Influence of alcohol intoxication on the survival period in patients with subdural hemorrhage
- Authors: Averkin N.S.1,2, Stolyarov A.P.1, Kharitonov E.A.1, Zhivankina I.S.2
- 
							Affiliations: 
							- Regional Bureau of Forensic Medical Examination
- Penza State University
 
- Issue: Vol 9, No 3 (2023)
- Pages: 269-278
- Section: Original study articles
- Submitted: 29.04.2023
- Accepted: 22.05.2023
- Published: 19.10.2023
- URL: https://for-medex.ru/jour/article/view/7130
- DOI: https://doi.org/10.17816/fm7130
- ID: 7130
Cite item
Full Text
Abstract
BACKGROUND: Traumatic brain injury is an urgent problem in forensic medical examination, and subdural hematoma is considered the most fatal among them. In forensic medical practice, the outcomes of subdural hematoma should be understood depending on its volume to represent the pathohistological evolution of subdural hematoma and determine the essence of brain damage at the same time.
AIM: To evaluate the influence of alcohol intoxication on the survival period in patients with subdural hemorrhage.
MATERIALS AND METHODS: A retrospective study was conducted on 42 deaths from subdural hematoma, of which two groups were identified: those who died before medical care (n=20) and those who received medical care in a hospital (n=22). The injury circumstances, the blood volume spilled under the dura mater, the presence and degree of alcohol intoxication, and the level of consciousness on the Glasgow coma scale were recorded. Histological examination of a subdural hematoma was performed to determine its prescription.
RESULTS: Subdural hematoma is commonly caused by street injuries and traffic accidents. Hematomas are combined with skull fractures in 52.3% of cases, leptomeningeal hemorrhages in 73.8%, bruises in 81%, and cerebral edema in 88%. Unilateral subdural hematoma is more common than bilateral. The fact of alcoholic intoxication was recorded in most victims, whereas the ethyl alcohol concentration in the blood of persons who died before medical care was 2 times higher. Significant correlations were observed between the degree of impaired consciousness on the Glasgow coma scale and the concentration of ethyl alcohol in the blood (r=−0.701, p <0.05) and between the volume of subdural hematoma (r=−0.526, p <0.05) and hospitalization period (r=0.559, p <0.05).
CONCLUSION: Persons with subdural hemorrhage in a state of high degree of alcohol intoxication, as a rule, die before medical care is provided to them. Similarly, if help was provided, the outcome is most often unfavorable with a shorter survival period even in the presence of a small hematoma. Histological examination is currently the most optimal method in terms of determining the prescription of subdural hematoma.
Full Text
ОБОСНОВАНИЕ
Черепно-мозговая травма является одной из самых актуальных проблем здравоохранения и распространённой причиной цереброваскулярных и неврологических расстройств во всём мире. Субдуральная гематома (СДГ) считается наиболее опасной среди всех черепно-мозговых травм. Смертность от неё высока и варьирует в диапазоне от 40 до 90% [1].
Субдуральная гематома может быть обусловлена дорожно-транспортными происшествиями, уличными, бытовыми, производственными несчастными случаями и другими различными причинами. По распространённости СДГ могут быть двусторонними или иметь одностороннее положение, также различают изолированные или сочетанные СДГ с переломами черепа, кровоизлияниями под мягкой мозговой оболочкой, очагами контузии в коре головного мозга [2].
Субдуральные гематомы являются существенной проблемой для судебно-медицинской экспертизы. Иногда бывает сложно ответить на вопросы, является ли смерть пострадавшего прямым следствием травмы или сторонние причины могли повлиять на неблагоприятный исход; повлияло ли время между получением травмы и нейрохирургическим вмешательством на исход. В случаях, когда смерть наступает до оказания медицинской помощи, эксперту необходимо ответить на вопрос, могла бы своевременная госпитализация спасти пострадавшего.
На давность СДГ влияет множество факторов, и в первую очередь возраст пострадавшего. У детей и лиц старческого возраста реактивные изменения отличаются от остальных возрастных групп. Известно также, что черепно-мозговая травма изменяет системный иммунный ответ в организме, что может сказываться на реактивности, особенно в случаях присоединения инфекций у таких пациентов. Алкогольное опьянение может замедлять клеточные и тканевые реакции. Сообщается, что табакокурение способствует худшему восстановлению тканей после черепно-мозговой травмы [3].
