Damage to neurons of the cerebral cortex in acute poisoning with baclofen and its combination with ethanol
- Authors: Romanova O.L.1,2, Golubev A.M.1,2, Churilov A.A.2, Sundukov D.V.1, Kislov M.A.3, Ershov A.V.3
-
Affiliations:
- Peoples’ Friendship University of Russia
- Federal Research and Clinical Center of Intensive Care Medicine and Rehabilitology
- The First Sechenov Moscow State Medical University (Sechenov University)
- Issue: Vol 8, No 4 (2022)
- Pages: 15-24
- Section: Original study articles
- Submitted: 18.09.2021
- Accepted: 25.10.2022
- Published: 17.12.2022
- URL: https://for-medex.ru/jour/article/view/431
- DOI: https://doi.org/10.17816/fm431
- ID: 431
Cite item
Full Text
Abstract
BACKGROUND: The number of poisoning with a muscle relaxant baclofen has increased recently. The brain is one of the target organs in baclofen poisoning.
AIM: To identify and quantify cerebral cortex neuron damage in baclofen and baclofen ethanol poisoning.
MATERIAL AND METHODS: A histological study of rat cerebral cortex was performed. The controls (n = 5) received neither baclofen nor ethanol. Groups 1 and 3 received baclofen (85 mg/kg), whereas groups 2 and 4 received baclofen (85 mg/kg) and ethanol (7 ml/kg). Groups 1 and 3 were euthanized 4 h after the drug administration, whereas groups 2 and 4 were euthanized after 24 h. Histological sections were stained with hematoxylin and eosin and by the Nissl method and examined by light microscopy (×400). The number of damaged neurons was calculated. Statistical processing was performed by the nonparametric Mann–Whitney method.
RESULTS: Neurons with reversible and irreversible changes in the controls accounted for 13% and 9%, respectively. At 4 h after baclofen administration, neurons with reversible and irreversible changes accounted for 22% and 21%; 4 h after baclofen and ethanol administration, 24% and 29%; 24 h after baclofen administration, 25% and 37%, respectively. Baclofen and ethanol administration caused an increase in the share of neurons with reversible (27%) and irreversible (41%) changes. The differences between group 3 and the control group were significant, and the difference was significant when group 4 was compared with the control group and group 3.
CONCLUSION: Understanding the processes in the brain during baclofen and baclofen ethanol administration will allow the provision of medical care to this category of patients more effectively. The signs of brain neuron damage, along with the results of forensic chemical analysis, can be used to establish the immediate cause of death.
Full Text
ОБОСНОВАНИЕ
Отравления занимают одну из лидирующих позиций в структуре насильственной смерти [1–3]. За последнее время увеличилось число отравлений миорелаксантом баклофеном, который выпускается под торговыми названиями Баклосан и Лиорезал [4]. По химической структуре баклофен не имеет сходства с другими миорелаксантами и является бета-р-хлорфенильным производным одного из тормозных нейромедиаторов ― гамма-аминомасляной кислоты (ГАМК) [5–7].
На сегодняшний день механизм действия баклофена не выяснен до конца [7, 8]. Известно, что он оказывает угнетающее действие на моносинаптические и полисинаптические рефлексы, снижает возбудимость гамма-мотонейронов, чем и обусловливается миорелаксирующее действие этого препарата [5].
Баклофен оказывает угнетающее действие на рефлекторные коллатерали, объединяющие альфа-1-волокна миофибрилл и альфа-мотонейроны эфферентного отдела гамма-петли, что приводит к инактивации мышечных волокон. Препарат не влияет на механизмы нейромышечной передачи. Он активирует ГАМКВ-рецепторы, снижая при этом высвобождение глутамата и аспартата, от действия которых зависит возникновение спазма [9–11].
Баклофен доступен в пероральной и интратекальной форме. Пероральный баклофен показан пациентам с рассеянным склерозом при выраженной мышечной спастичности, при заболеваниях головного и спинного мозга (включая опухоли, инфекционные заболевания, травмы), при менингите и острых нарушениях мозгового крово-обращения. Доказана также эффективность этого препарата при алкоголизме [12, 13] и детском церебральном параличе [14–16]. Подоболочечное введение баклофена показано при повреждении головного и спинного мозга, а также неэффективности и непереносимости пероральных миорелаксантов [17].
