Histomorphological changes in the lungs induced by poisoning with baclofen and its combination with ethanol (experimental study)
- Authors: Romanova O.L.1,2, Sundukov D.V.1, Golubev A.M.1,2, Blagonravov M.L.1, Ershov A.V.2,3
-
Affiliations:
- Peoples’ Friendship University of Russia
- Federal Research and Clinical Center of Intensive Care Medicine and Rehabilitology
- I.M. Sechenov First Moscow State Medical University (Sechenov University)
- Issue: Vol 6, No 3 (2020)
- Pages: 47-52
- Section: Original study articles
- Submitted: 03.09.2020
- Accepted: 14.09.2020
- Published: 23.10.2020
- URL: https://for-medex.ru/jour/article/view/325
- DOI: https://doi.org/10.19048/fm325
- ID: 325
Cite item
Full Text
Abstract
Aim. Detection and assessment of histomorphological changes in the lungs in acute poisoning with Baclofen and its combination with ethanol three hours after poisoning. Material and methods. Experimental studies were conducted in 15 Wistar lineage rats divided into three groups. The control group included five intact animals, group 1 was treated with Baclofen at a dose of 85 mg/kg, group 2 — with a combination of Baclofen (85 mg/kg) and ethanol (7 mL/kg of 40% ethanol). Results. No pathological changes were observed in the lungs of the controls. Both treated groups manifested the capillary and venous plethora, sludge syndrome, atelectases and dystelectases, emphysema and infiltration of white blood cells into the interalveolar septa. Bronchioles in the group 2 animals contained secretion. Conclusion. In the conducted trials, a complex of pathological changes was observed in the lungs of animal models shortly after the administration of Baclofen, including circulatory disorders in all departments of the microcirculatory bed (plethora of capillaries and venules), emphysema, atelectases and dystelectases, leucocyte infiltration into the interalveolar septa. Morphometric studies are necessary to quantify the severity of histomorphological changes in the lungs.
Full Text
ВВЕДЕНИЕ
Баклофен — это бета-р-хлорфенильное производное одного из тормозных нейромедиаторов гамма-аминомасляной кислоты, широко применяемое в клинической практике. Этот препарат обладает выраженным психоактивным эффектом, из-за чего является объектом злоупотребления у наркозависимых лиц [1–5].
Число отравлений баклофеном неуклонно возрастает. В частности, по данным областного токсикологического центра, за период с 2009 по 2013 г. их доля среди подростков 15–17 лет увеличилась соответственно с 2,2 до 6,6% [6].
Баклофен в пероральной форме применяется у пациентов с рассеянным склерозом при выраженной мышечной спастичности, различных заболеваниях спинного мозга, таких как, например, опухоли, инфекционные заболевания, травмы, острые нарушения мозгового кровообращения, менингит. В ряде исследований показано, что баклофен эффективен при лечении пациентов с алкоголизмом [7–15] и детским церебральным параличом [16–18].
При применении баклофена возможно развитие многочисленных побочных реакций. В частности, уже в терапевтических дозах возможно возникновение визуальных и слуховых галлюцинаций, появление тревожности и эмоциональной лабильности; нарушение функции сердечно-сосудистой системы, резкое снижение артериального давления вплоть до коллапса, диплопия, нарушение работы желудочно-кишечного тракта: изжога, снижение перистальтики, тошнота, рвота; сонливость, апатия, мигрень; потеря аппетита. Иногда при лечении баклофеном наблюдают увеличение массы тела. При длительном применении этот препарат может оказывать гепатотоксическое действие [1, 2].
Острые отравления баклофеном могут сопровождаться бессонницей, нарушением сознания, комой [19] и нарушением дыхания. Развивается головокружение, галлюцинации и тахиаритмии [20], гиперсаливация, тошнота, рвота, диарея, отмечаются нарушения аккомодации, потеря корнеального рефлекса, появление мышечной гипотонии и клонических судорог [21, 22], гипорефлексии, арефлексии, брадикардии, периферической вазодилатации и тревожности [23, 24]. Реже наблюдается снижение температуры тела. Специфического антидота при острых интоксикациях баклофеном нет. При таких отравлениях рекомендована симптоматическая и поддерживающая терапия (поддержание сердечно-сосудистой деятельности, искусственная вентиляция легких).
