Evaluating the dynamics of cardiovascular and respiratory system parameters and histological changes in the lungs after baclofen administration and its combination with ethanol
- Authors: Romanova O.L.1,2, Blagonravov M.L.1, Torshin V.I.1, Dzhuvalyakov P.G.1,2, Barinov E.K.1,3, Ershov A.V.4,5
-
Affiliations:
- Peoples' Friendship University of Russia
- Avtsyn Research Institute of Human Morphology of Federal state budgetary scientific institution "Petrovsky National Research Centre of Surgery"
- Russian University of Medicine
- The First Sechenov Moscow State Medical University
- V.A. Negovsky Research Institute of General Reanimatology of the Federal Research and Clinical Center of Intensive Care Medicine and Rehabilitology
- Issue: Vol 10, No 4 (2024)
- Pages: 474-485
- Section: Original study articles
- Submitted: 10.05.2024
- Accepted: 24.09.2024
- Published: 05.12.2024
- URL: https://for-medex.ru/jour/article/view/16139
- DOI: https://doi.org/10.17816/fm16139
- ID: 16139
Cite item
Abstract
Background: Baclofen is a selective agonist of γ-aminobutyric acid B receptors. The drug exhibits pronounced psychotropic effects and frequently causes dependence. However, its impact on the cardiovascular and respiratory systems remains underexplored.
Aim: To evaluate the dynamics of specific functional parameters of the cardiovascular and respiratory systems, as well as histological changes in the lungs, in cases of baclofen poisoning and its combination with ethanol.
Materials and methods: Baclofen and its combination with ethanol were administered to rats under general anesthesia (chloral hydrate 300 mg/kg, intramuscularly). Animals in the control group (n=5) Submitted no baclofen or ethanol. Animals in Groups 1, 3, and 5 were administered baclofen at a dose of 85 mg/kg, with physiological parameters recorded at 3, 4.5, and 24 hours. Animals in Groups 2, 4, and 6 were administered baclofen at the same dose combined with 40% ethanol (7 ml/kg). Physiological parameters (oxygenation level, red blood cell count per liter of blood, and hemoglobin concentration in g/L) were recorded at the same time points. The animals were then euthanized by cervical dislocation under general anesthesia (chloral hydrate), and biological material was collected for subsequent studies. Morphometric analysis was performed using G.G. Avtandilov’s grid.
Results: Baclofen and its combination with ethanol led to a statistically significant decrease in oxygenation levels. Red blood cell count and hemoglobin concentration (g/L) remained unchanged. A dynamic complex of pathological changes developed in the lungs of experimental animals, including microcirculation disturbances, thickening of interalveolar septa due to edema, and leukocyte infiltration. Three hours after combined administration of baclofen and ethanol, a statistically significant increase in vessel area was observed. At 4.5 hours, the areas occupied by leukocytes, the ratio of leukocyte area to interalveolar septa area, and the area affected by edema increased significantly. After 24 hours, the leukocyte area, the ratio of leukocyte area to interalveolar septa area, and the edema area further increased.
Conclusion: Combined with chemical-toxicological findings, the data obtained from this study allow for the identification of baclofen poisoning, estimation of the time elapsed since poisoning, and assessment of exposure conditions. Understanding the processes occurring in the lungs following baclofen and ethanol administration may enhance the effectiveness of medical assistance for affected individuals.
Full Text
Обоснование
На сегодняшний день острые отравления остаются одной из ведущих причин насильственной смерти [1, 2]. Велико число отравлений миорелаксантом баклофеном [3].
Баклофен (Баклосан, Лиорезал, Габлофен) ― синтетическое β-р-хлорфенильное производное γ-аминомасляной кислоты (ГАМК), молекулы которого не имеют сходства с молекулами других миорелаксантов [4, 5].
Баклофен ― селективный агонист ГАМКВ рецепторов [5, 6]. Стимуляция этих рецепторов приводит к уменьшению интенсивности спазма скелетных мышц, снижению болевого порога и развитию седативного эффекта [7].
Баклофен является рецептурным препаратом и выпускается как в форме таблеток (для перорального применения), так и раствора, который вводится внутриполостно через специальную систему, так называемую интратекальную помпу. Доза баклофена и режим его приёма определяются индивидуально с учётом особенностей пациента, реакции на препарат и тяжести заболевания [8].
Баклофен показан при спастичности, вызванной рассеянным склерозом, травмами спинного мозга, последствиями инсульта [8]. Доказана эффективность этого препарата у пациентов с детским церебральным параличом [9–11]. В ряде работ рассматривалось действие баклофена на пациентов с алкогольной зависимостью, но авторы сделали вывод о необходимости дальнейшего изучения данного вопроса [12–14]. Показана эффективность баклофена для облегчения синдрома отмены при лечении наркотической зависимости [15].
Помимо седативного, анксиолитического и антидепрессивного действия, баклофен обладает мощным обез-боливающим эффектом, который реализуется по двум принципиально разным механизмам ― опиатному (выброс мет-энкефалина) и катехоламинергическому [4]. Баклофен запускает антиноцицептивную корковую систему, что свидетельствует о многоуровневости и разнонаправленности механизмов, за счёт которых осуществляется анальгетическое действие этого препарата [16].
После перорального приёма баклофен всасывается из желудочно-кишечного тракта; его биодоступность составляет 70–80%. Максимальное содержание препарата в плазме крови (0,3–0,6 мкг/мл) достигается в течение 3 часов после перорального приёма (Сmax 3 часа). В печени баклофен подвергается дезаминированию и окислению с образованием основного метаболита ― β-[p-хлорфенил])-γ-гидроксимасляной кислоты, максимальная концентрация которой в плазме крови наблюдается через 4–5 часов после перорального введения препарата [4].
