Research result recording of forensic histological examination course in Russia
- Authors: Bogomolov D.V.1,2, Putintsev V.A.1,2, Sundukov D.V.3, Romanova O.L.2,3, Smirnov A.V.3, Dzhuvalyakov P.G.2
- 
							Affiliations: 
							- Russian Centre of Forensic Medical Expertise
- Research Institute of Human Morphology
- Peoples’ Friendship University of Russia
 
- Issue: Vol 7, No 3 (2021)
- Pages: 172-179
- Section: Case reports
- Submitted: 29.06.2021
- Accepted: 26.08.2021
- Published: 08.10.2021
- URL: https://for-medex.ru/jour/article/view/411
- DOI: https://doi.org/10.17816/fm411
- ID: 411
Cite item
Full Text
Abstract
Microscopy is the main research method during forensic histological examinations. Section images obtained using microscopy in the form of a mental image are stored in the memory of a forensic histologist. In addition, visual information is sketched, described, or recorded using photography and videography. Aims: This study aimed to identify recording microscopy result features in the case of forensic histological examination in Russia at present and its development prospects in the future. Research material included conclusions of an expert (specialist) of state forensic medical institutions in Russia. Methods used to study the material were as follows: comparative-historical analysis, microscopic, thanatogenetic analysis, microphotography, and histological section description. The authors analyzed two methods of recording of microscopy results in detail, which are frequently used in forensic histological examinations at present in Russia. The article reflects historical, legal, and forensic aspects, as well as some unresolved problems of recording information obtained during forensic histological research. The authors also express their opinion about the use of computer vision of histological section microscopy in the near future, as a supplement but not the opposite of biological vision.
Full Text
ВВЕДЕНИЕ
В соответствии со статьёй 9 Федерального закона № 73 от 31 мая 2001 года «О государственной судебно-экспертной деятельности в Российской Федерации», заключение эксперта есть письменный документ, отражающий ход и результаты исследований, проведённых экспертом 1. Заключение эксперта представляется в письменном виде, где содержатся исследования и выводы по вопросам, поставленным перед экспертом лицом, ведущим производство по уголовному делу, или сторонами.
«Судебно-гистологическая экспертиза производится для установления наличия и оценки патологических изменений в органах и тканях, обусловленных насильственными воздействиями или заболеваниями, определения прижизненности и давности причинения телесных повреждений, а также решения иных вопросов, связанных с определением микроскопической структуры органов и тканей человека. Судебно-гистологическая экспертиза включает назначение специальных окрасок и дополнительных методов исследования с учётом поставленной цели; приготовление препаратов; микроскопическое исследование; протоколирование результатов исследования; формулирование судебно-гистологического диагноза и выводов; оформление процессуально предусмотренного документа «заключение эксперта». Судебно-гистологические экспертные исследования могут выполняться в процессе проведения экспертизы трупа и его частей» [1–3].
ПРОТОКОЛИРОВАНИЕ РЕЗУЛЬТАТОВ ИССЛЕДОВАНИЯ
Основной метод исследования при проведении судебно-гистологических экспертиз — микроскопия. Получаемые с помощью микрокопирования изображения препаратов в виде мысленного образа сохраняются в памяти судебно-медицинского гистолога, но это не единственный носитель отображения зрительной информации. Они также могут быть зарисованы, описаны или зафиксированы с применением фотографирования и видеосъёмки [4–8]. Например, разработанный порядок изготовления оригинального рисунка при микрокопировании:
1) выбрать информационную зону на объекте;
2) смотреть в окуляр микроскопа и одновременно наносить контуры рисунка на бумагу для рисования;
3) постепенно вносить в контур рисунка детали;
4) точно помечать рисунок: указать объект, кратность увеличения, детали, Ф.И.О. исполнителя.
Для наглядности представлен оригинальный рисунок (рис. 1), который был выполнен с препарата при микроскопии в процессе подготовки одним из авторов к изданию Атласа микроскопического строения тканей и органов [5].
Рис. 1. Миокард: 1 — волокно мышечного синцития сердца; 2 — вставочная пластинка; 3 — ядро мышечного синцития; 4 — саркоплазма; 5 — кровеносный сосуд. Окраска триоксигематеином. Увеличение: объектив 40, окуляр 15.
