Determining the age of diaphyseal fractures of long bones based on radiography
- Authors: Li Y.B.1,2, Vishniakova M.V.1,3, Maksimov A.V.1,4
-
Affiliations:
- Moscow Regional Research and Clinical Institute
- Primorsky Regional Bureau of Forensic Medicine
- A.V. Vishnevsky National Medical Research Center of Surgery
- State University of Education
- Issue: Vol 10, No 4 (2024)
- Pages: 498-508
- Section: Original study articles
- Submitted: 25.07.2024
- Accepted: 02.10.2024
- Published: 05.12.2024
- URL: https://for-medex.ru/jour/article/view/16172
- DOI: https://doi.org/10.17816/fm16172
- ID: 16172
Cite item
Abstract
Background: The study of skeletal trauma is one of the key aspects of forensic medical examination in cases involving living individuals. When the circumstances and timing of an injury are unclear due to deliberate concealment by involved parties, delayed medical consultation, or an unreported crime against personal health, determining the age of fractures presents certain challenges. In such cases, radiographic examination of the affected bone serves as an important source of information.
Aim: To identify radiographic characteristics of diaphyseal fractures of long bones specific to different stages of consolidation.
Materials and methods: A retrospective study was conducted on 192 radiographs (initial and follow-up images taken during the observation period) of male and female patients (n=56) aged 20 to 80 years with long bone fractures, both with and without metal osteosynthesis. The study systematically analyzed the progression of radiographic fracture changes at different consolidation stages, described key morphological features, performed comparative group analysis, and structured the findings.
Results: Distinct timeframes for fracture consolidation were identified, along with key diagnostic criteria for tracking healing dynamics. A sequential pattern of morphological changes in fractures throughout the healing process was established. No significant differences in consolidation dynamics were found based on gender. Surgical intervention (metal osteosynthesis) did not play a substantial role in the speed of consolidation.
Conclusion: The radiographic appearance of diaphyseal fractures of long bones exhibits specific morphological features depending on the age of the injury.
Full Text
Обоснование
В связи со значительной долей скелетной травмы в повседневной практике судебно-медицинского эксперта определение давности переломов вносит существенный вклад в установление обстоятельств произошедшего. До настоящего времени основным источником определения сроков заживления переломов являются работы по травматологии и ортопедии, а также рентгенологии [1–7], однако в данных исследованиях больше внимания уделяется зависимости сроков консолидации от выбранной тактики и методов лечения, применения остеотропных и иных препаратов, а определение как таковой давности переломов не является приоритетной задачей [8, 9]. Современные исследования в этой области судебной медицины проводятся в основном с применением технологий, не связанных с рентгенологией, а базирующихся на результатах аутопсии, гистологических, фактографических, ультразвуковых и иных методах [10–12], в связи с чем остаётся нерешённой проблема установления сроков консолидации переломов с позиции рентгенологического метода. В ходе проведения экспертизы живых лиц при отсутствии полноценной медицинской документации рентгенографические результаты зоны интереса представляют порой единственно значимый источник информации для эксперта.
Цель исследования ― выявление рентгенологических особенностей диафизарных переломов длинных трубчатых костей, характерных для определённой стадии консолидации.
Материалы и методы
Дизайн исследования
Проведено наблюдательное одноцентровое ретроспективное выборочное неконтролируемое исследование.
Критерии соответствия
Критерии включения: подэкспертные мужчины и женщины в возрасте от 20 до 80 лет с переломами длинных трубчатых костей в диафизарной зоне.
Критерии невключения: рефрактурные и патологические переломы; рентгенограммы низкого качества, сделанные с нарушением укладки.
Условия проведения
Исследование проводилось на базе КГБУЗ «Приморское краевое бюро судебно-медицинской экспертизы».
Продолжительность исследования
Продолжительности периода наблюдения ― 6 лет (с 2019 по 2024 год).
Описание вмешательства
Исследованы архивные материалы, экспертизы потерпевших, обвиняемых и других лиц, проживающих на территории Приморского края, получивших травмы в бытовых и производственных условиях в результате противоправных и иных действий.
