Death following COVID-19 vaccination: A case report
- Authors: Hosahally J.S.1, Patil V.2, Chandra G.Y.3
-
Affiliations:
- Dr Chandramma Dayananda Sagar Institute of Medical Education & Research
- Bangalore Medical College Bangalore
- MS Ramaiah Medical College
- Issue: Vol 9, No 4 (2023)
- Pages: 447-455
- Section: Case reports
- Submitted: 12.07.2023
- Accepted: 22.09.2023
- Published: 15.12.2023
- URL: https://for-medex.ru/jour/article/view/13497
- DOI: https://doi.org/10.17816/fm13497
- ID: 13497
Cite item
Abstract
Vaccines are necessary to reduce the mortality and morbidity of infectious diseases. It has played a vital role in the ongoing coronavirus disease 2019 (COVID-19) pandemic. Different types of vaccines have been developed to combat the pandemic. Adverse events following immunization including anaphylaxis have been reported for all types of COVID-19 vaccine. Anaphylaxis is common in a person who has a history of allergic reactions. Adverse reactions develop within minutes or a few hours after vaccination. Thus, in India, vaccine recipients are made to stay in the medical facility for 30 min for observation.
Herein, we report the case of a 23-year-old woman who succumbed after 24 hours of taking COVISHIELD ChAdOx1 nCoV-19 Corona Virus Vaccine (recombinant). She did not have any symptoms after vaccination during her observation at the medical facility and did not have a history of allergic reactions. She was brought dead to M.S. Ramaiah Hospital, and the autopsy revealed pulmonary edema. Antibodies to COVID-19, inflammatory markers, serum IgE, and coagulation indicators in the postmortem blood sample were high. The cause of death was attributed to a delayed allergic reaction to COVISHIELD vaccine. Newer vaccines can cause fatal allergic reaction, sometimes later than expected, even when cutaneous reactions may not be present.
Keywords
Full Text
INTRODUCTION
In India, a total of 42,957,477 people tested positive for coronavirus disease 2019 (COVID-19), and 514,878 succumbed to the pandemic until 4th March 2022 [1]. Effective immunization and achieving herd immunity are vital in controlling the pandemic. Several vaccines against COVID-19 are available in the Indian market. COVISHIELD ChAdOx1 nCoV-19 Corona Virus Vaccine (recombinant) and COVAXIN (whole virion inactivated coronavirus (SARS-CoV-2) vaccine) are widely used by government and private establishments. Adverse reactions to vaccines are commonly reported; however, most are not immunologically mediated. Immunologically mediated reactions include IgE-mediated and T-cell-mediated reactions and other immunologic mechanisms that occur following allergen exposure. These responses, particularly severe anaphylaxis, rarely occur [2].
A total of 1,785,247,566 doses of COVID-19 vaccines were administered until 5th March 2022 . Of these, 966,947,498 were first doses, 798,971,227 were second doses, and 19,328,841 were precaution doses [3].
Adverse events following immunization (AEFI) were recorded after 0.004% of the total 1,230,000,000 COVID-19 jabs till November 30, 2021. Of the 49,819 reported adverse events, 47,691 were minor, 163 were severe, and 1,965 were serious cases (December 8, 2021) [4]. Moreover, 488 deaths were linked to post-vaccination complications between 16th January 2021 to 7th June 2021, according to government data accessed by CNN-News18 [5]. Herein, we report one such death that was associated with the administration of COVISHIELD ChAdOx1 nCoV-19 Corona Virus Vaccine (recombinant).