Fig. 1. Myocardium: 1 — fiber of the muscle syncytium of the heart; 2 — insert plate; 3 — the nucleus of the muscle syncytium; 4 — sarcoplasm; 5 — blood vessel. Staining with trioxyhematein. Magnification: lens 40, eyepiece 15.
В настоящее время для отображения полученных изображений при микроскопии в практике судебно-медицинского гистолога всё чаще применяется цифровая микрофотосъёмка 2. Для документирования цифровых микрофотографий при микроскопическом исследования в судебной медицине и патологической анатомии разработаны специальные методические рекомендации [9–11]. При оформлении заключения эксперта полученная зрительная информация при микроскопии документируется с помощью электронно-вычислительных машин в виде начертательного письма (письменная речь на национальном языке с использованием гистологической терминологии в текстовом формате) и «предметного» письма (изображения микрофотографий в виде рисунков). Текст с описанием располагается в исследовательской части заключения эксперта (пример 1), а микрофотографии как материалы, иллюстрирующие заключение [12] и являющиеся его составной частью, прилагаются в виде таблиц (ч. 3 ст. 204 Уголовно-процессуального кодекса РФ). Данные таблицы изготавливаются при помощи программного обеспечения на листе бумаги как единое целое, где размещаются изображения микрофотографий в виде рисунков с комментариями 3 (рис. 2).
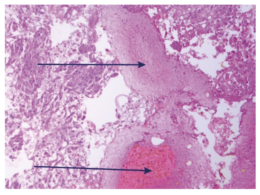
Мягкие ткани из области раны № 14, очаговое кровоизлияние, фрагменты синтетических волокон (указаны стрелками: кровоизлияние — красной, синтетическое волокно — желтой). Окраска гематоксилином и эозином. Ув. 100х.
Soft tissues from the wound area No. 14, focal hemorrhage, fragments of synthetic fibers (indicated by arrows: hemorrhage-red, synthetic fiber-yellow). Staining with hematoxylin and eosin. Magnification 100x.
Дефект ткани печени в области раневого канала, выполненный эритроцитами и фибриновыми массами (указаны стрелками). Окраска гематоксилином и эозином. Ув. 100х.
Liver tissue defect in the wound canal area made by RBCs and fibrin masses (indicated by arrows). Staining with hematoxylin and eosin. Magnification 100x.
Репродукции полученных цифровых изображений и их разметка были выполнены с помощью персонального компьютера Intel(R) Core(TM), лицензионного программного пакета для обработки векторных и растровых изображений CorelDRAW® X6 Version 16.4.1.1281, Corel PHOTO-PAINT™ X6 Version 16.4.1.1281 (цветовое пространство RGB), цветного лазерного принтера Xerox WorkCentre 7839.
Судебно-медицинский эксперт: _______________________ Ф.И.О.
Рис. 2b. К заключению эксперта № 00/00.
Fig. 2. To the № 00/00 expert’s conclusion
Пример 1
«Исследование гистологических препаратов проводили в видимом проходящем свете под микроскопом Leica DM4000 В LED с увеличением изображения от 50х до 400х. С помощью установленной на микроскоп Leica DM4000 B LED цифровой фотокамеры Leica DFC450 C и лицензионного программного обеспечения LAS Ver. 4.5 были изготовлены 24 микрофотографии, репродукции которых с соответствующей разметкой и пояснительными подписями приведены в таблицах к данному заключению эксперта.
Описание гистологических препаратов. МАРКИРОВКА: мягкие ткани из области раны № 14 (1 кусок, 2 среза). Срезы представлены жировой тканью: в ткани визуализируются очаговые кровоизлияния, состоящие из неизмененных или нечетко контурированных эритроцитов, клеток белой крови, в том числе единичных нейтрофилов; местами видны мелкие частицы бурого цвета, фрагменты синтетических волокон. Сосуды преимущественно малокровные, отмечается спазм артерий. Отек жировой ткани отсутствует. <…> ПЕЧЕНЬ (2 куска, 2 среза): малокровие портальных и центральных вен, капилляров. Фиброз, спазм артерий. В одном из срезов отмечается дефект ткани, выполненный гемолизированной кровью и отдельными гепатоцитами» [10].