Последовательно изучались данные материалов уголовных дел и предварительных проверок, медицинских документов, а также первичные и контрольные рентгенограммы с аналоговых и цифровых рентгеновских аппаратов, рентгеновских плёнок и цифровых носителей в формате JPEG и DICOM-файлов.
Методы регистрации исходов
Рентгенограммы с аналоговых рентгеновских аппаратов изучали на негатоскопе однокадровом «Армед» (Россия) и в проходящем дневном естественном свете невооружённым глазом и при девятикратном увеличении. Цифровые рентгенологические изображения исследовали на персональном компьютере с операционной системой Windows 10 процессором Intel(R) Core(TM) i3-3220 CPU 3.30 GHz, дополнительно для DICOM-файлов применялась программа RadiAnt.
Основной исход исследования
Выделены и изучены основные морфологические признаки заживления переломов (изменения магистральной линии перелома, характера краёв перелома и концов отломков; наличие или отсутствие костной мозоли; изменение рентгеноконтрастности костной мозоли, сравнительных характеристик по отношению к плотности губчатого и компактного вещества кости; равномерность костной мозоли, чёткость или размытость её границ; наличие или отсутствие признаков перестройки костной мозоли) с последующим обобщением и совокупным анализом полученных данных.
Этическая экспертиза
Исследование одобрено независимым комитетом по этике при ГБУЗ Московской области «Московский областной научно-исследовательский клинический институт имени М.Ф. Владимирского» (протокол № 15 от 07.10.2021 г.).
Статистический анализ
Размер выборки предварительно не рассчитывался.
Фиксировалась частота повторяемости величин с одинаковым значением диагностического признака. Полученные значения выражали в процентах к общему числу статистической совокупности.
Результаты
Объекты (участники) исследования
Изучены архивные материалы 56 подэкспертных (мужчин и женщин) с диафизарными переломами длинных трубчатых костей. Формирование 5 групп пациентов происходило с учётом пола, возраста, локализации и характера диафизарных переломов, наличия или отсутствия в анамнезе оперативного вмешательства по поводу изучаемых переломов. При исследовании рентгенограмм выделяли следующие периоды: переломы до 7 суток, переломы давностью от 7 до 20 суток, от 21 до 30 суток, 31–60 суток (1–2 месяца), 61–90 суток (2–3 месяца), 91–120 суток (3–4 месяца), 121–180 суток (4–6 месяцев), 181–270 суток (6–9 месяцев), 271–365 суток (9–12 месяцев), более года.
Основные результаты исследования
При диафизарных переломах выявлена следующая динамика рентгенологической картины:
1) до 7 суток: чёткая линия перелома, ясно прослеживающаяся на всём протяжении; чётко определяемые края переломов, концы отломков остроугольные, у 31% мужчин и 33% женщин определяются мелкие зубчики по краям перелома (табл. 1);
Таблица 1. Диафизарные переломы давностью до 20 суток, муж./жен.
Table 1. Diaphyseal fractures, up to 20 days old (man/woman)
Показатель | Период, сут | ||
до 7 | от 7 до 20 | ||
Линия перелома | чёткая | 35/21 | 35/21 |
зубчики по краям | 11/7 | 0/0 | |
нечёткая | 0/0 | 0/0 | |
Края перелома | чёткие | 35/21 | 35/21 |
сглаженные | 0/0 | 0/0 | |
Концы отломков | острые | 35/21 | 35/21 |
закруглённые | 0/0 | 0/0 | |
Костная мозоль | имеется | 0/0 | 0/0 |
отсутствует | 35/21 | 35/21 | |
2) в период от 7 до 20 суток практически идентичная картина, однако имевшиеся ранее зубчики по краям перелома нивелируются, признаки костной мозоли отсутствуют (см. табл. 1);
3) 21–30 суток: магистральная трещина чётко прослеживается на всём протяжении; края перелома постепенно сглаживаются, концы отломков закругляются; костная мозоль не определяется, лишь в единичных случаях (у 17% мужчин) ― слабовыраженная нежная облаковидная костная мозоль, плотностью ниже плотности губчатой части кости (табл. 2);
Таблица 2. Диафизарные переломы давностью до 2 месяцев, муж./жен.
