Forensic significance of X-ray data in the definition prescription of diaphyseal fractures: a case from expert practice
- Authors: Li Y.B.1,2, Vishniakova M.V.1, Klevno V.A.1
-
Affiliations:
- Moscow Regional Research and Clinical Institute
- Primorsky Regional Bureau of Forensic Medical Examination
- Issue: Vol 8, No 2 (2022)
- Pages: 65-71
- Section: Case reports
- Submitted: 25.03.2022
- Accepted: 22.07.2022
- Published: 15.09.2022
- URL: https://for-medex.ru/jour/article/view/711
- DOI: https://doi.org/10.17816/fm711
- ID: 711
Cite item
Full Text
Abstract
BACKGROUND: Determining the prescription of fractures is important when conducting a forensic medical examination of victims, accused persons, etc. This allows the expert to immediately determine the causal relationship of the skeletal injury found in the sub-expert with the events described in the decision on the forensic medical examination, especially in cases when the conducted examination according to medical documents may be concealed or distorted of the incidental circumstances; thus the investigating authorities need to decide on the case and establish the truth. Often, medical documents, especially in cases of a single request for medical help, do not contain enough information about the clinical picture of the fracture, with limited or missing descriptions of the local status. In such cases, one of the most important sources of information for the expert is radiography data (radiographs in electronic form or on X-ray film and computed tomograms), which the study allows the expert to conclude the mechanism of injury and the prescription of fractures. The study of literary sources on this topic did not reveal the exact criteria for determining the prescription of fractures based on the study of the X-ray examination results in the forensic aspect.
CASE PRESENTATION: The description of a case from practice was provided. In our practice, a case with fractures that did not correspond to the events of the described incident in the resolution as found by the sub-expert, and these fractures were not regarded by the surgeon as “old” and unrelated to the specified circumstances of the case. The presented radiograph examination allowed the forensic medical expert to determine the time frame of the detected fractures and establish the absence of a causal relationship of this injury with the events specified in the resolution.
CONCLUSION: The analysis of this expert case allows us to conclude the importance of examining the radiography data by the forensic medical expert to determine the description of fractures.
SIGNIFICANCE FOR FORENSIC MEDICINE: The presented case from the practice demonstrates the need for a critical approach of the forensic expert, both to the presented medical data and the information contained in the materials of the preliminary examination or criminal case, as well as the importance of an independent study of the X-ray examination results of the subject.
Full Text
АКТУАЛЬНОСТЬ
В руководствах и монографиях по лучевой диагностике даны усреднённые сроки консолидации переломов. В ходе производства судебно-медицинской экспертизы потерпевших, обвиняемых и других лиц важнейшее значение имеет определение давности обнаруженных у подэкспертных телесных повреждений, в том числе переломов [1–6]. Стадии репаративного остеогенеза описаны в классических трудах по рентгенологии [7–9]. В имеющихся на данный момент литературных источниках отражено определение давности переломов прежде всего с учётом секционных, гистологических методов исследования. Информация по определению давности скелетной травмы на основании рентгенологических методов обследования ограничена и сводится преимущественно к результатам исследований, связанных с эффективностью оперативного лечения переломов различной локализации или же с трудностями заживления переломов на фоне определённого преморбидного фона [10–17].
Особую категорию составляют случаи наблюдаемых противоречий в материалах предварительной проверки или уголовного дела, а также в медицинских документах, касающихся обстоятельств получения травмы и времени возникновения повреждений. В случаях скелетной травмы переломы в стадии консолидации или полностью восстановившие свою целостность зачастую описываются в медицинских документах как «свежие» и выставляются в заключительный клинический диагноз лечащими врачами, что может отразиться на результатах судебно-медицинской экспертизы, привести к экспертным ошибкам и, возможно, роковым последствиям для фигурантов дела. Особенно это касается медицинских документов, которые составлены врачами-травматологами или хирургами предельно сжато, содержат краткую информацию о клинической картине скелетной травмы и локальном статусе пострадавшего, либо вовсе не имеют такого описания. В таких ситуациях большое значение имеет возможность исследования рентгенограмм подэкспертного самим врачом судебно-медицинским экспертом.
