Questions of forensic science and radiology on live births and stillbirths: cases from expert practice
- Authors: Klevno V.A.1, Chumakova Y.V.1,2, Dubrova S.E.1, Muranova N.S.2, Popova O.M.2
-
Affiliations:
- Moscow Regional Research and Clinical Institute
- Forensic Medical Examination Bureau
- Issue: Vol 7, No 2 (2021)
- Pages: 101-107
- Section: Case reports
- Submitted: 15.01.2021
- Accepted: 19.02.2021
- Published: 02.07.2021
- URL: https://for-medex.ru/jour/article/view/364
- DOI: https://doi.org/10.17816/fm364
- ID: 364
Cite item
Full Text
Abstract
Background: The article discusses the criteria, forensic and radiological “life tests,” difficulties in assessing the results of live births and stillbirths. It also dives into the history of the development of X-ray, including pre-sectional examination of newborn corpses. Two cases of newborn corpses that were subjected to pre-sectional computed tomography (CT) are presented. Case presentation: Case no. 1: Examination of a newborn corpse found in a cardboard box on the unheated terrace of a private house after a secret self-birth. Case no. 2: Examination of the corpse of an infant with massive injuries and the division of the body into two fragments, found on a sorting tape in the premises of a waste sorting shop. Conclusion: Postmortem CT of newborn corpses was an evidence-based and visual addition to the traditional forensic medical study. This helped determine the maturity of fetuses even at the pre-dissection stage to identify injuries and anatomical variants of the structure, to refute the presence of congenital deformities, and to establish and record evidence-based CT signs of live birth and stillbirth.
Full Text
Значимость для судебной медицины
Установление признаков живорожденности и мертворожденности с помощью метода компьютерной томографии в судебно-медицинской практике на новом диагностическом витке.
ОБОСНОВАНИЕ
Актуальность
При исследовании трупов новорожденных судебно-медицинский эксперт в первую очередь должен установить, родился ли младенец живым или мертвым.
Живорожденным считается жизнеспособный плод, совершивший хотя бы один вдох. С первым вдохом и криком расправляются легкие и происходит заглатывание воздуха. Критерием мертворожденности является отсутствие самостоятельного внеутробного дыхания у жизнеспособного плода.
В танатологической практике на протяжении столетий для определения живорожденности применяют так называемые жизненные пробы (гидростатические плавательные легочная и желудочно-кишечная). Галеном впервые было доказано уменьшение удельного веса легких у младенцев вследствие поступления воздуха в альвеолы с первыми дыхательными движениями. Полагают, что физик Райгер (Rayger) в 1670 г. впервые предложил испытывать легкие на плавание для решения вопроса о живорожденности. Но только Шрейер (Schreyer, Саксония) в 1681 г. стал применять эту пробу в судебно-медицинских целях, выясняя, насколько хорошо держатся на воде различные части легких и какие опускаются на дно сосуда. Бреслау (Breslau) в 1866 г. предложил подобно легким испытывать на плавание и желудочно-кишечный тракт, по степени наполнения и распространения воздуха в котором можно приблизительно судить о продолжительности жизни плода.
Экспертная оценка результатов жизненных проб сложна и не всегда однозначна. Данные пробы недостоверны при исследовании гнилостно измененных трупов новорожденных, когда из-за гнилостных газов и дышавшие, и не дышавшие легкие будут удерживаться на поверхности воды. Частично могут плавать легкие мертворожденного, которому проводилась искусственная вентиляция легких, а также замерзшие и не полностью оттаявшие легкие как живо-, так и мертворожденного. Отрицательный результат, помимо случаев мертворождения, может наблюдаться при вторичном ателектазе, когда спадаются легкие младенца, дышавшего, но жившего недолго.