Table 2. Diaphyseal fractures, 21 to 60 days old (man/woman)
Показатель | Период, сут | ||
21–30 | 31–60 | ||
Линия перелома | чёткая | 35/21 | 35/16 |
нечёткая | -/- | -/- | |
Костная мозоль | отсутствует | 29/21 | 15/14 |
меньше губчатого вещества | 6/- | 10/2 | |
равна губчатому веществу | -/- | 5/5 | |
больше губчатого вещества, но меньше кортикального слоя | -/- | 5/- | |
Края перелома сглаженные | 35/21 | 35/21 | |
Концы отломков закруглённые | 35/21 | 35/21 | |
4) 31–60 суток (1–2 месяца): магистральная трещина чётко прослеживается на всём протяжении, в единичных случаях ясно просматривается лишь на 2/3, на остальном протяжении ― нечётко (у 22% женщин); края перелома постепенно сглаживаются, концы отломков закругляются; костная мозоль отсутствует у 43% мужчин и 67% женщин; слабовыраженная, нежная, облаковидная костная мозоль без чётких границ, ниже плотности губчатого слоя кости зафиксирована у 29% мужчин и 11% женщин, в дальнейшем костная мозоль постепенно уплотняется, по интенсивности соответствует губчатой части кости (14% мужчин, 22% женщин); у 14% мужчин костная мозоль неравномерной плотности: выше плотности губчатого слоя кости, но ниже плотности компакты, границы костной мозоли остаются всё ещё нечёткими и неровными (см. табл. 2);
5) 61–90 суток (2–3 месяца): линия перелома хорошо видна на всём протяжении у 92% мужчин и 80% женщин, в некоторых случаях ― лишь на 1/2 (8% мужчин) и 2/3 своей протяжённости (20% женщин); края перелома сглаженные, концы отломков закруглённые; костная мозоль не визуализируется у 75% мужчин и 60% женщин; нежная, облаковидная костная мозоль определяется у 4% женщин; костная мозоль, по интенсивности равная губчатому веществу кости, с неровными, нечёткими границами у 17% мужчин, с чёткими, ровными границами ― у 20% женщин; костная мозоль неравномерной плотности, которая больше губчатого слоя кости, но меньше её кортикального слоя, наблюдалась у 8% мужчин, при этом границы костной мозоли были чёткими, ровными (табл. 3, 4);
Таблица 3. Диафизарные переломы давностью от 2 месяцев до года и более, муж./жен.
Table 3. Diaphyseal fractures, aged from 61 to 180 days (2–6 months) and from 181 to 365 days (6–12 months) and more than a year (man/woman)
Показатель | Период, сут (мес) | |||||||
61–90 (2–3) | 91–120 (3–4) | 121–180 (4–6) | 181–270 (6–9) | 270–365 (9–12) | Более года | |||
Линия перелома | чёткая | 32/17 | -/- | -/- | -/- | -/- | -/- | |
нечёткая | на всём протяжении | -/- | 23/7 | 8/- | -/- | -/- | -/- | |
на 2/3 | -/4 | 6/6 | 4/4 | -/- | -/- | -/- | ||
на 1/2 | 3/- | 6/8 | 15/17 | 21/8 | 6/3 | -/- | ||
<1/2 | -/- | -/- | 8/- | 14/13 | 29/18 | -/- | ||
Края перелома | сглаженные | 35/21 | 35/21 | 35/21 | -/- | -/- | -/- | |
видны нечётко | -/- | -/- | -/- | 35/21 | -/- | -/- | ||
не видны | -/- | -/- | -/- | -/- | 35/21 | 35/21 | ||
Концы отломков | закруглённые | 35/21 | 35/21 | 35/21 | -/- | -/- | -/- | |
видны нечётко | -/- | -/- | -/- | 35/21 | -/- | -/- | ||
не видны | -/- | -/- | -/- | -/- | 35/21 | 35/21 | ||
Таблица 4. Динамика развития костной мозоли при диафизарных переломах давностью до 6 месяцев, муж./жен.