В ходе судебно-гистологического исследования выявленные микроскопические изменения анализируются и систематизируются в судебно-гистологический диагноз по патогенетическому принципу, на русском языке с использованием терминов гистологической и патомофологической номенклатуры (пример 2). При недостатке зрительной информации по объективной или субъективной причине используется фактографическое оформление диагноза, при котором в систематизированной последовательности приводят обнаруженные в органах и тканях изменения (пример 3). В повреждениях органов и тканей травматического и нетравматического генеза отмечают характер и степень выраженности реактивных процессов, указывая преимущественную их локализацию [13, 14].
Пример 2
«Гистологический рисунок: ГОЛОВНОЙ МОЗГ (2). Кора. Преимущественно периваскулярный отек (слабовыраженный) в коре на фоне дистонии сосудов Артериосклероз. Ишемические изменения нейронов коры с сателлитозом. Местами острое набухание пирамидных клеток с кариолизом. Диффузный глиоз за счет олиго- и микроглии. ЛЕГКОЕ (2). Умеренно выраженная очаговая центроацинарная эмфизема чередуется с полями ателектаза. Резкое полнокровие сосудов микроциркуляции, стромальный и очаговый интраальвеолярный отек. Бронхи дистоничны, местами с фестончатыми контурами. В просвете их слущенный эпителий. Местами в альвеолах примесь свежих эритроцитов, а также катар и гемосидероз альвеолярных макрофагов. СЕРДЦЕ (4). Дистония сосудов микроциркуляции. Диффузный и мелкоочаговый кардиосклероз с тучноклеточным компонентом. Гипертрофия кардиомиоцитов очагово, накопление бурого пигмента в цитоплазме перинуклеарно. Очаги контрактурных повреждений кардиомиоцитов 2–3-й ст., значительные поля фрагментации. Мелкие ветви коронарных артерий с явлениями артериосклероза и умеренного диффузного интимального утолщения. ПЕЧЕНЬ (1). Гистоархитектоника сохранена. Строма портальных трактов скупо инфильтрирована лимфо- и макрофагальными клеточными элементами. Активация купферовских клеток. Неравномерное кровенаполнение с тенденцией к полнокровию. Неравномерно выраженная мелко- и средневакуольная жировая дистрофия. Поля гидропической дистрофии. ПОЧКА (1). Очаговое полнокровие сосудов, микроциркуляции коры и пирамид. Капсулы некоторых клубочков со следами первичной мочи. Отек интерстиция мозгового слоя очагово. Очаговая гиалиново-капельная дистрофия эпителия канальцев. НАДПОЧЕЧНИК (1). Полнокровие. Кора неравномерной толщины. Очагово экстракапсулярные дольки. Делипоидизация внутренней трети коры. МЯГКИЕ ТКАНИ ШЕИ (1). Мышечная и жировая ткань с отеком и полнокровием стромы. Пропитывающие кровоизлияния с примесью фоновых клеток белой крови. Мышечные волокна местами извиты, фрагментированы. Очагово жировые кисты. В ткани встречаются единичные нервные стволики. КОЖА (4). Эпидермис на определенном промежутке отсутствует, в краях значительно осаднен, представлен базофильным, базальным и шиповатым слоем. Под ним гомогенизированные слегка базофильные коллагеновые волокна. Волосяные фолликулы с вытягиванием и гипербазофилией эпителиоцитов. В подлежащей дерме и мышечной ткани мышечные волокна фрагментированы, между ними пропитывающее кровоизлияние из малоизмененных эритроцитов. СУДЕБНО-ГИСТОЛОГИЧЕСКИЙ ДИАГНОЗ: Прижизненная осадненная странгуляционная борозда. Острые кровоизлияния в мягкие ткани шеи. Диффузный глиоз коры головного мозга. Делипоидизация внутренней трети коры надпочечников. Диффузный кардиосклероз. Гипертрофия кардиомиоцитов. Артериосклероз. Очаги фрагментации кардиомиоцитов. Острые интраальвеолярные кровоизлияния. Дистелектазы. Умеренно выраженный отек легких. Начальные явления отека головного мозга. Очаговый липофусциноз и гиперплазия лейдиговых клеток, тестикул. Очаговый жировой гепатоз. Гидропическая дистрофия гепатоцитов» [10].