С начала ХХ в. к решению вопроса о живо-и мертворожденности активно подключились врачи-рентгенологи. Если ребенок дышал, то уже при первом вдохе в легкие нагнетается воздух, и на рентгенограмме грудной клетки определяются светлые легочные поля, на фоне которых дифференцируются срединная тень и диафрагма. У нормального ребенка с первым же вдохом атмосферный воздух просасывается также в пищевод и желудок, откуда он проникает в кишечник. Эти факты были положены в обоснование рентгенологической жизненной пробы, предложенной Bordas в 1906 г. и впервые продемонстрированной на рентгенологическом конгрессе в 1922 г. [1, 2].
Неоценимый вклад в развитие рентгенологического исследования трупов новорожденных внес выдающийся советский рентгенолог профессор Яков Григорьевич Диллон (1873–1951). В 1937 г. в должности заведующего кафедрой рентгенологии (с 1934 г.) на базе Московского областного научно-исследовательского института (МОНИКИ) он предложил рентгенологическую пробу, позволяющую выявить не обнаруживаемое с помощью желудочно-кишечной плавательной пробы Бреслау минимальное количество воздуха в пищеварительном тракте, а также незначительное количество воздуха в трахеобронхиальном дереве и ткани легкого при исследовании изолированных легких. Проба получила имя ученого.
Уникальное свидетельство плотного сотрудничества рентгенологического отдела МОНИКИ и Московского областного бюро судебно-медицинской экспертизы обнаружено нами в архиве одного из судебно-медицинских отделений Московской области. Статья В. И. Петрова «Значение рентгенологического исследования при определении причин смерти детей раннего возраста», датированная 5 мая 1949 г., оставляет глубокий эмоциональный след. На пожелтевших, выцветших от времени листах, несмотря на трудное послевоенное время, мы видим доказательство высокого профессионализма, преданности своей специальности и веры в открытие «новых горизонтов». В статье изложены результаты применения досекционного рентгенологического исследовании в двух случаях смерти живорожденных младенцев от удавления шеи петлей и руками вскоре после рождения (1947–1948 гг.) в сочетании с рентгенологическим исследованием изолированных легких уже после судебно-медицинского исследования трупов. В статье также описаны две серии экспериментов, проведенных на взрослых кошках и щенках в экспериментальном отделе МОНИКИ, в ходе которых после различных способов удушения животных проводилось посмертное рентгенологическое исследование изолированных легких. На основании полученных данных был сделан вывод о том, что «метод рентгенографии изолированных легких дает предельно ясную картину качественных и количественных изменений в состоянии воздушности легочной ткани и трахеобронхиального дерева и позволяет определить характер нарушения проходимости в дыхательных путях, провести дифференциальную диагностику этих нарушений и объективно установить причину смерти в каждом конкретном случае».
В 1952 г. В. И. Петров на основе рентгенограмм трупов новорожденных предложил свою схему, в которой выделил 8 основных типов пневматизации, наблюдающихся у трупов живорожденных младенцев, и типы пневматизации, характеризующие мертворожденность [3]. Данная схема не утратила своей актуальности и по сей день и имеет огромное судебно-медицинское значение.
На современном этапе развития лучевой диагностики в патологоанатомическую и судебно-медицинскую практику постепенно внедряется посмертная магнитно-резонансная и компьютерная томография плодов и новорожденных [4, 5].
Поддерживая старые традиции, сотрудничество судебных медиков Московской области и врачей-рентгенологов МОНИКИ продолжается и в настоящее время [6–8]. На базе ГБУЗ МО «Бюро СМЭ» совместно с врачом-рентгенологом, ассистентом кафедры лучевой диагностики ФУВ ГБУЗ МО МОНИКИ им. М. Ф. Владимирского было проведено исследование двух трупов новорожденных с предсекционной компьютерной томографией (КТ).
Цель исследования — выявление лучевых признаков живорожденности и мертворожденности у трупов младенцев методом предсекционной компьютерной томографии.