Использование баклофена с целью получения терапевтического эффекта сопряжено с риском развития побочных реакций со стороны сердечно-сосудистой (снижение артериального давления, тахикардия), дыхательной (одышка, тахипноэ), центральной нервной (головная боль, повышенная утомляемость, появление галлюцинаций, снижение судорожного порога), выделительной (недержание мочи, частое мочеиспускание) систем, желудочно-кишечного тракта (сухость во рту, тошнота, рвота) [4, 17].
В случае применения баклофена в высоких дозах возможно развитие острых отравлений [18, 19], симптомами которых являются повышенная тревожность, нарушение аккомодации, утрата корнеального рефлекса, судороги [20]. Со стороны желудочно-кишечного тракта наблюдаются гиперсаливация, тошнота, повышение концентраций лактатдегидрогеназы, аланинаминотрансферазы и аспартатаминотрансферазы. Отдельного внимания заслуживают симптомы, возникающие со стороны сердечно-сосудистой и дыхательной систем. В случае тяжёлых отравлений развивается кома [21–23]. Aнтидотов при отравлении баклофеном не существует, поэтому при их лечении рекомендована симптоматическая терапия [24].
Баклофен оказывает стимулирующее действие на дофаминовые рецепторы и обладает выраженным психоактивным эффектом, вызывая эйфорию, галлюцинации, деперсонализацию, дереализацию [4]. Этот препарат зачастую является предметом зависимости, прежде всего у лиц молодого возраста [24–27], при этом баклофен зачастую сочетают со слабоалкогольными напитками, что заметно увеличивает риск передозировки и отравления. Состояние наркотического опьянения развивается в течение получаса после перорального приёма средства. Его симптомы ― тошнота, рвота, дезориентация в пространстве, повышенная утомляемость, отсутствие связной речи [19]. При регулярном (несколько недель) приёме баклофена развивается психическая и физическая зависимость [24].
Для своевременной помощи пациентам с острыми отравлениями баклофеном необходимо понимать процессы, происходящие в организме при введении этого препарата.
Цель исследования ― оценка динамики некоторых функциональных показателей сердечно-сосудистой и дыхательной систем и гистологических изменений в лёгких при отравлении баклофеном и его комбинацией с этанолом.
Материалы и методы
Дизайн исследования
Проведено экспериментальное неослеплённое прос-пективное многоцентровое выборочное неослеплённое контролируемое нерандомизировнное исследование.
В эксперимент включены 35 половозрелых (в возрасте 20 недель) крыс-самцов линии Wistar массой 290–350 г. Животных распределили на 7 групп (по 5 крыс в каждой). Эксперименты проводили в соответствии с требованиями Директивы 2010/63/EU Европейского парламента и Совета Европейского союза по охране животных, используемых в научных целях [28].
Критерии соответствия
В исследование включали клинически здоровых крыс-самцов линии Wistar массой не менее 290 г, но не более 350 г.
Условия проведения
Эксперименты на животных проводили на базе Научно-исследовательского института общей реаниматологии (НИИ ОР) ФГБНУ «Федеральный научно-клинический центр реаниматологии и реабилитологии» Министерства науки и высшего образования Российской Федерации.
Исследование гистологических препаратов лёгких проводили на базе ФГАОУ ВО «Российский университет дружбы народов имени Патриса Лумумбы» Министерства науки и высшего образования Российской Федерации и НИИ морфологии человека имени академика А.П. Авцына ФГБНУ «Российский научный центр хирургии имени академика Б.В. Петровского» Министерства науки и высшего образования Российской Федерации.
Продолжительность исследования
Исследование проведено в период с 16 апреля 2023 года по 1 марта 2024 года.
Описание медицинского вмешательства
Половозрелым (20 недель) крысам-самцам массой от 290 г до 350 г линии Wistar вводили баклофен и его комбинацию с этанолом.
Дозировка баклофена, которая позже применялась в основном эксперименте, была установлена в ходе предварительного исследования. С этой целью животным, предварительно распределённым в группы по 5 особей, через назогастральный зонд вводили баклофен в дозировках 125, 115, 105 и 85 мг/кг. Все крысы, которым был введен баклофен в дозировке 85 мг/кг, оставались живы.
В основном исследовании баклофен и его комбинацию с этиловым спиртом вводили крысам через назогастральный зонд под общим наркозом (хлоралгидрат 300 мг/кг, внутримышечно).
Основной исход исследования
После введения препаратов, измерения функциональных показателей в установленные сроки животных выводили из эксперимента путём смещения шейных позвонков под общим наркозом (хлоралгидрат). Вскрывали грудную полость, лёгкие извлекали и помещали в 10% нейтральный формалин, а затем заключали в парафин. Срезы лёгких толщиной 5 мкм наносили на предметные стёкла, проводили окрашивание гематоксилином и эозином согласно общепринятой методике.
Анализ в подгруппах
Выделяли 7 групп по 5 животных.
Животным группы кoнтрoля (n=5) не вводили ни баклофена, ни этанола. Животным групп 1, 3, 5 вводили баклофен в дозе 85 мг/кг, физиологические показатели фиксировали через 3 (Сmax баклофена), 4,5 (Cmax основного метаболита баклофена ― β-[p-хлорфенил])-γ-гидроксимасляной кислоты) и 24 часа.
