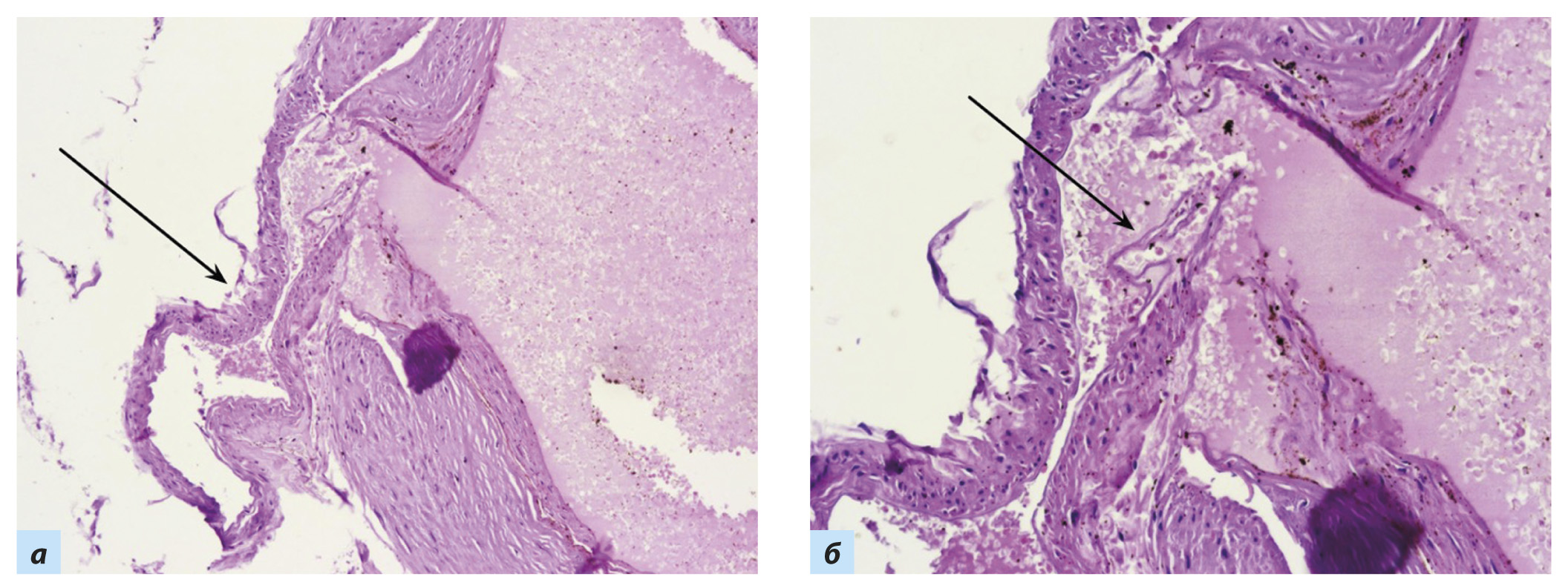
Результаты гистологического исследования. Микроскопически изучены маркированные сосуды Виллизиева круга, вертебробазилярного бассейна, интракраниальная часть сонных артерий. Препараты были окрашены гематоксилином и эозином, по Перлсу на железо. Изучение микропрепаратов подтвердило наличие БСАК в виде «свежих» (без признаков воспалительной реакции) свёртков крови вокруг сосудов основания мозга. В одном из срезов левой задней мозговой артерии (рис. 3) обнаружен дефект в виде инфундибулярного выпячивания стенки артерии с грубыми деструктивными изменениями артериальных слоёв (шейка аневризмы).
Рис. 3. Фрагмент стенки задней мозговой артерии (окраска гематоксилином и эозином, ×100 и ×200 соответственно): a — инфундибулярное выпячивание (микроаневризма) задней мозговой артерии (отмечено стрелкой); б — отслойка внутренней эластической мембраны в области шейки аневризмы (отмечено стрелкой) с грубыми деструктивными изменениями мышечного слоя
Микроскопически выявлен выраженный отёк в области ствола (дно 4-го желудочка) и верхнего шейного отдела спинного мозга, который сопровождался формированием фокусов спонгиозного состояния мозговой ткани. Признаков ранее перенесённых внутримозговых кровоизлияний не установлено.
В препаратах мягких тканей выявлен мономорфный характер кровоизлияний (с примесью лейкоцитов, макрофагов, очагами некротических изменений, без перифокальной реакции, без резорбции).
При судебно-химическом исследовании выявлено наличие этилового спирта в крови в концентрации 1,6 г/л, в моче — в концентрации 1,5 г/л.
