Forensic medical characteristics of bone fractures of the hand
- Authors: Indiaminov S.I.1, Shopulatov I.B.1
-
Affiliations:
- Samarkand State Medical Institute
- Issue: Vol 9, No 1 (2023)
- Pages: 5-17
- Section: Original study articles
- Submitted: 09.06.2022
- Accepted: 05.12.2022
- Published: 06.03.2023
- URL: https://for-medex.ru/jour/article/view/732
- DOI: https://doi.org/10.17816/fm732
- ID: 732
Cite item
Full Text
Abstract
BACKGROUND: The forensic medical aspects of closed bone fractures of the hands are important in connection with the need to establish the nature, mechanism of occurrence, severity, and duration of these injuries.
AIM: This study aimed to assess the severity of closed bone fractures of the hands based on the features of the formation, course, and outcomes.
MATERIAL AND METHODS: Fractures of wrist bones (n = 24) and metacarpal bones (n = 218) were examined in persons struck by blunt objects.
RESULTS: Scaphoid bone fractures (81.8%) most often occurred on the side of the carpals, and fractures of other carpal bones are detected relatively less frequently (18.2%). With closed fractures of the navicular bone, especially in cases of late seeking medical help, complications such as a false joint and aseptic necrosis can be observed, causing pronounced radiocarpal joint dysfunction. In the metacarpal bones, periarticular fractures of the proximal epiphysis (49.1%) are often noted, followed by intra-articular fractures (26.6%) and periarticular diaphyseal fractures (20.6%). Complications such as finger contractures in chronic metacarpal bone fractures were most observed in intra-articular, comminuted with mixed, and transverse fractures.
CONCLUSION: Isolated uncomplicated closed fractures of wrist bones have moderate severity. Moreover, scaphoid bone fractures, complicated by a false joint and aseptic necrosis, causing severe wrist joint dysfunction, and ultimately joint immobility in a functionally disadvantageous position, according to the criterion of total disability, qualify as severe injury. The severity of the harm caused to the health of complicated and uncomplicated isolated metacarpal fractures can be classified as moderate.
Full Text
ОБОСНОВАНИЕ
В структуре механического травматизма повреждения кистей составляют около 25,4–28,4%, из них более 45,0% ― закрытые повреждения [1, 2]. Травмы костей кисти характеризуются полиморфизмом повреждений и чрезвычайным разнообразием закрытых переломов, что обусловлено анатомо-функциональными особенностями этой части тела [3, 4]. Течение и исход закрытых переломов этих структур зависят как от характера переломов, так и срока обращения больных за медицинской помощью, а также оказанной квалифицированной помощи [5–7].
Проблема лечения и реабилитации больных с закрытыми переломами костей кисти остаётся высоко актуальной для современной травматологии и ортопедии, обусловленной значительным риском развития посттравматических контрактур [8–10]. В связи с этим важное научно-практическое значение имеют разработка мер профилактики, совершенствование эффективных методов ранней диагностики и высокотехнологических методов лечения больных с травмой кистей.
Условия, при которых возникают закрытые переломы костей кисти, самые разнообразные: удары различными тупыми твёрдыми предметами по расправленной и нерасправленной кисти; соударения кисти о таковые предметы; сдавливание кисти массивными предметами; удар рукой, сжатой в кулак; дорожно-транспортные происшествия; падения; выкручивание кисти, пальцев; спортивная травма и др. [11]. Изучение судебно-медицинских аспектов переломов костей кисти представляет особый интерес в связи с необходимостью установления характера, механизма возникновения, степени тяжести и давности этих повреждений. В доступной нам литературе выявлено несколько работ по исследованию характера и морфологии переломов коротких трубчатых костей стопы и кисти [11–15]. В проведённых исследованиях вопросам квалификации степени тяжести причинённого вреда здоровью при переломах костей кисти не уделено достаточного внимания.
Цель исследования ― на основе изучения особенностей формирования, течения и исходов переломов костей кисти оценить тяжесть причинённого вреда здоровью при травмах этих структур.
МАТЕРИАЛЫ И МЕТОДЫ
Дизайн исследования
Проведены ретроспективные исследования в 2 группах наблюдений: 1-я группа (n=24) ― пациенты с переломами костей запястья, получившие травму при разных видах тупой механической травмы; 2-я группа (n=218) ―пациенты с переломами пястных костей, пострадавшие от воздействия тупых предметов.
Критерии соответствия
Критерии включения. Пациенты трудоспособного возраста, которые обратились за медицинской помощью после получения травмы.
Критерии невключения. Пациенты с повторными повреждениями, патологией костной системы.
Условия проведения
Исследование проведено на материалах Самаркандского филиала Республиканского научно-практического центра ортопедии и травматологии Министерства здравоохранения Республики Узбекистан. В исследование вошли случаи повреждений, полученных при разных видах тупой механической травмы.
Продолжительность исследования
Исследование проведено в течение 2021 года.