CASE REPORT
A 23-year-old woman took her first dose of the COVISHIELD vaccine on July 4, 2021. She was the sole occupant of a room in a guest accommodation for ladies in Bangalore City. On the same day, she experienced fever and myalgia. She spent that night at her friend’s place and returned to her room the next day at around 6.00 a.m. on July 5, 2021. While she was at her friend’s place, no symptoms related to hypersensitivity to the vaccine were noted. She did not have a history of episodes of hypersensitivity to any substance. As she was still febrile, she informed her colleagues that she would not be coming to the office, and she rested in her room. She called her parents living far away in another city at around 9:30 a.m. and told them that she was too tired and was not well. She did not answer the door when her maid came around 10.30 a.m. Her parents had called her friends to check on her, and she did not answer anyone’s calls. Later that afternoon at around 3.00 p.m., her friends broke her room’s door, and she was found in a gasping state. An ambulance was called for, and she was transported to M. S. Ramaiah Hospital where she was declared brought dead at 5.00 p.m. on July 5, 2021. A medicolegal case was registered, and the body was subjected to autopsy because the cause of death was unknown.
Further information from the police and relatives revealed that the deceased had suffered from mild COVID-19 during the first week of April 2021. A police inquest was conducted, and later, her body was subjected to a forensic autopsy at M. S. Ramaiah Medical College Hospital on July 7, 2021. Before the autopsy, nasal and nasopharyngeal swabs were collected and tested for SARS-CoV-2 using reverse-transcription polymerase chain reaction (RT-PCR) test.
On examination, she was moderately built and nourished. Eyes were closed, and pupils were dilated and fixed. Conjunctival congestion (Figure 1) and marked cyanosis of nail beds (Figure 2) were noted. White fine froth was present over both nostrils (Figure 3). Postmortem staining was noted over the back and fixed. Rigor mortis was appreciated all over. An intramuscular injection mark was present over the outer aspect of her left arm over the deltoid region (Figure 4). The cut section revealed no abnormality. No external injuries on the body were noted.
Fig. 1. Conjunctival congestion.
Рис. 1. Гиперемия конъюнктивы.
Fig. 2. Cyanosis of nail beds.
Рис. 2. Цианоз ногтевого ложа.
Fig. 3. Froth over both nostrils.
Рис. 3. Пена над обеими ноздрями.
Fig. 4. Intra muscular injection mark present over the outer aspect of left arm.
Рис. 4. След от внутримышечной инъекции на внешней стороне левой руки.
Lungs were congested and edematous, and the cut section exuded blood mixed with froth. Tracheal dissection showed copious amounts of froth and mucus but no signs of aspiration (Figure 5). The heart was intact and weighed 239 g. The coronary arteries were patent. The liver, kidneys, and spleen were intact and congested. The stomach was empty, congested with mucosa, and grossly hemorrhagic. A faint, fruity smell of alcohol was present. The uterus was normal in size, and its cavity was empty. The scalp and skull were intact. On opening the skull, the meninges were intact and congested. Sulci and gyri were flattened, and the brain was edematous. The cut section of the brain showed numerous petechial hemorrhages in the white matter.
Fig. 5. Froth and mucus in trachea.
Рис. 5. Пена и слизь в трахее.
Blood and viscera were sent for chemical analysis to the state forensic science laboratory. The heart, lungs, liver, kidneys, spleen, and brain were subjected to histopathological examination. The blood samples in relevant containers were sent for serum creatine kinase, CK- MB IgE, D-dimer, troponin I, prothrombin time, activated partial thromboplastin time, C-reactive protein, interleukin-6, and COVID-19 antibodies.
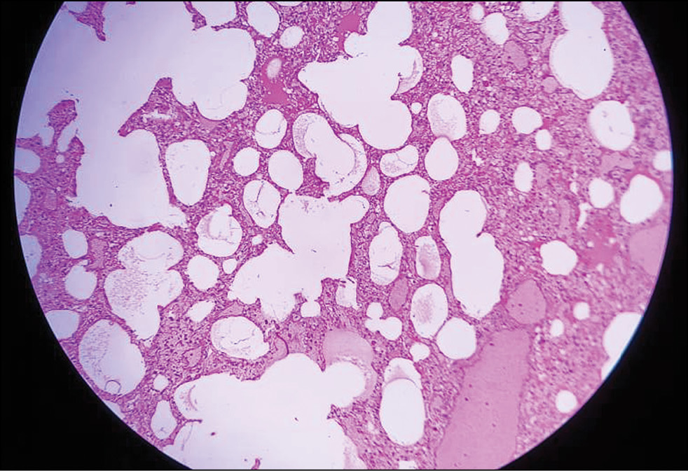
Histopathological examination revealed edema and congestion in the brain, lungs (Figure 6), and liver. The kidneys were congested and showed acute tubular necrosis. The heart was unremarkable. RT-PCR for SARS-CoV-2 tested negative. Color tests and gas chromatography methods revealed the presence of ethyl alcohol in the stomach, liver, and blood. It was quantified to 118 mg/100 mL of blood. Blood reports are shown in Table 1.
