Application of cytological research methods to solve the question of the organic origin of animal horns
- Authors: Maltseva A.Y.1, Stolyarov A.P.1
-
Affiliations:
- The Regional Forensic Medical Examination Bureau
- Issue: Vol 8, No 3 (2022)
- Pages: 93-98
- Section: Case reports
- Submitted: 11.03.2022
- Accepted: 02.08.2022
- Published: 15.11.2022
- URL: https://for-medex.ru/jour/article/view/704
- DOI: https://doi.org/10.17816/fm704
- ID: 704
Cite item
Full Text
Abstract
Conducting forensic examinations is the leading evidentiary mechanism in the investigation and disclosure of poaching cases. During the investigation, animal derivatives (horns, hooves, and feathers) are found and seized from poachers in addition to clothing, crime instruments, and animal carcasses. Currently, the expensive horns of artiodactyls are of the greatest value for extraction, and their quality is largely determined by the correctness of processing from the remnants of blood, skin, and hair. Such processing precludes the use of biological methods of analysis to determine the organic origin of the seized derivatives, and genetic examination is complicated by the lack of proper laboratory equipment, appropriate reagents, and the high cost of analysis.
The expert of the forensic biological department of the State Medical Institution of the Penza region should have established the organic origin of animal horns, presumably saiga, based on the decision on the examination appointment. The study included14 pieces of animal horns seized from persons suspected of poaching.
Microparticles were obtained from the peripheral and central parts of the horns, from which pressed preparations were prepared, followed by their staining and microscopy during the study. Luminescent microscopy of preparations from solid plates of the central part of the horn stained with fluorochromes revealed osteocytes, which are cellular characteristics of bone tissue. Epithelial cells that form the basis of the horn cover were detected when azur-eosin stained small particles from the peripheral part of the horn.
The identification of these cell types provides sufficient grounds to conclude the organic origin of the horns presented for research.
Keywords
Full Text
АКТУАЛЬНОСТЬ
В качестве ведущего доказательного механизма при расследовании и раскрытии дел о браконьерстве (статья 258 Уголовного кодекса Российской Федерации) используют проведение судебных экспертиз [1]. При помощи специальных познаний эксперта следователи могут не только определить достаточность оснований для возбуждения уголовного дела, но и перспективы дальнейшего расследования. В связи с тем, что объектом исследования чаще всего выступают части тела животного, приоритет отдаётся именно судебно-биологической экспертизе. Данный вид экспертизы позволяет решить вопросы как о наличии крови и волос животного на представленных на исследование предметах, так и их видовую принадлежность [2].
Среди наиболее часто встречающихся вещественных доказательств, предоставляемых на экспертизу, можно выделить следующие: одежда подозреваемых, орудия преступления, части туш (мясо, шкура), смывы или соскобы. Однако в ходе следствия у браконьеров также могут быть обнаружены и изъяты дериваты животных, такие как рога, копыта, перья и др. [1, 3]. В настоящее время наибольшую ценность для добычи представляют именно дефицитные и дорогостоящие рога парнокопытных, при этом их качество во многом определяется правильностью их обработки от остатков крови и кожно-волосяного покрова [4–6]. Такая обработка, в свою очередь, не позволяет применять биологические методы анализа для установления органического происхождения данных дериватов, а проведение генетической экспертизы осложняется отсутствием должного оснащения лабораторий специальным оборудованием и соответствующими реагентами, а также дороговизной анализа.
Следует отметить, что по своему составу рога животных представляют собой твёрдые образования, представленные двумя компонентами: остеодермой, прирастающей к лобным костям, и производными эпидермального слоя. Рога парнокопытных, в свою очередь, могут иметь разные варианты строения: например, у плотнорогих (олени) остеодерма обладает свойством сменяемости и покрыта кожей, которая впоследствии отмирает и сбрасывается; у полорогих (сайгак) остеодерма представлена крупным стержнем, увеличивающимся в размерах в течение жизни, и покрыта ороговевающим эпителием, образующим твёрдое образование ― роговой чехол [7–9].
ПРИМЕР ИЗ ПРАКТИКИ
В судебно-биологическое отделение ГБУЗ «Областное бюро судебно-медицинской экспертизы» Пензенской области поступило постановление о назначении экспертизы, целью которой являлось установление органического происхождения рогов животного, предположительно сайгака (saiga tatarica). Материалом для исследования являлись рога животных в количестве 14 штук, изъятые у лиц, подозреваемых в браконьерстве.
Перед экспертом был поставлен вопрос: «Имеют ли предметы, представленные на экспертизу, органическое происхождение, или являются изделиями, изготовленными промышленным/самодельным способом».
Рога, представленные для исследования, не несли на себе следов крови, кожного или волосяного покрова и имели следующие морфологические особенности: форма рогов лировидная; цвет рогового чехла варьирует от жёлтого, темно-жёлтого или коричневого по всей длине чехла до перехода от жёлтого цвета у основания чехла к тёмно-коричневому или чёрному на его вершине; костяной отросток имеет пористую, слегка губчатую структуру светло-жёлтого цвета; поперечное сечение рогов почти округлое, размером от 11 до 14 см; длина рогов от 25 до 36 см.