Острое отравление баклофеном, сопряженное с высоким риском летального исхода, может быть результатом как случайной передозировки, криминальных действий, так и суицидального поведения. Несмотря на большое число отравлений, патогенез острых отравлений баклофеном остается недостаточно изученным, танатогенез в таких случаях тоже выяснен не до конца. На сегодня данные о результатах исследований, подробно раскрывающих терапевтические и токсические эффекты баклофена, разрознены. Одним из органов-мишеней при отравлениях этим препаратом являются легкие. В то же время данные о морфологических изменениях в легких при отравлении баклофеном ограничены.
Цель исследования — выявление и оценка гистоморфологических изменений в легких при острых отравлениях баклофеном и его комбинацией в той же дозе с этанолом через 3 часа после отравления.
МАТЕРИАЛ И МЕТОДЫ
Эксперимент проводили на 15 крысах линии Wistar массой 290–350 г, возрастом 20 недель, распределенных на 3 группы (по 5 животных).
Содержание животных, работа с ними проводились в соответствии с приказом Минздрава СССР № 755 от 12.08.1977 г., а также Европейской конвенцией о защите позвоночных животных, используемых для экспериментов или в иных научных целях (Страсбург, 18.03.1986).
Баклофен и его комбинацию с этанолом вводили под общим наркозом через желудочный зонд.
Выделили следующие группы животных:
- I группа (контроль), n= 5 — изотонический раствор NaCl из расчета 10 мл/кг.
- II группа («баклофен»), n= 5 — баклофен в дозе 85 мг/кг в изотоническом растворе NaCl, продолжительность эксперимента 3 часа.
- III группа («баклофен + этанол»), n= 5 — баклофен в дозе 85 мг/кг в растворе 40% этанола из расчета 7 мл/кг мл, продолжительность эксперимента 3 часа.
После введения препаратов животных выходили из наркоза и оставляли в виварии при условии свободного доступа к воде, но без пищи. Через 3 часа снова проводили анестезию с последующей эвтаназией.
Легкие фиксировали в 10%-ном нейтральном формалине и заливали в парафин. Изготавливались гистологические срезы толщиной 5 мкм, наносились на предметные стекла и окрашивались по стандартной методике гематоксилином и эозином. Далее препараты исследовались методом световой микроскопии на микроскопе Nikon Eclipse E-400 с видеосистемой на основе камеры Watec 221S (Япония) при увеличении 400.
Оценивали наличие следующих признаков: эмфизема, ателектазы и дистелектазы, расширение межальвеолярных перегородок, лейкоцитарная инфильтрация межальвеолярных перегородок, капиллярное и венозное полнокровие, сладж, кровоизлияния в межальвеолярные перегородки и альвеолы, секрет в просвете бронхов.
Для подтверждения достоверности появления того или иного гистологического изменения пользовались критерием Фишера. Наличие признака считалось достоверным, если он не появлялся ни в одном случае в одной группе и появлялся в 4 или 5 случаях в другой.
РЕЗУЛЬТАТЫ
У интактных животных патологические изменения в легких отсутствовали. Альвеолы были свободны, воздушны. При исследовании наблюдали небольшие субплевральные дистелектазы. Эмфиземы не отмечались. Расстройства кровообращения (венозное, капиллярное полнокровие, кровоизлияния в межальвеолярные перегородки и альвеолы) отсутствовали. Просветы бронхов были свободны.