Пример 3
«Результаты исследования: АРТЕРИЯ СЕРДЦА. Циркулярная фиброзная бляшка с атероматозом, очаговым обызвествлением и оссификацией, стенозом просвета на 70%. Рядом фрагмент стенки предсердия, сердца с умеренным склерозом эндокарда, склерозом стромы и гипертрофией кардиомиоцитов. ЗАКЛЮЧЕНИЕ: Стенозирующий атерокальциноз артерии сердца (IV стадия). СЕРДЦЕ. В эпикарде коронарная артерия с эксцентричной фиброзной бляшкой со стенозом на 60%, с признаками свежей волны липоидоза. Мышечные волокна гипертрофированы, исчерченность сохранна, в цитоплазме глыбки бурого пигмента. Строма с диффузным склерозом, полнокровием сосудов, наличием внутрисосудистой агрегации эритроцитарных тромбов. Имеются очаговые разрастания волокнистой рубцовой ткани с гиалинозом. В одном из препаратов мышечные волокна гомогенизированы, с пекнотичными ядрами и без ядер, по периферии признаки лейкодиапедеза, очаговые скопления сегментоядерных лейкоцитов и лимфоцитов, паретическое расширение сосудов. ЗАКЛЮЧЕНИЕ: Постинфарктный кардиосклероз, повторный инфаркт миокарда, давностью 48–72 ч. ЛЕГКИЕ…» [10].
Нередко возникает вопрос, почему одни судебно-медицинские гистологи при оформлении заключения эксперта использую термин «Гистологический рисунок» или «Описание гистологических препаратов», а другие — «Результаты исследования» (см. примеры 1–3). На наш взгляд, термины «Гистологический рисунок» и «Описание гистологических препаратов» равнозначны, так как используются в случаях, когда документально отражены только выявленные микроскопические изменения (без гистологического диагноза), а «Результаты исследования» — когда отражено и то и другое [15–17].
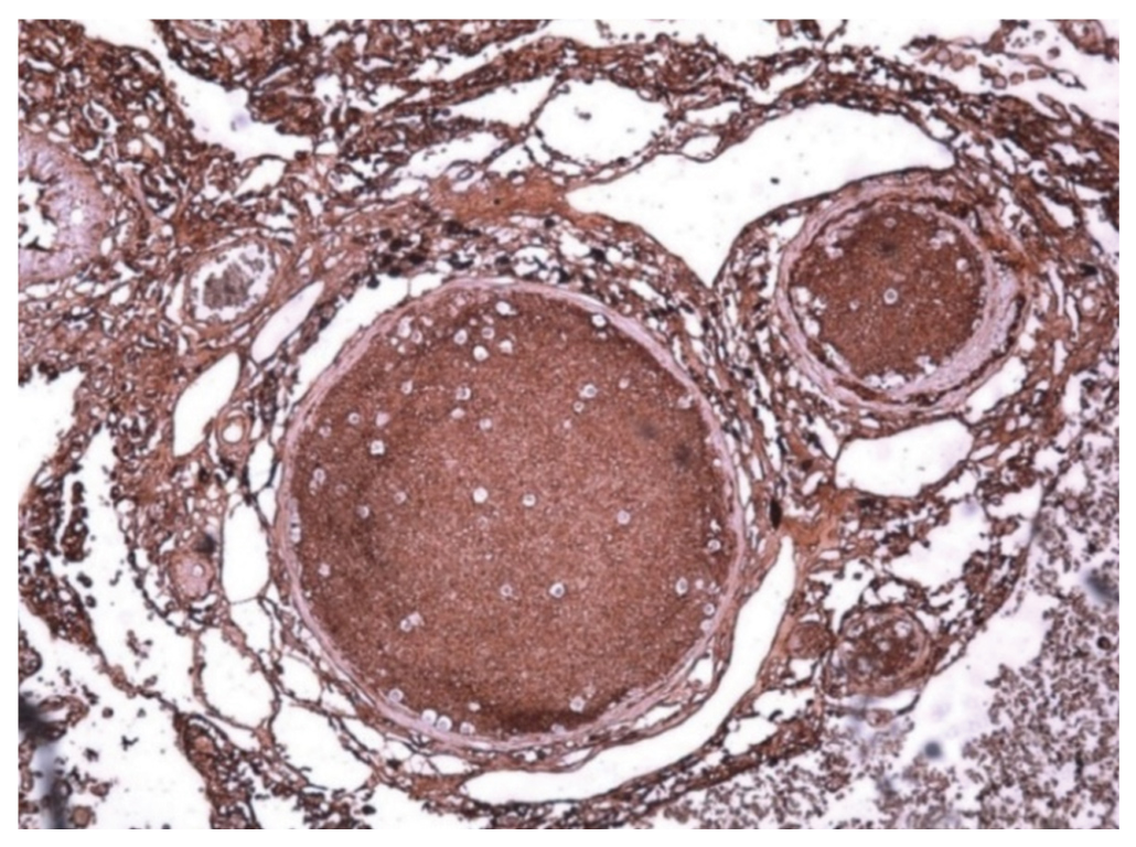
При производстве судебно-гистологических экспертиз полученные микрофотографии с информативной зоной (дискретная единица информации) по специальной разработанной медицинской технологии, экспертной методике или алгоритму могут иметь доказательное значение, поэтому их необходимо представлять в приложении заключения как объективное документально зафиксированное доказательство [16, 17], что значительно облегчит решение спорных вопросов в дальнейшем судебном разбирательстве (рис. 3).