При передозировке баклофеном отмечаются рвота, сонливость, спутанность сознания, нарушение походки, головокружение, астения и сухость во рту. В отдельных случаях возможны задержка мочи, констипация (запор) или диарея, резкое снижение артериального давления, эйфория или апатия, депрессия, парестезии, миастения, миалгия, атаксия, тремор, нистагм, парез аккомодации, возникновение галлюцинаций, дизурия, энурез, снижение судорожного порога, судороги, мидриаз. Иногда при терапии баклофеном отмечают возрастание массы тела. При длительном применении баклофен оказывает гепатотоксическое действие [4–6]. В случае резкого прекращения терапии препаратом возникает синдром отмены [18–20].
При значительном превышении дозы баклофена развиваются острые отравления, которые могут иметь летальный исход [21–23]. Чаще интоксикации этим препаратом отмечают среди детей и подростков [24–26]. Например, за период с 2009 по 2013 г., по данным областного токсикологического центра, у лиц возрастной группы от 15 до 17 лет доля таких отравлений от общего числа лекарственных отравлений возросла с 2,2 до 6,6% [25].
Острые отравления баклофеном сопровождаются бессонницей, потерей сознания, комой [27, 28], нарушением дыхания, появлением галлюцинаций и тахиаритмий [29]. Отмечаются тошнота, рвота, гиперсаливация, нарушение аккомодации, потеря корнеального рефлекса, мышечная гипотония; возможно появление клонических судорог [30, 31], гипорефлексии, арефлексии, брадикардии; регистрируются также периферическая вазодилатация, тревожность [32, 33]. Специфического антидота при острых отравлениях баклофеном не существует.
Баклофен обладает выраженным психоактивным эффектом, что обусловливает его популярность среди наркозависимых лиц [8, 9]. Зависимость от баклофена развивается достаточно быстро. Наркотическое опьянение обычно сопровождается сильной сухостью во рту, тошнотой, рвотой, зрительными и слуховыми галлюцинациями, сонливостью, головокружением, апатией, тремором рук, нарушенной координацией движений, мидриазом и невнятной речью [21–23].
При поступлении пациентов с подозрением на отравление баклофеном необходима дифференциальная диагностика с другими отравлениями с целью обеспечения адекватных реабилитационных мероприятий. Глубокое понимание механизмов процессов, происходящих в организме на разных этапах отравления баклофеном, позволяет оказывать своевременную помощь этой категории пациентов. В случае летального исхода требуется обосновать непосредственную причину смерти [23]. Обязательным в таком случае является проведение химико-токсикологического исследования [8, 9].
Одним из органов-мишеней при отравлении баклофеном является мозг. Показано, что этот препарат накапливается в ткани мозга и оказывает прямое нейротоксическое действие [34]. При терапии баклофеном возможно развитие энцефалопатии, что подтверждено в эксперименте на крысах (доза баклофена 116 мг/кг). Диагностику энцефалопатии проводили с применением электроэнцефалографии (ЭЭГ), на которой наблюдали трёхфазные острые волны, эпилептический статус и изоэлектрические сигналы [35].
В литературе описан случай острой интоксикации баклофеном, приведший к возникновению глубокой комы. При этом в первые сутки на ЭЭГ отмечали наличие феномена «вспышка-подавление», что является одним из признаков умирания головного мозга. Позже на ЭЭГ отмечали положительную динамику изменений и регресс неврологической симптоматики. Авторы сделали вывод, что феномен «вспышка-подавление», который регистрировался на ЭЭГ, при проведении адекватного лечения имеет обратимый характер [36].
Число работ, посвящённых морфологическим исследованиям внутренних органов при отравлении баклофеном, относительно невелико и представлено единичными публикациями [7]. Гистологические исследования мозга при отравлении баклофеном ранее не проводились.
Цель исследования ― выявление и количественная оценка гистоморфологических изменений в коре головного мозга при отравлении баклофеном и его комбинацией с этанолом.
МАТЕРИАЛ И МЕТОДЫ
Дизайн исследования
Проведено экспериментальное исследование. Длительность эксперимента ― одни сутки.
Условия проведения
Исследование проводили на базе Научно-исследовательского института общей реаниматологии (НИИ ОР) федерального государственного научного учреждения «Федеральный научно-клинический центр реаниматологии и реабилитологии» Министерства науки и высшего образования Российской Федерации и федерального государственного автономного образовательного учреждения высшего образования «Российский университет дружбы народов» Министерства науки и высшего образования Российской Федерации.
Исследование проведено в период с 16 апреля 2021 г. по 17 апреля 2021 г.
Изучаемые популяции
Эксперимент проводили на крысах-самцах линии Wistar массой 290–350 г и возрастом 20 нед.