Методы регистрации исходов
В процессе исследования проанализированы медицинские карты, результаты рентгенологических и компьютерно-томографических исследований. Изучены характер, локализация, частота, объём и механизм формирования закрытых переломов костей запястных и пястных костей.
Исходы закрытых переломов устанавливали после окончания лечения.
Анализ в подгруппах
Исследования проведены в 2 группах наблюдений.
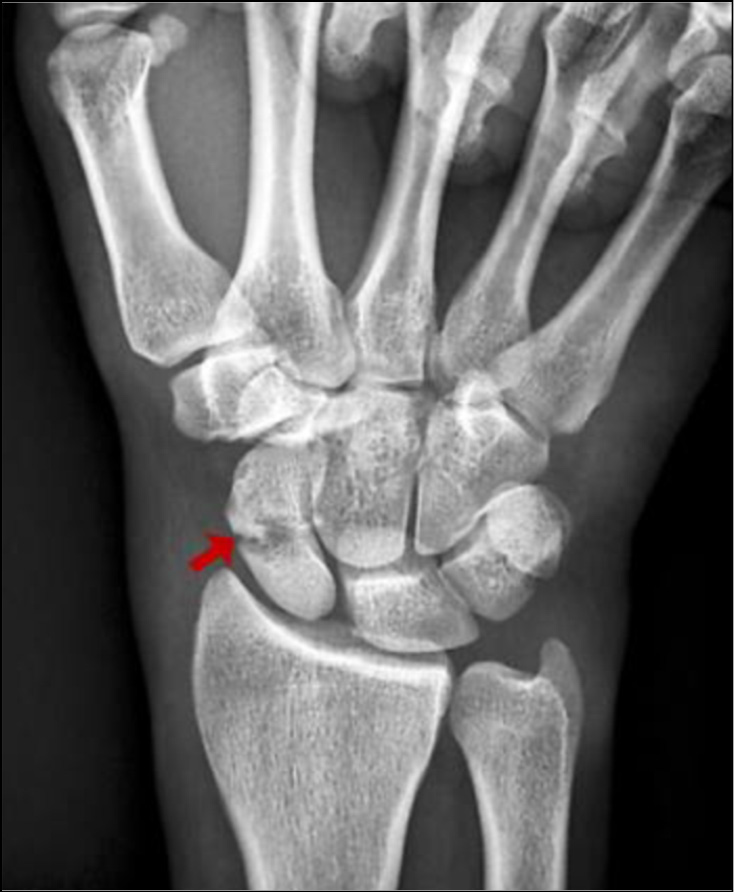
Группа 1. Изучены закрытые переломы костей запястья у 24 лиц мужского пола в возрасте от 15 до 48 лет, получивших травмы при различных обстоятельствах: падениях на плоскость (n=11), ударных воздействиях тупыми предметами в область кистей (n=6), велосипедной травме (n=1), столкновениях с движущимся автотранспортом и спортивных играх (n=6). Из табл. 1 видно, что для структуры запястья наиболее характерны переломы ладьевидной (81,8%) кости (рис. 1); переломы остальных костей отмечены в 18,2% случаев.
Таблица 1. Переломы костей запястья у лиц, получивших травму при различных обстоятельствах; группа 1
Table 1. Fractures of the bones of the wrist in persons affected under various circumstances of trauma; group 1
Обстоятельства травмы | Перелом костей запястья | Всего | ||||
Ладье- видной | Кубо- видной | Полу- лунной | Крючко- видной | Горохо- видной | ||
Падение на плоскость | 11 | 0 | 0 | 0 | 0 | 11 |
Ударные воздействия тупых предметов в область кистей | 4 | 0 | 1 | 1 | 0 | 6 |
Падение с движущегося велосипеда | 1 | 0 | 0 | 0 | 0 | 1 |
Столкновение с движущимся автотранспортом и спортивная травма | 4 | 1 | 0 | 0 | 1 | 6 |
Всего | 20 | 1 | 1 | 1 | 1 | 24 |
Рис. 1. Рентгенограмма правой кисти, прямая проекция. Пациент М., 28 лет, падение на плоскость, диагноз: «Вертикальный неполный перелом ладьевидной кости правой кисти (тип А2); давность перелома 15 сут» (место перелома указано стрелкой).
Группа 2. Изучены характер, течение и исход переломов пястных костей у 218 лиц, получивших травму при разных обстоятельствах, связанных с воздействиями тупых предметов. Как видно из табл. 2, наибольшее количество переломов обусловлено падением пострадавшего на плоскость ― 66,5% (рис. 2); на удары тупым предметом и частями тела человека в область кисти пришлось 11,9 и 9,2% соответственно. Другие обстоятельства травмы составляли от 0,9 до 2,3%.