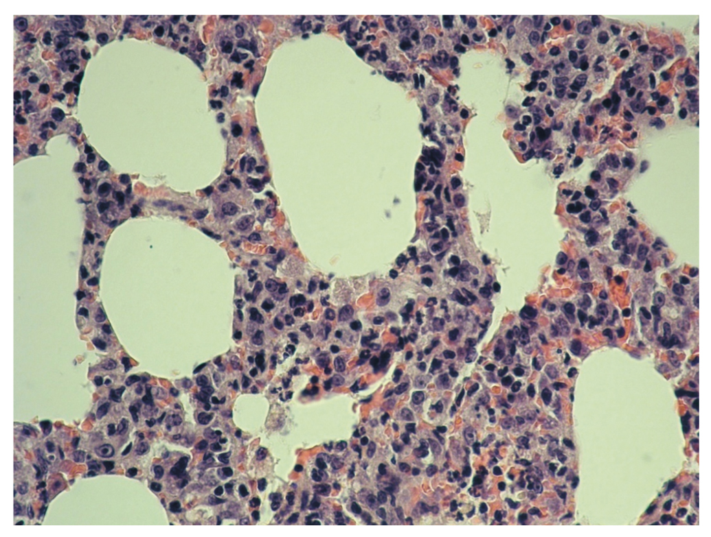
У животных, получавших баклофен в дозе 85 мг/кг, в легких наблюдали полнокровие венул и капилляров. В легочных артериях наблюдали сладж. Отмечали расширение альвеолярных ходов и выраженную эмфизему (расположена преимущественно субплеврально). В зоне эмфиземы межальвеолярные перегородки истончены (рис. 1). Также отмечали наличие ателектазов и дистелектазов, расположенных субплеврально; наличие зон с утолщением межальвеолярных перегородок (за счет отека). Выявляли лейкоцитарную инфильтрацию межальвеолярных перегородок (сегментоядерные лейкоциты). В просвете некоторых альвеол наблюдали наличие макрофагов.
Рис. 1. Легкое крысы группы 2 (баклофен, 85 мг/кг). Эмфизема. Истончение межальвеолярных перегородок в зоне эмфиземы. Увеличение 400. Окрашивание гематоксилином и эозином
Достоверным в этой группе можно считать наличие полнокровия венул и капилляров, сладжа, эмфиземы, ателектазов и дистелектазов и клеточную реакцию (инфильтрация межальвеолярных перегородок лейкоцитами), утолщение межальвеолярных перегородок за счет отека (рис. 2).
Рис. 2. Легкое крысы группы 2 (баклофен, 85 мг/кг). Инфильтрация межальвеолярных перегородок лейкоцитами. Увеличение 400. Окрашивание гематоксилином и эозином
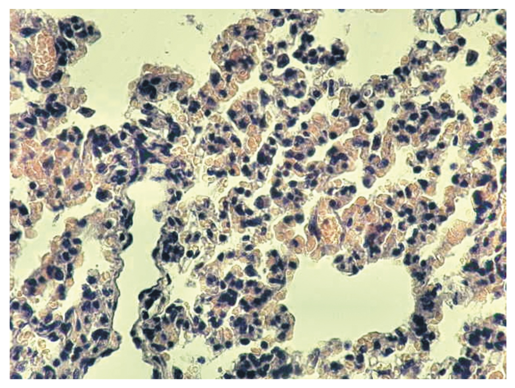
В легких животных, получавших комбинацию баклофена (в дозе 85 мг/кг) и этанола (7 мл/кг 40% этанола), просветы альвеол свободны, не расширены. Субплеврально расположены небольшие участки эмфиземы. Отмечали большое количество «пластинчатых» дистелектазов (рис. 3).