Методы
Баклофен и его комбинацию с этанолом вводили крысам под общим наркозом через желудочный зонд.
Выделили следующие группы животных:
1) Контроль (n=5): животные, которые получали изотонический раствор NaCl из расчёта 10 мл/кг, но не получали ни этанола, ни баклофена;
2) Баклофен (n=5): животные, получавшие баклофен в дозе 85 мг/кг в изотоническом растворе NaCl; продолжительность эксперимента 4 ч;
3) Баклофен и этанол (n=5): животные, получавшие баклофен в дозе 85 мг/кг в растворе 40% этанола из расчёта 7 мл/кг; продолжительность эксперимента 4 ч;
4) Баклофен (n=5): животные, получавшие баклофен в дозе 85 мг/кг в изотоническом растворе NaCl; продолжительность эксперимента 24 ч;
5) Баклофен и этанол (n=5): животные, получавшие баклофен в дозе 85 мг/кг в растворе 40% этанола из расчёта 7 мл/кг; продолжительность эксперимента 24 ч.
После введения препаратов крыс выводили из наркоза и оставляли в виварии в условиях свободного доступа к воде, но без пищи. Через 4 и 24 ч животных выводили из эксперимента путём передозировки наркоза.
Мозг фиксировали в 10% нейтральном формалине и заливали в парафин по общепринятой методике. Изготавливали гистологические срезы толщиной 5 мкм, которые наносили на предметные стёкла и окрашивали стандартно гематоксилином и эозином, а также по Нисслю. Далее препараты исследовали методом световой микроскопии на микроскопе Nikon Eclipse E-400 с видеосистемой на основе камеры Watec 221S (Япония) при увеличении 400 крат.
Исследовали 6 слоёв коры головного мозга. Регистрировали обратимые (децентрализация ядер и ядрышек, острое набухание) и необратимые (кариолизис, клетки-тени, нейронофагия, тёмные нейроны, тяжёлые изменения) изменения нейронов.
Статистический анализ
Статистическую обработку результатов исследования осуществляли с использованием программ Мicrosoft Excel, Statistica 12.0 на персональном компьютере Аcer.
Системный статистический анализ результатов лабораторных исследований был проведён в несколько этапов. На первом этапе по данным о характере распределения и дисперсиям подбирали приемлемые методы параметрического или непараметрического анализа результатов к полученным количественным данным и определяли основные статистические характеристики изучаемых параметров (средняя, медиана, квартили, дисперсия, стандартное отклонение, стандартная ошибка). Затем проводили тест на нормальность распределения (W-критерий Шапиро-Уилка). При уровне статистической значимости менее 0,05 распределение оценивали как отличающееся от нормального.
Анализ распределения количественных признаков и небольшой объём выборки показали целесообразность использования непараметрических методов статистической обработки данных, поэтому на втором этапе исследования различия между группами определяли с помощью критерия Манна–Уитни.
Для категориальных переменных строили таблицы сопряжённости и применяли Хи-квадрат (c2). При частоте менее 10 использовали c2 с поправкой Йейтса на непрерывность. При ожидаемой частоте менее 5 дополнительно использовали двусторонний точный критерий Фишера.
Критический уровень значимости статистических гипотез в данном исследовании принимали равным 0,05.
Этическая экспертиза
Содержание животных и работа с ними проводились в соответствии с Приказом Минздрава СССР № 755 от 12.08.1977 и Европейской конвенцией о защите позвоночных животных, используемых для экспериментов или в иных научных целях (Страсбург, 18.03.1986).
Протокол исследования был рассмотрен и одобрен локальным этическим комитетом ФГБНУ ФНКЦ РР (протокол № 1/21/4 от 17.03.2021).
РЕЗУЛЬТАТЫ
Эксперимент проводили на 25 крысах-самцах линии Wistar массой 290–350 г и возрастом 20 нед, распределённых на 5 групп по 5 животных в каждой.