Таблица 2. Переломы пястных костей у лиц, получивших травму при различных обстоятельствах, связанных с воздействием тупых предметов; группа 2
Table 2. Circumstances of the origin of fractures, related to the effects of blunt objects; group 2
Обстоятельства травмы | Число пострадавших, абс. (%) |
Столкновение пешехода с движущимся автотранспортом | 2 (0,9) |
Падение с небольшой высоты (до 3 м) | 5 (2,3) |
Падение на плоскость во время ходьбы и бега | 145 (66,5) |
Удары тупыми предметами по тыльной поверхности кисти | 26 (11,9) |
Удары кулаками, ногами по тыльной поверхности кисти | 20 (9,2) |
Сдавления кисти тяжёлыми предметами | 15 (6,9) |
Неустановленные обстоятельства | 5 (2,3) |
Всего | 218 (100) |
Рис. 2. Рентгенограммы правой кисти в прямой и боковой проекциях. Пациент А., 31 год, падение на плоскость во время ходьбы и бега, диагноз: «Закрытый перелом шейки V пястной кости правой кисти, давность 2 сут» (стрелки).
Наибольшее количество пострадавших с закрытыми переломами пястных костей группы 2 составили лица мужского пола (95,03%) в возрасте 18–24 (44,0%) и 25–40 (40,4%) лет. Остальные возрастные категории составляли 15,6% от общего количества наблюдений. У 197 пострадавших имела место изолированная травма кистей, в остальных случаях переломы пястных костей сочетались с травмами других частей тела. В большинстве случаев (171/218) выявлены переломы пястных костей правой кисти, переломы костей левой кисти составили 47 случаев.
Давность возникновения переломов пястных костей к моменту обращения больных за медицинской помощью соответствовала периоду от 1 часа до 6 недель. Сроки обращения пострадавших за медицинской помощью с переломами пястных кистей в большинстве случаев (71,5%) составляли до 3 суток, у 28,5% пострадавших давность переломов составляла от 4–7 суток до 4–6 недель (табл. 3).
Таблица 3. Распределение наблюдений в зависимости от давности переломов; группа 2
Table 3. Distribution of observations depending on the prescription of fractures; group 2
Давность переломов | Число пострадавших, абс. (%) |
0–12 ч | 60 (27,5) |
13–24 ч | 46 (21,1) |
1–3 сут | 50 (22,9) |
4–7 сут | 31 (14,2) |
1–3 нед | 29 (13,3) |
4–6 нед | 2 (0,9) |
Всего | 218 (100) |
Всем пострадавшим проведены полное клинико-лабораторное обследование и лечение в соответствии со стандартами медицинской помощи Республики Узбекистан [16].
Статистический анализ
Характер и механизм формирования переломов определялись на основании данных медицинских карт и по результатам рентгенологических, компьютерно-томографических исследований с учётом обстоятельства травмы. Проведён статистический анализ между двумя группами. Все различия проверены с помощью критериев суммы рангов Вилкоксона (Wilcoxon) для двух выборочных данных или знаковых ранговых критериев Вилкоксона (Wilcoxon) для данных одной выборки. Коэффициент ошибок типа I был установлен на 0,05. Систематизация переломов проведена с учётом клинико-анатомических классификаций переломов пястных костей. Судебно-медицинская оценка степени тяжести причинённого вреда здоровью проводилась в соответствии с правилами по определению степени тяжести телесных повреждений (Приложения № 2 и № 9 к приказу № 153 Министра здравоохранения Республики Узбекистан от 01.06.2012) [17].
РЕЗУЛЬТАТЫ
Объекты (участники) исследования
Группа 1. У 19 пострадавших имела место изолированная травма кистей с переломами костей запястья, в остальных 5 случаях травма кистей сочеталась с повреждениями других частей тела: переломами костей предплечья (у 2), черепно-мозговой травмой (у 2), переломами костей плеча, бедра и голени (у 1).
Типы и подтипы переломов костей запястья устанавливали на основе классификаций переломов этих структур (Herbert, Russe) [18]. Как следует из табл. 4 и 5, в ладьевидной кости чаще всего отмечались переломы типа А2 (незавершённый перелом талии в 14 случаях), сравнительно реже ― типа В2 (завершённый перелом талии у 4) и типа В4 (чрезладьевидно-полулунный переломовывих запястья у 2). Переломы тел полулунной и крючковидной костей отмечены в 2 случаях; на внутрисуставной неосложнённый перелом гороховидной и ладонный перелом трёхгранной кости пришлось по одному случаю.