Рис. 3. Эмболия инородными массами сосудов лёгкого, шаровидные включения — мелкогранулированные инородные тела ММА-цемента, используемого в артропластике тазобедренного сустава). Иммуногистохимическое исследование на фибриноген. Ув. 100х.
Fig. 3. Embolism by foreign masses in the lung vessels, spherical inclusions — finely granulated foreign bodies of MMA-cement used in hip arthroplasty. IHC for fibrinogen. Magnification 100x.
Информация, заключённая в препарате, может быть описана различными знаковыми системами — как словесными, так и графическими. Перевод из одной в другую представляет значительную семиотическую проблему [18]: «Письмо возникло за несколько тысяч лет до нашей эры в результате упорного стремления людей к взаимному общению. Благодаря письму мы передаём знание будущему поколению. На первой ступени своего развития письмо было предметным. Люди пытались передавать свои мысли с помощью предметов. Позднее на смену предметному письму пришло начертательное, которое прошло три стадии развития: живописное (картинное), иероглифическое и, наконец, алфавитное, т. е. буквенное (существует и в наше время). В настоящее время кроме буквенного письма существует еще цифровое (в бухгалтерии, номера телефонов, шифровки и т. д.) и смешанное (точные науки — математика, информатика, физика, химия и т. д.). Необходимо также отметить стенографическое письмо 4, которое родилось из обычного письма на ранней стадии развития человеческой культуры в связи с возникшей у разных народов потребностью в краткой и быстрой записи и точном запечатлении устной речи. Наибольший расцвет стенография получила в Древней Греции и Риме. Автором древнеримской стенографии считается Тирон. Латинская стенография в честь ее автора называлась тироновыми нотами (нота — по-латыни «знак»)» [18], которых насчитывалось несколько тысяч. Современная стенография 5 значительно упрощена за счёт отдельных знаков для сочетаний букв и отказа от иератических знаков.
Остаётся еще и пиктографическое письмо 6, которое можно отнести рисуночному письму (татуировки, секты, неформальные организации). В настоящее время пиктограммы имеют узкоспециальную роль: например, дорожные знаки, значки-элементы графического интерфейса пользователя электронно-вычислительной машины (ЭВМ), электронных устройств и т. д., в отличие от привычного нам алфавитного письма, способного отображать многоуровневый характер естественного языка.
Письменная речь — это содержание документа и языковые средства его выражения. В случаях установления автора документа при криминалистическом исследовании рукописного текста анализу подвергается его смысловая и графическая составляющие [19]. В настоящее время с помощью программного обеспечения ЭВМ и цифрового принтера описание и микрофотографии при оформлении документов изображаются на бумаге в виде текстовых форматов и рисунков, которые условно можно отнести к предметному письму, что не исключает в случаях необходимости применения к нему традиционной автороведческой методики. У каждого судебно-медицинского гистолога помимо индивидуальности мышления со временем вырабатываются свой стиль и манера научного изложения полученной информации, на которое большое влияние оказывает научная школа.
Наряду с этим в гистологии возникло большое количество новых терминов, характеризующих структурную организацию клеток и тканей. Многие из них были так называемыми словами-гибридами, т. е. образованными на основе латинских и греческих корней, но с характерными языковыми особенностями ряда стран Европы. Некоторые систолические структуры получили названия только на национальных языках, что привело к образованию большого количества синонимов и к различной трактовке одних и тех же терминов. В связи с этим была разработана Международная гистологическая номенклатура LNH 7, которая включает 2846 латинских терминов [13]. Приоритет в её разработке был у отечественных учёных.