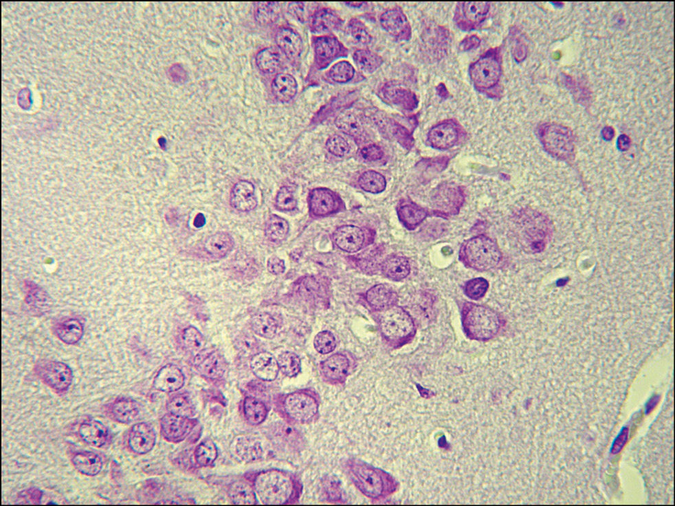
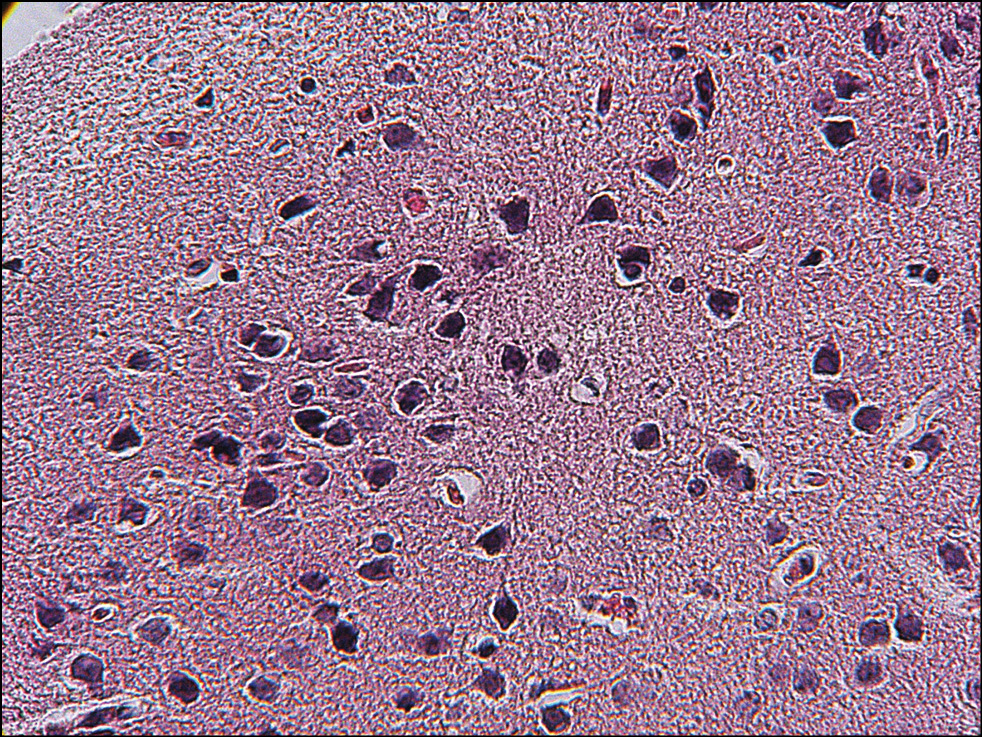
В контрольной группе содержание нейронов с обратимыми изменениями составило 13%, с необратимыми изменениями ― 9%. При введении баклофена через 4 ч обратимые изменения составили 22%, а необратимые ― 21%. В эти же сроки совместное введение баклофена и этанола приводило к возрастанию как обратимых (24%), так и необратимых (29%) изменений нейронов. Через 24 ч при введении баклофена доля обратимых изменений нейронов составила 25%, а необратимых ― 37%. При совместном введении баклофена и этанола возрастало содержание нейронов как с обратимыми (27%), так и необратимыми (41%) изменениями. Результаты статистической обработки свидетельствуют о достоверных изменениях через 4 ч по отношению к контролю, а через 24 ч статистически значимые различия регистрируются как по отношению к группе контроля, так и к результатам, полученным через 4 ч (рис. 1–4).
Рис. 1. Баклофен, 24 ч. Третий слой коры головного мозга: тигролиз вещества Ниссля. Окраска по Нисслю, ×400. / Fig. 1. Baclofen, 24 hours. The third layer of the cerebral cortex: tigrolysis of Nissl substance. Color according to Nissl, ×400.
Рис. 2. Баклофен, 24 ч. Четвёртый слой коры головного мозга: децентрализация ядер и ядрышек, клетки-тени, тяжёлые изменения. Окраска гематоксилином-эозином, ×400. / Fig. 2. Baclofen, 24 hours. The fourth layer of the cerebral cortex: decentralization of nuclei and nucleoli, shadow cells, severe changes. Hematoxylin-eosin staining, ×400.