Таблица 4. Типы и подтипы переломов ладьевидной кости; группа 1
Table 4. Types and subtypes of scaphoid fractures; group 1
Типы переломов | Подтипы переломов | Число переломов, абс. |
Тип А ― стабильные свежие переломы | А1 ― перелом бугорка | 0 |
А2 ― незавершённый перелом талии (горизонтальный, полулунный, вертикальный) | 14, из них 12 вертикальных | |
Тип В ― нестабильные свежие переломы | В1 ― дистальный косой перелом | 0 |
В2 ― завершённый перелом талии | 4 | |
В3 ― завершённый перелом проксимального полюса | 0 | |
Тип С ― замедленная консолидация | В4 ― чрезладьевидно-полулунный переломовывих запястья | 2 |
Тип Д ― доказанное несращение | Д1 ― фиброзное несращение | 0 |
Д2 ― псевдоартроз | 0 | |
Всего | 20 | |
Таблица 5. Типы и подтипы переломов других костей запястья; группа 1
Table 5. Types and subtypes of fractures of other bones of the wrist; group 1
Кости запястья | Типы и подтипы переломов | Число переломов, абс. |
Полулунная | · переломы тела · переломы тыльного полюса · переломы ладонного полюса · краевые переломы | 1 0 0 0 |
Трёхгранная | · отрывные переломы · тыльные вдавленные переломы · переломы тела · ладонные переломы в сочетании с перилунарными вывихами | 0 0 0 1 |
Крючковидная | · переломы тела · переломы крючка · переломы суставных поверхностей | 1 0 0 |
Трапециевидная | · переломы бугристости · переломы тела | 0 0 |
Головчатая | · изолированные переломы · сочетанные с переломом ладьевидной кости | 0 0 |
Гороховидная | · внутрисуставные переломы: — осложнённые — неосложнённые | 0 1 |
Трапеция | · внутрисуставные · оскольчатые | 0 0 |
Всего | 4 | |
В отношении 18/24 больных с травмой костей запястья, которые обратились своевременно за медицинской помощью, проведено консервативное лечение с наложением гипсовой лонгеты на срок от 8 до 12 недель. Исходы травмы у этих больных были благоприятными с восстановлением функций кистей и лучезапястных суставов. Больным с изолированными переломами костей запястья, которые обратились за медицинской помощью спустя несколько недель и месяцев после травмы (6 пострадавших), проведено оперативное лечение, впоследствии у 2 из них отмечено восстановление функции кисти, а у 4 наблюдались осложнения в виде ложного сустава (у 3) и асептического некроза (у 1). У больного с асептическим некрозом наступила потеря движения в лучезапястном суставе с утратой способности кисти к тяжёлому труду, а у больных с ложным суставом отмечалось выраженное нарушение функции движения в лучезапястном суставе вплоть до неподвижности в функционально невыгодном положении с ощущением сильных болей при попытке движения кистью.
Группа 2. Из табл. 6 видно, что в большинстве случаев пострадавшие группы 2 имели околосуставные переломы в области периферического конца пястных костей (49,1%), реже ― внутрисуставные переломы у основания (26,6%) и околосуставные диафизарные переломы (20,6%) костей. Переломы в области периферического конца и комбинированные переломы выявлялись в 2,3 и 1,4% случаев соответственно.
Таблица 6. Переломы в зависимости от анатомических областей пястных костей; группа 2
Table 6. Fractures depending on the anatomical regions of the metacarpal bones; group 2
Анатомические области костей | Число переломов в анатомических областях пястных костей | Всего, абс. (%) | ||||
I | II | III | IV | V | ||
Дистальный эпифиз (внутрисуставной) | 1 | 0 | 1 | 2 | 1 | 5 (2,3) |
Шейка (околосуставной) | 6 | 14 | 9 | 21 | 57 | 107 (49,1) |
Дистальный эпифиз тела (диафизарный) | 2 | 7 | 9 | 15 | 12 | 45 (20,6) |
Проксимальный эпифиз (внутрисуставной) | 14 | 5 | 8 | 12 | 19 | 58 (26,6) |
Комбинированные | 0 | 1* | 2** | 3 (1,4) | ||
Всего | 23 | 27 | 27 | 52 | 89 | 218 (100) |
Примечание. * Комбинированные переломы II–III пястных костей; ** комбинированные переломы IV–V пястных костей.
Note: * Combined fractures of the II–III metacarpal bones; ** combined fractures of the IV–V metacarpal bones.
Наиболее часто переломы наблюдались в V (40,8%) и IV (23,9%) пястных костях (табл. 7). Переломы других пястных костей составили от 4,6 до 12,4% случаев. В разных отделах пястных костей различали следующие виды переломов: косые (у 31), поперечные (у 26), оскольчатые без смещений (у 34) и со смещением (у 24). В остальных случаях (103 пациента) имели место субкапитальные переломы периферического конца кости. В зависимости от характера и локализации переломов проведены хирургические либо консервативное методы лечения. Сроки иммобилизации кистей варьировали от 4–6 до 8–10 недель.
