Possibilities of diagnosing stab-cut wounds in living persons using computed tomography results
- Authors: Leonov S.V.1,2, Pinchuk P.V.1,3, Shakiryanova J.P.1,2, Troyan V.N.4
- 
							Affiliations: 
							- Chief State Center for Forensic Medicine and Forensic Expertise 111
- Moscow State University of Medicine and Dentistry named after A.I. Evdokimov
- The Russian National Research Medical University named after N.I. Pirogov
- Main Military Clinical Hospital named after academical N.N. Burdenko
 
- Issue: Vol 8, No 4 (2022)
- Pages: 89-96
- Section: Case reports
- Submitted: 13.04.2022
- Accepted: 10.11.2022
- Published: 17.12.2022
- URL: https://for-medex.ru/jour/article/view/716
- DOI: https://doi.org/10.17816/fm716
- ID: 716
Cite item
Full Text
Abstract
Currently, modern research methods such as computed tomography and magnetic resonance imaging have been introduced into the medical and diagnostic practice of large hospitals. These research methods are used almost everywhere for the diagnosis of various injuries, and their results, together with the medical documents of the victims, law enforcement officials, and courts provide state forensic medical expert institutions for the production of forensic medical examinations. The study of computed tomography and magnetic resonance imaging results allows solving expert questions in examinations and studies of living persons.
The article presents a case from expert practice demonstrating the possibility of establishing the morphology and localization of stab-cut injuries, number of traumatic effects, and direction of wound channels using the results of in vivo computed tomography and three-dimensional modeling. In the described expert case, initially, in the submitted medical documents, data were contradictory about the number, localization and mechanism of formation of wounds. To eliminate existing contradictions, the scars on the victim’s body and results of a computed tomography upon admission were examined. For a more complete visualization of external injuries, a three-dimensional model of the victim’s body was recreated from computed tomography data. The results of computed tomography and three-dimensional modeling made it possible to clearly recreate the picture of the victim’s injuries and answer questions about the mechanism and conditions of their infliction.
The described case demonstrates the possibilities of expert research and new methodological approaches to solving forensic problems, which is currently quite relevant, since virtopsia has been actively developing in forensic medicine in recent years. The proposed research techniques applied to a corpse with stab wounds will make it possible to more accurately visualize the direction and shape of the wound canal.
Full Text
АКТУАЛЬНОСТЬ