Животным групп 2, 4, 6 вводили баклофен в той же дозировке в комбинации с 40% (об.) этанолом из расчёта 7 мл/кг. Физиологические показатели фиксировали в те же сроки.
Методы регистрации исходов
Фиксировали оксигенацию, оценивали также количество эритроцитов в пересчёте на литр крови и содержание гемоглобина (г/л).
Далее препараты исследовали методом световой микроскопии на микроскопе Nikon Eclipse E-400 с видеосистемой на основе камеры Watec 221S (Япония) при увеличении 200 и 400 крат. Морфометрический анализ проводили с использованием сетки Г.Г. Автандилова. Оценивали следующие показатели (в объёмных процентах, об.%): площадь альвеол, межальвеолярных перегородок (МАП), сосудов, лейкоцитов, долю лейкоцитов в МАП и площадь, занятую отёком.
Этическая экспертиза
Содержание животных и работа с ними проводились в соответствии с Приказом Минздрава СССР № 755 от 12.08.1977 и Европейской конвенцией о защите позвоночных животных, используемых для экспериментов или в иных научных целях (Страсбург, 18.03.1986) [28].
Протокол исследования рассмотрен и одобрен локальным этическим комитетом ФГБНУ ФНКЦ РР (протокол № 1/21/4 от 17.03.2023 г.).
Статистический анализ
Размер выборки предварительно не рассчитывался.
Для статистической обработки полученных данных использовали программы Мicrosoft Excel, Statistica 12.0. Анализ полученных данных на вид распределения с помощью критерий Шапиро–Уилка установил, что распределение признаков в вариационном ряду отличается от нормального, поэтому данные представлены как медиана, нижний и верхний квартиль: Ме (QL; QH). Для множественного сравнения между группами использовали непараметрический критерий Краскела–Уоллиса (Н), для попарного сравнения ― непараметрический критерий Манна–Уитни. Критический уровень значимости (р) составил 0,01 [29].
Результаты
Объекты исследования
Эксперимент проводили на 35 крысах-самцах линии Wistar массой не менее 290 г и не более 350 г, возрастом 20 недель, распределённых в 7 групп по 5 животных в каждой.
Основные результаты исследования
Данные, полученные в ходе первой части исследования (функциональные показатели), представлены в табл. 1.
Таблица 1. Функциональные показатели крыс при введении баклофена и его комбинации с этанолом
Table 1. Functional indices of rats after administration of baclofen and its combination with ethanol
Показатель | Группа | ||||||
Контроль | Б 3 ч | Б+Э 3 ч | Б 4,5 ч | Б+Э 4,5 ч | Б 24 ч | Б+Э 24 ч | |
Оксигенация, % | 98 (97; 98) | 95 (95; 95)* | 94 (92; 95)* | 95 (95; 96) | 90 (90; 91)*^ | 90 (90; 91)* | 90 (90; 91)* |
Количество эритроцитов, ×1012/л | 7,5 (7,2; 7,8) | 7,7 (7,6; 7,7) | 7,8 (7,7; 8,1) | 8 (7,5; 8) | 7,9 (7,5; 8,0) | 7,3 (7,2; 7,4) | 7,8 (7,7; 7,8) |
Гемоглобин, г/л | 121 (120; 122) | 120 (115; 121) | 121 (115; 121) | 114 (112; 115) | 122 (121; 123) | 115 (114; 117) | 117 (115; 117) |
Ректальная температура, °С | 37,8 (37,7; 37,8) | 37,1 (37; 37,2)* | 37 (37; 37,6)* | 36,3 (36,0; 37,2)* | 36,2 (36,1; 37,2)* | 36 (36; 36,2)* | 36,1 (36,1; 36,1)* |
Примечание. p <0,01: * ― по отношению к контролю; ^ ― по отношению к группе «баклофен 4,5 часа». Б ― баклофен; Б+Э ― баклофен+этанол. Note. p <0.01: * ― relative to the control; ^ ― relative to the “baclofen 4.5 hours” group. Б ― baclofen; Б+Э ― baclofen+ethanol. | |||||||
У всех животных после введения баклофена и его комбинации с этиловым спиртом наблюдали статистически значимое снижение сатурации.
По показателю «количество эритроцитов в литре крови» между контролем и экспериментальными группами cтaтиcтически значимых отличий не отмечалось; между экспериментальными группами отличий также не выявлено.
По показателю «гемоглобин (г/л)» cтaтиcтически значимых различий между контрольной и экспериментальными группами не отмечали; статистически значимых различий между экспериментальными группами также не наблюдалось.
У всех животных после введения баклофена и его сочетания с этанолом отмечали статистически значимое снижение ректальной температуры.
Далее нами было проведено гистологическое исследование.