Таблица 7. Характер и число переломов отдельных пястных костей; группа 2
Table 7. The nature of fractures and their number of individual metacarpal bones; group 2
Характер переломов | Переломы в каждой пястной кости, абс. (%) | ||||||
I | II | II | III | IV | V | Всего | |
Субкапитальный (вне области суставной поверхности дистального эпифиза) | 1 | 4 | 13 | 8 | 20 | 57 | 103 (47,2) |
Оскольчатый без смещения (во всех отделах) | 4 | 5 | 1 | 10 | 8 | 8 | 34 (15,6 ) |
Косой (в области диафиза, у основания) | 7 | 0 | 4 | 2 | 9 | 9 | 31 (14,2) |
Поперечный (во всех отделах, кроме головки) | 1 | 1 | 4 | 5 | 9 | 6 | 26 (11,9) |
Оскольчатый со смещением (во всех отделах) | 0 | 2 | 5 | 2 | 6 | 9 | 24 (11,0) |
Всего | 13 (6,0) | 10 (4,6) | 27 (12,4) | 27 (12,4) | 52 (23,9) | 89 (40,8) | 218 (100) |
Основные результаты исследования
Исследования показали, что косые переломы чаще отмечались в IV–V пястных костях, при этом в результате проведённого консервативного лечения в ряде случаев нередко формировались контрактуры (3/17). Сроки иммобилизации составили от 5–6 до 6–8 недель. Следует отметить, что при косых переломах пястных костей имеется вероятность смещения краёв переломов, в связи с чем в этих случаях проводится оперативное лечение. Однако переломы при этом имеют небольшую площадь, поэтому заживление протекает относительно быстро.
При поперечных переломах нередко наблюдается попадание поражённых мягких тканей в зону перелома, в связи с чем данный вид перелома требует хирургического лечения. Однако даже при небольшой площади перелома процесс заживления в них замедляется, в связи с чем сроки иммобилизации кистей составляли в среднем от 6–8 до 8–10 недель. При данном виде переломов контрактуры пальцев чаще всего были отмечены при консервативном лечении (8/26).
Оскольчатые переломы были отмечены во всех пястных костях, но чаще всего в V и II. Данный вид перелома обычно требует проведения хирургического лечения, так как отломки костей будут препятствовать закрытому способу репозиции. Несмотря на это, в отношении 22/24 больных было проведено консервативное лечение с закрытой репозицией отломков, в результате у 8/22 больных в исходе отмечались выраженные контрактуры пальцев. При оскольчатых переломах площадь травматизации обычно значительная, поэтому заживление протекает относительно медленно, в связи с чем сроки иммобилизации при этих переломах составляли от 5–6 до 6–8 недель.
Оскольчатые переломы без смещений чаще наблюдались в III–IV и V пястных костях. При этом виде перелома из-за отсутствия смещений обычно проводится консервативное лечение. Заживление протекает благоприятно, и переломы срастаются с формированием незначительной мозоли [19]. Сроки иммобилизации кистей составляют в среднем 4–6 недель. Субкапитальные переломы в отдалённом периоде травмы приводили к контрактуре пальцев в 19 случаях из 103. Сроки иммобилизации при этих переломах составляли от 5–6 до 6–8 недель.
ОБСУЖДЕНИЕ
Результаты исследования показали, что в структуре травмы костей запястья преобладают переломы ладьевидной кости (81,8%). В ней различают четыре типа переломов: в наших наблюдениях преобладали стабильные горизонтальный, полулунный и вертикальный переломы (тип А2), происхождение которых было обусловлено в основном ударным воздействием тупых предметов по тылу кистей либо соударением зоны этих костей о таковые. Из 20 случаев с переломами ладьевидной кости у 4 пострадавших в отдалённом исходе травмы наблюдались неблагоприятные исходы в виде ложного сустава (у 3) и асептического некроза (у 1).
Необходимо отметить, что при переломах костей запястья больные обычно не ощущают боли, или же боль и отёчность бывают незначительными, поэтому больные не уделяют травме должного внимания. Это обусловлено отсутствием надкостниц на этих костях, и поэтому даже при своевременном проведении операции могут наблюдаться неблагоприятные исходы, среди которых преобладает формирование ложного сустава [5, 20].
На полулунной кости различают переломы тел тыльного, ладонного полюса и краевые переломы. В наших наблюдениях у одного пострадавшего от ударного воздействия тупого предмета наблюдался перелом тела тыльного полюса.
Переломы трёхгранной кости встречаются чаще среди переломов костей запястья. Различают отрывные, тыльные, вдавленные и ладонные переломы. В наших наблюдениях случаи переломов этой кости не отмечались.
В крючковидной кости могут наблюдаться переломы тела, крючка и суставных поверхностей. В нашем наблюдении у пострадавшего от ударного воздействия тупого предмета имел место перелом тела крючковидной кости.
Переломы головчатой кости обычно сочетаются с переломами ладьевидной кости, однако в нашем наблюдении подобные переломы не наблюдались.
Гороховидная кость является сесамовидной, расположенной внутри сухожильной ткани, в связи с чем её переломы носят внутрисуставной характер, который и в наших наблюдениях отмечался у пешехода, пострадавшего в результате дорожно-транспортного происшествия.
Переломы трапециевидной кости обычно встречаются редко, различают переломы бугристости и тела кости. В наших наблюдениях подобных переломов не отмечено.
Исходы переломов полулунной, трёхгранной, крючковой и гороховидной костей были благоприятными. Переломы кости-трапеции встречаются редко, различают внутрисуставные и оскольчатые переломы. В наших наблюдениях травмы этой кости также не отмечены.