Цель исследования ― демонстрация примера экспертной оценки данных рентгенографии при скелетной травме для решения вопроса о давности переломов.
ПРИМЕР ИЗ ПРАКТИКИ
Обстоятельства травмы
Судебно-медицинская экспертиза назначена участковым уполномоченным 15.10.2021 в рамках материала проверки по факту обращения за медицинской помощью в центральную районную больницу (ЦРБ) гр. Р., 1987 года рождения.
Из постановления о назначении судебно-медицинской экспертизы: «20.07.2021 около 18.00 гр. Р., возвращаясь домой из торгового центра «Олимп», ударился ногой о бордюр, по неосторожности причинив себе телесные повреждения. Впоследствии он обратился в КГБУЗ ЦРБ. 21.07.2021 в дежурную часть ОМВД России по Н-скому округу поступило заявление от гр. Р., в котором он просит прекратить дальнейшее разбирательство, так как претензий ни к кому не имеет, и привлекать никого не желает, телесные повреждения причинил себе сам по неосторожности».
Данные медицинских документов
Из амбулаторного журнала КГБУЗ ЦРБ известно, что гр. Р., 1987 года рождения, 20.07.2021 в 23:55 осмотрен врачом-хирургом. По данным анамнеза, травма получена около 30 мин назад при дорожно-транспортном происшествии (наезд автомобиля). Оказанная помощь: первичная хирургическая обработка раны. Пациент направлен на рентгенографию правой голени. После рентгенологического обследования выставлен диагноз: «Ушибленная рана правой голени. Закрытый перелом большеберцовой кости?»
Гр. Р. на экспертизу не представлен, в постановлении указано, что он категорически отказался от судебно-медицинского осмотра.
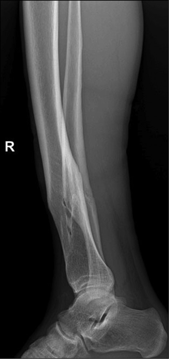
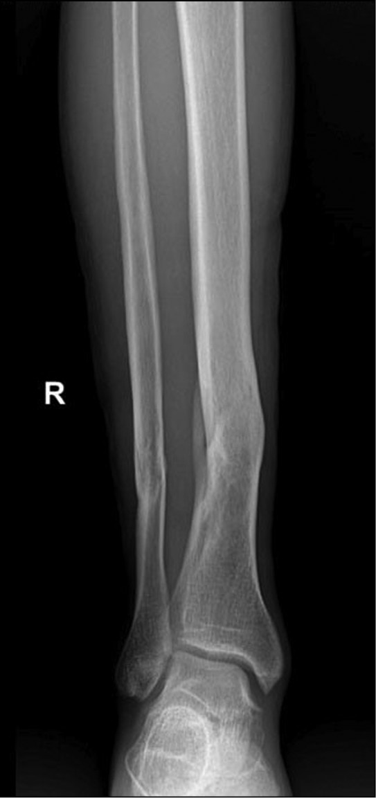
Результаты рентгенологического обследования от 20.07.2021. Судебно-медицинским экспертом изучены две цифровые рентгенограммы в электронном виде на компакт-диске на имя Р., 1987 года рождения: на рентгенограммах средней-нижней трети правой голени с захватом голеностопного сустава в прямой и боковой проекциях «свежих» костно-травматических изменений не выявлено. Определяется старый сросшийся перелом нижней трети диафиза большеберцовой кости и аналогичный старый перелом нижней трети диафиза малоберцовой кости (на одном уровне с переломом большеберцовой кости) с хорошо выраженной, плотной костной мозолью, признаками перестройки костной ткани. Линии переломов не просматриваются, имеют место выраженная посттравматическая деформация диафизов, истончение и деформация кортикального слоя в проекции сформированной костной мозоли (рис. 1, 2).
Рис. 1. Рентгенограмма правой голени в прямой проекции. Старые сросшиеся переломы нижней трети диафизов берцовых костей.