Рис. 3. Баклофен, 24 ч. Пятый слой коры головного мозга: тёмные нейроны. Окраска гематоксилином-эозином, ×400. / Fig. 3. Baclofen, 24 hours. The fifth layer of the cerebral cortex: dark neurons. Hematoxylin-eosin staining, ×400.
Рис. 4. Баклофен + алкоголь, 24 ч. Второй слой коры головного мозга: преобладание тёмных нейронов. Окраска гематоксилином-эозином, ×400. / Fig. 4. Baclofen + alcohol, 24 hours. The second layer of the cerebral cortex: prevailing of dark neurons. Hematoxylin-eosin staining, ×400.
ОБСУЖДЕНИЕ
Изучение морфологических и функциональных нарушений, возникающих в центральной нервной системе при критических состояниях, является одной из наиболее значимых проблем анестезиологии и реаниматологии [37]. В настоящее время подробно изучены патологические изменения в коре головного мозга при отравлении этиловым спиртом, большинство из которых связаны с нарушениями гемодинамики. Такие циркуляторные расстройства в головном мозге, вызывающие морфологические изменения нейронов, наблюдают при любом смертельном отравлении. Причинами подобных изменений нейронов могут являться различные токсические, гипоксические и инфекционные воздействия.
В ходе проведённого нами эксперимента через 4 и 24 ч после введения баклофена наблюдали возрастание доли нейронов с обратимыми изменениями по сравнению с группой контроля. При совместном введении баклофена и этанола через 4 и 24 ч увеличивалась доля нейронов с обратимыми изменениями, при этом к 24 ч также значительно возрастала доля нейронов с необратимыми изменениями.
Обратимые изменения нейронов, выявленные нами, включали острое набухание нейронов, децентрализацию ядер и ядрышек. Острое набухание нейронов характеризуется увеличением их размеров и частичным растворением тигроида. Ядро клетки при этом располагается эксцентрично и может становиться гиперхромным. Ещё одним выявленным во всех группах повреждением является децентрализация ядер и ядрышек ядер.
Необратимые изменения включали появление «тёмных» нейронов, кариолизис, появление клеток-теней, нейронофагию, сателлитоз и тяжёлые изменения нейронов.
Появление «тёмных нейронов» ― неспецифическая реакция нервной ткани, отражающая их функциональное состояние. Усугубление и длительное существование такого состояния может приводить к сморщиванию ядра и гибели клетки.
Тяжёлые изменения нервных клеток ― это грубые нарушения структуры всех компонентов клеток: растворение тигроида, набухание нейронов, нечёткость контуров нейронов, появление патологической зернистости и вакуолей в цитоплазме, деформация ядер, их пикноз или рексис, смещение и деформация ядрышка.
Все изменения, выявленные нами в коре головного мозга животных экспериментальных групп, являются следствием прямого нейротоксического эффекта баклофена [34], а также гипоксии, возникающей под воздействием этого препарата. Баклофен усиливает пресинаптическую блокаду нервных импульсов, берущих своё начало в спинном мозге, что приводит к угнетению их передачи. Снижается напряжение мышц, в том числе межрёберных [8, 9, 34]. Их чрезмерное расслабление может вызывать затруднение дыхания и приводить к развитию гипоксии. Особого внимания заслуживают эффекты от стимуляции ГАМКА-рецепторов на гладкую мускулатуру бронхов и на лёгкие. Известно, что агонисты ГАМКА-рецепторов вызывают сокращение гладкой мускулатуры бронхов и бронхиол, что сопровождается спазмом и затруднением дыхания [38, 39]. Хотя баклофен является селективным стимулятором ГАМКВ-рецепторов, в достаточно высоких дозах он может оказывать стимулирующее влияние на ГАМКА-рецепторы [5, 6], что также усугубляет развивающуюся гипоксию и вносит свой вклад в повреждение нейронов.
Ограничения исследования
Выявленные нами патологические изменения в нейронах головного мозга не являются специфичными и могут оцениваться только в совокупности с данными гистологического исследования других органов и результатами химико-токсикологического исследования.
ЗАКЛЮЧЕНИЕ
Таким образом, в случаях острого отравления баклофеном и его сочетанием с этанолом выявляются признаки острых повреждений нейронов головного мозга. Они характеризуются неспецифическими обратимыми и необратимыми повреждениями нейронов, численность которых возрастает через 24 ч после введения баклофена. Понимание процессов, происходящих в головном мозге при отравлении баклофеном и его комбинацией с этанолом, позволит наиболее эффективно оказывать помощь данной категории пострадавших.