Fig. 6. Pulmonary oedema.
Рис. 6. Отёк лёгких.
Table. Results of Laboratory Investigation 1
Sl No. | Test | Result | Biological reference interval |
1 | Plasma D-dimer | 3.27 | 0.0–0.5 µg/mL FEU |
2 | IgE | 281.0 | Up to 100 IU/mL |
3 | Serum CK–total | > 48000 | 34–145 U/L |
4 | Serum CKMB mass | > 400 | 0.00–2.88 ng/mL |
5 | Serum troponin I | > 80.0 | 0.0–0.10 ng/mL |
6 | Prothrombin time | > 2 min | 11.64–15.64 s |
7 | aPTT | > 2 min | 24–34 s |
8 | COVIPROTECT- anti-SARS-CoV-2 spike | 392.5 | Negative: <50 AU/mL Positive: > 50 AU/mL |
9 | Serum COVID-19 Ab | REACTIVE (130) | |
On perusal of brief facts of the case, autopsy findings, laboratory investigations, and chemical analysis report, the death was attributed to a delayed allergic reaction to a COVID-19 vaccine.
DISCUSSION
In view of the high mortality and infectivity of the SARS-CoV-2, various pharmaceutical have developed different types of vaccines in a short duration. Mild, moderate, and severe allergic reactions can occur immediately or within minutes or several hours later. The signs and symptoms of anaphylaxis stem from the effects of histamine and other substances on the target organs to include dermatologic (urticaria, flushing, and angioedema), respiratory (stridor, cough, wheeze, and shortness of breath), and gastrointestinal (nausea, emesis, abdominal pain, and diarrhea). Systemic vasodilatation and vascular leakage can also lead to hypotension (usually preceded by reflex tachycardia), which can lead to syncope and vascular collapse. Fatalities from anaphylaxis are caused by asphyxiation from the upper airway angioedema or severe bronchospasm or hypotension. These can occur in combination or alone [6].
In India, 235,000,000 doses COVISHIELD vaccine were administered between 16th January 2021 to 7th June 2021 In total, 26,200 cases of AEFI and 488 deaths linked to post-vaccination complications were reported according to government data accessed by CNN-News18. AEFI cases accounted for just approximately 0.01% of the total doses administered [5].
Following Pfizer-BioNTech COVID-19 vaccination in the United States between December 14, 2020, and December 23, 2020, 1,893,360 first vaccine doses were administered, and 21 people had anaphylactic features. No deaths from anaphylaxis were reported after receipt of Pfizer-BioNTech COVID-19 vaccine. Moreover, 17 (81%) of 21 patients with anaphylaxis had a documented history of allergies or allergic reactions, including to drugs or medical products, foods, and insect stings. In addition, 7 (33%) patients had experienced an episode of anaphylaxis in the past, including one after receipt of a rabies vaccine and another after receipt of an influenza A(H1N1) vaccine [7].
In total, 4,041,396 first doses of the Moderna COVID-19 vaccine were administered between December 21, 2020, and January 10, 2021, in the United States. Monitoring by the vaccine adverse event reporting system detected 10 cases of anaphylaxis (2.5 cases per million doses administered). In nine cases, the onset occurred within 15 min of vaccination. No anaphylaxis-related deaths were reported [8].