Рис. 3. Легкое крысы группы 3 (баклофен, 85 мг/кг + этанол). Утолщение межальвеолярных перегородок за счет отека, инфильтрация межальвеолярных перегородок лейкоцитами. Увеличение 400. Окрашивание гематоксилином и эозином
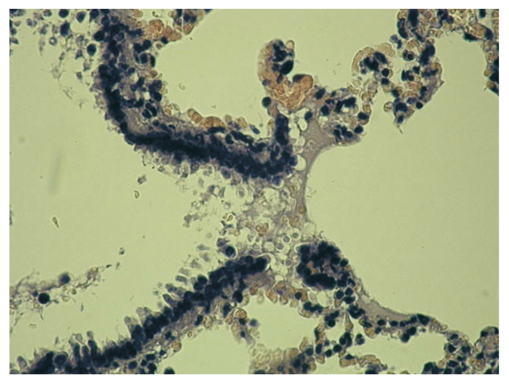
В участках дистелектазов капилляры в межальвеолярных перегородках были полнокровны. В просветах части альвеол наблюдали скопление макрофагов. В легочных артериях наблюдали сладжи. Некоторые бронхиолы имели звездчатую форму. На территории межальвеолярных перегородок отмечали лейкоцитарную инфильтрацию. В просвете некоторых бронхиол — секрет, чего не было отмечено в группе, получавшей баклофен в виде монопрепарата (рис. 4).
Рис. 4. Легкое крысы группы 3 (баклофен, 85 мг/кг + этанол). Секрет в просвете бронхиолы. Увеличение 400. Окрашивание гематоксилином и эозином
Наблюдали утолщение межальвеолярных перегородок (рис. 5).
Рис. 5. Легкое крысы группы 3 (баклофен, 85 мг/кг + этанол). Утолщение межальвеолярных перегородок за счет отека, инфильтрация межальвеолярных перегородок лейкоцитами. Увеличение 400. Окрашивание гематоксилином и эозином
Достоверным в этой группе можно считать наличие полнокровия венул и капилляров, сладжа, эмфиземы, ателектазов и дистелектазов, клеточную реакцию (инфильтрацию лейкоцитами), утолщение межальвеолярных перегородок за счет отека, а также наличие секрета в просвете бронхиол.
Гистологическая картина в легких при отравлении баклофеном и комбинацией баклофена и этанола отличаются. Механизм токсического действия баклофена на сегодняшний день остается не до конца выясненным.
Баклофен не оказывает прямого токсического действия на бронхи и легкие. Тем не менее это вещество усиливает пресинаптическую блокаду нервных импульсов, которые берут свое начало в спинном мозге, что в свою очередь приводит к подавлению их передачи. В результате происходит снижение напряжения мышц, в том числе и межреберных. Их чрезмерное расслабление приводит к затруднению дыхания с развитием гипоксии. Кроме того, предметом интереса служат эффекты от стимуляции ГАМКА-рецепторов на гладкую мускулатуру бронхов, а также на легкие. Было показано, что агонисты ГАМКА-рецепторов могут вызывать сокращение гладкой мускулатуры бронхов, бронхиол, что сопровождается спазмом и затруднением дыхания [25, 26]. Хотя баклофен является селективным агонистом ГАМКБ-рецепторов, в высоких дозах он вызывает стимуляцию и ГАМКА-рецепторов. Подобный эффект мы наблюдали в обеих экспериментальных группах («баклофен» и «баклофен+этанол»). В легких подопытных животных обеих подопытных групп наблюдали эмфизему.
В условиях гипоксии повышается сосудисто-тканевая проницаемость. Кроме того, было показано, что сосудисто-тканевая проницаемость увеличивается при стимуляции ГАМКА-рецепторов [27], что также подтверждается результатами наших экспериментов. Утолщение межальвеолярных перегородок за счет отека наблюдалось в обеих экспериментальных группах.
ЗАКЛЮЧЕНИЕ
В результате проведенных экспериментов в легких подопытных животных в ранние сроки после введения баклофена нами был выявлен комплекс патологических изменений, включающий нарушения кровообращения во всех элементах микроциркуляторного русла (полнокровие капилляров, венул), появление эмфиземы, ателектазов и дистелектазов, лейкоцитарной инфильтрации межальвеолярных перегородок, утолщение межальвеолярных перегородок за счет отека. С целью количественной оценки выраженности гистоморфологических изменений в легких целесообразно проведение морфометрического исследования.
About the authors
Olga L. Romanova
Peoples’ Friendship University of Russia; Federal Research and Clinical Center of Intensive Care Medicine and Rehabilitology
Author for correspondence.