Выявленные признаки повреждения нейронов головного мозга в совокупности с результатами судебно-химического анализа могут быть использованы в обосновании непосредственной причины смерти в таких случаях.
ДОПОЛНИТЕЛЬНО
Источник финансирования. Авторы заявляют об отсутствии внешнего финансирования при проведении исследования.
Конфликт интересов. Авторы декларируют отсутствие явных и потенциальных конфликтов интересов, связанных с публикацией настоящей статьи.
Вклад авторов. Авторы подтверждают соответствие своего авторства международным критериям ICMJE (все авторы внесли существенный вклад в разработку концепции, проведение исследования и подготовку статьи, прочли и одобрили финальную версию перед публикацией). Наибольший вклад распределён следующим образом: А.А. Чурилов, А.В. Ершов, О.Л. Романова ― сбор данных; О.Л. Романова, А.А. Чурилов, М.А. Кислов, А.М. Голубев, А.В. Ершов ― написание текста рукописи; А.М. Голубев, А.В. Ершов, М.А. Кислов, Д.В. Сундуков ― научное редактирование рукописи; О.Л. Романова, А.М. Голубев, А.А. Чурилов, Д.В. Сундуков, М.А. Кислов, А.В. Ершов ― рассмотрение и одобрение окончательного варианта рукописи.
ADDITIONAL INFORMATION
Funding source. The study had no sponsorship.
Competing interests. The authors declare that they have no competing interests.
Authors’ contribution. All of the authors read and approved the final version of the manuscript before publication, agreed to be responsible for all aspects of the work, implying proper examination and resolution of issues relating to the accuracy or integrity of any part of the work. A.A. Churilov, A.V. Ershov, O.L. Romanova ― data collection; O.L. Romanova, A.A. Churilov, M.A. Kislov, A.M. Golubev, A.V. Ershov ― writing the manuscript; A.M. Golubev, A.V. Ershov, M.A. Kislov, D.V. Sundukov ― critical revition of the manuscript for important intellectual content; O.L. Romanova, A.M. Golubev, A.A. Churilov, D.S. Sundukov, M.A. Kislov, A.V. Ershov ― review and approve the final version of the manuscript.
About the authors
Olga L. Romanova
Peoples’ Friendship University of Russia; Federal Research and Clinical Center of Intensive Care Medicine and Rehabilitology
Author for correspondence.
Email: olgpharm@yandex.ru
ORCID iD: 0000-0001-6356-9251
SPIN-code: 6727-9170
Cand. Sci. (Biol.)
Russian Federation, 8, Miklukho-Maklaya street, Moscow, 117198; MoscowArkady M. Golubev
Peoples’ Friendship University of Russia; Federal Research and Clinical Center of Intensive Care Medicine and Rehabilitology
Email: arkadygolubev@mail.ru
ORCID iD: 0000-0002-3165-0378
SPIN-code: 7890-2597
MD, Dr. Sci. (Med.)
Russian Federation, Moscow; MoscowAlexey A. Churilov
Federal Research and Clinical Center of Intensive Care Medicine and Rehabilitology
Email: sandro-knaz-him@mail.ru
ORCID iD: 0000-0003-1018-8257
SPIN-code: 8648-0654
Russian Federation, Moscow
Dmitriy V. Sundukov
Peoples’ Friendship University of Russia
Email: sundukov_dv@rudn.university
ORCID iD: 0000-0001-8173-8944
SPIN-code: 2968-7961
MD, Dr. Sci. (Med.)
Russian Federation, MoscowMaksim A. Kislov
The First Sechenov Moscow State Medical University (Sechenov University)
Email: smedik@gmail.com
ORCID iD: 0000-0002-9303-7640
SPIN-code: 3620-8930
MD, Dr. Sci. (Med.)
Russian Federation, MoscowAnton V. Ershov
The First Sechenov Moscow State Medical University (Sechenov University)
Email: salavatprof@mail.ru
ORCID iD: 0000-0001-5758-8552
SPIN-code: 2059-3248
MD, Dr. Sci. (Med.)
