Finite elemental analysis of local osteoporosis formation in the surgical treatment of fubilar fractures
- Authors: Krupin K.N.1, Kislov M.A.2
-
Affiliations:
- Moscow Region Bureau of Forensic Medical Examination
- I.M. Sechenov First Moscow State Medical University (Sechenov University)
- Issue: Vol 6, No 3 (2020)
- Pages: 58-61
- Section: Case reports
- Submitted: 03.09.2020
- Accepted: 14.09.2020
- Published: 23.10.2020
- URL: https://for-medex.ru/jour/article/view/327
- DOI: https://doi.org/10.19048/fm327
- ID: 327
Cite item
Full Text
Abstract
Background. When providing surgical medical care to patients with fibular fractures, one of the most common types of treatment is fixing the fracture area with a metal plate with screws during metallosteosynthesis surgery. During treatment, bone tissue is often thinned in the area of the fracture, which significantly increases the duration of treatment. Aim. Establishment of the mechanism of formation of osteoporosis in the fracture area after the operation of osteosynthesis of the fibula. Material and methods. The finite element method is used to simulate the destruction process using ANSYS. Results. A comparative study of the location of formation of focal osteoporosis formed in the fracture area of the distal part of the fibula diaphysis, under a metal plate installed during osteosynthesis, and the area of formation of maximum equivalent loads in the experimental mathematical model of the stress-strain state revealed complete similarity of the location. Conclusions. The formation of a zone of local osteoporosis in the area of a fibular fracture after osteosynthesis surgery is explained by a combination of factors, which are the presence of a fibular fracture fixed with metal screws with a metal plate, the support of the foot on the foot with pressure on the fibula. The zone of local osteoporosis in the area of the fibula fracture after osteosynthesis surgery occurs from the compression of compact plates of the fracture edges with limited mobility under the metal fixing plate.
Full Text
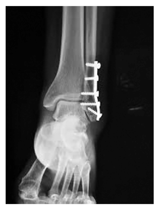
При проведении медицинских судебных экспертиз правильности оказания хирургической медицинской помощи отмечены случаи, требующие оценки возникновения очага остеопороза в области перелома после проведения операции остеосинтеза при переломе нижней трети диафиза малоберцовой кости, чаще при переломе Дюпюитрена (рис. 1).
Рис. 1. Рентгенограмма нижней трети малоберцовой кости с развившимся очаговым остеопорозом в области перелома после операции остеосинтеза металлической пластиной
Возникновение зоны остеопороза часто приводит к образованию ложного сустава, что значительно увеличивает сроки нарушения функции и продолжительность нетрудоспособности. Поэтому установление причины и механизма образования остеопороза в области перелома малоберцовой кости после проведения операции остеосинтеза является актуальной задачей для судебно-медицинских экспертов. В специальной литературе одними из наиболее частых причин возникновения ложных суставов длинных трубчатых костей нижних конечностей называют нестабильный остеосинтез при правильно выбранной тактике лечения и раннюю нагрузку на конечность [1].
Цель исследования — установить механизм образования локального остеопороза в области перелома малоберцовой кости после проведения операции остеосинтеза.
МАТЕРИАЛ И МЕТОДЫ
В соответствии с поставленной целью методом конечных элементов произведено математическое моделирование процесса разрушения малоберцовой кости при условиях, что нижняя треть диафиза малоберцовой кости представляет собой трубку, состоящую в основном из компактного вещества кости, на разрезе приближающуюся к треугольнику Рёло. В верхней трети малоберцовая кость неподвижно закреплена, а в нижней трети ограниченно подвижна, здесь же на суставную поверхность малоберцовой кости действует таранная кость под углом к оси кости примерно в 45 градусов. Для решения указанной задачи применяли метод конечно-элементного анализа [2–7].
При помощи программной оболочки ANSYS R19.0 получена математическая 3D-модель малоберцовой кости с использованием Solid конечных элементов. Для формирования модели диафиза кости был выполнен прямой цилиндр с основанием в виде треугольника Рёло длиной 400 мм, равномерной толщиной стенки 2 мм. Модуль упругости компактного вещества, являвшегося материалом цилиндра, — 19,2 ГПа, модуль Юнга — 20 ГПа, коэффициент Пуассона — 0,3. Для имитации перелома диафиза модель была разделена наклонной плоскостью на два твердых тела. На одной из сторон цилиндра была смоделирована изогнутая металлическая титановая пластина, прикрепленная моделями четырех титановых шурупов сквозь толщу модели малоберцовой кости в области разделения двух твердых тел. Модели шурупов были плотно закреплены.