В судебно-медицинской практике важно понимать, какое количество крови в субдуральном пространстве может обусловить неблагоприятный исход, а также патоморфологические особенности повреждений мозга, микроскопическую эволюцию СДГ для установления её возраста в случаях, когда отсутствует информация об обстоятельствах происшествия.
Цель исследования ― изучение влияния алкогольного опьянения на период выживания при субдуральном кровоизлиянии.
МАТЕРИАЛЫ И МЕТОДЫ
Дизайн исследования
Исследование проведено ретроспективно на архивном материале ГБУЗ «Областное бюро судебно-медицинской экспертизы» (Пенза). Исследованы акты судебно-медицинских исследований трупа и заключений эксперта за 2022 год.
Критерии соответствия
Критерии включения. В исследование включены материалы 42 смертельных случаев закрытой черепно-мозговой травмы и открытой непроникающей черепно-мозговой травмы головы у лиц с диагнозом травматической субдуральной гематомы.
Критерии исключения: архивные материалы на несовершеннолетних лиц (до 18 лет) и лиц старческого возраста (более 75 лет).
Методы изучения данных
Все пострадавшие были разделены на две группы ― лица, скончавшиеся до оказания медицинской помощи (умершие вне стационара, n=20), и лица, получившие медицинскую помощь в условиях стационара (умершие в стационаре, n=22). На основании данных медицинских документов, постановлений и судебно-медицинских исследований трупа выясняли обстоятельства полученной травмы, оценивали количество излившейся крови под твёрдую мозговую оболочку, наличие и степень алкогольного опьянения. В случаях госпитализации отмечали уровень сознания по шкале комы Глазго.
Для определения давности субдуральной гематомы в случаях, когда смерть пострадавшего наступала до оказания медицинской помощи, использовали гистологический метод. С готовых гистологических срезов, окрашенных гематоксилином-эозином, делали фотографии, проводили морфометрическое исследование клеточных и тканевых реакций.
Статистический анализ
Данные обрабатывали с помощью пакета прикладных программ IBM SPSS Statistics v.25. Результаты представлены в виде среднего значения (М) и стандартного отклонения (SD). По критерию Колмогорова–Смирнова распределение показателей в выборках было близким к нормальному. Значимость различий между группами оценивали с помощью U-критерия Манна–Уитни. Для выявления корреляционных отношений применяли ранговый коэффициент Спирмена. Уровнем статистической значимости считали p <0,05.
РЕЗУЛЬТАТЫ
Общая выборка включала 42 смертельных случая с СДГ. Средний возраст всех умерших составил 49,5±13,4 лет. Подавляющее большинство было представлено мужчинами ― 36 (78,5%), средний возраст 49,3±13,9 лет, и 6 (21,5%) женщинами, 50,4±12,3 лет. Достоверной разницы в возрасте между мужчинами и женщинами не установлено (p >0,05).
Субдуральное кровоизлияние чаще всего было получено в результате уличного и бытового травматизма, а также в результате дорожно-транспортных происшествий (по 45,5% случаев). Такие обстоятельства, как падение, встречались гораздо реже (9%). В 52,3% случаев выявлены переломы черепа; ушиб головного мозга установлен в 81%.
Кровоизлияния под мягкой мозговой оболочкой были зафиксированы в 73,8% случаев. Отёк головного мозга, сопровождавший 88% травм, оценивался макро- и микроскопически: односторонняя субдуральная гематома выявлена у 59,5% пострадавших, в то время как распространённое двустороннее кровоизлияние ― в 40,5% случаев (табл. 1).