The most commonly identified risk factors for anaphylactic and nonanaphylactic reactions to SARS-CoV-2 mRNA vaccines were being female and previous history of atopy [2]. Sensitization to polyethylene glycol (PEG) is more common in women because of the relatively frequent exposure to PEG-containing products, such as cutaneous exposure to cosmetics or the use of medications such as contraceptive injections, and explains female predominance in the reported cases of vaccine-associated anaphylactic and nonanaphylactic reactions. Another possible explanation includes hormonal differences such as the role of estrogen, which may be an important factor in allergic immunological responses [9].
Some of the current non-mRNA-based COVID vaccines such as COVISHIELD contain Polysorbate-80. Polysorbates are derived from PEGs but tend to have lower molecular weights (e.g., polysorbate 80 has a molecular weight of 1310 Da) and thus may be much less likely to trigger an allergic reaction. Polysorbates were reported to induce anaphylaxis-like reactions in animal models (typically via an IgE-independent pathway); however, very few cases of clinical reactivity were reported in humans [10]. Polysorbate 80 is a ubiquitously used solubilizing agent that can cause severe nonimmunologic anaphylactoid reactions [11].
In this case, the 23-year-old female patient experienced fever and tiredness a few hours after COVID-19 vaccination; on the next day while alone in her room, she had difficulty breathing and was found gasping by her friends. No immediate allergic symptoms were noted, and she did not have any dermatological lesions. She did not have a prior history of allergy to any substance. To rule out active COVID-19, swabs were taken for RT-PCR for SARS-CoV2; simultaneously, postmortem blood samples were collected and analyzed for troponin I, CK-MB, coagulation indicators, and serum IgE.
The identification of cardiac-specific biomarkers may reflect the severity of COVID-19, and some studies of patients with COVID-19 reported that levels of specific myocardial biomarkers including creatine kinase- total, creatine kinase-MB, Cardiac troponin I were higher in patients treated in an intensive care unit (ICU) than in patients who did not require ICU care [12]. In this case, as the patient tested negative for COVID-19, the high levels of cardiac biomarkers are nonspecific and rule out COVID-19 as the cause of death. Further, antibodies to COVID-19 were detected in the postmortem blood sample. Coagulation indicators (D-dimer and prothrombin time) were also high, including serum IgE levels. High levels of coagulation indicators is a feature seen in a postmortem blood sample and is nonspecific in the present case in determining the cause of death.
Postmortem diagnosis of fatal allergic reactions usually requires suspicion gleaned from the circumstances of the death because autopsy findings are often inconspicuous and challenging. Tests for specific IgE and mast cell tryptase might help determine whether anaphylaxis is the cause of death [13]. In the present case, the postmortem blood sample only revealed high IgE levels as there was no provision at our center to analyze blood samples for tryptase levels.
After considering the facts of the case, postmortem findings, and high IgE levels, delayed allergic reaction was ascertained as the cause of death. Polysorbate-80 could be the allergen in this case, which is an excipient in COVISHIELD ChAdOx1 nCoV-19 Corona Virus Vaccine (recombinant).
CONCLUSION
Deaths caused by severe allergic reactions to COVID-19 vaccines are rare. The onset may be delayed, and cutaneous reactions may not be present. Various vaccine components that can cause allergic reactions should be identified, and a larger study is necessary to understand their mechanism and further identify susceptible victims beforehand. Vaccine recipients should be advised to report to a medical facility when any untoward incident occurs after vaccination, even if there are no allergic symptoms during the observation period after vaccination.
ADDITIONAL INFORMATION
Funding source. This article was not supported by any external sources of funding.
Competing interests. The authors declare that they have no competing interests.
Authors’ contribution. All authors made a substantial contribution to the conception of the work, acquisition, analysis, interpretation of data for the work, drafting and revising the work, final approval of the version to be published and agree to be accountable for all aspects of the work.
Consent for publication. Written consent was obtained from the patient’s legal representatives for publication of relevant medical information and all of accompanying images within the manuscript in “Russian Journal of Forensic Medicine”.