ПРИМЕРЫ ИЗ ПРАКТИКИ
В обоих случаях КТ выполнена на досекционном этапе в день обнаружения трупов на мультиспиральных компьютерных томографах с толщиной среза 1,5 и 2 мм. В обоих случаях трупы были доставлены в герметичных плотных полиэтиленовых мешках. Проведено стандартное нативное (без применения контрастных средств) КТ-исследование тел от свода черепа до пальцев стоп в положении трупов на спине с согнутыми руками и ногами. В случае № 1 исследование выполнено в отделении лучевой диагностики областной больницы на компьютерном томографе Bright Speed 16 (General Electric, США), в случае № 2 — в рентгенологическом отделении районной больницы на компьютерном томографе Optima (General Electric, США). Анализ полученных аксиальных изображений выполнен в различных диагностических окнах: легочном окне (1000–1600 HU), мягкотканном окне (400–500 HU), костном окне (1500–3000 HU), дополнен построением постпроцессинговых мультипланарных и объемных реконструкций.
Пример 1
Обстоятельства клинического случая
В январе 2019 г. гражданка К. в возрасте 31 года, состоящая на учете у врача-психиатра, тайно самостоятельно родила ребенка в деревянном уличном туалете на территории частного дома в г. Чехове Московской области. Во время родов младенец вместе с последом упал в выгребную яму туалета. Потянув ребенка за руку, мать вытащила новорожденного из ямы и спрятала на неотапливаемой террасе дома в картонной коробке под предметами одежды, коробками с обувью и книгами, где и был обнаружен труп.
Результаты судебно-медицинского исследования трупа
При судебно-медицинском исследовании трупа установлено: младенец мужского пола (рис. 1) длиной тела 49 см; окружность головы 30,5 см; окружность груди 31,5 см; масса тела 3324 г; свободные края ногтевых пластинок на кистях рук заходят за края ногтевых фаланг, а на стопах доходят до них; наличие сформированных ядер окостенения в грудине, в эпифизах бедренных костей, в пяточной кости; отсутствие уродств, пороков развития, внутриутробных дефектов жизненно важных органов. Наличие неотделенной пуповины; наличие сыровидной смазки в слуховых проходах; наличие мекония в кишечнике, в области заднего прохода и нижних конечностей, пятен крови на теле. Положительные плавательные гидростатические легочная и желудочно-тонкокишечная пробы. Имеющиеся повреждения: поверхностная ушибленная рана теменной области; полосовидные и дуговидные ссадины и очаговые кровоизлияния в мягких тканях шеи на боковых поверхностях справа и слева; кровоподтек и ссадина грудной клетки; ссадина правого плеча; кровоподтек правого бедра; вывих левой плечевой кости из плечевого сустава.
Рис. 1. Труп ребенка: а — внешний вид; b — 3D-изображение.
Fig. 1. The corpse of a child: а — appearance; b — 3D image.
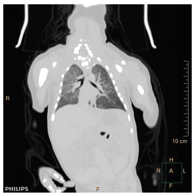
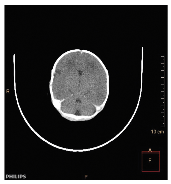
При исследовании трупа с помощью метода КТ врачом-рентгенологом выявлены диффузные изменения плотности вещества мозга — вероятно, сочетание гипоксических и посмертных изменений. Данных за интракраниальную гематому не получено. Дополнительная полость 5-го желудочка — вариантная анатомия (рис. 2). Содержимое в носоглотке. Небольшое количество содержимого в полости рото- и гортаноглотки с сохранением их просветов. Признаки кардиомегалии. Признаки гинекомастии. Диффузная гиперплазия обоих надпочечников. Вывих левой плечевой кости (рис. 3). Расправление легких. Наличие воздуха в петле тощей кишки и нижнеампулярном отделе прямой кишки (рис. 4). Жидкостное содержимое в желудочно-кишечном тракте с равномерным распределением (рис. 5). Наличие ядер окостенения в грудине (рис. 6). Наружный нос и ушные раковины сформированы правильно.