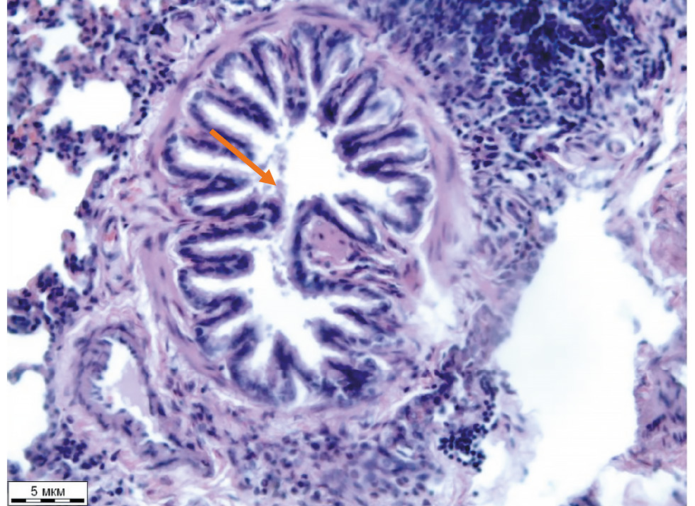
Через 3 часа после введения баклофена мы отмечали деформацию бронхиол, значительные нарушения микроциркуляции (венозное и капиллярное полнокровие, появление единичных кровоизлияний в МАП), наличие ателектазов и дистелектазов, чередовавшихся с участками эмфиземы. Отмечали также значительное утолщение МАП за счёт полнокровия капилляров, кровоизлияний и пропитывания серозной жидкостью. Перибронхиальная и периваскулярная соединительная ткань была отёчна. На участках МАП, в венулах, посткапиллярах наблюдали скопление сегментоядерных лейкоцитов (рис. 1).
Рис. 1. Лёгкое крысы (баклофен, 3 часа): утолщение межальвеолярных перегородок и их инфильтрация сегментоядерными лейкоцитами (стрелка). Окраска гематоксилином-эозином, ×200.
Fig. 1. Rat lung (baclofen, 3 hours): thickening of the interalveolar septa and their infiltration by segmented leukocytes (arrow). Hematoxylin and eosin staining, ×200.
Через 3 часа после введения комбинации баклофена и этанола помимо всех вышеуказанных гистологических изменений отмечали появление слизи в бронхах, а в просвете бронхов ― фрагментов слущенного эпителия (рис. 2). Отмечали инфильтрацию МАП сегментоядерными лейкоцитами.
Рис. 2. Лёгкое крысы (баклофен и этанол, 3 часа): слущенный эпителий в просвете бронха (стрелка). Окраска гематоксилином-эозином, ×200.
Fig. 2. Rat lung (baclofen and ethanol, 3 hours): desquamated epithelium in the bronchial lumen (arrow). Hematoxylin and eosin staining, ×200.
Через 4,5 часа после изолированного введения баклофена деформация бронхиол сохранялась; часть их имела щелевидную форму. Кроме венозного и капиллярного полнокровия отмечали появление множественных кловоизлияний в МАП и единичных сладжей. В лёгких животных данной группы также наблюдали чередование ателектазов, дистелектазов и эмфиземы. В просветах бронхов отмечали наличие слущенных эпителиальных клеткок, макрофагов, лейкоцитов, эритроцитов. Ядра эпителиальных клеток лёгких данной группы животных, в отличие от препаратов групп 1 и 2, были либо гипо-, либо гиперхромными.
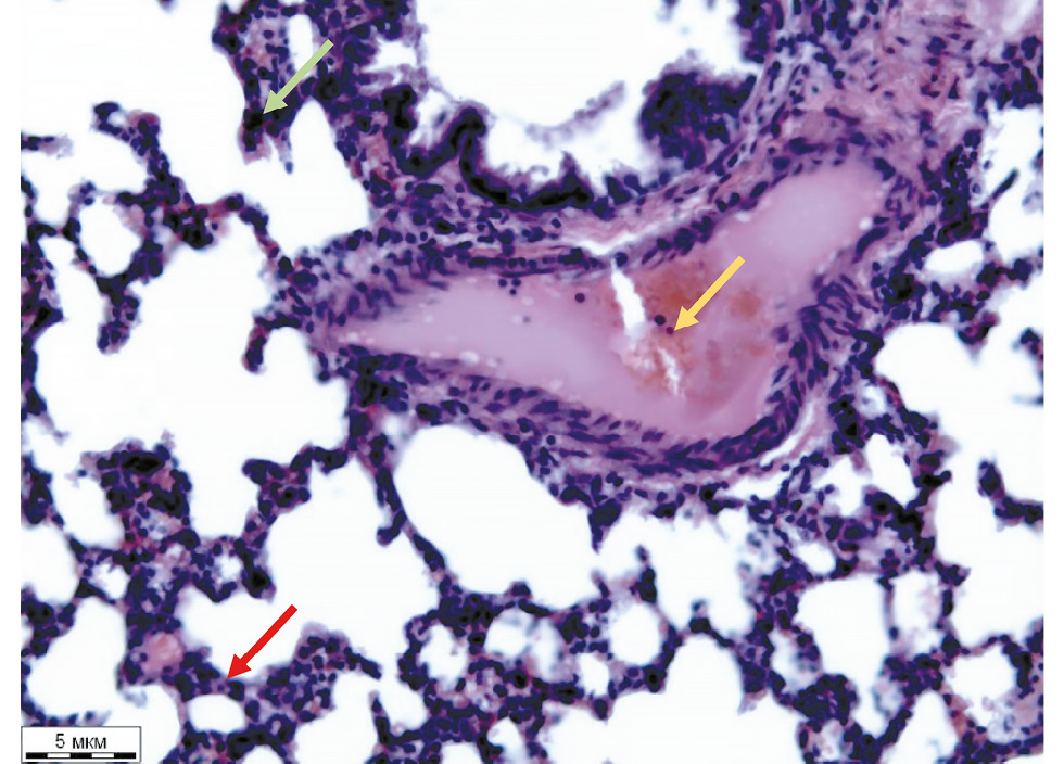
Через 4,5 часа после сочетанного введения баклофена и этанола отмечали появление венозного, капиллярного, артериального полнокровия; сладж-феномена (рис. 3). В отличие от групп 1, 2, 3, у животных этой группы наблюдали многочисленные кровоизлияния в альвеолы. В просвете бронхов ― наличие секрета, а в просвете бронхиол, как и в группе 2, ― фрагменты слущенного эпителия.