Кроме терминологии, для полноты семиотической системы современной гистопатологии необходимы ещё система связок и синтаксис [18, 20], без которых невозможна полноценная формализация этой области знания. В качестве логической базы для этой формализации может быть использована любая адекватная многозначная логика. Заключение эксперта как научно-практическое исследование «должно иметь логическую структуру и в обязательном порядке — логическую связь между выводами и описательной частью заключения» [21]. В практическом отношении при анализе судебно-гистологических материалов надлежит следовать алгоритму их описания с использованием LNH, а также грамматики национального языка описания [13, 22]. Желательно также иллюстрировать все морфологические значимые изменения с помощью цифровой фотосъёмки и гистостереометрии при необходимости, а судебно-гистологический диагноз необходимо строить по патогенетическому принципу с учётом импликативного принципа причинности [23].
«Наступивший век потребует существенного изменения методологической базы всех наук, в том числе медицинских, что связано с максимальным использованием возможностей математических подходов к решению многочисленных научных и практических задач» [24]. Одним из наиболее важных применений является обработка изображений в медицине — компьютерное зрение 8. В этих условиях важно сохранить традиционные описательные подходы и систематизацию многолетних наблюдений. Компьютерное зрение может быть использовано и как дополнение (но не обязательно противоположность) биологическому зрению. Мозг человека является неизмеримо более совершенной системой, чем машина, поэтому даже простейшие психологические действия человека являются для машины чрезвычайно сложными. В мышлении отдельного человека запрограммирован опыт предшествующих поколений, опыт современников и личный опыт, который систематически обогащается и обновляется. В этом отношении сама по себе программа любой кибернетической машины без воздействия на неё человека малоподвижна. Умственная деятельность человека непосредственно связана с речью, а осуществляется и совершенствуется в связи с его чувствами и волей [25].
ЗАКЛЮЧЕНИЕ
По мнению авторов, судебно-медицинская гистология, всё ещё не является дедуктивной системой, и поэтому проблема интерпретации гистологических описаний и графических изображений стоит по-прежнему остро, такое положение является временным, так как оптимальной в будущем будет дедуктивная система на основе естественного языка с соответствующей терминологией и синтаксисом.
ДОПОЛНИТЕЛЬНАЯ ИНФОРМАЦИЯ
Вклад авторов • Authors’ contributions
Д. В. Богомолов, В. А. Путинцев — сбор данных; Д. В. Богомолов, В. А. Путинцев, Д. В. Сундуков, О. Л. Романова, А. В. Смирнов, П. Г. Джуваляков — написание черновика рукописи; Д. В. Богомолов, В. А. Путинцев, Д. В. Сундуков, П. Г. Джуваляков — научная редакция рукописи, рассмотрение и одобрение окончательного варианта рукописи. Авторы подтверждают соответствие своего авторства международным критериям ICMJE (все авторы внесли существенный вклад в разработку концепции, проведение исследования и подготовку статьи, прочли и одобрили финальную версию перед публикацией).
D. V. Bogomolov, V. A. Putintsev — data collection; D. V. Bogomolov, V. A. Putintsev, D. V. Sundukov, O. L. Romanova, A. V. Smirnov, P. G. Dzhuvalyakov — draftig of the manuscript; D. V. Bogomolov, V. A. Putintsev, D. V. Sundukov and P. G. Dzhuvalyakov — critical manuscript revision of important intellectual content, review, and final manuscript approval. Thereby, all authors made a substantial contribution to the conception of the work, acquisition, analysis, interpretation of data for the work, drafting and revising the work, final approval of the version to be published and agree to be accountable for all aspects of the work.
Источник финансирования • Funding source
Авторы заявляют об отсутствии внешнего финансирования при проведении исследования.
This study was not supported by any external sources of funding.
Конфликт интересов • Competing interests
Авторы декларируют отсутствие явных и потенциальных конфликтов интересов, связанных с публикацией настоящей статьи.
The authors declare that they have no competing interests.
1 The report of the forensic (заключение эксперта судебно-медицинской экспертизы) — аналогичный правовой документ, который оформляется экспертами за рубежом.