Рис. 2. КТ головного мозга: дополнительная полость 5-го желудочка — вариантная анатомия.
Fig. 2. Computed tomography scan of the brain: The 5th ventricular cavity — variant anatomy.
Рис. 3. КТ, 3D-реконструкция: вывих левой плечевой кости.
Fig. 3. Computed tomography, 3D-reconstruction: dislocation of the left humerus.
Рис. 4. КТ, фронтальная реконструкция, легочное окно: легкие расправлены, широко прилежат к грудной стенке; газ в петле тощей кишки.
Fig. 4. Computed tomography scan, frontal reconstruction, pulmonary window: the lungs are straightened, widely adjacent to the chest wall; gas in the jejunal loop.
Рис. 5. КТ, фронтальная реконструкция, мягкотканное окно: содержимое тонкой и толстой кишок.
Fig. 5. Computed tomography, frontal reconstruction, soft-tissue window: contents in the small and large intestine.
Рис. 6. КТ, сагиттальная реконструкция, костное окно: ядра окостенения в грудине.
Fig. 6. Computed tomography, sagittal reconstruction, bone window: kernel of ossification in the sternum.
На основании полученных данных сделан вывод: новорожденный является зрелым, доношенным и жизнеспособным, продолжительностью внутриутробной жизни около 10 лунных месяцев. Ребенок родился живым, о чем свидетельствуют положительные плавательные гидростатические легочная и желудочно-тонкокишечная пробы, данные предсекционного КТ и судебно-гистологического исследований.
Пример 2
Обстоятельства клинического случая
В декабре 2019 г. в помещении мусоросортировочного цеха Раменского района Московской области на сортировочной ленте обнаружен труп новорожденного ребенка мужского пола с фрагментом пуповины. Труп представлен двумя фрагментами: первая часть — головой, шеей, правой и левой верхней конечностью, грудной клеткой и верхней третью живота; вторая часть — тазом и нижними конечностями. Первая и вторая части трупа соединяются тканевой перемычкой (кожей с мягкими тканями) передней брюшной стенки (рис. 7).
Рис. 7. Труп ребенка, внешний вид: а — при обнаружении; b — КТ, 3D-изображение.
Fig. 7. Appearance of the corpse of the child: а — upon detection; b — 3D image.
Результаты судебно-медицинского исследования трупа
При судебно-медицинском исследовании трупа установлено: младенец мужского пола длиной тела 54 см; окружность головы 30 см; расстояние между плечиками 13,5 см; свободные края ногтевых пластинок на кистях рук и на стопах доходят до кончиков пальцев. Из-за массивности повреждений и разделения туловища на два фрагмента провести плавательные гидростатические пробы не представилось возможным.
При КТ основными находками были костные повреждения: множественные повреждения и переломы костей черепа (рис. 8, 9) — лобной кости, чешуи слева, глазничной и носовой части лобной кости слева, обеих теменных костей, затылочной кости (базилярной, латеральной частей и чешуи) со смещением, захождением и деформацией костных отломков, височных костей, тела и больших крыльев основной кости; расхождение швов мозгового и лицевого черепа с деформацией черепной коробки в виде уплощения с боков; перелом скулоорбитального комплекса справа; позвоночного столба (латеральное смещение С1-позвонка вправо, С7-позвонка влево); полная сепарация позвоночного столба с большим диастазом на уровне середины тела Th11-позвонка, с переломом тела позвонка; множественные переломы большинства ребер; полная сепарация всех ребер слева на уровне реберно-позвоночных сочленений, с диастазом; деформация грудинного конца ключицы справа; переломы крыла подвздошной кости справа, седалищной кости справа; неполный перелом средней трети диафиза правой бедренной кости, средней трети диафиза правой большеберцовой кости. Вещество головного мозга было в состоянии декомпозиции (см. рис. 8), представлено мягкотканным субстратом с наличием газа и плотных включений; воздухоносные пространства пирамид височных костей выполнены мягкотканным субстратом. Левое глазное яблоко деформировано, неправильной формы. Ушные раковины