Рис. 3. Лёгкое крысы (баклофен и этанол, 4,5 часа): утолщение межальвеолярных перегородок (красная стрелка), инфильтрация межальвеолярных перегородок сегментоядерными лейкоцитами (зелёная стрелка), сладж-феномен (жёлтая стрелка). Окраска гематоксилином-эозином, ×200.
Fig. 3. Rat lung (baclofen and ethanol, 4.5 hours): thickening of the interalveolar septa (red arrow), infiltration of the interalveolar septa by segmented leukocytes (green arrow), sludge phenomenon (yellow arrow). Hematoxylin and eosin staining, ×200.
Через сутки после изолированного введения баклофена нарушения кровообращения были более выражены; в просветах лёгочных артерий и вен отмечали наличие сладжей. Вены были расширены и полнокровны. Наблюдали многочисленные кровоизлияния в альвеолы, а также наличие ателектазов и дистелектазов, расположенных субплеврально.
Через сутки после совместного введения баклофена и этанола также отмечали наличие нарушений кровообращения: появление венозного, артериального, капиллярного полнокровия, многочисленных кровоизлияний в МАП и в альвеолы, сладж-феномена. В лёгких животных данной группы отмечали развитие ателектазов, дистелек-тазов, чередовавшихся с участками эмфиземы. В бронхах, как через 3, так и 4,5 часа после совместного введения баклофена и этанола, имелся секрет, а в бронхиолах ― слущенный эпителий. МАП были утолщены за счёт отёка.
Данные, полученные в результате морфометрического исследования, представлены в табл. 2.
Таблица 2. Результаты морфометрического исследования лёгких у крыс после введения баклофена и его комбинации с этанолом, об.٪
Table 2. Results of morphometric study of lungs in rats after administration of baclofen and its combination with ethanol (vol.٪)
Показатель | Группа | ||||||
Контроль | Б 3 ч | Б+Э 3 ч | Б 4,5 ч | Б+Э 4,5 ч | Б 24 ч | Б+Э 24 ч | |
Площадь, занятая альвеолами | 36,50 (32,00; 43,00) | 41,50 (36,25; 48,50) | 42,50 (26,25; 52,00) | 39,00 (31,50; 45,50) | 36,00 (32,25; 42,75) | 36,50 (31,75; 45,25) | 37,50 (30,25; 47,00) |
Площадь, занятая лейкоцитами | 9,00 (7,25; 11,00) | 8,50 (7,50; 10,25) | 8,00 (6,00; 10,75) | 12,00 (10,75; 14,50) | 13,50*^# (12,00; 16,00) | 8,00ʹ (5,50; 11,50) | 10,50 (9,00; 13,00) |
Площадь, занятая отёком | 6,00 (4,25; 7,75) | 8,00 (5,25; 9,25) | 9,00 (7,25; 13,75) | 9,00 (6,50; 13,25) | 11,00* (8,25; 14,00) | 11,00* (8,25; 13,50) | 11,00* (9,00; 14,00) |
Площадь, занятая сосудами | 3,00 (2,00; 3,25) | 4,00 (3,75; 4,50) | 5,0* (4,00; 6,75) | 6,0* (5,50; 6,50) | 8,0*^ (6,00; 9,00) | 7,50*^ (5,50; 8,50) | 7,0* (5,25; 8,00) |
Соотношения WBCs/МАП | 0,14 (0,12; 0,17) | 0,16 (0,11; 0,17) | 0,14 (0,11; 0,18) | 0,21 (0,18; 0,23) | 0,21*^# (0,18; 0,25) | 0,16 (0,12; 0,19) | 0,17 (0,15; 0,21) |
Площадь, занятая МАП | 63,50 (57,25; 68,25) | 58,50 (51,25; 63,75) | 57,50 (48,00; 73,75) | 61,00 (55,25; 67,00) | 64,00 (57,25; 67,75) | 63,50 (53,75; 68,25) | 62,50 (53,00; 69,75) |
Примечание. p <0,01: * ― по отношению к контролю; ^ ― по отношению к группе Б (3 часа); # ― по отношению к группе Б+Э (3 часа); ʹ ― по отношению к группе Б+Э (4,5 часа). Б ― баклофен; Б+Э ― баклофен+этанол; МАП ― межальвеолярные перегородки; WBCs ― лейкоциты. Note. p <0.01: * ― relative to the control; ^ ― relative to group B (3 hours); # ― relative to group Б+Э (3 hours); ʹ ― relative to group Б+Э (4.5 hours). Б ― baclofen; Б+Э ― baclofen+ethanol; МАП ― interalveolar septa; WBCs ― leukocytes. | |||||||
К 4,5 часам после совместного введения баклофена и этанола, а также к 24-му часу после введения баклофена как монопрепарата и в комбинации с этиловым спиртом статистически значимо возрастала площадь, занятая лейкоцитами, и соотношение площади, занятой лейкоцитами, к площади МАП.
К 4,5 часам после введения комбинации баклофена и этанола и к 24-му часу после изолированного введения баклофена и его комбинации с этанолом статистически значимо возросла площадь, занятая отёками.
