Determination of the mechanism of formation of cranio-brain injury in consideration of the data of multispiral computed tomography: a case from expert practice
- Authors: Li Y.B.1,2, Vishniakova M.V.1, Klevno V.А.1
-
Affiliations:
- Moscow Regional Research and Clinical Institute
- Primorsky Regional Bureau of Forensic Medical Examination
- Issue: Vol 8, No 3 (2022)
- Pages: 85-92
- Section: Case reports
- Submitted: 08.07.2022
- Accepted: 28.09.2022
- Published: 15.11.2022
- URL: https://for-medex.ru/jour/article/view/736
- DOI: https://doi.org/10.17816/fm736
- ID: 736
Cite item
Full Text
Abstract
In everyday practice, a forensic doctor, among other things, solves the problem of accurate determination of the injury mechanism to correctly emphasize an investigation in a criminal case or based on a preliminary check, when the degree of guilt of each of the defendants in the case is established. The significance of each suspect’s “contribution” to the commission of the crime is determined by who bears the responsibility for the deed. The types of injuries in the injured person resulted from the direct impact of another person, which is simply a result of a fatal combination of circumstances at a given point in time. In such a situation, a clear answer to the question about the mechanism of injury often allows the person investigating to adequately qualify the actions of the suspect following the current Criminal Code of the Russian Federation. The situation is complicated in the examination of the victims, accused, and other persons (living persons) because unlike the examination of corpses, the forensic expert is deprived of the opportunity to examine the “native material” in detail and is limited only to the data of medical documents, and the laboratory results and instrumental research methods and examination of the subject are often presented by the investigating authorities after a long period after the incident.
The results of multislice computed tomography of the brain, as a more accurate diagnostic method than standard radiography, combined with the study of the presented case materials, made it possible to consistently determine that the complex of injuries that collectively formed a traumatic brain injury in the case of a severe traumatic brain injury, was exclusively formed as a result of a fall with a blow on a hard blunt object, thereby distinguishing between damage to the impact and counter-impact zones.
The analysis of this expert case confirms the importance of using modern methods of radiation diagnostics in forensic medicine, particularly, in determining the traumatic brain injury mechanisms.
The above case from expert practice demonstrates the importance of studying both the results of accurate methods of radiation diagnostics (multispiral computed tomography) and case materials submitted by investigative authorities to determine the mechanism of traumatic brain injury, especially in the examinations of victims, accused, and others.
Full Text
АКТУАЛЬНОСТЬ
В литературных трудах, авторами которых являются как судебно-медицинские эксперты, так и врачи клинического профиля, представлены результаты исследований по морфологии телесных повреждений и объёму травматических изменений зон удара и противоудара при черепно-мозговой травме [1–12]. В работах судебно-медицинских экспертов речь в большинстве случаев идёт о результатах исследования трупов, что же касается экспертизы живых лиц, то эксперт может столкнуться с трудностями в самом начале своего исследовательского пути: отсутствие достоверных обстоятельств дела и полноценных объектов для исследования; пό́зднее предоставление подэкспертного на судебно-медицинский осмотр; невозможность досконального изучения морфологии телесных повреждений в отличие от экспертизы трупов. В таких случаях трудно переоценить неинвазивные высокоточные методы исследования, в частности мультиспиральную компьютерную томографию головы.
Диагностические возможности компьютерной томографии, а также проблемы судебно-медицинской экспертизы живых лиц отражены в работах современников [13, 14]. Однако, несмотря на имеющиеся наработки, судебно-медицинские эксперты упускают зачастую возможность досконального последовательного исследования компьютерных томограмм совместно с врачами-рентгенологами, лишая себя, таким образом, возможности точной диагностики механизма черепно-мозговой травмы.
ОПИСАНИЕ ЭКСПЕРТНОГО СЛУЧАЯ
Обстоятельства травмы
Судебно-медицинская экспертиза назначена в рамках уголовного дела по факту причинения телесных повреждений гражданину Л., 36 лет, который «получил удар по голове от неизвестного мужчины в коридоре кафе, в результате чего упал и ударился головой». На место происшествия сразу же была вызвана бригада скорой медицинской помощи, которая доставила пострадавшего в городскую больницу.