Для получения микрочастиц из рогов производили спилы пилой с мелкими зубьями, при этом из центральной части рога получали небольшие тонкие твёрдые пластинки и мелкие частицы светло-жёлтого цвета, а из периферической ― мелкие частицы желтоватого цвета. Собранный материал помещали в центрифужные пробирки, заливали 25% раствором уксусной кислоты в количестве 6 мл и выдерживали в течение 48 ч при температуре 20°С. Затем в капле 25% раствора уксусной кислоты на предметном стекле микрочастицы разделяли медицинским скальпелем на множество малых по размеру частей и готовили давленные препараты: фрагменты микрочастиц раздавливали между двумя предметными стёклами и, не разъединяя стёкла, оставляли их на 18–24 ч до полного высыхания. Далее стёкла разъединяли с помощью скальпеля. Из каждой пробирки с микрочастицами готовили не менее 2–3 препаратов.
Полученные давленные препараты в течение 10 мин фиксировали этиловым спиртом. Препараты из мелких частиц желтоватого цвета окрашивали азур-эозиновыми смесями, а полученные из твёрдых пластинок ― флюорохромами [10].
При люминесцентной микроскопии препаратов из микрочастиц твёрдых пластинок, окрашенных 0,0005% раствором акрихина, наблюдались фрагменты однородных бесструктурных масс зелёного цвета в виде тяжей, в которых на разных оптических уровнях различались немногочисленные некрупные отростчатые клетки с цитоплазмой и ядром (овальной и неправильной формы), люминесцирующие зелёным цветом, в количестве от 1 до 5 в каждом поле зрения микроскопа (рис. 1).
Рис. 1. Люминесцентная микроскопия: костная ткань, остеоциты. Окраска 0,0005% раствором акрихина, ×600.
Далее препараты окрашивались 0,01% раствором акридинового оранжевого, при этом цитоплазма обнаруженных клеток светилась жёлто-оранжевым, а ядра ― зелёным цветом (рис. 2).
Рис. 2. Люминесцентная микроскопия: костная ткань, остеоциты. Окраска 0,01% раствором акридинового оранжевого, ×600.
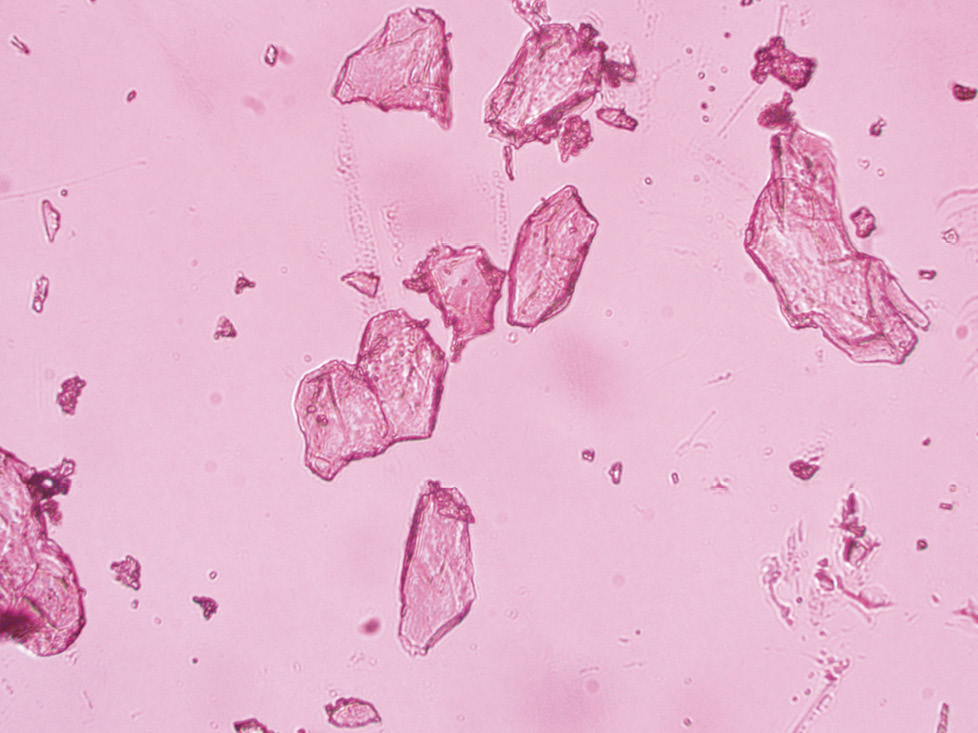
В препаратах из мелких частиц, окрашенных азур-эозином, обнаружены безъядерные клетки округлой и полигональной формы, с чёткими контурами, в количестве 50 и более в каждом поле зрения микроскопа (рис. 3).
Рис. 3. Люминесцентная микроскопия: эпителиальные клетки. Окраска азур-эозином, ×600.