К 4,5 часам после изолированного введения баклофена и к 3, 4,5 и 24 часам после комбинированного введения баклофена и этанола отмечали статистически значимый рост площади, занятой сосудами, также наблюдали статистически значимый рост площади, занятой сосудами, от 4,5 к 24 часам после введения баклофена как монопрепарата.
Статистически значимо возрастали от 3 к 4,5 часам площадь, занятая лейкоцитами, и соотношение площади, занятой лейкоцитами, к площади МАП.
Через 4,5 часа после комбинированного введения баклофена и этанола площадь, занятая сосудами, была статистически значимо выше, чем после изолированного введения баклофена.
Площадь, занятая отёком, через 4,5 и 24 часа после введения комбинации баклофена и этанола и через 24 часа после изолированного введения баклофена статистически значимо возрастала по сравнению с контролем, что является следствием нарастающей гипоксии.
Обсуждение
Резюме основного результата исследования
В результате введения баклофена и его комбинации с этанолом оксигенация статистически значимо снижается. Количество эритроцитов в литре крови и содержание гемоглобина (г/л) оставались неизменными. Через 3 часа после совместного введения баклофена и этанола отмечали статистически значимый рост площади, занятой сосудами. Через 4,5 часа после совместного введения баклофена и этанола отмечали статистически значимый рост площади, занятой лейкоцитами, соотношения площади, занятой лейкоцитами, к площади МАП, площади, занятой отёком. Через сутки после введения баклофена и его комбинации с этанолом возрастали площадь, занятая лейкоцитами, соотношение площади, занятой лейкоцитами, к площади МАП, площади, занятой отёком. Через 4,5 часа после совместного введения баклофена и этанола статистически значимо возрастала площадь, занятая лейкоцитами.
Обсуждение основного результата исследования
Во всех экспериментальных группах наблюдали статистически значимое снижение сатурации по сравнению с группой контроля. Снижение сатурации свидетельствует о нарушении газообмена в органах дыхания и развитии гипоксии.
Изменения бронхиол во всех экспериментальных группах характеризовались их деформацией. В лёгких экспериментальных животных отмечали чередование участков ателектаза, дистелектаза и эмфиземы. Эти изменения усугубляют гипоксическое состояние и способствуют дальнейшему повышению проницаемости сосудов микроциркуляторного русла, развитию интерстициального и интраальвеолярного отёка, что наблюдали во всех экспериментальных группах. В результате морфометрического исследования установлено, что площадь, занятая отёком, после введения баклофена увеличивалась и через 24 часа была статистически значимо больше по сравнению с группой контроля.
Одним из ранних признаков повреждения лёгких является также увеличение содержания сегментоядерных лейкоцитов и макрофагов в капиллярах, венулах, периваскулярной соединительной ткани, а также на участках МАП, что также отмечали во всех экспериментальных группах.
Согласно данным литературы, баклофен не оказывает прямого токсического действия на бронхи и лёгкие. Развитие гипоксии можно объяснить снижением тонуса межрёберных мышц в результате блокады нервных импульсов, формирующихся в нейронах спинного мозга [6], и спазмом гладкой мускулатуры бронхов и бронхиол в результате стимуляции ГАМКА рецепторов высокой дозой баклофена (неселективная стимуляция ГАМКА и ГАМКВ рецепторов) [4, 5, 30].
Баклофен не оказывает влияния на процесс эритропоэза, что также можно проследить в рамках нашего исследования. Количество эритроцитов в 1 л крови и содержание гемоглобина (г/л) у животных всех экспериментальных групп статистически значимо не отличалось от контроля.
Во всех экспериментальных группах отмечали статистически значимое увеличение площади, занятой лейкоцитами, и соотношения к площади МАП, что свидетельствует об остром повреждении лёгких.
Различия в площади сосудов в лёгких животных, получавших баклофен и комбинацию баклофена с этанолом, через 4,5 часа после начала эксперимента объясняются, вероятно, дополнительным сосудорасширяющим действием этанола.
Ограничения исследования
Выявленные нами патологические изменения в лёгких неспецифичны и могут оцениваться только в совокупности с результатами гистологического исследования других органов и данных химико-токсикологического исследования.
Заключение
В результате введения баклофена и его комбинации с этанолом у экспериментальных животных развивался комплекс патологических изменений (нарушение микроциркуляции, утолщение МАП за счёт отёка и инфильтрации лейкоцитами), имеющий определённую динамику.
Данные, полученные в результате проведённых нами исследований, должны оцениваться в совокупности с результатами химико-токсикологического исследования. Они позволяют высказаться о факте отравления баклофеном, сроке, прошедшем с момента отравления, и условиях действия препарата. Понимание процессов, происходящих в лёгких после введения баклофена и его комбинации с этанолом, поможет эффективнее оказывать помощь данной категории пострадавших.
Дополнительная информация
Источник финансирования. Авторы заявляют об отсутствии внешнего финансирования при проведении исследования.
Конфликт интересов. Авторы декларируют отсутствие явных и потенциальных конфликтов интересов, связанных с публикацией настоящей статьи.
Вклад авторов. Все авторы подтверждают соответствие своего авторства международным критериям ICMJE (все авторы внесли существенный вклад в разработку концепции, проведение исследования и подготовку статьи, прочли и одобрили финальную версию перед публикацией). Наибольший вклад распределён следующим образом: О.Л. Романова ― разработка дизайна исследования, проведение исследования, написание статьи; М.Л. Благонравов ― разработка дизайна исследования, подготовка финальной версии статьи, одобрение финальной версии статьи перед публикацией; П.Г. Джуваляков, В.И. Торшин, Е.Х. Баринов ― подготовка финальной версии статьи, одобрение финальной версии статьи перед публикацией; А.В. Ершов ― проведение статистической обработки полученных результатов, подготовка финальной версии статьи, одобрение финальной версии статьи перед публикацией.