Данные медицинских документов
Из карты вызова скорой медицинской помощи и медицинской карты стационарного больного стало известно, что при первичном осмотре у гражданина Л. выявлены наружные телесные повреждения в виде «гематомы околоушной области справа» и ушибленной раны верхней губы слева, зафиксировано кровотечение из правого наружного слухового прохода. При проведении мультиспиральной компьютерной томографии головного мозга врачом-рентгенологом выявлены субдуральная гематома в левой лобно-височно-теменной области, субарахно-идальное кровоизлияние левой височно-теменной области, очаги ушиба головного мозга в полюсных отделах левой височной доли, перелом пирамиды правой височной кости и задней стенки наружного слухового прохода с кровоизлиянием в ячейки правого сосцевидного отростка и правую барабанную полость, эпидуральная гематома правой теменно-височной области.
Результаты судебно-медицинского исследования
В ходе судебно-медицинского осмотра гражданина Л., проведённого спустя месяц после происшествия, выявлен рубец в области переходной каймы верхней губы слева, на уровне левого угла рта, неопределённой формы, с неровными, нечёткими границами, размерами 1,1×0,3 см, без следов наложения хирургических швов, красновато-розоватый, плотный, малоподвижный, проходящий через всю толщу верхней губы, на внутренней поверхности которой, на уровне 3-го зуба верхней челюсти слева, данный рубец имеет звёздчатую форму в виде трёх лучей, точка схождения которых находится на уровне 3-го зуба верхней челюсти слева, с неровными краями, закруглёнными концами, красновато-белесоватый. Данный рубец сформировался в результате заживления ушибленной раны верхней губы, описанной в медицинских документах. Каких-либо телесных повреждений, имеющих отношение по давности к вышеописанным событиям, а также других следов заживления телесных повреждений, помимо вышеуказанного рубца верхней губы, на момент судебно-медицинского осмотра не обнаружено. Рост гражданина Л. составляет 190 см, вес ― 75 кг. Обстоятельства дела со слов потерпевшего выяснить невозможно (ничего не помнит).
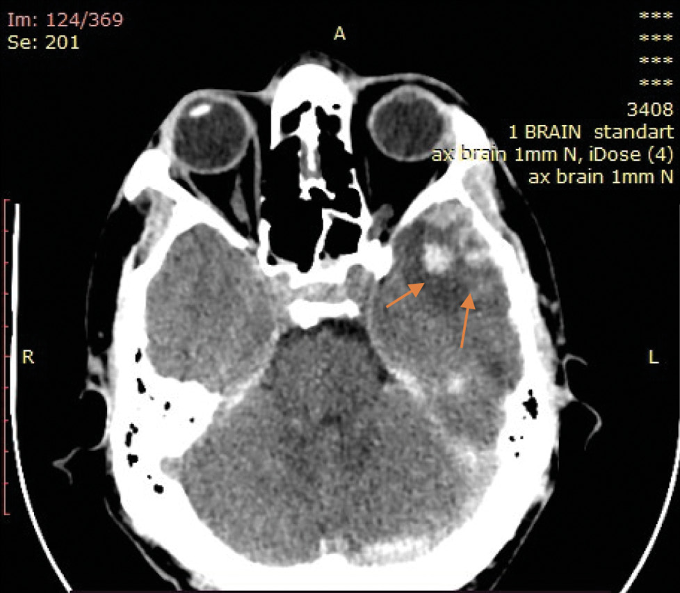