Испытания конечно-элементной модели проводились для различных числовых значений прочностных свойств костного материала, а именно рассматривалась прочность компактной пластинки от 20 МПа до 125 МПа на растяжение и от 40 до 180 МПа — на сжатие.
Для сопоставимости результатов расчета при различных моделях контактных взаимодействий и нагружений использованы единые значения прочности компакты: 90 МПа — на растяжение, 140 МПа — на сжатие [6]. Испытания при иных значениях прочностных свойств малоберцовой кости в указанных пропорциях соотношения прочности на растяжение и на сжатие дают аналогичные результаты по характеру напряженно-деформированного состояния, что позволяет сделать вывод об аналогичном характере разрушения. Меняется лишь величина прикладываемой силы.
В ходе экспериментального исследования создавалось только одно условие взаимодействия — на малоберцовую кость, имеющую косой перелом диафиза в нижней трети, который зафиксирован титановой пластиной с четырьмя шурупами, закрепленную в верхней трети, действует давление под углом 45 градусов к оси малоберцовой кости с приложением на нижнюю треть кости. Созданная модель кости в верхней части закреплена связями с ограничением перемещений по осям х, у, z, которое моделирует неподвижную опорную ногу.
РЕЗУЛЬТАТЫ
Проведенное методом конечных элементов математическое моделирование процесса нагружения малоберцовой кости показало следующее.
- При давящем воздействии на нижнюю треть малоберцовой кости, имеющей косой перелом диафиза в нижней трети, который зафиксирован титановой пластиной с четырьмя шурупами, отмечается небольшая подвижность дистального костного отломка, и основную нагрузку испытывает титановая пластина (рис. 2), формируя общую прочную систему.
- Для исследования распределения эквивалентных нагрузок на малоберцовую кость в модели скрыта титановая пластина. На модели малоберцовой кости видна концентрация силовых напряжений в области стыка компактных пластинок (рис. 3).
Рис. 2. Распределение эквивалентной нагрузки в титановой пластине при экспериментальном нагружении
Рис. 3. Распределение нагрузки в малоберцовой кости при экспериментальном нагружении
При сравнительном исследовании места формирования очагового остеопороза, образовавшегося в области перелома дистальной части диафиза малоберцовой кости, под металлической пластиной, установленной при проведении остеосинтеза, и области формирования максимальных эквивалентных нагрузок в экспериментальной математической модели напряженно-деформированного состояния, выявлено полное сходство расположения изменений.
ОБСУЖДЕНИЕ
Анализ и трактовка данных математического моделирования показывают, что нагружение на нижнюю треть малоберцовой кости под углом к оси малоберцовой кости вызывает подвижность в области перелома нижней трети малоберцовой кости под металлической пластиной. При соприкосновении компактных пластинок краев перелома формируется зона напряжения, приводящая к местному некрозу ткани и развитию локального остеопороза под металлической пластиной. При такой нагрузке основную эквивалентную нагрузку испытывает металлическая пластина.
ЗАКЛЮЧЕНИЕ
Образование зоны локального остеопороза в области перелома малоберцовой кости после проведения операции остеосинтеза объясняется совокупностью факторов, которыми являются наличие перелома малоберцовой кости, фиксированного металлической пластиной с шурупами, а также опора ноги на голеностопный сустав с давлением на малоберцовую кость.
Зона локального остеопороза в области перелома малоберцовой кости после проведения операции остеосинтеза возникает от сдавления компактных пластинок краев перелома при ограниченной подвижности под металлической фиксирующей пластиной.
Основную эквивалентную нагрузку при нагружении дистальной части диафиза малоберцовой кости с переломом, фиксированным металлической пластиной, испытывает металлическая пластина.
В ходе исследования с использованием математического моделирования методом конечных элементов была установлена возможность определения механизма формирования разрушений костной ткани в области перелома дистальной части диафиза малоберцовой кости, фиксированного металлической пластиной с шурупами.