Таблица 1. Характеристика поражений в общей выборке (n=42)
Table 1. Characteristics of lesions in the general sample (n=42)
| Характеристика | Количество случаев, n (%) | 
| Односторонняя субдуральная гематома | 24 (59,5) | 
| Двусторонняя субдуральная гематома | 18 (40,5) | 
| Переломы черепа | 22 (52,3) | 
| Ушибы головного мозга | 34 (81) | 
| Лептоменингеальные кровоизлияния | 31 (73,8) | 
| Отёк головного мозга | 39 (88) | 
В 48% случаев смерть пострадавших наступала до оказания медицинской помощи (n=20), в условиях стационара погибло 52% лиц исследуемой выборки (n=22). Умершие до оказания медицинской помощи оказались несколько моложе ― средний возраст 45,3±13,6 лет против 53,3±12,3 у умерших в стационаре (р <0,05) (табл. 2).
Таблица 2. Средний возраст в исследуемых выборках
Table 2. Average age in the studied samples
| Возраст, лет | |||||
| Общая группа (n=42) | p | Умершие вне стационара (n=20) | Умершие в стационаре (n=22) | p | |
| 49,5±13,4 | - | 45,3±13,6 | 53,3±12,3 | 0,046* | |
| Мужчины (n=33) | Женщины (n=9) | ||||
| 49,3±13,9 | 50,4±12,3 | 0,786 | |||
Примечание. * Статистически значимый результат при p <0,05.
Note: * p <0.05 significance.
В состоянии алкогольного опьянения разной степени выраженности находились 55% лиц общей выборки. Средняя концентрация этилового алкоголя крови в группе составила 2,5±1‰ при максимально выявленной концентрации 4,2‰. Установлено, что концентрация этилового алкоголя в крови умерших вне стационара была значительно выше (примерно на 50%; р <0,001) и составляла в среднем 3,2±0,62‰, в то время как среди умерших в стационаре данный показатель соответствовал в среднем 1,6±0,5‰ и устанавливался при поступлении в больницу (табл. 3). Указанные результаты могут свидетельствовать о том, что степень алкогольного опьянения усугубляет тяжесть тупой травмы головы. Из полученных данных видно, что лица с меньшей концентрацией алкоголя в крови выживали дольше.
Таблица 3. Степень алкогольного опьянения в группах
Table 3. Degree of alcohol intoxication in groups
| Концентрация этилового алкоголя в крови, ‰ | р | ||
| Общая группа (n=22) | Умершие вне стационара (n=13) | Умершие в стационаре (n=9) | |
| 2,5±1 | 3,2±0,62 | 1,6±0,5 | <0,001* | 
Примечание. * Статистически значимый результат при p <0,05 (сравнение лиц, умерших вне стационара, и лиц, умерших в стационаре).
Note: * Statistically significant result at p <0.05, comparison of those who died on the spot and those who died in hospital.
Средний объём субдурального кровоизлияния в общей группе соответствовал 90,3±55,9 мл, при этом в случаях смерти до оказания медицинской помощи объём гематомы был меньше на 27,6% (р <0,05) и составлял в среднем 75,25±67,9 мл, у госпитализированных лиц средний объём СДГ соответствовал 104±38,7 мл (табл. 4).
Таблица 4. Объём субдуральной гематомы в группах
Table 4. The volume of subdural hematoma in groups
| Объём субдуральной гематомы, мл | р | ||
| Общая группа (n=42) | Умершие вне стационара (n=20) | Умершие в стационаре (n=22) | 0,012* | 
| 90,3±55,9 | 75,25±67,9 | 104±38,7 | |
Примечание. * Статистически значимый результат при p <0,05, сравнение умерших вне стационара и умерших в стационаре.
Note: * Statistically significant result at p <0.05, comparison of those who died on the spot and those who died in hospital.
Продолжительность госпитализации умерших в стационаре была в среднем 6,6±3,8 дней. Всем госпитализированным проводилась оценка уровня нарушения сознания по шкале комы Глазго. Среднее количество баллов в группе составило 6,8±3,3. С помощью корреляционного анализа по Спирмену установлено, что лица с более тяжёлым нарушением сознания умирали раньше, чем лица с лучшими показателями по шкале Глазго. Корреляционное значение статистически достоверно (r=0,559, p=0,007). Кроме того, более высокая концентрация этилового алкоголя в крови, как правило, соответствовала более низкому количеству баллов по шкале комы Глазго, что подтвердилось корреляционным анализом (r=-0,701, р=0,024).