и наружный нос правильно сформированы, деформированы. Грудная клетка деформирована, гемитораксы асимметричны. Средостение представлено в виде отдельных мягкотканных элементов с наличием плотных включений. Сердце в размерах не увеличено, располагается вне грудной полости. Легочная ткань: легкие располагаются вне грудной полости, повышенной плотности (тотально уплотнены), не расправлены (рис. 10). В структуре легочной ткани прослеживаются элементы газа, отдельные — в виде трубчатых структур — вероятно, отображение бронхов. В толще легочной ткани и вокруг видны структуры высокой плотности — вероятно, инородные тела в сочетании с костными фрагментами. Визуализируются трахея и проксимальные отделы правого и левого главных бронхов; дистальнее просвет бронхов обрывается. Нарушение целостности брюшной стенки с полной эвентрацией органов. Полые и паренхиматозные органы представлены мягкотканными структурами без органной дифференциации, смешанными с инородными телами, чередующимися с множественными пузырьками газа. Газ определялся в мягких тканях, в том числе мошонке, грудной клетке, малом тазу, полости черепа, позвоночном канале.
Рис. 8. КТ: множественные переломы костей черепа; декомпозиция вещества головного мозга.
Fig. 8. Computed tomography: multiple fractures of the skull bones; decomposition of the brain.
Рис. 9. КТ, 3D-реконструкция: полная сепарация позвоночного столба на уровне середины тела Th11-позвонка; множественные переломы большинства ребер.
Fig. 9. Computed tomography, 3D reconstruction: complete separation of the spinal column at the midpoint of the Th11 vertebral body; multiple fractures of most of the ribs.
Рис. 10. КТ: легкие располагаются вне грудной полости, тотально уплотнены, не расправлены.
Fig. 10. Computed tomography findings: the lungs are located outside the chest cavity, totally compacted, not straightened.
На основании полученных данных сделан вывод: новорожденный является зрелым, доношенным, продолжительностью внутриутробной жизни около 36 нед. Ребенок родился мертвым, о чем свидетельствуют данные предсекционного КТ (тотальное уплотнение обоих легких — нерасправленные легкие) и судебно-гистологического исследования. Повреждения при разделении туловища младенца образовались посмертно, скопления газа — в результате гнилостных изменений.
ОБСУЖДЕНИЕ
Досекционная КТ трупов новорожденных явилась доказательным и наглядным дополнением традиционного судебно-медицинского исследования, позволившим уже на этом этапе высказаться о зрелости плодов, выявить телесные повреждения и анатомические варианты строения, опровергнуть наличие врожденных уродств.
Зрелость плодов рентгенологически устанавливалась по наличию ядер окостенения в грудине, сформированности хрящей носа и ушных раковин.
Установлены и зафиксированы доказательные КТ-признаки живорожденности (расправление легких, наличие воздуха в желудочно-кишечном тракте) и мертворожденности (тотальное уплотнение легких — нерасправленные легкие).
Данные о живо-и мертворожденности плодов, даже в случае практически полного разрушения тела, полученные методом КТ на досекционном этапе, позволили оперативно дать юридическую оценку обоих происшествий.
ЗАКЛЮЧЕНИЕ
Сотрудничество кафедр судебной медицины и лучевой диагностики ГБУЗ МО МОНИКИ не только поддерживает старые рентгенологические традиции, но и шагает в ногу со временем на новом диагностическом витке.
ДОПОЛНИТЕЛЬНАЯ ИНФОРМАЦИЯ
Участие авторов • Author contribution
Все авторы внесли существенный вклад в разработку концепции, проведение исследования и подготовку статьи, прочли и одобрили финальную версию перед публикацией.
Authors are solely responsible for submitting the final manuscript to print. All authors participated in the development of the concept of the article and the writing of the manuscript. The final version of the manuscript was approved by all authors. The authors are grateful to anonymous reviewers for helpful comments.