2 Цифровая микросъёмка — получение микрофотографии с помощью микроскопа, соединённого с фотоаппаратом, или с помощью специальных микрофотоустановок, где фотохимические процессы изображения заменены электромагнитными.
3 «Заключение эксперта» является правовым документом и создаётся на бумажном носителе, а его вариант на электронном носителе в настоящее время не имеет законной силы в судопроизводстве РФ.
4 Стенография (графодромия) — скоростное письмо особыми знаками, настолько краткими, что ими можно записать живую речь.
5 Профессия стенографа упразднена и выведена из реестра профессий Российской Федерации в 2018 году.
6 Пиктограмма — знак, отображающий важнейшие узнаваемые черты объекта, предмета или явления, на которые он указывает, чаще всего в схематическом виде.
7 LNH (Leningradensia Nomina Histologica) — официальная международная гистологическая номенклатура, принятая в 1970 г. в Ленинграде на IX Международном конгрессе анатомов.
8 Компьютерное зрение (техническое зрение) — теория и технология создания машин, которые могут производить обнаружение, отслеживание и классификацию объектов.
About the authors
Dmitriy V. Bogomolov
Russian Centre of Forensic Medical Expertise; Research Institute of Human Morphology
														Email: usicc@yandex.ru
				                	ORCID iD: 0000-0002-9111-8623
				                	SPIN-code: 2777-2674
																		                								
MD, Dr. Sci. (Med.)
Russian Federation, 8, Miklukho-Maklaya street, Moscow, 117198; MoscowVladimir A. Putintsev
Russian Centre of Forensic Medical Expertise; Research Institute of Human Morphology
														Email: pv963@rambler.ru
				                	ORCID iD: 0000-0003-0948-0496
				                	SPIN-code: 9419-5554
																		                								
MD, Dr. Sci. (Med.)
Russian Federation, 8, Miklukho-Maklaya street, Moscow, 117198; MoscowDmitriy V. Sundukov
Peoples’ Friendship University of Russia
														Email: sundukov_dv@rudn.university
				                	ORCID iD: 0000-0001-8173-8944
				                	SPIN-code: 2968-7961
																		                								
MD, Dr. Sci. (Med.)
Russian Federation, 8, Miklukho-Maklaya street, Moscow, 117198Olga L. Romanova
Research Institute of Human Morphology; Peoples’ Friendship University of Russia
							Author for correspondence.
							Email: olgpharm@yandex.ru
				                	ORCID iD: 0000-0001-6356-9251
				                	SPIN-code: 6727-9170
																		                								
Cand. Sci. (Biol.)
Russian Federation, 8, Miklukho-Maklaya street, Moscow, 117198; MoscowAscold V. Smirnov
Peoples’ Friendship University of Russia
														Email: ascold20@yandex.ru
				                	ORCID iD: 0000-0001-6017-5310
				                	SPIN-code: 8821-7740
																		                												                	Russian Federation, 							8, Miklukho-Maklaya street, Moscow, 117198						
Pavel G. Dzhuvalyakov
Research Institute of Human Morphology
														Email: fred197490@gmail.com
				                	ORCID iD: 0000-0003-1709-2418
				                	SPIN-code: 5925-7780
																		                								
MD, Dr. Sci. (Med.)
Russian Federation, 8, Miklukho-Maklaya street, Moscow, 117198References
- Kasyaniv MI. Essays on forensic histology. Moscow: Medgiz; 1954. Р. 11–26. (In Russ).
- Vitter VI, Kungurova VV, Khasanyanova SV, Pozdeev AR. Forensic histology: a textbook for universities, 2nd ed. Moscow: Yurayt; 2020. 303 p. (In Russ).
- Order of the Ministry of Health and Social Development of the Russian Federation (Ministry of Health and Social Development of the Russian Federation) No. 346n dated 12.05.2010 «On approval of the Procedure for organizing and conducting forensic medical examinations in state forensic expert institutions of the Russian Federation». (In Russ). Available from: https://www.garant.ru/products/ipo/prime/doc/12077987/
- Brehme S, Meincke I. Wissensspeicher Biologie. Berlin: Volk und Wissen Verlang CmbH; 2003. 21 р. (In German).