В случаях секционного исследования трупов с колото-резаными повреждениями судебно-медицинский эксперт, как правило, не испытывает каких-либо затруднений при диагностике травмы, поскольку имеет возможность визуально оценить все метрические характеристики повреждений и описать их морфологические особенности, а при внутреннем исследовании трупа ― установить глубину и направление раневого канала, а также дать характеристику повреждений тканей и органов по ходу раневого канала. В дальнейшем возможно изъять необходимый материал от трупа и провести трасологические, спектральные и другие дополнительные исследования.
Вместе с тем в экспертной практике встречаются случаи, когда множественные колото-резаные повреждения не заканчиваются смертью потерпевшего. В подобных случаях судебно-медицинскому эксперту приходится исследовать медицинские документы, в которых врачами, оказывающими медицинскую помощь, весьма лаконично и скудно описаны как наружные повреждения, так и соответствующие им раневые каналы. Это, в свою очередь, существенно ограничивает возможность идентификации орудия травмы вплоть до невозможности решения указанной экспертной задачи.
Какую-либо информацию о локализации повреждений на теле пострадавшего в данном случае могут нести рубцы, оставшиеся после причинённых повреждений. Но и они видоизменяются в результате выполненной первичной хирургической обработки раны и её последующего заживления, что не позволяет оценить размеры колюще-режущего следообразующего объекта.
В настоящее время во всех городских и областных больницах в лечебно-диагностическую практику внедрены такие современные методы исследования, как компьютерная и магнитно-резонансная томография (КТ, МРТ). Указанные методы исследования применяются практически повсеместно для диагностики различных видов травм, а их результаты вместе с медицинскими документами пострадавших работники правоохранительных органов и судов предоставляют в государственные судебно-медицинские экспертные учреждения для производства судебно-медицинских экспертиз [1–4]. Результаты выполненной томографии предоставляются на дисках и других электронных носителях, а для их просмотра существует большое количество компьютерных программ, из них наиболее удобной, доступной и распространённой является RadiAnt.
Тема диагностики колото-резных повреждений у живых лиц с использованием результатов компьютерной томографии в настоящее время достаточно актуальна, поскольку в последние годы в судебной медицине активно развивается новое направление неинвазивного исследования ― виртопсия [5, 6].
В нашей экспертной практике имел место случай острой травмы у живого лица, медицинские документы которого содержали противоречивые данные о локализации и морфологии причинённых ему колото-резаных повреждений. Исследование результатов КТ позволило успешно решить экспертную задачу идентификации орудия травмы.
ОПИСАНИЕ СЛУЧАЯ
Обстоятельства происшествия
Потерпевший М. поступил в медицинскую организацию в тяжёлом состоянии с множественными колото-резаными повреждениями грудной и брюшной полостей, а также с резаной раной шеи.