Russian Federation, MoscowReferences
- Livanov GA, Lodyagin AN, Razina AА, et al. Favorable outcome of severe acute Methadone poisoning (clinical case). General Reanimatology. 2018;14(5):25–31. (In Russ). doi: 10.15360/1813-9779-2018-5-25-31
- Romanova OL, Sudukov DV, Golubev MA, et al. Pathologic changes in the liver during acute exposure to clozapine and its combination with ethanol (experimental study). General Reanimatology. 2019;15(2):27–35. (In Russ). doi: 10.15360/1813-9779-2019-2-27-35
- Kuznetsov BV, Lodyagin AN, Batotsyrenov BV, et al. Features of clinical manifestation of acute methadone poisoning complicated by development of positional compression syndrome and systemic rhabdomyolysis. Toxicological Bulletin. 2015;(4):38–43. (In Russ).
- Mashkovsky MD. Medicinal products: Manual for doctors. 17th ed. Moscow: Novaya volna; 2019. Р. 73–74. (In Russ).
- Product Information Clofen. TGA eBusiness Services. Millers Point, Australia: Alphapharm Pty Limited. 7 June 2017. Retrieved 15 August 2017.
- Baclofen Monograph for Professionals. Drugs.com. American Society of Health-System Pharmacists. Retrieved 3 March 2019.
- Issa SY, Hafez EM, El-Banna AS, et al. Baclofen systemic toxicity: experimental histopathological and biochemical study. Hum Exp Toxicol. 2018;37(4):431–441. doi: 10.1177/0960327117712369
- Kampman KM. New medications for the treatment of cocaine dependence. Psychiatry (Edgmont). 2005;2(12):44–48.
- Froestl W. Chemistry and pharmacology of GABAB receptor ligands. Adv Pharmacology. 2010;58:19–62. doi: 10.1016/S1054-3589(10)58002-5
- Yogeeswari P, Ragavendran JV, Sriram D. An update on GABA analogs for CNS drug discovery. Recent Pat CNS Drug Discov. 2006;1(1):113–118. doi: 10.2174/157488906775245291
- Mezler M, Müller T, Raming K. Cloning and functional expression of GABA(B) receptors from Drosophila. Eur J Neurosci. 2001;13(3):477–486. doi: 10.1046/j.1460-9568.2001.01410.x
- Van den Brink W. Baclofen: a game changer in the treatment of alcohol dependence. Alcohol Alcohol. 2020;55(1):46–47. doi: 10.1093/alcalc/agz085
- Krupickij EM, Rybakova KV, Kiselev AS, et al. Efficacy and safety of baclofen in the treatment of alcohol dependence (double-blind randomized placebo-controlled pilot study). Zhurnal nevrologii i psikhiatrii im. S.S. Korsakova. 2015;115(6):53–62. (In Russ). doi: 10.17116/jnevro20151156153-62
- Schiess MC, Eldabe S, Konrad P, et al. Intrathecal baclofen for severe spasticity: longitudinal data from the product surveillance registry. Neuromodulation. 2020;23(7):996–1002. doi: 10.1111/ner.13097
- McLaughlin MJ, He Y, Brunstrom-Hernandez J, et al. Response in children with cerebral palsy. PM R. 2018;10(3):235–243. doi: 10.1016/j.pmrj.2017.08.441
- Navarrete-Opazo AA, Gonzalez W, Nahuelhual P. Effectiveness of oral baclofen in the treatment of spasticity in children and adolescents with cerebral palsy. Arch Phys Med Rehabil. 2016;97(4):604–618. doi: 10.1016/j.apmr.2015.08.417
- Furr-Stimming E, Boyle AM, Schiess MC. Spasticity and Intrathecal Baclofen. Semin Neurol. 2014;34(5):591–596. doi: 10.1055/s-0034-1396012
- Ostermann ME, Young B, Sibbald WJ, Nicole MW. Coma mimicking brain death following baclofen overdose. Intensive Care Med. 2000;26(8):1144–1146. doi: 10.1007/s001340051330
- Motta F, Antonello CE. Analysis of complications in 430 consecutive pediatric patients treated with intrathecal baclofen therapy: 14-year experience. J Neurosurg Pediatr. 2014;13(3):301–306. doi: 10.3171/2013.11.PEDS13253
- Defayette A, Perrello A, Brewer T, et al. Enteral baclofen withdrawal managed with intravenous dexmedetomidine: a case report. Am J Health Syst Pharm. 2020;77(5):352–355. doi: 10.1093/ajhp/zxz332
- Reynolds K, Kaufman R, Korenoski A, et al. Trends in gabapentin and baclofen exposures reported to U.S. poison centers. Clin Toxicol. 2019;58(7):763–772. doi: 10.1080/15563650.2019.1687902
- Charifou Y, Martinet O, Jabot J, et al. Baclofen intoxication cases in an intensive care unit. Anaesth Crit Care Pain Med. 2016;35(2):169–170. doi: 10.1016/j.accpm.2015.10.003
- Dukova OA, Pokrovskij AA, Melent’ev AB, et al. Lethal intoxication with baclofen. Sudebno-meditsinskaya ekspertiza. 2015;58(1):35–39. (In Russ). doi: 10.17116/sudmed201558135-39
- Smith R, Havens J, Walsh S. Gabapentin misuse, abuse and diversion: a systematic review. Addiction. 2016;111(7):1160–1174. doi: 10.1111/add.13324
- Tagirov AA, Larionov SS. Acute intentional poisoning with the drug Baclofen in adolescents. Uspekhi sovremennogo estestvoznaniya.2014;(6):94–94. (In Russ).