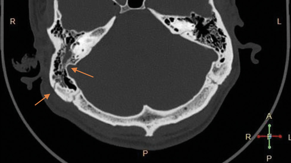
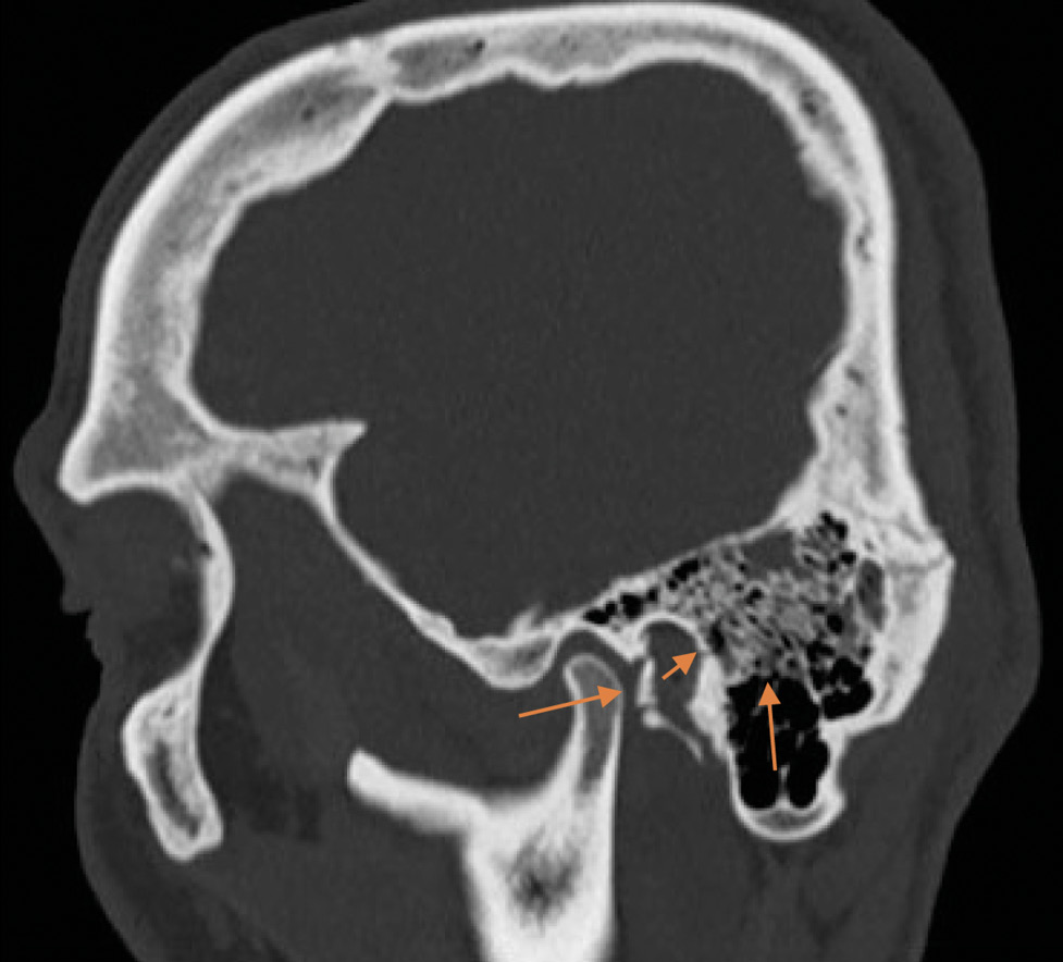
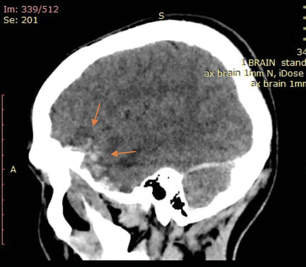
На экспертизу дополнительно представлены результаты мультиспиральной компьютерной томографии головного мозга гражданина Л., благодаря которым экспертом выявлено следующее. На серии компьютерных томограмм (с последующим 3D-моделированием) в лобно-височно-теменной области слева субдуральная гематома максимальной толщиной до 4 мм. В полюсно-базальных отделах левой височной доли определяются мелкие очаги геморрагической плотности, местами сливного характера (рис. 1, 2). Боковые желудочки симметричные. Срединные структуры мозга не смещены. Субарахноидальное пространство нивелировано слева. В бороздах мозга левой височной, левой теменной долей геморрагическое содержимое (субарахноидальное кровоизлияние), малая эпидуральная гематома правой теменно-височной области. Перелом сосцевидного отростка правой височной кости: линия перелома распространяется на пирамиду правой височной кости и заднюю стенку наружного слухового прохода (рис. 3–5). Наличие геморрагического содержимого в ячейках правого сосцевидного отростка, в антруме справа и в правой барабанной полости.
Рис. 1. Мультиспиральная компьютерная томография головного мозга: очаги ушиба головного мозга (стрелки) в полюсных отделах левой височной доли на аксиальном срезе.
Рис. 2. Мультиспиральная компьютерная томография головного мозга: очаги ушиба головного мозга в полюсно-базальных отделах левой височной доли (стрелки) на сагиттальном срезе.
Рис. 3. Мультиспиральная компьютерная томография головного мозга: перелом пирамиды правой височной кости с переходом на заднюю стенку наружного слухового прохода, кровоизлияние в ячейки сосцевидного отростка справа, в антрум и барабанную полость справа (стрелки) на аксиальном срезе.
Рис. 4. Мультиспиральная компьютерная томография головного мозга: перелом пирамиды правой височной кости с переходом на заднюю стенку наружного слухового прохода и кровоизлияние в ячейки сосцевидного отростка, в антрум, барабанную полость справа (стрелки) на сагиттальном срезе.