Для оценки взаимоотношения между степенью угнетения сознания и массой СДГ также проводился корреляционный анализ по Спирмену, при этом установлена статистические значимая отрицательная связь (r=-0,526, p=0,012). Данный результат может свидетельствовать о том, что больший объём субдурального кровоизлияния соответствовал меньшему количеству баллов шкалы комы Глазго в группе умерших в стационаре.
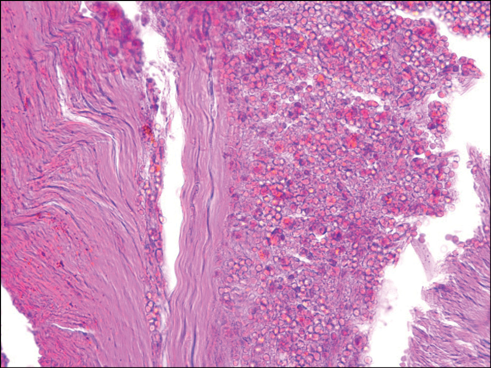
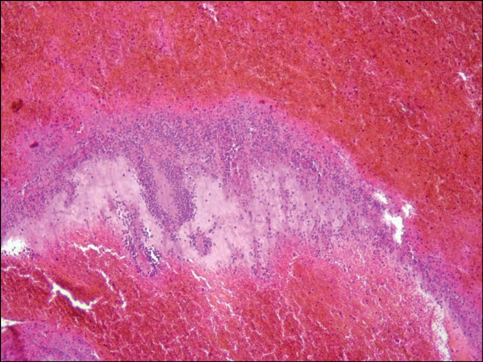
С помощью гистологического исследования установлена давность СДГ у лиц, скончавшихся до оказания медицинской помощи. В 65% случаев видимых реактивных изменений в СДГ не установлено, что могло соответствовать возрасту её образования менее 1 часа. В 20% случаев реактивные изменения соответствовали временному интервалу возраста СДГ от 12 до 24 часов (рис. 1), в 15% случаев ― от 24 до 48 часов (рис. 2).
Рис. 1. Субдуральная гематома с установленной давностью 12–24 часа. Окраска гематоксилином и эозином, ×400.
Fig. 1. Subdural hematoma with an established prescription of 12–24 hours. Coloring: hematoxylin and eosin, ×400.
Рис. 2. Свёрток крови под твёрдой мозговой оболочкой с установленной давностью 24–48 часов. Окраска гематоксилином и эозином, ×400.
Fig. 2. Blood coagulation under the dura mater with an established prescription of 24–48 hours. Coloring: hematoxylin and eosin, ×400.
ОБСУЖДЕНИЕ
Данная работа по результатам соотносится с ретроспективным исследованием, проведённым литовскими авторами [4], в котором также оценивалось влияние объёма СДГ и степени алкогольного опьянения на период выживания после полученных травм.
Субдуральная гематома обычно образуется вследствие травматического повреждения мостиковых вен, которые расположены в субарахноидальном пространстве, проходят через твёрдую мозговую оболочку и опорожняются в дуральные венозные синусы. Имеются сведения, что кровоизлияния могут сперва рассекать наружный и внутренний листки твёрдой мозговой оболочки, образуя таким образом интрадуральную гематому, и затем проникать в пространство между твёрдой мозговой и арахноидальной оболочками. В местах своего свободного расположения в субдуральном пространстве мостиковые вены имеют тонкие стенки, что делает их уязвимыми, поскольку мозг может смещаться внутри черепа после сильного удара. Как правило, субдуральные кровоизлияния распространяются по полушариям головного мозга [5].
Травматическая субдуральная гематома, по статистике, чаще выявляется у мужчин [6]. Периоперационная смертность в среднем варьирует от 20 до 30% [7].
Сопутствующие СДГ переломы черепа в общей популяции составляют в среднем около 30%. Установлено, что при наличии переломов черепа усиливается и тяжесть СДГ. Часто СДГ ассоциирована с челюстно-лицевыми переломами, при этом особенно худший прогноз имеют переломы средней зоны лицевого скелета [8].