Согласно полученным результатам исследования, в составе рогов, представленных для проведения экспертизы, обнаружены клетки животного происхождения: остеоциты костной ткани и эпителиальные клетки, составляющие основу рогового чехла. Выявление данных типов клеток позволяет сформулировать вывод об органическом происхождении рогов.
ЗАКЛЮЧЕНИЕ
Таким образом, методы судебно-цитологической экспертизы успешно применимы для решения вопроса об органическом происхождении рогов и могут быть использованы для аналогичных случаев в экспертной практике.
ДОПОЛНИТЕЛЬНО
Источник финансирования. Работа проведена по постановлению следственных органов МВД. Авторы заявляют об отсутствии внешнего финансирования при проведении поисково-аналитической работы.
Конфликт интересов. Авторы заявляют об отсутствии конфликта интересов.
Вклад авторов. Авторы подтверждают соответствие своего авторства международным критериям ICMJE (все авторы внесли существенный вклад в разработку концепции, проведение исследования и подготовку статьи, прочли и одобрили финальную версию перед публикацией). Наибольший вклад распределён следующим образом: А.Ю. Мальцева ― сбор данных, написание черновика рукописи, научная редакция рукописи; А.П. Столяров ― рассмотрение и одобрение окончательного варианта рукописи.
Благодарности. Авторы благодарят врача судебно-медицинского эксперта Нижегородского ОБСМЭ А.Л. Федоровцева за консультацию при исследовании и помощь в подготовке рукописи.
ADDITIONAL INFORMATION
Funding source. The article was carried out by the decree of the investigative bodies of the Ministry of Internal Affairs. The article was not supported by any external sources of funding.
Competing interests. The authors declare no competing interests.
Authors’ contribution. All authors made a substantial contribution to the conception of the work, acquisition, analysis, interpretation of data for the work, drafting and revising the work, final approval of the version to be published and agree to be accountable for all aspects of the work. A.Yu. Maltseva ― data collection, draftig of the manuscript, critical revition of the manuscript for important intellectual content; A.P. Stolyarov ― review and approve the final manuscript.
Acknowledgments. The authors thank the doctor of the forensic medical expert of the Nizhny Novgorod regional bureau of forensic medical examination A.L. Fedorovtsev for the consultation during the study and assistance in the preparation of the manuscript.
About the authors
Anastasiya Y. Maltseva
The Regional Forensic Medical Examination Bureau
Author for correspondence.
Email: istudiante@mail.ru
ORCID iD: 0000-0001-6466-1500
SPIN-code: 6920-3155
Russian Federation, Penza
Arkadiy P. Stolyarov
The Regional Forensic Medical Examination Bureau
Email: sudmed_penza@mail.ru
ORCID iD: 0000-0001-6946-9059
MD, Cand. Sci (Med.)
Russian Federation, PenzaReferences
- Dmitrieva OA, Fomenko PV, Aramilev SV; World Wildlife Fund (WWF). Fundamentals of wild animal expertise. Vladivostok: Apel’sin; 2012. 127 p. (In Russ).
- Barsegyants LO. Forensic examination of physical evidence (blood, secretions, hair). Moscow: Meditsina; 2005. 448 p. (In Russ).
- Urazalina AS, Lyaipol’d IN. Identification of biological remains of an animal. Topical issues of veterinary medicine and biotechnology: ideas of young researchers: materials of the student scientific conference; 28 mar 2018; Chelyabinsk: South Ural State Agrarian University; 2018. Р. 263–270. (In Russ).
- Bannikov AG, Zhirnov LV, Lebedeva LS, Fandeev AA. Biology of the saiga. Moscow: Sel’khozizdat; 1961. 336 p. (In Russ).
- Davletov ZK. Commodity science and technology of processing meat game, wild food products and medicinal and technical raw materials: textbook. Saint Petersburg: Lan’; 2015. 424 p. (In Russ).
- Minoranskiy VA, Dankov VI. Saigatatarica L. Russia’s endangered species. Yug Rossii: ehkologiya, razvitie. 2016;11(1):88–103. (In Russ). doi: 10.18470/1992-1098-2016-1-88-103
- Dzerzhinskiy FY. Comparative anatomy of vertebrates: textbook for university students Moscow: Aspekt Progress; 2005. 304 p. (In Russ).
- Lysov VF, Ippolitova TV, Maksimov VI, Shevelev NS. Physiology and ethology of animals Moscow: KolosS; 2012. 604 p. (In Russ).
- Oshkina EA. Solid formations of the epidermis. Materials of the 63rd intra-university Student Conference: collection of articles. Vol. 3. Ulyanovsk: Ulyanovsk State Agricultural Academy named after P.A. Stolypin; 2010. Р. 105–107. (In Russ).
- Fedorovtsev AL, Revnitskaya LA, Koroleva EI, Ehdelev NS. Forensic medical cytological studies of traces on physical evidence. Nizhniy Novgorod: Povolzh’e; 2009. 152 p. (In Russ).
Supplementary files