Рис. 5. Мультиспиральная компьютерная томография головного мозга: перелом сосцевидного отростка правой височной кости с переходом на заднюю стенку наружного слухового прохода (стрелка) на 3D-модели.
Эксперту представлена изъятая с места происшествия запись с камеры видеонаблюдения, установленной в коридоре кафе (съёмка велась со спины гражданина Л.), при анализе которой установлено, что потерпевший и нападавший стоят в середине узкого коридора лицом друг к другу. Нападавший после непродолжительного разговора наносит удар гражданину Л. кулаком правой руки в область лица, от данного удара гражданин Л. падает на пол по диагонали к длиннику коридора, головой в сторону правой (от гражданина Л.) стены, при этом верхняя часть туловища потерпевшего и, соответственно, его голова в момент падения и после него выпадают из периметра обзора камеры. После падения тело гражданина Л. лежит также диагонально, головой к правой, ногами к левой от него стене. В ходе осмотра места происшествия следователем установлено, что коридор узкий, шириной 190 см, стены коридора обиты декоративным жёстким рифлёным пластиком в виде выступающих реек с невыраженными рёбрами и углами.
ОБСУЖДЕНИЕ
В представленном случае анализ данных мультиспиральной компьютерной томографии головного мозга, результаты судебно-медицинского осмотра потерпевшего и данные медицинских документов позволили установить характер, места приложения и направления (векторы) травмирующих воздействий в область головы, разграничить зоны удара и противоудара. Однако полное восстановление событий произошедшего стало возможным лишь при комплексной оценке всех представленных на экспертизу объектов для исследования, в том числе записи с камеры видеонаблюдения, результатов осмотра места происшествия, с учётом антропометрических данных потерпевшего, которые исключили возможность «свободного падения» гражданина Л. на пол навзничь (после удара кулаком в лицо). При падении гражданин Л. ударился правой половиной головы о правую от него неровную стену коридора.
Характерная локализация и морфологические особенности внутренних телесных повреждений, выявленных при мультиспиральной компьютерной томографии головного мозга, их взаиморасположение, а также вид и локализация наружных телесных повреждений вкупе с данными материалов дела позволили прийти к следующим выводам о механизме данной травмы: ушибленная рана верхней губы слева возникла в результате ударного воздействия твёрдого тупого предмета (удар кулаком) с последующим падением и ударом пострадавшего о твёрдый тупой предмет (правая от него стена коридора) правой височной и теменной областью справа, с формированием в зоне удара головой о стену локального перелома сосцевидного отростка правой височной кости с переходом на пирамиду височной кости и заднюю стенку наружного слухового прохода, эпидуральной гематомы правой теменно-височной области, а в зоне противоудара ― очагов ушибов полюсно-базальных отделов левой височной доли, субдуральной гематомы левой лобно-височно-теменной области с субарахноидальным кровоизлиянием левой височной, левой теменной долей.
ЗАКЛЮЧЕНИЕ
Приведённый случай демонстрирует важность последовательного и тщательного анализа всех представленных на экспертизу объектов для исследования (как материалов уголовного дела, так и медицинских документов), а также необходимость осмотра потерпевшего судмедэкспертом, независимо от того, сколько времени прошло с момента травмы, поскольку только анализ всех данных даёт возможность восстановить события произошедшего. Более того, точные неинвазивные методы диагностики (в данном случае мультиспиральная компьютерная томография головного мозга) позволяют определиться с характером и объёмом травмы, точной локализацией, взаиморасположением и морфологическими особенностями телесных повреждений, что трудно переоценить при определении механизма травмы в условиях недостаточной информации об обстоятельствах дела.
ДОПОЛНИТЕЛЬНО
Источник финансирования. Авторы заявляют об отсутствии внешнего финансирования при проведении поисково-аналитической работы.
Конфликт интересов. Авторы заявляют об отсутствии конфликта интересов.
Вклад авторов. Авторы подтверждают соответствие своего авторства международным критериям ICMJE (все авторы внесли существенный вклад в разработку концепции, проведение исследования и подготовку статьи, прочли и одобрили финальную версию перед публикацией). Наибольший вклад распределён следующим образом: Ю.Б. Ли ― сбор данных, написание черновика рукописи; М.В. Вишнякова, В.А. Клевно ― научная редакция рукописи, рассмотрение и одобрение окончательного варианта рукописи.