Сообщается об отсутствии достоверных корреляций между механизмом травмы и прогнозом СДГ [9]. Среди неблагоприятных прогностических факторов выделяют отёк головного мозга, который связан с более высокой смертностью [10].
Определение давности субдуральной гематомы является сложной задачей. Данный вид кровоизлияния относится к венозным и может развиваться достаточно длительный период (от нескольких дней до месяцев) бессимптомно. Кроме того, в случаях повторной травмы кровоизлияния могут образовываться из имеющейся гематомы, что утяжеляет диагностику [11].
В соответствии с действующей классификацией, различают острую субдуральную гематому ― 1–3 суток, подострую ― от 4 суток до 3 недель и хроническую ― от 3 недель. В работе Г.В. Недугова и Т.А. Федориной [12] предложена новая патоморфологическая классификация (табл. 5), основанная на регистрации их качественных макро- и микроскопических характеристик.
Таблица 5. Новая патоморфологическая классификация субдуральной гематомы в сравнении с действующей клинико-морфологической классификацией [12]
Table 5. New pathomorphological classification of subdural hematoma in comparison with the current clinical and morphological classification [12]
| Новая патоморфологическая классификация | Действующая клинико-морфологическая классификация | 
| 1. Неинкапсулированные | Острые или подострые | 
| 2. Инкапсулированные | Подострые или хронические | 
| 2.1. Первично инкапсулированные | |
| 2.2. Вторично инкапсулированные | Не имеют аналога | 
| 2.3. Артифициально (ятрогенно) резорбированные | |
| 3. Стабильно организованные | Остаточные изменения в исходе ранее перенесённых субдуральных гематом | 
| 3.1. С самопроизвольной организацией | |
| 3.2. Со смешанным механизмом организации | 
Стоит отметить, что исследования по определению давности СДГ относительно немногочисленны и имеют важное ограничение в виде неоднородности исследуемой выборки.
В определении временного интервала давности традиционно выделяют три компонента СДГ, имеющих разную физиологию и патогистологическую морфологию: собственно твёрдую мозговую оболочку, дуральную и арахноидальную поверхность сгустка крови.
Сбор материала необходимо производить по краям сгустка, даже в случае очень свежих гематом с обильным жидким компонентом. Крайне важно брать образец сгустка вместе с твёрдой мозговой оболочкой. В случаях повторного кровоизлияния для гистологического анализа потребуется несколько образцов в резко отличающихся областях [8].
На сегодняшний день известно, что в первые 12 часов травмы происходит начальное отложение фибрина и полиморфноклеточная миграция в свёрток со стороны его дуральной поверхности. От 12 до 24 часов в гематоме определяются начальная миграция фибробластов и фагоцитоз эритроцитов. Новообразованная мембрана визуализируется ориентировочно через 4 дня, отчётливой она становится к 10-м суткам. Неоваскуляризация отмечается не ранее чем через 5 суток. Определение калибра новообразованных сосудов при этом может вызывать трудности, поскольку этот критерий субъективен и не стандартизирован. Стоит отметить также, что толщина новообразованной мембраны должна анализироваться только относительно объёма гематомы. Если данные о размере и объёме сгустка неизвестны, то толщину неомембраны не следует брать во внимание при установлении давности СДГ [8].
Токсикологический анализ сгустка может стать косвенным методом определения возраста гематомы. Разница концентрации токсического вещества в гематоме и периферической крови при сопоставлении с гистологией может дать более точное представление о времени травмы, что особенно актуально для медленно формирующихся гематом [13].
На гистологических срезах, окрашенных гематоксилином и эозином, как правило, анализируются изменения эритроцитов, реакция лейкоцитов, макрофагов, фагоцитоз эритроцитов, скопления внутри- и внеклеточного гемосидерина, наличие гематоидина, инвазия фибробластов, эпителизация, коллагенизация, неоваскуляризация и толщина новообразованной мембраны. Для визуализации железа рекомендуется окраска по Перлсу, для выявления коллагеновых волокон ― окраска по Ван-Гизону [14].
В качестве иммуногистохимических маркеров заслуживают внимание маркеры нейровоспаления, активации эндотелия, молекул адгезии [15].