Email: olgpharm@yandex.ru
ORCID iD: 0000-0001-6356-9251
Cand. Sci. (Biol.), Assoc. Prof. of the Department of Forensic Medicine, Peoples’ Friendship University of Russia; Senior Researcher, V. A. Negovsky Scientific Research Institute of General Reanimatology of the Federal Research and Clinical Center of Intensive Care Medicine and Rehabilitology
Russian Federation, MoscowDmitriy V. Sundukov
Peoples’ Friendship University of Russia
Email: sudmed.rudn@yandex.ru
ORCID iD: 0000-0001-8173-8944
Dr. Sci. (Med.), Head of the Department of Forensic Medicine, Peoples’ Friendship University of Russia
Russian Federation, MoscowArkadiy M. Golubev
Peoples’ Friendship University of Russia; Federal Research and Clinical Center of Intensive Care Medicine and Rehabilitology
Email: arkadygolubev@mail.ru
д.м.н., проф. кафедры судебной медицины ФГАОУ ВО РУДН; зав. лабораторией патологии клетки НИИ ОР ФНКЦ РР
Russian Federation, MoscowMikhail L. Blagonravov
Peoples’ Friendship University of Russia
Email: blagonravov_ml@rudn.ru
ORCID iD: 0000-0001-7838-0486
Dr. Sci. (Med.), Head of the Department of General Pathology and Pathological Physiology named after V. A. Frolov, Peoples’ Friendship University of Russia
Russian Federation, MoscowAnton V. Ershov
Federal Research and Clinical Center of Intensive Care Medicine and Rehabilitology; I.M. Sechenov First Moscow State Medical University (Sechenov University)
Email: salavatprof@mail.ru
ORCID iD: 0000-0001-5758-8552
Dr. Sci. (Med.), Assoc. Prof., Leading Researcher, Laboratory of Experimental Studies, V. A. Negovsky Scientific Research Institute of General Reanimatology of the Federal Research and Clinical Center of Intensive Care Medicine and Rehabilitology; Prof., I. M. Sechenov First Moscow State Medical University
Russian Federation, MoscowReferences
- Baclofen Monograph for Professionals. Drugs.com. American Society of Health-System Pharmacists. Retrieved 3 March 2019.
- Product Information Clofen. TGA eBusiness Services. Millers Point, Australia: Alphapharm Pty Limited. 7 June 2017. Retrieved 15 August 2017.
- Yogeeswari P., Ragavendran J.V., Sriram D. An update on GABA analogs for CNS drug discovery. Recent Patents on CNS Drug Discovery. 2006;1(1):113–118. PMID: 18221197. https://doi.org/10.2174/157488906775245291
- Mezler M., Muller T., Raming K. Cloning and functional expression of GABA(B) receptors from Drosophila. Eur J Neurosci. 2001;13(3):477–486. PMID: 11168554. https://doi.org/10.1046/j.1460-9568.2001.01410.x
- Carter L.P., Koek W., France C.P. Behavioral analyses of GHB: Receptor mechanisms. Pharmacol Ther. 2008;121(1):100–114. https://doi.org/10.1016/j.pharmthera.2008.10.003
- Тагиров А.А., Ларионов С.С. Острые преднамеренные отравления медикаментозным препаратом «Баклофен» у подростков. Успехи современного естествознания. 2014; 6:94. [Tagirov A.A., Larionov S.S. Acute deliberate poisoning with the drug «Baclofen» in adolescents. Uspekhi sovremennogo estestvoznaniya. 2014;6:94. (In Russ.)]
- Gablofen (Baclofen). FDA Full Prescribing Information. US Food and Drug Administration. Retrieved 2 January 2016.