Рис. 2. Рентгенограмма костей правой голени в боковой проекции. Старые сросшиеся переломы нижней трети диафизов берцовых костей.
ОБСУЖДЕНИЕ
В данном случае обращает на себя внимание необходимость критического подхода врача к оценке как состояния пациента, так и к данным его рентгенологического обследования. Мы видим, что переломы берцовых костей с несомненными рентгенологическими признаками консолидации были расценены врачом как «свежие». В ходе осмотра пострадавшего хирургом и после исследования им рентгенологических снимков был выставлен предварительный диагноз: «Закрытый перелом большеберцовой кости?», причём доктором указано, что травма получена «30 мин назад».
В ходе исследования судмедэкспертом рентгенограмм гр. Р. установлены и описаны несомненные признаки консолидированного перелома берцовых костей, давностью от одного года и более, с признаками хронического посттравматического остеомиелита большеберцовой кости. Изучение представленных рентгенограмм позволило эксперту прийти к выводу, что данные переломы не имеют отношения к вышеописанным событиям от 20.07.2021, поэтому судебно-медицинской оценке не подлежат.
ЗАКЛЮЧЕНИЕ
Ситуации, когда консолидированные переломы расцениваются врачом клинического профиля «свежей» травмой, нередки в экспертной практике. Анализ вышеприведённого случая свидетельствует о важности исследования рентгенограмм непосредственно судебно-медицинским экспертом, что позволяет избежать ошибок в определении давности переломов. Учитывая же тот факт, кто данные заключения эксперта ложатся в основу обвинительного заключения, можно со всей ответственностью сказать, что определение давности переломов на основании результатов рентгенологических методов исследования есть важнейший аспект работы судебно-медицинского эксперта. Правильная оценка результатов рентгенографии помогает избежать не только экспертных ошибок, но и, порой, роковых последствий для фигурантов уголовных дел. Данный аспект позволяет рассматривать судебную медицину как дисциплину, расположенную на стыке разных областей медицины, в том числе и рентгенологии.
ДОПОЛНИТЕЛЬНО
Источники финансирования. Работа выполнена по инициативе авторов без привлечения финансирования.
Конфликт интересов. Авторы декларируют отсутствие явных и потенциальных конфликтов интересов, связанных с публикацией настоящей статьи.
Вклад авторов. Ю.Б. Ли ― сбор данных, написание статьи; М.В. Вишнякова, В.А. Клевно ― существенный вклад в концепцию исследования, внесение в рукопись существенной правки с целью повышения научной ценности статьи. Авторы подтверждают соответствие своего авторства международным критериям ICMJE (все авторы внесли существенный вклад в разработку концепции, проведение исследования и подготовку статьи, одобрили финальную версию статьи перед публикацией, выразили согласие нести ответственность за все аспекты исследования, подразумевающую надлежащее изучение и решение вопросов, связанных с точностью или добросовестностью любой части работы).
ADDITIONAL INFORMATION
Funding source. The work was carried out on the initiative of the authors without attracting funding.
Competing interests. The authors declare the absence of obvious and potential conflicts of interest related to the content of this article.
Authors’ contribution. Yu.B. Lee ― collecting data, writing an article; M.V. Vishniakova, V.A. Klevno ― a significant contribution to the concept of the study, making significant changes to the manuscript in order to increase the scientific value of the article. All authors approved the final version of the article before publication, agreed to be responsible for all aspects of the work, implying the proper study and resolution of issues related to the accuracy or integrity of any part of the work.
About the authors
Yulia B. Li
Moscow Regional Research and Clinical Institute; Primorsky Regional Bureau of Forensic Medical Examination
Email: reineerdeluft@gmail.com
ORCID iD: 0000-0001-7870-5746
SPIN-code: 9483-6751
Graduate Student
Russian Federation, Moscow; VladivostokMarina V. Vishniakova
Moscow Regional Research and Clinical Institute
Email: cherridra@mail.ru
ORCID iD: 0000-0003-3838-636X
MD, Dr. Sci. (Med.)