Исходя из характера и исходов переломов костей запястья, изолированных повреждений этих структур, с учётом длительности расстройства здоровья на срок свыше 3 недель, но менее 4 месяцев, тяжесть травмы у 15 пострадавших были квалифицированы как средней степени. У 4 пострадавших с изолированными переломами ладьевидной кости, осложнёнными ложным суставом и асептическим некрозом, в исходе вызвавшими выраженные нарушения функции лучезапястного сустава вплоть до контрактуры в функционально невыгодном положении, степень тяжести причинённого вреда здоровью по критерию потери стойкой утраты общей трудоспособности свыше 1/3 были квалицированы как тяжкие телесные повреждения. Квалификация степени тяжести 5 пострадавшим с переломами костей запястья при сочетанных травмах установлена с учётом характера и тяжести сочетанных травм головы, конечностей [17].
Происхождение переломов пястных костей могут быть связаны с прямым (локальным) ударным воздействием тупых предметов и соударением кистей о таковые предметы. По локализации различают переломы головки, шейки, диафиза и у основания пястных костей, из них наиболее часто наблюдаются переломы эпифизов и диафиза костей, которые могут возникнуть как в условиях удара тупым предметом, так и в результате соударения кистью о таковые.
Переломы у основания костей обусловлены также высокоэнергетическими травмами, например транспортными или падениями с высоты [11]. В наших наблюдения переломы чаще всего наблюдались в области дистального конца и у основания, реже в области диафиза пястных костей, при этом их происхождение в большинстве случаев было связано с падением пострадавших на плоскость.
С учётом того, что кости кисти составляют в основном короткие трубчатые кости, можно было предположить, что переломы этих костей соответствовали бы видам деформации классических переломов длинных трубчатых костей ― изгибу, растяжению, сжатию, кручению и сдвигу. Однако, как показали результаты проведённых в этом направлении исследований, в костях кисти не встречается отрывных и сдвиговых деформаций, и в них в основном формируются косые, косопоперечные, винтообразные переломы диафизов, а также многооскольчатые переломы эпифизов и суставных поверхностей костей. По мнению авторов, это связано с высокой степенью подвижности их суставов и связок [11]. Как было отмечено выше, в наших наблюдениях у пострадавших выявлялись косые, поперечные, оскольчатые переломы в области эпифизов и диафиза пястных костей, а в области изгиба костей наблюдались субкапитальные переломы, что в целом согласуется с приведёнными литературными данными.
Проблемы изучения механизма формирования и морфологических особенностей переломов костей скелета постоянно привлекают внимание исследователей ― судебных медиков и травматологов. Проведённые комплексные исследования в этом направлении позволили определить процессы зарождения трещины (перелома) и её распространения (формирование особенностей переломов в конкретном случае) [21]. Разработаны и внедрены в практику методы описательных характеристик морфологических признаков переломов и разрушения кости. Эти данные позволили устанавливать зону первоначального разрушения кости, направление развития и распространение переломов [22]. Однако возможности судебно-медицинского исследования характеристик переломов у живых лиц остаются существенно ограниченными. В связи с этим изучение особенностей формирования, течения и исходов переломов пястных костей у живых лиц на клинико-экспертном материале, по нашему мнению, имеет важное научно-практическое значение для решения судебно-медицинских задач по установлению и обоснованию механизма формирования переломов пястных костей при разных видах тупой механической травмы.
Определение степени тяжести причинённого вреда здоровью при переломах костей кисти также является одним из важных вопросов экспертизы живых лиц. В настоящее время в процессе судмедэкспертизы (освидетельствования) живых лиц данный вопрос устанавливается по критериям длительности расстройства здоровья и объёму стойкой утраты общей трудоспособности [17]. Однако, как показали результаты исследования, длительность расстройства здоровья в зависимости от характера и локализаций переломов, а также при сочетанных поражениях других структур кистей значительно варьирует. Кроме того, осложнения и отдалённые исходы травмы костей кисти также могут быть весьма разнообразными. Следовательно, длительность лечения и объём стойкой утраты общей трудоспособности имеют зависимость от локализации и характера переломов, а также от срока обращения больных за медицинской помощью.
ЗАКЛЮЧЕНИЕ
Установлено, что у лиц, пострадавших от воздействия тупых предметов, со стороны структуры запястья чаще всего формируются закрытые переломы ладьевидной (81,8%) кости, переломы остальных костей запястья выявляются реже (18,2%). В ладьевидной кости часто формируются переломы типа А2 (незавершённый перелом талии), сравнительно реже ― типов В2 (завершённый перелом талии) и В4 (чрезладьевидно-полулунный переломовывих). Нередкими видами переломов других костей запястья являются переломы тел полулунной и крючковидной кости, внутрисуставной неосложнённый перелом гороховидной и ладонный перелом трёхгранной кости. При переломах ладьевидной кости, особенно в случаях позднего обращения за медицинской помощью, могут наблюдаться осложнения в виде ложного сустава и асептического некроза, вызывающие резко выраженное нарушение функции лучезапястного сустава.