При исследовании медицинских документов потерпевшего выявлены противоречия в описании особенностей колото-резаных повреждений, не позволяющие чётко установить их количество и локализацию, поскольку при первичном осмотре потерпевшего М. в приёмном отделении установлено наличие резаной раны левой боковой поверхности шеи размерами 10×3 см, а также описаны три раны в левом подреберье, левом мезогастрии и околопупочной области, а при последующем осмотре в хирургическом отделении у потерпевшего описаны колото-резаная рана области шеи по переднелевой поверхности размерами 5,0×2,0 см, а также множественные колото-резаные раны области груди справа и слева по передней поверхности живота размерами около 1,0×0,5 см без указания точного количества повреждений.
Таким образом, в медицинских документах потерпевшего М. имелись противоречивые сведения о количестве, локализации и механизме образования причинённых потерпевшему ран. Остальные данные, содержащиеся в медицинских документах (о ходе операции и последующих осмотрах), не внесли ясности в данный вопрос.
Судебно-медицинская экспертиза с очным судебно-медицинским обследованием
После выписки потерпевшего М. из медицинской организации была выполнена судебно-медицинская экспертиза с очным судебно-медицинским обследованием М., в рамках которой установлено наличие трёх ран околоушной области, ран в левом подреберье, в левом мезогастрии, двух ран груди слева, одна из которых проникала в плевральную полость по среднеключичной линии в четвёртом межреберье с повреждением нижней доли левого лёгкого, а вторая рана была локализована по среднеключичной линии в четвёртом-пятом межреберье (проникающий характер не установлен).
Для устранения вышеуказанных противоречий исследованы фотоизображения рубцов на теле потерпевшего М., представленные следователем для производства судебно-медицинской экспертизы. При установлении локации повреждений и их ориентации учитывались данные о выполненных операционных разрезах при оказании медицинской помощи (оперативные доступы, постановка дренажей). При исследовании фотоизображений потерпевшего установлено наличие следующих повреждений:
- рана на шее слева, расположенная в средней трети шеи, от проекции гортани до проекции левой грудино-ключично-сосцевидной мышцы;
- рана, расположенная на груди слева по среднеключичной линии в проекции V ребра, ориентирована, соответственно, цифрам 5 и 11 условного циферблата часов (УЦЧ);
- рана на груди слева, ориентированная своими концами на цифры 5 и 11 УЦЧ, расположенная по окологрудинной линии в проекции четвёртого межреберья;
- вертикальная рана на груди справа между среднеключичной и окологрудинной линиями в проекции пятого межреберья;
- вертикальная рана в левом подреберье;
- вертикальная рана в мезогастрии слева и выше пупка;
- рана в правой боковой области живота, ориентированная своими концами на цифры 4 и 10 УЦЧ;
- рана на животе справа в гипогастрии, ориентированная своими концами на цифры 4 и 10 УЦЧ;
- рана на ладонной поверхности правой кисти в проекции 4 пальца.
Рубцов в левой околоушной области и вокруг левого уха не установлено.
Кроме этого, в ходе проведения операции на грудной полости потерпевшего М. указано лишь о повреждениях нижней доли левого лёгкого и средней доли правого лёгкого, в связи с чем требовалось решить вопрос о том, какое из ранений является проникающим, определить направление раневых каналов, а также подтвердить наличие раны в гипогастральной области справа и установить характер этого ранения (проникающий или непроникающий). В связи с этим в установленном порядке дополнительно были запрошены данные КТ потерпевшего М.