Russian Federation, MoscowVladimir A. Klevno
Moscow Regional Research and Clinical Institute
Author for correspondence.
Email: vladimir.klevno@yandex.ru
ORCID iD: 0000-0001-5693-4054
SPIN-code: 2015-6548
MD, Dr. Sci. (Med.), Professor
Russian Federation, MoscowReferences
- Chunikhina NA, Shestopalov KK, Plaksin VO. A comprehensive assessment of the prescription of fractures with local damage to the diaphyseal sections of long tubular bones using the X-ray diagnostic method. Problems of Expertise in Medicine. 2001;1(4):3–6. (In Russ).
- Badyaeva EE. Possible errors in determining the prescription of a blunt neck injury. In: Selected issues of forensic medical examination: Proceedings of the conference, December 04, 2018. Issue 18. Khabarovsk; 2019. Р. 49–50. (In Russ).
- Klevno VA, Kireeva EA, Bogomolova IN. Forensic medical determination of the prescription of rib fractures. Forensic Medical Examination. 2008;51(1):44–47. (In Russ).
- Yakovenko LL, Yakovenko OO, Gonchar DG. Forensic medical expert assessment of damage to the maxillofacial region. Forensic Medical Examination. 2016;59(2):10–13. (In Russ). doi: 10.17116/sudmed201659210-13
- Shiryaeva YuN, Zhurikhina SI, Makarov IYu. Features of periosteal damage from the action of mechanical damaging factors. Selected issues of forensic medical examination: Proceedings of the conference, December 04, 2018. Issue 18. Khabarovsk; 2019. Р. 210–213. (In Russ).
- Matveev RP, Bragina SV. Radiology in traumatology and orthopedics. Selected sections: textbook. Arkhangelsk: Publishing House of the Northern State Medical University; 2018. 151 p. (In Russ).
- Lindenbraten LD, Korolyuk IP. Radiation diagnostics. Textbook. 3rd ed. Moscow: Binom; 2013. 496 p. (In Russ).
- Reinberg SA. X-ray diagnostics of diseases of bones and joints. 4th revised and updated. Moscow: Medicine; 1964. (In Russ).
- Burgener FA, Kormano M, Pudas T. Radiation diagnostics of diseases of bones and joints: atlas. Transl. from the English by V.V. Pozharsky, ed. by S.K. Ternovoy, A.I. Shechter. Moscow: GEOTAR-Media; 2011. 539 p. (In Russ).
- Semizorov AN. Radiography in the diagnosis and treatment of bone fractures: a manual for doctors. Moscow: Vidar-M; 2007. 176 p (In Russ).
- Stepanov RV. Complex radiation diagnostics in the assessment of the reparative process in the treatment of patients with closed diaphyseal fractures of the lower leg bones [dissertation abstract]. Moscow; 2011. 21 p. (In Russ).
- Omelianenko NP, Karpov IN. Regularities of cell-matrix interactions in the process of formation of distraction bone regenerates. Bulletin of Experimental Biology and Medicine. 2017;163(4):514–519. (In Russ).
- Omelianenko NP, Slutsky LI. Connective tissue. Ed. by S.P. Mironov. Moscow: Izvestia; 2009. 380 p. (In Russ).
- Verhoff MA, Ramsthaler F, Kreutz K, Schiewy-Bochat KH. Forensische anthropologie und osteologie. Übersicht und definitionen. Dtsch Arztebl. 2006;103:A782–A788. (In Deutsch).
- Keil I. Frakturen bei kleinkindern in den ersten 2 lebensjahren: häufigkeiten, lokalisationen, ursachen und die bedeutung der kindesmisshandlung. Lübeck; 2009. 133 р. (In Deutsch).
- Claes L. Dynamisierung der osteosynthese. Zeitpunkt und Methoden. Zeitschrift: Der Unfallchirurg Ausgabe. 2018;(1). (In Deutsch).
- Muhm M, Winkler H. Fixateurexterne und knochenbruchheilung. OP-Journal. 2008;24:52–57. (In Deutsch).
Supplementary files