Изолированные неосложнённые переломы костей запястья с учётом длительности расстройства здоровья на срок свыше 3 недель, но менее 4 месяцев, квалифицируются как средней степени тяжести. В то же время переломы ладьевидной кости, осложнённые ложным суставом и асептическим некрозом, вызывающие выраженное нарушение функции лучезапястного сустава вплоть до контрактуры в функционально невыгодном положении, по критерию стойкой утраты общей трудоспособности свыше 1/3 квалифицируются как тяжкое телесное повреждение. Судебно-медицинская квалификация степени тяжести переломов костей запястья при сочетанных травмах устанавливается с учётом характера и тяжести сочетанных травм других частей тела.
В большинстве случаев у пострадавших на пястных костях отмечены околосуставные переломы эпифизов (49,1%), реже ― внутрисуставные переломы у основании (26,6%) и околосуставные диафизарные переломы (20,6%). Переломы в области дистального эпифиза и комбинированные переломы выявлялись значительно реже (2,3 и 1,4% соответственно).
Переломы наиболее часто наблюдались в V (40,8%) и IV (23,9%) пястных костях. Переломы других пястных костей составили от 4,6 до 12,4% случаев. В разных анатомических отделах пястных костей наблюдались косые (у 31), поперечные (у 26), оскольчатые переломы без смещений (у 34) и со смещением (у 24). Наиболее часто (103/218) имели место субкапитальные переломы периферического конца пястных костей.
В зависимости от характера и локализации переломов, а также способов лечения, сроки иммобилизации кистей варьировали от 4–5 до 8–10 недель. Осложнения в виде контрактуры пальцев в отдалённом периоде переломов пястных костей чаще всего наблюдались при субкапитальных, оскольчатых со смещением и поперечных переломах.
Длительность лечения и объём стойкой утраты общей трудоспособности имеют зависимость от локализации и характера переломов пястных костей, а также от срока обращения больных за медицинской помощью. В зависимости от этих факторов показатели объёма стойкой утраты общей трудоспособности, согласно правилам по определению степени тяжести телесных повреждений, составляют от 10 до 25%. Исходя из этого, степень тяжести причинённого вреда здоровью осложнёнными и неосложнёнными изолированными переломами может быть квалифицирована как средней степени. При переломах пястных костей в сочетании с травмой других частей тела либо с травмой других структур кистей тяжесть вреда здоровью определяется с учётом характера и исходов травмы этих структур.
Приведённые данные могут быть учтены в судебно-медицинской практике при выборе критерия квалификации тяжести причинённого вреда здоровью при травмах костей кисти.
ДОПОЛНИТЕЛЬНО
Источник финансирования. Авторы заявляют об отсутствии внешнего финансирования при проведении исследования.
Конфликт интересов. Авторы декларируют отсутствие явных и потенциальных конфликтов интересов, связанных с публикацией настоящей статьи.
Вклад авторов. Авторы подтверждают соответствие своего авторства международным критериям ICMJE (все авторы внесли существенный вклад в разработку концепции, проведение исследования и подготовку статьи, прочли и одобрили финальную версию перед публикацией). Наибольший вклад распределён следующим образом: И.Б. Шопулатов ― сбор данных; С.И. Индиаминов, И.Б. Шопулатов ― написание черновика рукописи; С.И. Индиаминов ― научная редакция рукописи, рассмотрение и одобрение окончательного варианта рукописи.
ADDITIONAL INFORMATION
Funding source. This study was not supported by any external sources of funding.
Competing interests. The authors declare that they have no competing interests.
Authors’ contribution. All authors made a substantial contribution to the conception of the work, acquisition, analysis, interpretation of data for the work, drafting and revising the work, final approval of the version to be published and agree to be accountable for all aspects of the work. I.B. Shopulatov ― data collection; S.I. Indiaminov, I.B. Shopulatov ― writing a draft of the manuscript; S.I. Indiaminov ― scientific revision of the manuscript, review and approval of the final version of the manuscript.
About the authors
Sayit I. Indiaminov
Samarkand State Medical Institute
Email: sayit.indiaminov@bk.ru
ORCID iD: 0000-0001-9735-0338
MD, Dr. Sci. (Med.), Professor
Uzbekistan, SamarqandIskandar B. Shopulatov
Samarkand State Medical Institute
Author for correspondence.
Email: iskandar_1986@mail.ru
ORCID iD: 0000-0002-5004-3071
Uzbekistan, Samarqand
References
- Bakhmetiev VI, Buromsky IV, Kryukov VN, Nagorny MN. Diagnosis of the mechanisms of destruction of bone tissue along the fracture surface. Forensic Medical Expertise. 1991;(1):11–17. (In Russ).
- Matveev RP, Petrushin AL. Questions of classification and terminology of open hand injuries (literature review). Traumatology and orthopedics of Russia. 2011;(2):191–198. (In Russ).