Заключительная картина повреждений
При изучении послойных снимков КТ в компьютерной программе RadiAnt удалось дополнительно установить наличие следующих повреждений:
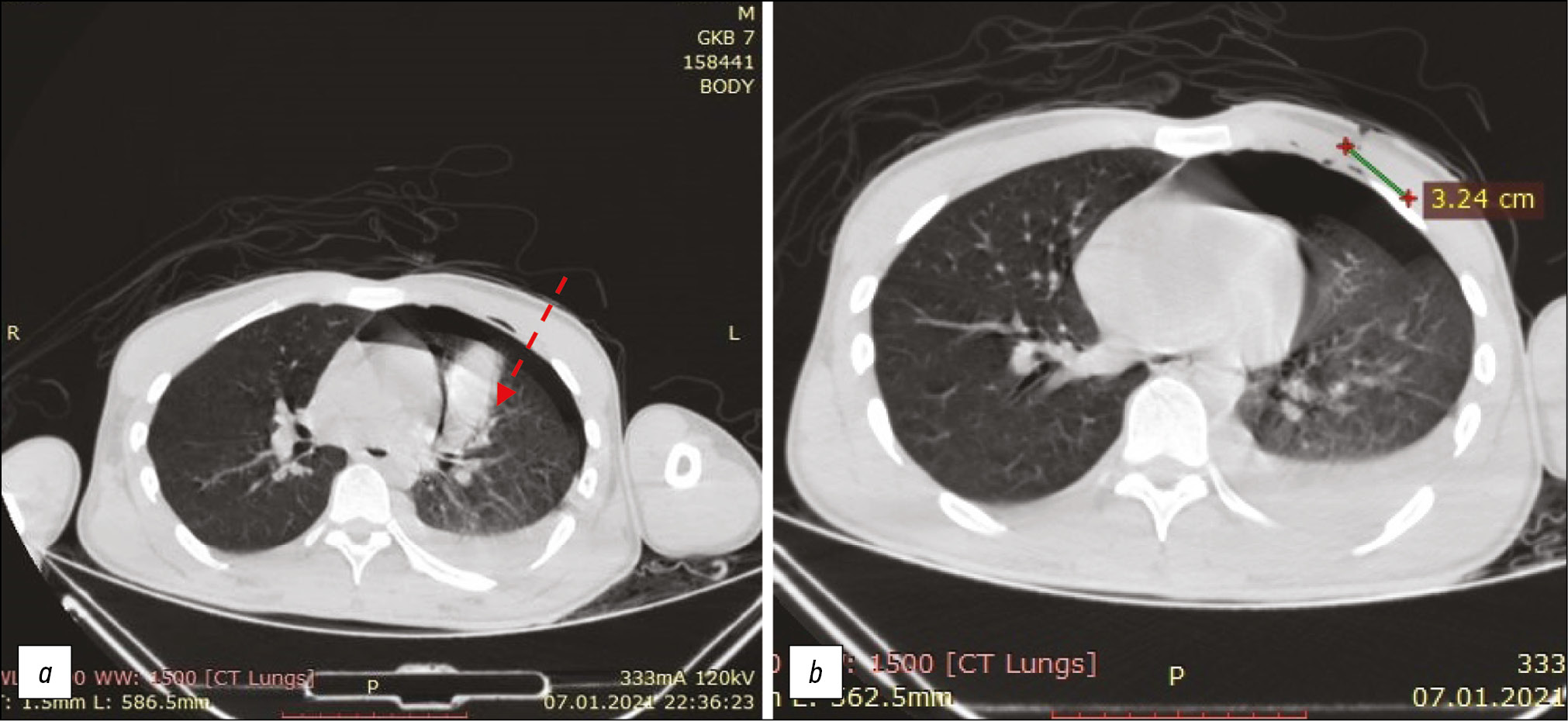
- рана в правом гипогастрии (уровень 287 мм): раневой канал проникает в брюшную полость, направлен слева направо и спереди назад, повреждает восходящую ободочную кишку и правую ободочную артерию (рис. 1, а);
- рана в правой боковой области живота (уровень 332 мм): раневой канал проникает в брюшную полость (по ходу канала визуализируется воздух), направлен справа налево и спереди назад;
- рана в мезогастрии ― слева и выше пупка (уровень 349 мм), проникающая в брюшную полость: раневой канал направлен снизу вверх, спереди назад и слева направо, повреждая левую долю печени (рис. 1, b);
- рана в левом подреберье (уровень 387 мм), не проникающая в брюшную полость;
- рана на груди справа между среднеключичной и окологрудинной линиями в проекции пятого межреберья (уровень 521 мм): ранение визуализируется плохо ввиду активных дыхательных движений при выполнении КТ; судя по медицинским документам, рана проникает в плевральную полость и повреждает среднюю долю правого лёгкого; раневой канал направлен преимущественно спереди назад;
- рана на груди слева по среднеключичной линии в проекции V ребра (уровень 534 мм) проникает в плевральную полость;
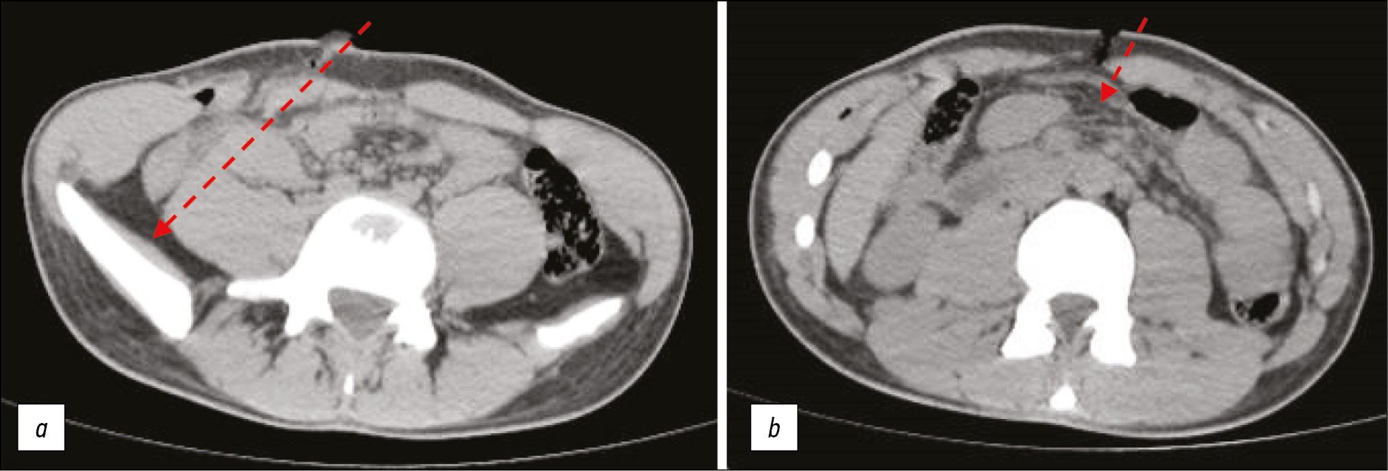
- судя по ателектазу левого лёгкого и данным медицинских документов о ранении нижней доли левого лёгкого, раневой канал направлен спереди назад, сверху вниз и слева направо;
- рана на груди слева по окологрудинной линии в проекции IV ребра (проникает в плевральную полость): судя по ателектазу левого лёгкого, раневой канал направлен спереди назад, снизу вверх и слева направо (рис. 2, а).
Рис. 1. Направление и особенности раневых каналов колото-резаных повреждений по данным компьютерной томографии потерпевшего М.: а ― проникающее повреждение брюшной полости справа (стрелка); b ― проникающее повреждение брюшной полости в мезогастрии (стрелка). / Fig. 1. The direction and features of the wound channels of stab wounds according to computed tomography studies of the victim M.: а ― penetrating damage to the abdominal cavity on the right (arrow); b ― penetrating damage to the abdominal cavity in the mesogastrium (arrow).
Рис. 2. Данные компьютерной томографии потерпевшего М.: а ― ателектаз левого лёгкого по ходу раневого канала (стрелка); b ― разметка смещения раневого канала на послойных снимках. / Fig. 2. Computed tomography data of the victim M.: а ― atelectasis of the left lung along the course of the wound canal; b ― marking of the displacement of the wound canal on layered images.
Местами в проекции повреждений фиксировался воздух в мягких тканях.
КТ позволила чётко установить направление раневых каналов с учётом смещения повреждения тканей на послойных снимках. На основании этих данных была выполнена разметка отклонения канала в сантиметрах (рис. 2, b).