Table 4. Dynamics of callus development in diaphyseal fractures, 61 to 180 days old (2–6 months) (man/woman)
Костная мозоль | Период, сут (мес) | ||
61–90 (2–3) | 91–120 (3–4) | 121–180 (4–6) | |
Отсутствует | 26/13 | -/- | -/- |
Без чётких границ, меньше губчатого вещества | -/4 | -/- | -/- |
Без чётких границ, равна губчатому веществу | 6/- | -/5 | -/- |
Чёткие, ровные границы, равна губчатому веществу | -/4 | 11/- | 8/- |
Без чётких границ, больше губчатого вещества, но меньше кортикального слоя | -/- | -/3 | -/- |
Чёткие, ровные границы, больше губчатого вещества, но меньше кортикального слоя | 3/- | -/6 | 8/- |
Без чётких границ, равна кортикальному слою | -/- | 6/- | 18/7 |
Чёткие границы, равна кортикальному слою | -/- | -/8 | 19/13 |
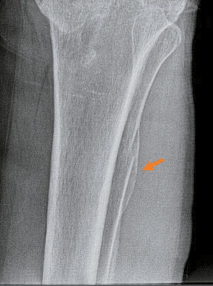
6) 91–120 суток (3–4 месяца): линия перелома постепенно теряет свою чёткость и ясность, у 67% мужчин и 33% женщин прослеживается на всём протяжении, у 17% мужчин видна на 2/3, у 17% мужчин ― на 1/2 всей протяжённости; края перелома остаются сглаженными, концы отломков закруглённые; костная мозоль уплотняется: у 33% мужчин она равна плотности губчатого вещества, имеет чёткие, ровные границы, у 67% мужчин интенсивность костной мозоли соответствует плотности кортикального слоя, при этом у 17% она не имеет чётких границ, а у 50% мужчин и 33% женщин ― с чёткими, ровными границами (см. табл. 3 и 4; рис. 1);
Рис. 1. Перелом диафиза локтевой кости давностью 4 месяца (стрелка): линия перелома просматривается нечётко, костная мозоль неравномерной плотности с чёткими, относительно ровными границами.
Fig. 1. Fracture of the diaphysis of the ulna, 4 months old (arrow): the fracture line is not clearly visible, the callus is of uneven density, with clear, relatively smooth boundaries.
7) 121–180 суток (4–6 месяцев): рентгенологическая картина перелома продолжает изменяться, линия перелома просматривается нечётко на всём протяжении у 23% мужчин: постепенно закрывается и просматривается лишь на 2/3 у 11%, у 43% ― на 1/2, у 23% ― менее чем на половину всей своей протяжённости; эволюционирует и костная мозоль: у 23% мужчин плотность её соответствует плотности губчатой части кости, у 23% интенсивность костной мозоли выше губчатого слоя кости, но меньше кортикального слоя, у 54% ― соответствует плотности кортикального слоя, с чёткими, относительно ровными границами. Костная мозоль всё еще остаётся неравномерной плотности (см. табл. 3, 4);
8) 181–270 суток (6–9 месяцев): магистральная трещина постепенно закрывается, у 60% мужчин она просматривается на 1/2, у 40% ― менее чем на 1/2 своей протяжённости, у женщин ― соответственно у 40% и 50%; костная мозоль претерпевает свои изменения, становится более плотной, равномерной интенсивности, с чёткими, ровными границами, у 20% мужчин равна плотности губчатой части кости, у подавляющего большинства (80%) ― плотности кортикального слоя, для женщин, соответственно, у 24% костная мозоль равна плотности компакты, с неровными, нечёткими границами, неравномерной интенсивности, у 76% ― с чёткими, ровными границами, равномерной плотности, равная компактному слою кости; края переломов и концы отломков чётко не просматриваются (табл. 3, 5);
Таблица 5. Динамика развития костной мозоли при диафизарных переломах давностью до года и более, муж./жен.