Источник финансирования • Funding source
Авторы заявляют об отсутствии внешнего финансирования при проведении исследования.
This study was not supported by any external sources of funding.
Конфликт интересов • Competing interests
Авторы декларируют отсутствие явных и потенциальных конфликтов интересов, связанных с публикацией настоящей статьи.
The authors declare that they have no competing interests.
About the authors
Vladimir A. Klevno
Moscow Regional Research and Clinical Institute
Email: vladimir.klevno@yandex.ru
ORCID iD: 0000-0001-5693-4054
SPIN-code: 2015-6548
Dr. Sci. (Med.), Professor
Russian Federation, 61/2, Shepkina street, Moscow, 129110Yulia V. Chumakova
Moscow Regional Research and Clinical Institute; Forensic Medical Examination Bureau
Author for correspondence.
Email: chumakova@sudmedmo.ru
ORCID iD: 0000-0002-9738-8288
SPIN-code: 9415-3226
MD, Research Postgraduate, Department of Forensic Medicine
Russian Federation, 61/2, Shepkina street, Moscow, 129110; MoscowSofia E. Dubrova
Moscow Regional Research and Clinical Institute
Email: dubrova.sofya@gmail.com
ORCID iD: 0000-0001-8809-1629
SPIN-code: 5012-9847
MD, PhD, Research Postgraduate, Department of Forensic Medicine
Russian Federation, 61/2, Shepkina street, Moscow, 129110Natalia S. Muranova
Forensic Medical Examination Bureau
Email: muranova@sudmedmo.ru
MD
Russian Federation, MoscowOlga M. Popova
Forensic Medical Examination Bureau
Email: vodyasova@sudmedmo.ru
MD
Russian Federation, MoscowReferences
- Kolkutin VV, Kira EF, Barinov EKh., et al. Examination of fetal and newborn corpses: Methodological recommendations. Moscow: Russian Center of Forensic Medical Expertise; 2002. (In Russ).
- Chopеn IV, Bezborodov AV, Tishchenko OV. Forensic medical examination of fetuses and newborns. Educational and methodological recommendations for students of the Faculty of Pediatrics, interns, residents. Stavropol: Stavropol State Medical University; 2010. 44 p. (In Russ).
- You will be healthy — you will get everything [internet resource]. X-ray examination in forensic medical practice. (In Russ). Available from: https://ja-zdorov.at.ua/publ/rentgenologicheskoe_issledovanie_novorozhdennykh/rentgenologicheskoe_issledovanie_v_sudebno_medicinskoj_praktike/79-1-0-1042
- Rukont: national digital resource. Tumanova, Shchegolev AI. Postmortem magnetic resonance imaging of fetuses and newborns. Medical visualization. 2015. N. 5. Р. 127–135. (In Russ). Available from: https://rucont.ru/efd/502572
- Tumanova UN, Fedoseeva VK, Lyapin VM, et al. Identification of gas accumulations in the bodies of fetuses, still-borns and dead newborns at postmortem computed tomography study. Consilium Medicum. 2016;18(13):26–33. (In Russ).
- Rusakova TV, Kislov MA, Lysenko OV, Dubrova SE. Virtual autopsy as valuable assistance in building the algorithm of study the children corpses. Russian Journal of Forensic Medicine. 2019;5(1s):57. (In Russ).
- Klevno VA, Chumakova YuV. Virtopsia — a new research method in the practice of domestic forensic medicine. Russian Journal of Forensic Medicine. 2019;5(2):27–31. (In Russ). doi: 10.19048/2411-8729-2019-5-2-27-31
- Klevno VA, Chumakova YuV, Korotenko OA, et al. Virtopsia in the case of sudden death of a teenager. Russian Journal of Forensic Medicine. 2020;6(1):41–45. (In Russ). doi: 10.19048/2411-8729-2020-6-1-41-45
Supplementary files