ADDITIONAL INFORMATION
Funding source. The article had no sponsorship.
Competing interests. The authors declare no competing interests.
Authors’ contribution. All authors made a substantial contribution to the conception of the work, acquisition, analysis, interpretation of data for the work, drafting and revising the work, final approval of the version to be published and agree to be accountable for all aspects of the work. Yu.B. Li ― data collection, draftig of the manuscript; M.V. Vishniakova, V.A. Klevno ― critical revition of the manuscript for important intellectual content, review and approve the final manuscript.
About the authors
Yulia B. Li
Moscow Regional Research and Clinical Institute; Primorsky Regional Bureau of Forensic Medical Examination
Author for correspondence.
Email: reineerdeluft@gmail.com
ORCID iD: 0000-0001-7870-5746
Graduate Student correspondence
Russian Federation, Moscow; VladivostokMarina V. Vishniakova
Moscow Regional Research and Clinical Institute
Email: cherridra@mail.ru
ORCID iD: 0000-0003-3838-636X
SPIN-code: 1137-2991
MD, Dr. Sci. (Med.)
Russian Federation, MoscowVladimir А. Klevno
Moscow Regional Research and Clinical Institute
Email: vladimir.klevno@yandex.ru
ORCID iD: 0000-0001-5693-4054
SPIN-code: 2015-6548
MD, Dr. Sci. (Med.), Professor
Russian Federation, MoscowReferences
- Gromov AP, Naumenko VG. Forensic traumatology. Moscow: Meditsina; 1976. 368 р. (In Russ).
- Topography of force stresses in bones during trauma. Atlas. Ed. by V.N. Kryukov. Barnaul, Altaiskoe knizhnoe izdatel’stvo; 1977. 176 р. (In Russ).
- Kryukov VN. Fundamentals of mechanical and morphogenesis of fractures. Moscow: Folium; 1995. 232 р. (In Russ).
- Popov VL. Traumatic brain injury: Forensic aspects. Leningrad: Meditsina; 1988. 240 p. (In Russ).
- Popov VL. Non-fatal traumatic brain injury. Saint Petersburg: Yuridicheskii tsentr; 2020. 112 р. (In Russ).
- Diagnosticum of mechanisms and morphology of fractures in blunt trauma of the skeleton. Ed. by V.N. Kryukov. 2nd edition, reprint. Novosibirsk: Nauka; 2011. 522 p. (In Russ).
- Klevno VA, Kislov MA. Morphological signs of fractures of flat and long tubular bones in cases of impact and compression. Russian Journal of Forensic Medicine. 2015;1(2):100–101. (In Russ).
- Fetisov VA, Smirenin SA, Khabova ZS. The specific features of a lethal injury to the driver and the passenger of a scooter resulting from the collision with a car moving in the same direction. Sudebno-meditsinskaya ekspertiza. 2014;57(5):12-14. (In Russ).
- Ulyankin VE, Kupriyanov AY, Zyubina EA, Machinsky PA. Formation of a closed craniocerebral injury by an indirect mechanism: a case from expert practice. Russian Journal of Forensic Medicine. 2021;7(3):168–171. (In Russ). doi: 10.17816/fm380
- Likhterman LB. Classification of traumatic brain injury. Part II. Modern principles of traumatic brain injury classification. Russian Journal of Forensic Medicine. 2015;1(3):37–48. (In Russ).
- Forensic medical examination of traumatic brain injury: reference materials. Kursk; 2014. 73 p. (In Russ).
- Focal brain injury. Clinical recommendations (approved by the Ministry of Health of the Russian Federation). Association of Neurosurgeons of Russia; 2022. 82 p. (In Russ).
- Klevno VA. Problems of forensic medical examination of living persons in modern criminal proceedings. In: Topical issues of forensic medical examination of victims, suspects, accused and other persons: abstracts of reports of the All-Russian Scientific and Practical Conference, Ryazan, March 15-16. Moscow-Ryazan: Russian State Medical University named after Academician I.P. Pavlov Roszdrav; Russian Center of Forensic Medical Examination Roszdrav; 2007. Р. 3−8. (In Russ).
- Kildyushov EM, Egorova EV, Kuzin AN, Zhulidov AA. Diagnostic capabilities of computed tomography in forensic medical examination of traumatic brain injury. Sudebno-meditsinskaya ekspertiza. 2018;61(4):19–23. (In Russ). doi: 10.17116/sudmed201861419
Supplementary files