Использование нескольких маркеров позволяет более точно и надёжно определить возраст СДГ, при этом использование иммуногистохимии должно дополнять данные, полученные в ходе традиционной гистологии. На сегодняшний день гистопатология остаётся основным инструментом для оценки возраста субдуральной гематомы [16].
ЗАКЛЮЧЕНИЕ
Установлено, что наиболее частой причиной субдурального кровоизлияния являются травмы, полученные в результате уличного и бытового травматизма, а также в результате дорожно-транспортных происшествий. СДГ в 52,3% случаев сочетается с переломами черепа, в 73,8% ― с лептоменингеальными кровоизлияниями, в 81% ― с ушибами, в 88% ― с отёком головного мозга. Односторонняя субдуральная гематома встречается чаще, чем двусторонняя. Выявлено, что бóльшая часть пострадавших находилась в состоянии алкогольного опьянения, при этом концентрация этилового алкоголя у лиц, скончавшихся до оказания медицинской помощи, была выше примерно в 2 раза. Концентрация этилового алкоголя в крови имеет отрицательную обратную связь со степенью угнетения сознания.
Таким образом, лица с субдуральным кровоизлиянием в состоянии алкогольного опьянения высокой степени тяжести, как правило, погибают до оказания им медицинской помощи. При этом если помощь была оказана, то исход чаще всего неблагоприятный и сопровождается более коротким периодом выживания даже при наличии СДГ малого объёма. Гистологический метод на сегодняшний день наиболее оптимальный с точки зрения определения давности СДГ.
ДОПОЛНИТЕЛЬНО
Источник финансирования. Авторы заявляют об отсутствии внешнего финансирования при проведении исследования.
Конфликт интересов. Авторы декларируют отсутствие явных и потенциальных конфликтов интересов, связанных с публикацией настоящей статьи.
Вклад авторов. Все авторы подтверждают соответствие своего авторства международным критериям ICMJE (все авторы внесли существенный вклад в разработку концепции, проведение исследования и подготовку статьи, прочли и одобрили финальную версию перед публикацией). Наибольший вклад распределён следующим образом: Н.С. Аверкин ― планирование, дизайн исследования, сбор и анализ данных, проведение исследований, редактирование и написание текста рукописи; A.П. Столяров, Е.А. Харитонов ― редактирование рукописи; И.С. Живанкина ― сбор и анализ данных, проведение исследований.
ADDITIONAL INFORMATION
Funding source. This study was not supported by any external sources of funding.
Competing interests. The authors declare that they have no competing interests.
Authors’ contribution. All authors made a substantial contribution to the conception of the work, acquisition, analysis, interpretation of data for the work, drafting and revising the work, final approval of the version to be published and agree to be accountable for all aspects of the work. N.S. Averkin ― planning, research design, data collection and analysis, conducting research, editing and writing the text of the manuscript; A.P. Stolyarov, E.A. Kharitonov ― editing the manuscript; I.S. Zhivankina ― data collection and analysis and research.
About the authors
Nikita S. Averkin
Regional Bureau of Forensic Medical Examination; Penza State University
							Author for correspondence.
							Email: averkin.n@list.ru
				                	ORCID iD: 0000-0001-8129-9400
				                	SPIN-code: 7973-2100
																		                								
MD, Cand. Sci. (Med)
Russian Federation, Penza; PenzaArkadiy P. Stolyarov
Regional Bureau of Forensic Medical Examination
														Email: sudmed_penza@mail.ru
				                	ORCID iD: 0000-0001-6946-9059
				                	SPIN-code: 3649-4766
																		                								
MD, Cand. Sci. (Med)
Russian Federation, PenzaEvgeniy A. Kharitonov
Regional Bureau of Forensic Medical Examination
														Email: haritonovdoc@mail.ru
				                	ORCID iD: 0009-0004-2680-7432
				                	SPIN-code: 9183-6366
																		                								
MD, Cand. Sci. (Med)
Russian Federation, PenzaIrina S. Zhivankina
Penza State University
														Email: izhivankina@list.ru
				                	ORCID iD: 0000-0002-8927-2584
				                																			                												                	Russian Federation, 							Penza						
References
- Monsivais D, Choi HA, Kitagawa R, et al. A retrospective analysis of surgical outcomes for acute subdural hematoma in an elderly cohort. Interdiscip Neurosurg. 2018;(14):130–134. doi: 10.1016/j.inat.2018.07.010
- Frolov IA, Frolov VV. Forensic evalution of the pathology and etiology of subdural hematomas. Russ J Forensic Med. 2015;1(2):51–52. (In Russ).