Table 5. Dynamics of callus development in diaphyseal fractures aged from 181 to 365 days (6–12 months) and more than a year (man/woman)
Костная мозоль | Период, сут (мес) | ||
181–270 (6–9) | 270–365 (9–12) | Более года | |
Без чётких границ, равна губчатому веществу | -/- | -/- | -/- |
Чёткие, ровные границы, равна губчатому веществу | 7/- | -/- | -/- |
Без чётких границ, больше губчатого вещества, но меньше кортикального слоя | -/- | -/- | -/- |
Чёткие, ровные границы, больше губчатого вещества, но меньше кортикального слоя | -/- | -/- | -/- |
Без чётких границ, равна кортикальному слою | 13/5 | 7/3 | -/- |
Чёткие границы, равна кортикальному слою | 15/16 | 20/14 | 35/21 |
Признаки перестройки костной ткани | -/- | 8/4 | 35/21 |
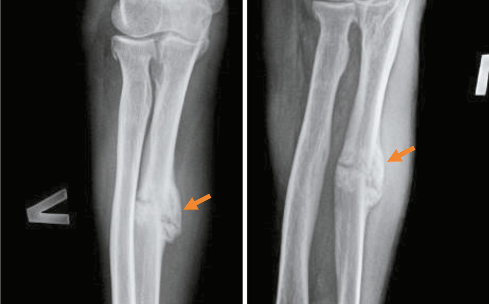
9) 271–365 суток (9–12 месяца): происходит дальнейшее постепенное закрытие линии перелома: у 17% мужчин магистральная трещина просматривается на 1/2, у 83% ― менее чем на 1/2 своей протяжённости, у женщин ― соответственно у 14% и 86%; костная мозоль плотная, по интенсивности соответствует кортикальному слою кости, равномерной интенсивности, с чёткими границами, у 23% мужчин и 19% женщин с признаками перестройки костной ткани, которые более выражены после 11 месяцев; края переломов и концы отломков не просматриваются (см. табл. 3, 5; рис. 2, 3);
Рис. 2. Перелом диафиза бедренной кости давностью 9 месяцев в условиях металлоостеосинтеза (стрелка): линия перелома нечётко просматривается на 1/2–1/3, костная мозоль равномерной интенсивности с чёткими ровными границами.
Fig. 2. Fracture of the femoral diaphysis, 9 months old, in the conditions of metal osteosynthesis (arrow): the fracture line is not clearly visible at 1/2–1/3, the callus is of uniform intensity, with clear, even boundaries.
Рис. 3. Перелом диафиза локтевой кости давностью 11,5 месяца (стрелка): линия перелома практически не просматривается, края переломов и концы отломков не визуализируются, костная мозоль с начальными признаками перестройки.
Fig. 3. Fracture of the diaphysis of the ulna, 11.5 months old (arrow): the fracture line is practically not visible, the edges of fractures and the ends of fragments are not visualized, the bone callus shows initial signs of restructuring.
10) переломы давностью более года во всех наблюдениях имеют однотипные характеристики: линия перелома полностью закрыта, не просматривается, костная мозоль плотная, хорошо выраженная, равномерной интенсивности, с признаками перестройки костной ткани (см. табл. 3, 5; рис. 4).
Рис. 4. Перелом верхней трети диафиза малоберцовой кости давностью 16 месяцев (стрелка): линия перелома полностью закрылась, костная мозоль плотная, с чёткими признаками перестройки костной ткани.
Fig. 4. Fracture of the upper third of the diaphysis of the fibula, 1 year 4 months old (arrow): the fracture line has completely closed, the callus is dense, with clear signs of bone tissue restructuring.