- De Marcellus C, le Bot S, Decleves X, et al. Report of severe accidental baclofen intoxication in a healthy 4-year-old boy and review of the literature. Arch Pediatr. 2019;26(8):475–478. doi: 10.1016/j.arcped.2019.10.003
- Weißhaar GF, Hoemberg M, Bender K, et al. Baclofen intoxication: a “fun drug” causing deep coma and nonconvulsive status epilepticus--a case report and review of the literature. Eur J Pediatr. 2012;171(10):1541–1547. doi: 10.1007/s00431-012-1780-y
- Ostermann ME, Young B, Sibbald WJ, Nicole MW. Coma mimicking brain death following baclofen overdose. Intensive Care Med. 2000;26(8):1144–1146. doi: 10.1007/s001340051330
- Roberge RJ, Martin TG, Hodgman M, et al. Supraventricular tachyarrhythmia associated with baclofen overdose. Clin Toxil. 1994;32(3):291–297. doi: 10.3109/15563659409017961
- Katyal R, Samkutty D, Muzammil SM, Saucedo S. Baclofen toxicity presenting as myoclonic status epilepticus. Neurol Clin Pract. 2019;9(6):516–518. doi: 10.1212/CPJ.0000000000000686
- Rolland B., Deheul S., Danel T., et al. A case of de novo seizures following a probable interaction of high-dose baclofen with alcohol. Alcohol Alcohol. 2012;47(5):577–580. doi: 10.1093/alcalc/ags076
- De Witte LD, Dekker D, Veraart J, et al. [Aggression and restlessness following baclofen overdose: the narrow line between intoxication and withdrawal symptoms]. Ned Tijdschr Geneeskd. 2016;160:A9604. (In Dutch).
- Wolf ME, Mosnaim AD. Baclofen-induced manic symptoms: case report and systematic review. Psychosomatics. 2017;58(1):94. doi: 10.1016/j.psym.2016.08.004
- Chartier M, Tannous S, Benturquia N, et al. Baclofen-induced neuro-respiratory toxicity in the rat: contribution of tolerance and characterization of withdrawal syndrome. Toxicol Sci. 2018;164(1):153–165. doi: 10.1093/toxsci/kfy073
- Chartier M, Malissin I, Tannous S, et al. Baclofen-induced encephalopathy in overdose ― Modeling of the electroencephalographic effect/concentration relationships and contribution of tolerance in the rat. Prog Neuropsychopharmacol Biol Psychiatry. 2018;86(30):131–139. doi: 10 .1016/j.pnpbp.2018.05.016
- Mikhaylov AY, Berezina IY, Potskhveriya MM, Sumsky LI. Electroencephalography showing dying brain in a patient with acute baclofen poisoning. Neotlozhnaya medicinskaya pomoshch’. Zhurnal im. N.V. Sklifosovskogo. 2017;6(4):371–375. (In Russ). doi: 10.23934/2223-9022-2017-6-4-371-375
- Bashirova AR, Sundukov DV, Babkina AS, et al. Morphometry of cortical neurons in acute clozapine and ethanol poisoning. General Reanimatology. 2020;16(6):19–30. (In Russ). doi: 10.15360/1813-9779-2020-6-19-30
- Chapman RW, Hey JA, Rizzo CA, Bolser DC. GABAB receptors in the lung. Trends Pharmacol Sci. 1993;14(1):26–29. doi: 10.1016/0165-6147(93)90110-6
- Mizuta K, Xu D, Pan Y, et al. GABAA receptors are expressed and facilitate relaxation in airway smooth muscle. Am J Physiol Lung Cell Mol Physiol. 2008;294(6):L1206–1216. doi: 10.1152/ajplung.00287.2007
Supplementary files