Для более полной визуализации наружных повреждений была выполнена трёхмерная модель тела пострадавшего М. Создание модели тела с мягкими тканями позволило ещё раз обоснованно и наглядно установить локализацию и количество имевшихся колото-резаных ран (рис. 3).
Рис. 3. Трёхмерная модель туловища пострадавшего М., построенная по результатам компьютерной томографии, с локализацией колото-резанных повреждений. / Fig. 3. A three-dimensional model of the torso of the victim M., constructed according to the results of computed tomography, with localization of stab-cut injuries.
Таким образом, в результате проведённого исследования с использованием результатов КТ и трёхмерного моделирования удалось чётко воссоздать картину имевшихся у пострадавшего повреждений и ответить на вопросы о механизме и условиях их причинения.
ЗАКЛЮЧЕНИЕ
Изложенные в настоящей статье приёмы исследования вполне могут быть применены в отношении трупа с колото-резанными повреждениями, что, вероятно, позволит более точно визуализировать направление и форму раневого канала.
ДОПОЛНИТЕЛЬНО
Источник финансирования. Авторы заявляют об отсутствии внешнего финансирования при проведении поисково-аналитической работы.
Конфликт интересов. Авторы декларируют отсутствие явных и потенциальных конфликтов интересов, связанных с публикацией настоящей статьи.
Вклад авторов. Все авторы подтверждают соответствие своего авторства международным критериям ICMJE (все авторы внесли существенный вклад в разработку концепции, проведение исследования и подготовку статьи, прочли и одобрили финальную версию перед публикацией). Наибольший вклад распределён следующим образом: С.В. Леонов, Ю.П. Шакирьянова ― сбор данных, написание текста рукописи; П.В. Пинчук, В.Н. Троян ― научное редактирование рукописи; С.В. Леонов, П.В. Пинчук, Ю.П. Шакирьянова, В.Н. Троян ― рассмотрение и одобрение окончательного варианта рукописи.
ADDITIONAL INFORMATION
Funding source. The article had no sponsorship.
Competing interests. The authors declare that they have no competing interests.
Authors’ contribution. All authors made a substantial contribution to the conception of the work, acquisition, analysis, interpretation of data for the work, drafting and revising the work, final approval of the version to be published and agree to be accountable for all aspects of the work. S.V. Leonov, J.P. Shakiryanova ― data collection, writing the manuscript; P.V. Pinchuk, V.N. Troyan ― critical revition of the manuscript for important intellectual content; S.V. Leonov, P.V. Pinchuk, J.P. Shakiryanova, V.N. Troyan ― review and approve the final manuscript.
About the authors
Sergey V. Leonov
Chief State Center for Forensic Medicine and Forensic Expertise 111; Moscow State University of Medicine and Dentistry named after A.I. Evdokimov
							Author for correspondence.
							Email: sleonoff@inbox.ru
				                	ORCID iD: 0000-0003-4228-8973
				                	SPIN-code: 2326-2920
																		                								