Additional information
Funding source. This study was not supported by any external sources of funding.
Competing interests. The authors declare that they have no competing interests.
Authors’ contribution. All authors made a substantial contribution to the conception of the work, acquisition, analysis, interpretation of data for the work, drafting and revising the work, final approval of the version to be published and agree to be accountable for all aspects of the work. O.L. Romanova: development of the study design, conducting the study, writing/preparing the text of the article; M.L. Blagonravov: development of the study design, preparation of the final version of the article text, approval of the final version of the article before publication; P.G. Dzhuvalyakov, V.I. Torshin, E.Kh. Barinov: preparation of the final version of the article text, approval of the final version of the article before publication; A.V. Ershov: statistical processing of the obtained results, preparation of the final version of the article text, approval of the final version of the article before publication.
About the authors
Olga L. Romanova
Peoples' Friendship University of Russia; Avtsyn Research Institute of Human Morphology of Federal state budgetary scientific institution "Petrovsky National Research Centre of Surgery"
Author for correspondence.
Email: olgpharm@yandex.ru
ORCID iD: 0000-0001-6356-9251
SPIN-code: 6727-9170
Cand. Sci. (Вiology)
Russian Federation, Moscow; MoscowMikhail L. Blagonravov
Peoples' Friendship University of Russia
Email: blagonravov_ml@pfur.ru
ORCID iD: 0000-0001-7838-0486
SPIN-code: 1050-0527
MD, Dr. Sci. (Medicine), Professor
Russian Federation, MoscowVladimir I. Torshin
Peoples' Friendship University of Russia
Email: vtorshin@mail.ru
ORCID iD: 0000-0002-3950-8296
SPIN-code: 8602-3159
MD, Dr. Sci. (Medicine), Professor
Russian Federation, MoscowPavel G. Dzhuvalyakov
Peoples' Friendship University of Russia; Avtsyn Research Institute of Human Morphology of Federal state budgetary scientific institution "Petrovsky National Research Centre of Surgery"
Email: fred197490@gmail.com
ORCID iD: 0000-0003-1709-2418
SPIN-code: 5925-7780
MD, Dr. Sci. (Medicine), Professor
Russian Federation, Moscow; MoscowEvgeniy Kh. Barinov
Peoples' Friendship University of Russia; Russian University of Medicine
Email: ev.barinov@mail.ru
ORCID iD: 0000-0003-4236-4219
SPIN-code: 2112-4568
MD, Dr. Sci. (Medicine), Professor
Russian Federation, Moscow; MoscowAnton V. Ershov
The First Sechenov Moscow State Medical University; V.A. Negovsky Research Institute of General Reanimatology of the Federal Research and Clinical Center of Intensive Care Medicine and Rehabilitology
Email: salavatprof@mail.ru
ORCID iD: 0000-0001-5758-8552
SPIN-code: 2059-3248
MD, Dr. Sci. (Medicine), Professor
Russian Federation, Moscow; MoscowReferences
- Simonova AY, Ilyashenko KK, Klychnikova EV, et al. Parameters of the blood oxidant/antioxidant system in elderly patients with acute poisoning. Obshchaya reanimatologiya = General Reanimatol. 2022;18(3):38–44. EDN: RIJJYL doi: 10.15360/1813-9779-2022-3-38-44
- Sinenchenko AG, Batotsyrenov CB, Lodyagin AN, et al. Delirium in acute poisoning with 1,4-butanediol and its correction. Obshchaya reanimatologiya = General Reanimatol. 2021;17(6):42–48. EDN: JFZCOS doi: 10.15360/1813-9779-2021-6-42-48
- Świątek G, Tkaczyk R, Radoniewicz-Tchórz A, et al. Baclofen: A great chance or danger ― discussion of poisoning based on research. J Education Health Sport. 2023;45:86–106. doi: 10.12775/JEHS.2023.45.01.006
- Drugs.com [Internet]. Baclofen (Monograph) [Medically reviewed by Drugs.com on Jun 10, 2024. Written by ASHP]. Available from: https://www.drugs.com/monograph/baclofen.html. Accessed: 08.02.2024.
- Product Information Clofen. TGA eBusiness Services [2017 June 7]. Millers Point, Australia:Alphapharm Pty Limited; 2017. [https://www.ebs.tga.gov.au/ebs/picmi/picmirepository.nsf/pdf?OpenAgent&id=CP-2010-CMI-04976-3] Accessed: 08.02.2024.
- TGA eBusiness Services. Australian Product Information Bacthecal. Available from: https://www.ebs.tga.gov.au/ebs/picmi/picmirepository.nsf/pdf?OpenAgent&id=CP-2015-PI-02261-1. Accessed: 08.02.2024.
- Chapman RW, Hey JA, Rizzo CA, Bolser DC. GABAB receptors in the lung. Trends Pharmacological Sci. 1993;14(1):26–29. doi: 10.1016/0165-6147(93)90110-6
- FDA Full Prescribing Information [Internet]. Gablofen (Baclofen). US Food and Drug Administration, 2021. https://www.accessdata.fda.gov/drugsatfda_docs/label/2021/022462s013lbl.pdf. Accessed: 08.02.2024.