В исследованных группах у 43% женщин и 34% мужчин была проведена операция по поводу диафизарных переломов: выполнены как накостный остеосинтез пластиной и винтами, так и интрамедуллярный блокируемый. В сроки до 3 месяцев наличие или отсутствие металлоостеосинтеза по поводу данных переломов не играло существенной роли в сроках начала формирования костной мозоли, в дальнейшем также не отмечалось значительной разницы в динамике заживления переломов по сравнению с подэкспертными без металлоостеосинтеза, исключения составляли единичные случаи нестабильного металлоостеосинтеза с мигрирующими винтами, проведённые по поводу оскольчато-фрагментарных переломов, в том числе с дефектом костной ткани, со значительным смещением отломков. В таких редких случаях костная мозоль рентгенологически не определялась в течение длительного периода времени ― вплоть до 6–8 месяцев.
Обсуждение
Резюме основного результата исследования
В соответствии с динамикой рентгенологической картины диафизарных переломов выделены 10 основных периодов, для которых характерны определённые рентгенологические признаки. Выявленные с помощью рентгенологического метода основные морфологические особенности переломов позволяют эксперту определиться с их давностью.
Обсуждение основного результата исследования
Определение давности переломов в условиях определённых ограничений судебно-медицинского эксперта в плане полноценности предоставленных объектов часто вызывает сложности. Возможно, с этим связан некоторый дефицит информации в специализированной судебно-медицинской литературе по этому вопросу [13, 14]. Согласно данным литературных источников по судебной медицине и рентгенологии, основная рентгенологическая картина консолидации сводится к основным трём периодам: начало выпадения солей кальция в область «первичной» костной мозоли, постепенное её уплотнение до формирования полноценной костной мозоли. При этом в данных трудах остаётся за рамками подробная динамика рентгенологической картины перелома, временные периоды заживления которого колеблются от 2 до 6–8 месяцев и более от момента травмы [15–17]. В этой связи проведённое нами исследование выявило достаточно чёткие временные периоды консолидации, представляющие в совокупности непрерывную и последовательную цепь динамически изменяющейся рентгенологической картины перелома. Установлены основные «опорные маркеры», позволяющие отследить динамику заживления: линия перелома или магистральная трещина, характер краёв перелома и концов отломков и непосредственно сама костная мозоль, постепенная метаморфоза которой позволяет более точно сориентировать эксперта в вопросе давности травмы. В нашей работе прослеживается последовательное изменение морфологии перелома в ходе заживления: отмечается постепенное закрытие линии перелома, сглаживание и размытость краёв и концов отломков, поэтапное уплотнение костной мозоли (меняется её рентгеноконтрастность, равномерность затемнения, чёткость краёв вплоть до финальной завершённости картины консолидации). В ходе исследования установлено, что динамика формирования костной мозоли и изменение рентгенологической картины перелома (вид и характер магистральной трещины, краёв перелома, концов отломков) зависят от половой принадлежности подэкспертного, при этом разница в динамике заживления переломов по гендерному признаку наиболее выражена в период от 31–60 до 271–365 суток и колеблется в диапазоне от 12 до 34%; заживление переломов у мужчин происходит быстрее, чем у женщин. Переломы давностью более года не имеют различий по половому признаку, рентгенологическая картина их практически однотипная. Большое значение имеют характер перелома, а также полноценность и стабильность проведённого металлоостеосинтеза: оскольчатые, оскольчато-фрагментарные, переломы с дефектами костной ткани, изначально значительным смещением отломков, нестабильным металлоостеосинтезом консолидируются значительно медленнее. Однако при противоположной картине перелома наличие или отсутствие металлоостеосинтеза не играло существенной роди в скорости консолидации: средние показатели в группах были примерно одинаковыми.
Ограничения исследования
При планировании и проведении исследования размер выборки для достижения требуемой статистической мощности результатов не рассчитывался. В связи с этим полученная в ходе исследования выборка участников не может считаться в достаточной степени репрезентативной, что не позволяет экстраполировать полученные результаты и их интерпретацию на генеральную совокупность аналогичных пациентов за пределами исследования.