MD, Dr. Sci. (Med.), Professor
Russian Federation, 3, Hospital square, Moscow, 105094; MoscowPavel V. Pinchuk
Chief State Center for Forensic Medicine and Forensic Expertise 111; The Russian National Research Medical University named after N.I. Pirogov
														Email: pinchuk1967@mail.ru
				                	ORCID iD: 0000-0002-0223-2433
				                	SPIN-code: 7357-3038
																		                								
MD, Dr. Sci. (Med.), Associate Professor
Russian Federation, 3, Hospital square, Moscow, 105094; MoscowJuliya P. Shakiryanova
Chief State Center for Forensic Medicine and Forensic Expertise 111; Moscow State University of Medicine and Dentistry named after A.I. Evdokimov
														Email: tristeza_ul@mail.ru
				                	ORCID iD: 0000-0002-1099-5561
				                	SPIN-code: 1429-6230
																		                								
MD, Dr. Sci. (Med.)
Russian Federation, 3, Hospital square, Moscow, 105094; MoscowVladimir N. Troyan
Main Military Clinical Hospital named after academical N.N. Burdenko
														Email: vtroyan10@yahoo.com
				                	ORCID iD: 0000-0002-8008-9660
				                	SPIN-code: 4937-3162
																		                								
MD, Dr. Sci. (Med.), Professor
Russian Federation, MoscowReferences
- Shakiryanova YP, Leonov SV, Kurbanov S.I. Possibilities of computed tomography in forensic medical research. In: Selected issues of forensic medical examination: Collection of articles. Ed. by A.I. Avdeev, I.V. Vlasyuk, A.V. Nesterov. Khabarovsk; 2019. Р. 201–205. (In Russ).
- Andenmatten MA, Thali MJ, Kneubuehl BP, et al. Gunshot injuries detected by post-mortem multislice computed tomography (MSCT): a feasibility study. Legal Med (Tokyo). 2008;10(6):287–292. doi: 10.1016/j.legalmed.2008.03.005
- Dadabaev VK, Troyan VN. Use of spiral computer tomography in forensic medical practice. Medical Expertise Law. 2011;(2):36–39. (In Russ).
- Dadabaev VK, Alekseev RK, Romadanovsky OP, et al. The role of radiation research methods in the diagnosis and establishment mechanism of childhood injuries. Tver Medical Journal. 2019;(5):62–71. (In Russ).
- Klevno VA, Chumakova JV. Virtopsia--a new research method in the domestic practice of forensic medicine. In: Topical issues of Forensic medicine and expert practice: Abstracts of the reports of the International Congress, April 17-19. Moscow; 2019. Р. 46. (In Russ).
- Thali MJ, Braun M, Buck U, et al. Virtopsy--Scientific documentation, reconstruction and animation in forensic: individual and real 3D data based geo-metric approach including optical body/ object surface and radiological CT/MRI scanning. J Forensic Sci. 2005;50(2):428–442.
Supplementary files
 
				
			 
					 
						 
						 
									

 
  
  
  
  
  Email this article
			Email this article 