- Eliseev VG, Afanasyev YuI, Kotovsky EF. Atlas of the microscopic structure of tissues and organs (for practical classes of students in histology). Moscow: Medgiz; 1961. 199 p. (In Russ).
- Permyakov AV, Viter VI, Nevolin NI. Forensic histology. A guide for doctors. (Second edition, revised and expanded). Izhevsk-Yekaterinburg: Expertise; 2003. 214 p. (In Russ).
- Atlas of Histology. Ed. by W. Welsh: trans. from German ed. by V.V. Banin. Moscow: GEOTAR-Media; 2011. 264 p. (In Russ).
- Yagmurov OD, Popov VL, Mosoyan AS. Atlas of forensic histology: a textbook for students. Saint Petersburg: Law Center Press; 2019. 224 p. (In Russ).
- Bogomolov DV, Putintsev VA, Kireeva EA. Photo documentation of digital images during forensic histological studies. Voenno-meditsinskkiy zhurnal. 2012;333(4):60–61. (In Russ).
- Putintsev VA, Bogomolov DV, Fedulova MV, Kulbitsky BN. The procedure for documenting digital images in forensic medical histology. Sudebno-meditsinskaya ekspertiza. 2012; 55(6):30–33. (In Russ).
- Putintsev VA, Bogomolov DV, Fedulova MV, et al. Histological studies in forensic medicine and pathological anatomy and their electronic documentation: Methodological recommendations. Moscow: RIO FSBI RCSE; 2012. 14 p. (In Russ).
- Kolkutin VV, Fedulova MV, Kovalev AV, Pinchuk PV. The procedure for processing expert documents in state forensic expert institutions of the Ministry of Defense of the Russian Federation: methodological guidelines. Moscow: RIO FSBI RCSE; 2007. 36 р. (In Russ).
- International histological nomenclature (Nomina histologica). Ed. by Yu.N. Kopaev. Moscow: Meditsina; 1973. 96 p. (In Russ).
- Myadelets OD, Kichigina TN, Myadelets NYa. Dictionary of terms on general histology, cytology and embryology: stipend. Vitebsk: VSMU; 2007. 120 p. (In Russ).
- Khokhlov VV, Andreikin AB. Forensic medicine: textbook and practical course for universities. 4th revised and updated. Moscow: Yurayt; 2020. 462 p. (In Russ).
- Putintsev VA. Forensic medical assessment of the dynamics of histomorphological changes in internal organs in critical and terminal conditions [dissertation]. Moscow; 2019. 227 p. (In Russ).
- Putintsev VA, Lozovator AL, Bogomolov DV. A documented informative zone (a discrete unit of information) during microscopic examination in forensic medicine and its evidentiary value in court. Meditsinskaya ehkspertiza i pravo. 2013;(2):47–51. (In Russ).
- Stepanov YuS. Semiotics. Moscow: Academy of Sciences of the USSR. Institute of Linguistics. Nauka Publishing House; 1971. 146 p. (In Russ).
- Ishchenko EP. Criminalistics: textbook. 3rd revised and updated. Moscow: Kontrakt Law Firm. Volters Kluwer; 2011. 512 p. (In Russ).
- Maurice K, Ernest N. Introduction to logic and scientific method. Trans. from the English by P.S. Kusliya. Moscow; Chelyabinsk: Socium; 2015. 519 p. (In Russ).
- Popov VP, Kovalev AV, Yamgurov OD. Forensic medicine: textbook for medical universities. Saint Petersburg: Law Center; 2016. 512 p. (In Russ).
- Bogomolov DV. Methodological problems of modern thanatology. In: All-Russian meeting of forensic medical experts on the application of rules and medical criteria for determining the severity of harm caused to human health: the collection of materials. Moscow; 2008. Р. 65–68. (In Russ).
- Bogomolov DV, Bogomolova IN. Algorithm of forensic histological examination. Methodological recommendations. Moscow: RIO FSBI RCSME; 2010. 14 p. (In Russ).
- Avtandilov GG. Fundamentals of quantitative pathological anatomy: a textbook. Moscow: Meditsina; 2002. 240 p. (In Russ).
- Lukov GD, Platonov KK. Psychology. Moscow: Military Publishing House; 1964. 345 p. (In Russ).
Supplementary files
 
				
			 
					 
						 
						 
									

 
  
  
  
  
  Email this article
			Email this article 