К трудностям исследования и интерпретации его результатов можно отнести качество рентгенограмм: «мягкие» или, наоборот, «жёсткие» рентгеновские снимки; рентгеновские изображения, сделанные с нарушением укладки или установки пациента; наличие инородных теней, затрудняющих исследование (тени лестничных, транспортных, шин), элементов системы скелетного вытяжения, элементов металлоостеосинтеза (пластины, винты, интрамедуллярные стержни и т.п.); динамическая нерезкость; артефакты в виде царапин, пятен, дефектов плёнки и др. Более того, сама визуализация костной мозоли на снимках в определённых проекциях порой ограничена. Данные трудности преодолимы путём проведения повторной рентгенографии зоны интереса.
Заключение
Заживление диафизарного перелома длинной трубчатой кости проходит определённые этапы, при этом последовательно меняется рентгенологическая картина области перелома. Ключевыми моментами являются изменения основной линии перелома (магистральной трещины) ― от чёткой и ясной до её полного закрытия, отсутствие визуализации на рентгенограммах краёв перелома и концов отломков, динамика костной мозоли вплоть до полной рентгенологической картины консолидации перелома. Важным является установить эти признаки, зафиксировать их изменения и дать им правильную оценку.
Проведённое исследование позволяет эксперту более точно определиться в вопросе давности возникновения перелома и, соответственно, внести определённый вклад в прояснение по большей части смутных и противоречивых обстоятельств травмы.
Дополнительная информация
Источник финансирования. Авторы заявляют об отсутствии внешнего финансирования при проведении исследования.
Конфликт интересов. Авторы декларируют отсутствие явных и потенциальных конфликтов интересов, связанных с публикацией настоящей статьи.
Вклад авторов. Все авторы подтверждают соответствие своего авторства международным критериям ICMJE (все авторы внесли существенный вклад в разработку концепции, проведение исследования и подготовку статьи, прочли и одобрили финальную версию перед публикацией). Наибольший вклад распределён следующим образом: Ю.Б. Ли ― сбор данных, написание рукописи; М.В. Вишнякова, А.В. Максимов ― научное редактирование рукописи, рассмотрение и одобрение окончательного варианта рукописи.
Additional information
Funding source. This study was not supported by any external sources of funding.
Competing interests. The authors declare that they have no competing interests.
Authors’ contribution. All authors made a substantial contribution to the conception of the work, acquisition, analysis, interpretation of data for the work, drafting and revising the work, final approval of the version to be published and agree to be accountable for all aspects of the work. Yu.B. Lee: data collection, manuscript writing and editing; M.V. Vishnyakova, A.V. Maksimov: scientific editing of the manuscript, review and approval of the final version of the manuscript.
About the authors
Yulia B. Li
Moscow Regional Research and Clinical Institute; Primorsky Regional Bureau of Forensic Medicine
Author for correspondence.
Email: reineerdeluft@gmail.com
ORCID iD: 0000-0001-7870-5746
SPIN-code: 2397-7425
Russian Federation, Moscow; Vladivostok
Marina V. Vishniakova
Moscow Regional Research and Clinical Institute; A.V. Vishnevsky National Medical Research Center of Surgery
Email: cherridra@mail.ru
ORCID iD: 0000-0003-3838-636X
SPIN-code: 1137-2991
MD, Dr. Sci. (Medicine)
Russian Federation, Moscow; MoscowAleksandr V. Maksimov
Moscow Regional Research and Clinical Institute; State University of Education
Email: mcsim2002@mail.ru
ORCID iD: 0000-0003-1936-4448
SPIN-code: 3134-8457
MD, Dr. Sci. (Medicine), Professor
Russian Federation, Moscow; MoscowReferences
- Ilyasova E.B., Chekhonatskaya M.L., Priezzhev V.N. Radiation diagnostics. – 2nd ed. -
- M: GEOTAR-Media, 2021. – 430 p.