Полученные в результате проведенных исследований данные не только расширяют многообразие известных механизмов разрушения малоберцовых костей, но и дают практическому эксперту возможность по наличию зоны локального остеопороза в области перелома под металлической пластиной устанавливать механизм его образования.
About the authors
Konstantin N. Krupin
Moscow Region Bureau of Forensic Medical Examination
Author for correspondence.
Email: konst.inn@gmail.com
ORCID iD: 0000-0001-6999-8524
Candidate of Medical Sciences, Assoc. Prof. of the Mitishinskii Department of the Moscow Region Bureau of Forensic Medical Examination
Russian Federation, MoscowMaxim A. Kislov
I.M. Sechenov First Moscow State Medical University (Sechenov University)
Email: smedik@gmail.com
ORCID iD: 0000-0002-9303-7640
Dr. Sci. (Med.), Assoc. Prof., Prof., I.M. Sechenov First Moscow State Medical University
Russian Federation, MoscowReferences
- Барабаш Ю.А., Балаян В.Д., Кауц О.А., Тишков Н.В. Клиническое использование продольной остеотомии отломков кости при лечении псевдоартрозов длинных костей. Травма (Донецк). 2009;10(2):134−138. [Barabash Yu.A., Balayan V.D., Kautz O.A., Tishkov N.V. Clinical use of longitudinal osteotomy of bone fragments in the treatment of pseudoarthritis of long bones. Trauma (Donetsk). 2009;10(2):134−138. (In Russ.)]
- Кислов М.А. Моделирование колото-резаных повреждений методом конечно-элементного анализа. Судебная медицина. 2017;3(3):18−25. [Kislov M.A. Modeling of stab injuries by the method of finite element analysis. Russian journal of forensic medicine. 2017;3(3):18−25. (In Russ.)]. https://doi.org/10.19048/2411-8729-2017-3-3-18-24
- Попов В.А., Самчук В.В. Методы трехмерного и математического моделирования в судебной медицине (современное состояние вопроса). Судебная медицина. 2017;3(3):36−39. [Popov V.A., Samchuk V.V. Methods of three-dimensional and mathematical modeling in forensic medicine (the current issue). Russian journal of forensic medicine. 2017;3(3):36−39. (In Russ.)]. https://doi.org/10.19048/2411-8729-2017-3-3-36-39
- Кислов М.А., Леонов С.В. Использование метода конечных элементов для прогнозирования разрушения колото- резаных повреждений плоских костей. Медицинская экспертиза и право. 2016;(3):22−24. [Kislov M.A., Leonov S.V. Using the finite element method for predicting the destruction of stab injuries of flat bones. Meditsinskaya ekspertiza i pravo. 2016;(3):22−24. (In Russ.)]
- Пинчук П.В., Крупин К.Н., Панфилов Д.А. Математическое моделирование травмирующего воздействия на большеберцовую кость для оценки характера перелома. Медицинская экспертиза и право. 2016;(5):37−39. [Pinchuk P.V., Krupin K.N., Panfilov D.A. Mathematical modeling of traumatic impact on the tibia to assess the nature of the fracture. Meditsinskaya ekspertiza i pravo. 2016;(5):37−39. (In Russ.)]
- Кислов М.А., Клевно В.А. Использование трехмерного математического моделирования для прогнозирования разрушения в случаях колото-резаных повреждений плоских костей. Медицинская экспертиза и право. 2016;(1):31−34. [Kislov M.A., Klevno V.A. Use of three-dimensional mathematical modeling for predicting destruction in cases of stab injuries of flat bones. Meditsinskaya ekspertiza i pravo. 2016;(1):31−34. (In Russ.)]
- Кислов М.А., Клевно В.А. Применение теории резания материалов при идентификации колото-резаных повреждений плоских костей. Системный анализ и управление в биомедицинских системах. 2016;15(1):119−123. [Kislov M.A., Klevno V.A. Application of the theory of cutting materials in the identification of stab injuries of flat bones. System analysis and management in biomedical systems. 2016;15(1): 119−123. (In Russ.)]
Supplementary files