Обсуждение
В российской судебно-медицинской практике отсутствует согласованная позиция оценки генеза БСАК в случае разрыва патологически изменённого сосуда [4]. В поисках методического руководства некоторые судебно-медицинские эксперты используют рекомендации В. О. Плаксина [12], где приводится алгоритм оценки генеза БСАК, основой которого является наличие и расположение наружных повреждений на голове и шее. В случаях, когда «механические повреждения выражены и связаны с передачей травматической энергии на основание мозга», даже при наличии цереброваскулярной патологии следует устанавливать прямую причинно-следственную связь с травмой». Автор не приводит конкретных критериев, обосновывающих такой вывод, а также признаков, по которым нужно оценивать «выраженность повреждений» и их расположение относительно основания мозга. Нам показалось интересным найти научно обоснованное подтверждение такой позиции в литературе.
Вопрос о выраженности и локализации повреждений в проекции основания черепа изучался A. Saw и соавт. [13] в случаях спортивной травмы интактной позвоночной артерии с БСАК. Авторы не установили чёткой зависимости между количеством, выраженностью повреждений и причинами разрыва позвоночной артерии. Некоторые случаи вообще не сопровождались наружными повреждениями, а были обусловлены резкими движениями головы и шеи. Это подтверждают и другие авторы [14, 15], отмечая, что случаи БСАК, обусловленных травматическим разрывом позвоночных артерий, часто сопровождались наличием лишь одного кровоподтёка на шее, а иногда повреждения вообще отсутствовали.
H. Locksley [2] исследовал 6368 случаев БСАК, среди которых были аневризмы (n=2288), мальформации (n=338) и другие заболевания сосудов (n=1978). До 38% БСАК происходило во время сна. Наиболее частыми факторами, когда происходили разрывы сосудов, были неожиданные обстоятельства (до 34%), физическая нагрузка (до 14% при подъёмах и поворотах). Предшествующая разрыву травма заняла лишь 8-е место (до 4,4%), уступая коитусу, дефекации, кашлю и стрессовому напряжению. Автор резюмирует, что все факторы, кроме «сна», ассоциированы с повышением внутричерепного и артериального давления.
W. McCormick [11], выполнив более 5000 исследований головного мозга, в 362 случаях выявил аневризмоносителей, у 18 из которых имелась черепно-мозговая травма (ЧМТ): 12 пострадавших перенесли тяжёлую ЧМТ, 6 — ЧМТ лёгкой и средней степени тяжести. Ни в одном случае не зафиксировано разрыва аневризм в остром периоде ЧМТ. В группе тяжёлой ЧМТ зафиксирован разрыв аневризмы лишь в 3 случаях — спустя 7 нед, 1 год и 5 лет после травмы. В группе ЧМТ лёгкой и средней тяжести разрыв аневризмы зафиксирован также в 3 случаях — спустя 4, 8 и 11 нед после травмы. Аналогичные данные приводят М. И. Авдеев [10] и Z. Marek [3].
Описываемый нами случай рассматривался в ходе комиссионной экспертизы, в состав которой были включены судебно-медицинские эксперты, патологоанатом и нейрохирург. Выраженность БСАК свидетельствовала об источнике кровоизлияния на уровне вертебробазилярного бассейна либо задней части Виллизиева круга, что обычно характерно для травмы [16–18] и является редкой локализацией аневризм [19, 20]. Анализируя, что явилось причиной разрыва аневризмы, эксперты оценивали несколько вариантов. Наиболее очевидным провоцирующим фактором являлась травма, однако против этой версии были сразу несколько аргументов. Во-первых, локальность расположения БСАК (в цистернах головного мозга, до уровня 1–2-го шейного сегмента, без распространения на конвекситальную поверхность), что свидетельствовало о коротком временном промежутке, прошедшем с момента разрыва до момента смерти, когда резкое массивное кровотечение, локализованное вокруг ствола и верхних сегментов спинного мозга, привело к резкому отёку ствола и наступлению смерти. Во-вторых, данные микроскопии мягких тканей с кровоизлияниями, выявившие воспалительную реакцию, соответствующую ~6–20 ч с момента травмы, и отсутствие лейкоцитарной реакции в препаратах головного мозга с субарахноидальным кровоизлиянием. Это подтверждалось также материалами дела, согласно которым пострадавший после конфликта находился в сознании, общался с сотрудниками полиции, передвигался, и был найден мёртвым спустя почти сутки после конфликта. В-третьих, отсутствие микроскопических признаков двухмоментного разрыва аневризмы, когда в момент травмы происходит частичное повреждение стенки аневризмы, а в последующем она разрывается полностью. В-четвёртых, необычная поза трупа на месте происшествия способствовала затруднению оттока крови от головы, повышая внутричерепное давление, а наличие эпизодов рвоты могло приводить к кратковременному значительному повышению артериального и внутричерепного давления. Именно поэтому экспертная комиссия высказала суждение, что поводом к разрыву аневризмы мог стать эпизод рвоты, обусловленный алкогольным опьянением, потребовавший наклона туловища и головы пострадавшего, что ещё больше способствовало повышению внутричерепного давления. Результаты экспертизы были изучены следствием и родственниками пострадавшего. На основании совокупности данных следственными органами было принято решение об отказе в возбуждении уголовного дела, которое было поддержано прокуратурой.