- Lindenbratei L.D., Korolyuk I.P. Medical radiology (basics of radiation diagnostics and radiation therapy): Textbook. — 2nd ed., revised. and additional: - M.: Medicine, 2000. - 672 p.: ill.
- Klyuchevsky V.V., Litvinov I.I. Practical traumatology. Guide for doctors - M.: Practical Medicine, 2020 - 400 p.
- Hempe S. et al. Die extrakorporale Stoßwellentherapie als Therapiealternative bei posttraumatischer verzögerter Knochenheilung // Unfallchirurgie (Heidelb). 2023; 126(10): 779–787. Published online 2022 Aug 26. German. doi: 10.1007/s00113-022-01225-5.
- Rußow G et al. Knochenbruchheilung und klinische Belastungsstabilität OP-JOURNAL 2019; 35: 12–19. DOI https://doi.org/10.1055/a-0755-6202 Online-publiziert 17.01.2019 / OP-JOURNAL 2019; 35: 12–19 © Georg Thieme Verlag KG Stuttgart • New York
- Fischer C. Diagnostics and classification of non-unions. Unfallchirurg. 2020;123:671–678. doi: 10.1007/s00113-020-00844-0.
- Grossner T, Schmidmaier G. Conservative treatment options for non-unions. Unfallchirurg. 2020;123:705–710.
- Entezari A., Swain M.V., Gooding J.J., Roohani I., Li Q. A modular design strategy to integrate mechanotransduction concepts in scaffold-based bone tissue engineering. Acta Biomater. 2020;118:100-112. https://doi.org/10.1016/j.actbio.2020.10.012.
- Gould N.R., Torre O.M., Leser J.M., Stains J.P. The cytoskeleton and connected elements in bone cell mechano-transduction. Bone Research. 2021; 149(1):115971. https: //doi.org/10.1016/j.bone.2021.115971
- Belokonev V.I., Pushkin S.Yu., Ardashkin A.P., Ushakov N.G., Kameev I.R. Dynamics of morphological changes in the fracture zone in victims with chest trauma and rib valve // Science and innovations in medicine. 2018. 4(12). pp. 6-9.
- Zavadovskaya V.D., Popov V.P., Akbashev O.E., Grigoriev E.G., Druzhinina T.V. Ultrasound monitoring of the processes of consolidation of fractures of long tubular bones during osteosynthesis using bioactive implants // Bulletin of radiology and radiology. 2014; No. 5. - pp. 40-48.
- Kireeva E.A. Forensic medical determination of the prescription of rib fractures: diss.... cand. honey. Sciences: 100.24 / Kireeva Elena Andreevna; [Place of defense: State Institution "Russian Center for Forensic Medical Examination"]. - Moscow, 2008. - 196 p.: ill.
- Lee Yu.B., Vishnyakova M.V., Klevno V.A. Forensic medical significance of radiography data in determining the age of diaphyseal fractures: a case from expert practice // Forensic Medicine. 2022. T. 8, no. 2. pp. 65–71. DOI: https://doi.org/10.17816/fm711
- Li Yu.B., Vishnyakova M.V., Maksimov A.V. Forensic determination of the age of fractures based on X-ray data: a scientific review // Forensic Medicine. 2024. T. 10, No. 2. pp. 000–000. DOI: https://doi.org/10.17816/fm16085
- Reiser M., Baur-Melnik A., Glaser K. Radiation diagnostics. Musculoskeletal system: Practical. management. – M.: MEDpress-inform, 2011. 384 p.
- Reinberg S.A. X-ray diagnosis of diseases of bones and joints / S.A. Rheinberg. - In two books. T.1-2. Ed. 4, Spanish and additional - M.: Medicine, 1964. – 1104 p.
- Romanov P.G., Devyaterikov A.A., Shtempelyuk Y.R. Problems of forensic medical assessment of nasal bone fractures // Selected issues of forensic medical examination. - Khabarovsk, 2022. - No. 21. — P. 103-105.
Supplementary files