- Sivandzade F, Alqahtani F, Cucullo L. Traumatic brain injury and blood-brain barrier (BBB): Underlying pathophysiological mechanisms and the influence of cigarette smoking as a premorbid condition. Int J Mol Sci. 2020;21(8):2721. doi: 10.3390/ijms21082721
- Chmieliauskas S, Anuzyte JS, Liucvaikyte J, et al. Importance of effusion of blood under the dura mater in forensic medicine: A STROBE--compliant retrospective study. Medicine (Baltimore). 2018;97(39):e12567. doi: 10.1097/MD.0000000000012567
- Liu X, Gao C, Yuan J, et al. Subdural haematomas drain into the extracranial lymphatic system through the meningeal lymphatic vessels. Acta Neuropathol Commun. 2020;8(1):16. doi: 10.1186/s40478-020-0888-y
- Altaf I, Shams S, Vohra AH. Role of surgical modality and timing of surgery as clinical outcome predictors following acute subdural hematoma evacuation. Pak J Med Sci. 2020;36(3):412–415. doi: 10.12669/pjms.36.3.1771
- Anis SB, Khan SA, Mitha R, Shamim MS. Craniotomy or craniectomy for acute subdural hematoma? Difference in patient characteristics and outcomes at a tertiary care hospital. Asian J Neurosurg. 2022;17(4):563–567. doi: 10.1055/s-0042-1758842
- Aromatario M, Torsello A, D’Errico S, et al. Traumatic epidural and subdural hematoma: Epidemiology, outcome, and dating. Medicina. 2021;57(2):125. doi: 10.3390/medicina57020125
- Baucher G, Troude L, Pauly V, et al. Predictive factors of poor prognosis after surgical management of traumatic acute subdural hematomas: A single-center series. World Neurosurg. 2019;(126):944–953. doi: 10.1016/j.wneu.2019.02.194
- Akbik OS, Starling RV, Gahramanov S, et al. Mortality and functional outcome in surgically evacuated acute subdural hematoma in elderly patients. World Neurosurg. 2019;(126):1235–1241. doi: 10.1016/j.wneu.2019.02.234
- Poon MT, Rea C, Kolias AG, et al. British neurosurgical trainee research collaborative (BNTRC). Influence of antiplatelet and anticoagulant drug use on outcomes after chronic subdural hematoma drainage. J Neurotrauma. 2021;38(8):1177–1184. doi: 10.1089/neu.2018.6080
- Nedugov GV, Fedorina TA. New pathomorphological classification of subdural hematomas. Sci Innovations Med. 2020;5(2):130–135. (In Russ). doi: 10.35693/2500-1388-2020-5-2-130-135
- Bertozzi G, Maglietta F, Sessa F, et al. Traumatic brain injury. A forensic approach: A literature review. Curr Neuropharmacol. 2020;18(6):538–550. doi: 10.2174/1570159X17666191101123145
- Rao MG, Singh D, Vashista RK, Sharma SK. Dating of acute and subacute subdural haemorrhage: A histo-pathological study. J Clin Diagn Res. 2016;10(7):HC01-7. doi: 10.7860/JCDR/2016/19783.8141
- Dell’Aquila M, Maiese A, De Matteis A, et al. Traumatic brain injury: Estimate of the age of the injury based on neuroinflammation, endothelial activation markers and adhesion molecules. Histol Histopathol. 2021;36(8):795–806. doi: 10.14670/HH-18-319
- Li N, Du Q, Bai R, Sun J. Vitality and wound-age estimation in forensic pathology: Review and future prospects. Forensic Sci Res. 2018;5(1):15–24. doi: 10.1080/20961790.2018.1445441
Supplementary files
 
				
			 
					 
						 
						 
									

 
  
  
  
  
  Email this article
			Email this article 