Заключение
Приведённый случай хорошо иллюстрирует известный тезис «после того, не значит вследствие того» и документирует тот факт, что сами по себе имевшие место конфликт и повреждения на голове, обнаруженные при секционном исследовании, не должны становиться основанием для отнесения БСАК к травматическим. Расположение и выраженность повреждений на голове пострадавшего не являются критерием, который позволяет судить о возможности образования БСАК и в случае отсутствия патологии сосудов. Всё вышесказанное указывает на необходимость пересмотра имеющихся методических рекомендаций.
Разрывы аневризм с развитием БСАК в большинстве случаев не связаны с травмой. Предсуществующая аневризма может не разорваться даже в случаях тяжёлой ЧМТ. Факторами, приводящими к разрыву аневризм, в настоящее время признаются повышение артериального и внутричерепного давления.
Решение о характере БСАК должно приниматься только на основании морфологических данных. Обнаружение патологии стенки артерии в месте разрыва закономерно относит БСАК к нетравматическим.
Вклад авторов
Сбор данных: Веселкина О. В. Написание черновика рукописи: Веселкина О. В., Плис С. С. Научная редакция рукописи: Веселкина О. В., Плис С. С., Хуторной Н. В., Шишкина Л. В., Праздников Э. Н., Клевно В. А. Рассмотрение и одобрение окончательного варианта рукописи: Веселкина О. В., Плис С. С., Хуторной Н. В., Шишкина Л. В., Праздников Э. Н., Клевно В. А.
Выражение признательности
Выражаем признательность сотрудникам ГБУЗ МО «Бюро СМЭ» Г. С. Тархнишвили и С. В. Сорокиной за помощь в разработке случая.
About the authors
Olesya V. Veselkina
Moscow Regional Research and Clinical Institute; Russian Centre of Forensic Medical Expertise, Ministry of Health of the Russia
Author for correspondence.
Email: ves-olesya@yandex.ru
ORCID iD: 0000-0002-9486-5421
SPIN-code: 9188-2988
Assistant of the Department of Forensic Medicine
Russian Federation, 1 bld 61/2, Shchepkina str. Moscow; MoscowSemyon S. Plis
Moscow Regional Research and Clinical Institute
Email: SSPlis.work@gmail.com
ORCID iD: 0000-0002-0232-0425
SPIN-code: 4347-1925
Assistant of the Department of Forensic Medicine
Russian Federation, MoscowNikita V. Khutornoy
Moscow State University of Medicine and Dentistry named after A.I. Evdokimov
Email: nhutornoy@yandex.ru
ORCID iD: 0000-0003-0068-0643
SPIN-code: 6570-2386
Ph. D. (Med.)
Russian Federation, MoscowLudmila V. Shishkina
N.N. Burdenko National Scientific and Practical Center for Neurosurgery of the Ministry of Healthcare of the Russian Federation
Email: lshishkina@nsi.ru
ORCID iD: 0000-0001-7045-7223
SPIN-code: 6341-2050
Ph. D. (Med.)
Russian Federation, MoscowErik N. Prazdnikov
Moscow State University of Medicine and Dentistry named after A.I. Evdokimov
Email: Enp1964@gmail.com
ORCID iD: 0000-0002-5817-0702
SPIN-code: 2954-1200
Dr. Sci. (Med.), Prof.
Russian Federation, MoscowVladimir A. Klevno
Moscow Regional Research and Clinical Institute
Email: vladimir.klevno@yandex.ru
ORCID iD: 0000-0001-5693-4054
SPIN-code: 2015-6548
Dr. Sci. (Med.), Prof.