About the authors
Jayanth S. Hosahally
Dr Chandramma Dayananda Sagar Institute of Medical Education & Research
Email: veejay02@gmail.com
ORCID iD: 0000-0001-5209-1133
MD, Associate Professor
India, DevarakaggalahalliVarsha Patil
Bangalore Medical College Bangalore
Email: dr.varshapatil93@gmail.com
ORCID iD: 0000-0002-5352-6810
India, Bangalore
Girish Y.P. Chandra
MS Ramaiah Medical College
Author for correspondence.
Email: girishchandra14@gmail.com
ORCID iD: 0000-0002-5446-8114
MD, Professor
India, BangaloreReferences
- Johns Hopkins University & Medicine [Internet]. Coronavirus Resource Center. World Countries India [03.05.2022]. Available from: https://coronavirus.jhu.edu/region/india. Accessed: 15.11.2023.
- Alhumaid S, Al Mutair A, Al Alawi Z, et al. Anaphylactic and nonanaphylactic reactions to SARS-CoV-2 vaccines: A systematic review and meta-analysis. Allergy Asthma Clin Immunol. 2021;17(1):109. doi: 10.1186/s13223-021-00613-7
- BD-GOV.COM [05.03.2022]. Available from: https://bd-gov.com/cowin-gov-in-vaccination-certificate/. Accessed: 15.11.2023.
- The Times of India [Internet]. 2k serious cases of AEFI, 0.004% of 123 crore of shots given [05.03.2022]. Available from: https://timesofindia.indiatimes.com/india/2k-serious-cases-of-aefi-0-004-of-123-crore-of-shots-given-government/articleshow/88153594.cms. Accessed: 15.11.2023.
- CNN-News18 [Internet]. 26k Adverse Events, 488 Deaths Reported in India During Covid Vaccination Drive [05.03.2022]. Available from: https://www.news18.com/news/india/26k-adverse-events-488-deaths-reported-in-india-during-covid-vaccination-drive-data-3845363.html. Accessed: 15.11.2023.
- Kelso JM. Anaphylactic reactions to novel mRNA SARS-CoV-2/COVID-19 vaccines. Vaccine. 2021;39(6):865–867. doi: 10.1016/j.vaccine.2020.12.084
- CDC COVID-19 Response Team; Food and Drug Administration. Allergic reactions including anaphylaxis after receipt of the first dose of Pfizer-BioNTech COVID-19 vaccine: United States, December 14–23, 2020. Morb Mortal Wkly Rep. 2021;70(2):46–51. doi: 10.15585/mmwr.mm7002e1
- CDC COVID-19 Response Team; Food and Drug Administration. Allergic reactions including anaphylaxis after receipt of the first dose of Moderna COVID-19 Vaccine: United States, December 21, 2020–January 10, 2021. Morb Mortal Wkly Rep. 2021;70(4):125–129. doi: 10.15585/mmwr.mm7004e1
- Somiya M, Mine S, Yasukawa K, Ikeda S. Sex differences in the incidence of anaphylaxis to LNP-mRNA COVID-19 vaccines. Vaccine. 2021;39(25):3313–3314. doi: 10.1016/j.vaccine.2021.04.066
- BioProcess International [Internet]. Maggio E. Polysorbates, biotherapeutics and anaphylaxis: A review [September 19, 2017]. Available from: https://bioprocessintl.com/manufacturing/formulation/polysorbates-biotherapeutics-and-anaphylaxis-a-review/. Accessed: 15.11.2023.
- Coors EA, Seybold H, Merk HF, Mahler V. Polysorbate 80 in medical products and nonimmunologic anaphylactoid reactions. Ann Allergy Asthma Immunol. 2005;95(6):593–599. doi: 10.1016/S1081-1206(10)61024-1
- Zhao W, Zha X, Wang N, et al. Clinical characteristics and durations of hospitalized patients with COVID-19 in Beijing: A retrospective cohort study. medRxiv. 2020. doi: 10.1101/2020.03.13.20035436
- Pumphrey RS, Roberts IS. Postmortem findings after fatal anaphylactic reactions. J Clin Pathol. 2000;53(4):273–276. doi: 10.1136/jcp.53.4.273
Supplementary files