- Grishin IG, Divakov MG. Traumatology and orthopedics. Guidelines for doctors. Ed. by Yu.G. Shaposhnikov. Moscow: Medicine; 1977. Р. 220–249. (In Russ).
- Traumatology: National guidelines. Ed. by G.P. Kotelnikov, SP. Mironova. 3nd revised and updated. Moscow: GEOTAR-Media; 2008. 776 p. (Series “National Guidelines”). (In Russ).
- Chung KС. Surgery techniques: hand and wrist surgery. 1st ed. Vol. 1. Saunders; 2017. 1136 p. Available from: https://www.researchgate.net/publication/328555719_Operative _Techniques_Hand_and_Wrist_Surgery. Accessed: 15.12.2022.
- McGuigan FH, Culp RW. Surgical treatment of intra-articular fractures of the trapezium. Multicenter Study. 2002;27(4):697–703. doi: 10.1053/jhsu.2002.33705
- Pulos N, Kollitz KM, Bishop AT, Shin AY. Free vascularized medial femoral condyle bone graft after failed scaphoid nonunion surgery. J Bone Joint Surg Am. 2018;100(16):1379–1386. doi: 10.2106/JBJS.17.00955
- Rodomanova LA, Kutyanov DI, Melikhov KS, et al. Modern structure of severe hand injuries caused by the action of blunt traumatic force. Traumatology and orthopedics of Russia. 2011;(4):5–10. (In Russ). doi: 10.21823/2311-2905-2011-4-5-10
- Beidik OV, Zaretskov AV, Butovsky KG, et al. Features of treatment of patients with hand bone injuries. Bulletin of the Tambov University. Series: Natural and Technical Sciences. 2011;16(5):1376–1382. (In Russ).
- Clifton M, Roy M. Hand fractures: A review of current treatment strategies. Review. 2013;38(5):1021–1031. doi: 10.1016/j.jhsa.2013.02.017
- Yankovsky VE, Shadymov AB, Pyatchuk SV, Vaskin PA. On the nature of the fracture of the metacarpal bone with axial loading. In: Topical issues of forensic medicine and expert practice: Collection of articles. Issue 8. Barnaul-Novosibirsk; 2003. Р. 219–221. (In Russ).
- Galiev BX. Features of damage biomechanics research. In: Actual issues of mechanical damage examination: Republican collection of scientific papers. Moscow; 1990. Р. 78–81. (In Russ).
- Imaev AA. Forensic medical diagnosis of the mechanisms of fractures of the bones of the foot under the action of blunt solid objects [dissertation abstract]. Moscow; 1986. 42 р. (In Russ).
- Baibulatov TD. Forensic medical establishment of the mechanisms of formation of fractures of short tubular bones of the hand with various types of trauma with hard blunt objects [dissertation abstract]. Barnaul; 2005. 23 р. (In Russ).
- Shadymov A.B. Establishment of the mechanisms of fractures of the tubular bones of the hands. In: Topical issues of forensic medicine and expert practice: Collection of articles. Issue 14. Barnaul-Novosibirsk; 2008. P. 380–385. (In Russ).
- Clinical reports in the field of traumatology and orthopedics, standards of diagnosis and treatment of the Ministry of Health of the Republic of Uzbekistan dated 30.11.2021 No. 273. Tashkent; 2007. 436 p. (In Russ).
- On judicial practice in cases of intentional bodily injury: Resolution of the Plenum of the Supreme Court of the Republic of Uzbekistan, No. 6 of 27.06.2007. (In Russ). Available from: https://lex.uz/docs/1592421. Accessed: 15.12.2022.
- Parkinson RW, Hodgkinson JP, Hargadon EJ. Symptomatic non-union of the carpal scaphoid: Matti-Russe bone grafting versus Herbert screw fixation. Injury. 1989;20(3):164–166. (In Russ). doi: 10.1016/0020-1383(89)90090-9
- Matsukatov FA, Gerasimov DV. On the factors influencing the timing of fracture consolidation. Bulletin of Traumatology and Orthopedics. N.N. Pirogov. 2016;(2):50–57.
- Boyer MI, von Schroeder LP, Axelrod TS. Nonunion of the scaphoid with avascular necrosis of the proximal pole. Treatment with vascularized bone graft from the dorsal part of the distal radius. J Hand Surg Br. 1998;23(5):686–690. doi: 10.1016/s0266-7681(98)80029-6
- Indiaminov SI, Shopulatov IB, Ernazarov MB. On the issue of establishing the prescription of fractures of the bones of the hands. Problems Biol Med. 2020;(5.1):181–185. (In Russ).
- A workshop on forensic medicine. Ed. 3. Forensic medical examination in cases of transport injury and falling from a height: A textbook. Ed. by V.N. Kryukov, I.V. Buromsky. Moscow: Svetoton LTD; 2007. 24 p. (In Russ).
Supplementary files