Russian Federation, MoscowReferences
- Klevno VA, Prazdnikov EN, Dobrovolskiy GF, et al. Basal subarachnoid haemorrhages — etiological and morphological analysis. Russian Journal of Forensic Medicine. 2018;4(2):4–9. (In Russ). doi: 10.19048/2411-8729-2018-4-2-4-9
- Locksley HB. Natural history of subarachnoid hemorrhage, intracranial aneurysms and arteriovenous malformations. Based on 6368 cases in the cooperative study. J Neurosurg. 1966;25(2):219–239. doi: 10.3171/ jns.1966.25.2.0219
- Marek Z. Isolated subarachnoid hemorrhage as a medicolegal problem. Am J Forensic Med Pathol. [981;2(1):19–22. doi: 10.1097/00000433-198103000-00004
- Popov VL. Forensic medical assessment of the role of the injury and pathology in the development of basal subarachnoidal hemorrhage. Forensic Medical Expertise. 2013;56(3):12–17. (In Russ).
- Rosenow J, Das K, Weitzner I, Couldwell WT. Rupture of a large ophthalmic segment saccular aneurysm associated with closed head injury: case report. Neurosurgery. 2000;46(6):1515–1518. doi: 10.1097/00006123-200006000-00041
- Van de Nes JA, Bajanowski T, Trübner K. Fibromuscular dysplasia of the basilar artery: an unusual case with medico-legal implications. Forensic Sci Int. 2007;173(2-3):188–192. doi: 10.1016/j.forsciint.2007.02.016
- Boscolo-Berto R, Macchi V, Porzionato A, et al. Post-traumatic aneurysmal rupture involving the circle of Willis affected by fibromuscular dysplasia. A case report and systematic review. Legal Medicine. 2020;47:101742. doi: 10.1016/ j.legalmed.2020.101742
- Blau A, Richardson JC. Strokes and head injury. Canadian J Neurolog Sci. 1978;5(3):263–266. doi: 10.1017/S031716710002432X
- Knight B. Trauma and ruptured aneurysm. British Med J 1979; 1(6175):1430.
- Avdeev M.I. Zum Problem des kausalen Zusammenhanges in der gerichtsmedizinischen Begutachtung (am Beispiel der basalen Subarachnoidalblutungen). Zeitschrift Fur Rechtsmedizin. Journal of Legal Medicine. 1974;75(1): 61–66. doi: 10.1007/BF02114963
- McCormick WF. The relationship of closed-head trauma to rupture of saccular intracranial aneurysms. Am J Forensic Med Pathol. 1980;1(3):223–226. doi: 10.1097/00000433-198009000-00006
- Plaksin VO. Forensic medical examination in cases of death from basal subarachnoid hemorrhage. Letter from the Bureau of General Forensic Medicine. Moscow; 1995. 12 р. (In Russ).
- Saw AE, McIntosh AS, Kountouris A, et al. Vertebral Artery Dissection in Sport: A Systematic Review. Sports Medicine. 2019;49(4):553–564. doi: 10.1007/s40279-019-01066-0
- Koszyca B, Gilbert JD, Blumbergs PC. Traumatic subarachnoid hemorrhage and extracranial vertebral artery injury: a case report and review of the literature. Am J Forensic Med Pathol. 2003;24(2):114–118. doi: 10.1097/01.PAF.0000065165.81345.7f
- Ong BB, Milne N. Vertebral artery trauma. In: Rutty G.N. (ed.) Essentials of Autopsy Practice. Cham: Springer International Publishing; 2017. Р. 23–41. doi: 10.1007/978-3-319-46997-3_2
- Krauland W. The traumatic subarachnoidal hemorrhage. Zeitschrift Fur Rechtsmedizin. Journal of Legal Medicine. 1981; 87(1-2):1–17.
- Rothschild MA. An interesting case of arterial trauma after craniocerebral injury. Int J Legal Med. 1990;104(1):49–53. doi: 10.1007/BF01816485
- Weiler G, Reinhardt V, Nau HE, Gerhard L. Beitrag zum intracraniellen traumatischen Aneurysma. Zeitschrift für Rechtsmedizin. 1980;85(3):225–233. doi: 10.1007/BF02116324
- Inagawa T, Hirano A. Ruptured intracranial aneurysms: an autopsy study of 133 patients. Surg Neurol. 1990;33(2):117–123. doi: 10.1016/0090-3019(90)90020-P
- Bowen DA. Ruptured berry aneurysms: a clinical, pathological and forensic review. Forensic Sci Int. 1984;26(4):227–234. doi: 10.1016/0379-0738(84)90027-6
Supplementary files