- McLaughlin MJ, He Y, Brunstrom-Hernandez J, et al. Response in children with cerebral palsy. PMR. 2018;10(3):235–243. doi: 10.1016/j.pmrj.2017.08.441
- Navarrete-Opazo A, Gonzalez W, Nahuelhual P. Effectiveness of oral baclofen for spasticity in children with cerebral palsy. Arch Physical Med Rehab. 2016;97(4):604–618. doi: 10.1016/j.apmr.2015.08.417
- Lake W, Shah H. Intrathecal baclofen infusion for the treatment of movement disorders. Neurosurg Clin N Am. 2019;30(2): 203–209. doi: 10.1016/j.nec.2018.12.002
- Liu J, Wang LN. Baclofen for alcohol withdrawal. Cochrane Database Systematic Rev. 2017;2017(8):CD008502. EDN: YJFAOP doi: 10.1002/14651858.CD008502.pub6
- Pierce M, Sutterland A, Beraha EM, et al. Efficacy, tolerability, and safety of low-dose and high-dose baclofen in the treatment of alcohol dependence: A systematic review and meta-analysis. Eur Neuropsychopharmacol. 2018;28(7):795–806. EDN: YJOWLB doi: 10.1016/j.euroneuro.2018.03.017
- Agabio R, Sinclair JM, Addolorato G, et al. Baclofen for the treatment of alcohol use disorder: The cagliari statement. Lancet Psychiatry. 2018;5(12):957–960. doi: 10.1016/S2215-0366(18)30303-1
- Bareli T, Ahdoot HL, Ben Moshe H, et al. Novel opipramol-baclofen combination alleviates depression and craving and facilitates recovery from substance use disorder: An animal model and a human study. Front Behav Neurosci. 2021;(15):788708. doi: 10.3389/fnbeh.2021.788708
- Balerio GN, Rubio MC. Baclofen analgesia: Involvement of the GABAergic system. Pharmacol Res. 2002;46(3):281–286. EDN: BCWRFH doi: 10.1016/s1043-6618(02)00147-0
- Moffat AC, Osselton MD, Widdop B. Clarke’s analysis of drugs and poisons. London: Pharmac Press edited; 2020.
- Leung NY, Whyte IM, Isbister GK. Baclofen overdose: Defining the spectrum of toxicity. Emerg Med Australas. 2006;18(1):77–82. doi: 10.1111/j.1742-6723.2006.00805.x
- Beraha E, Bodewits P, van den Brink W, Wiers R. Speaking fluently with baclofen. BMJ Case Reports. 2017;2017:bcr2016218714. doi: 10.1136/bcr-2016-218714
- Katyal R, Samkutty D, Muzammil SM, Saucedo S. Baclofen toxicity presenting as myoclonic status epilepticus. Neurol Clin Pract. 2019;9(6):516–518. doi: 10.1212/CPJ.0000000000000686
- Wolf ME, Mosnaim AD. Baclofen-induced manic symptoms: Case report and systematic review. Psychosomatics. 2017;58(1):94. doi: 10.1016/j.psym.2016.08.004
- Ryu HU, Kim JH, Shin BS, Kang HG. Serial electroencephalography changes in low-dose baclofen intoxication. QUIMS. 2023;13(10):7404–7409. doi: 10.21037/qims-23-630
- Mikhaylov AY, Berezina IY, Potskhveriya MM, Sumsky LI. Electroencephalography showing dying brain in a patient with acute baclofen poisoning. Zhurnal im. N.V. Sklifosovskogo "Neotlozhnaya meditsinskaya pomoshch" = Sklifosovsky J Emergency Med Care. 2017;6(4):371–375. EDN: YLJKIK doi: 10.23934/2223-9022-2017-6-4-371-375
- Charifou Y, Martinet O, Jabot J, et al. Baclofen intoxication cases in an intensive care unit. Anaesth Crit Care Pain Med. 2016;35(2):169–170. doi: 10.1016/j.accpm.2015.10.003
- De Marcellus C, le Bot S, Decleves X, et al. Report of severe accidental baclofen intoxication in a healthy 4-year-old boy and review of the literature. Arch Pediatr. 2019;26(8): 475–478. doi: 10.1016/j.arcped.2019.10.003
- Drevin G, Briet M, Ghamrawi S, et al. Baclofen overdose following recreational use in adolescents and young adults: A case report and review of the literature. Forensic Sci Int. 2020;316:110541. doi: 10.1016/j.forsciint.2020.110541
- Pelerin JM, Fristot L, Gibaja V, et al. Non-medical use of baclofen: A case series and review of the literature. Therapies. 2023:78(6):615–637. EDN: QFSPYU doi: 10.1016/j.therap.2023.02.007
- Directive 2010/63/EU of the European Parliament and the Councilof the European Union on the Protection of Animals used for scientific purposes. Saint Petersburg: Rus-LASA NP Association of Specialists Working with Laboratory Animals; 2012. 48 р. https://eur-lex.europa.eu/legal-content/EN/TXT/PDF/?uri=CELEX:32010L0063. Accessed: 08.02.2024.
- Bavrina AP. Modern rules for the use of descriptive statistics methods in biomedical research. Med Almanac. 2020;(2):95–104. EDN: UCVXIX
- Mizuta K, Xu D, Pan Y, et al. GABAA receptors are expressed and facilitate relaxation in airway smooth muscle. Am J Physiol Lung Cell Mol Physiol. 2008;294(6):1206–1216. doi: 10.1152/ajplung.00287.2007
Supplementary files