- Reynaud M., Aubin H.-J., Trinquet F., Zakine B., Dano C., Dematteis M., et al. Arandomized, placebo-controlledstudy of high-dose baclofen in alcohol-dependent patients — the ALPADIR study. Alcohol Alcohol. 2017;52:439–446. PMID: 28525555. https://doi.org/10.1093/alcalc/agx030
- Muller C.A., Geisel O., Pelz P., Higl V., Kruger J., Stickel A., et al High-dose baclofen for the treatment of alcohol dependence (BACLAD study): a randomized, placebo-controlled trial. Eur Neuropsychopharmacol. 2015;25:1167–1177. PMID: 26048580. https://doi.org/10.1016/j.euroneuro.2015.04.002
- Rigal L., Legay Hoang L., Alexandre-Dubroeucq C., Pinot J., Le Jeunne C., Jaury P. Tolerability of high-dose baclofen in the treatment of patients with alcohol disorders: a retrospective study. Alcohol Alcohol. 2015;50:551–557. https://doi.org/10.1093/alcalc/agv052
- Vourc’h M., Feuillet F., Mahe P.-J., Sebille V., Asehnoune K., BACLOREA trial group. Baclofen to Prevent Agitation in Alcohol-Addicted Patients in the ICU: Study Protocol for a Randomised Controlled Trial. Trials. 2016;17(1):415. PMID: 27542731. https://doi.org/10.1186/s13063-016-1539-2
- Girish K., Vikram R.K., Pandit L.V., Pundarikaksha H.P., Vijendra R., Vasundara K., et al. A randomized, open-label, standard controlled, parallel group study of efficacy and safety of baclofen, and chlordiazepoxide in uncomplicated alcohol withdrawal syndrome. Biomed J. 2016;39(1):72–80. PMID: 27105601. https://doi.org/10.1016/j.bj.2015.09.002
- Beraha E.M., Salemink E., Goudriaan A.E., Bakker A., de Jong D., Smits N., et al. Efficacy and safety of highdose baclofen for the treatment of alcohol dependence: A multicentre, randomised, double-blind controlled trial. European Neuropsychopharmacology. 26(12):1950–1959. PMID: 27842939. https://doi.org/10.1016/j.euroneuro.2016.10.006
- Dixit D., Endicott J., Burry L., Ramos L., Yeung S.Y.A., Devabhakthuni S., et al. Management of Acute Alcohol Withdrawal Syndrome in Critically Ill Patients. Pharmacotherapy. 2016;36(7):797–822. PMID: 27196747. https://doi.org/10.1002/phar.1770
- Minozzi S., Saulle R., Rosner S. Baclofen for alcohol use disorder. Cochrane Database Syst Rev. 2018;11:CD012557. PMID: 30484285. https://doi.org/10.1002/14651858.CD012557.pub2
- van den Brink W. Baclofen: A Game Changer in the Treatment of Alcohol Dependence. Alcohol Alcohol. 2020 Feb 7;55(1): 46–47. PMID: 32031207. https://doi.org/10.1093/alcalc/agz085
- McLaughlin M.J., He Y., Brunstrom-Hernandez J., Thio L.L., Carleton B.C., Ross C.J.D., et al. Response in Children With Cerebral Palsy. PM and R. 2018;10(3):235–243. https://doi.org/10.1016/j.pmrj.2017.08.441
- Navarrete-Opazo A.A., Gonzalez W., Nahuelhual P. Effectiveness of Oral Baclofen in the Treatment of Spasticity in Children and Adolescents with Cerebral Palsy. Arch Phys Med Rehabil. 2016;97(4):604–618. PMID: 26321489. https://doi.org/10.1016/j.apmr.2015.08.417
- Ostermann M.E., Young B., Sibbald W.J., Nicole M.W. Coma mimicking brain death following baclofen overdose. Intensive Care Med. 2000;26:1144–1146. PMID: 11030173. https://doi.org/10.1007/s001340051330
- Roberge R.J., Martin T.G., Hodgman M., Benitez J.G., Brunswick J.E. Supraventricular tachyarrhythmia associated with baclofen overdose. Clin Toxil. 1994;32:291–297. PMID: 8007036. https://doi.org/10.3109/15563659409017961
- Katyal R., Samkutty D., Muzammil S.M., Saucedo S. Baclofen toxicity presenting as myoclonic status epilepticus. Neurol Clin Pract. 2019 Dec; 9(6):516–518. PMID: 32042496. https://doi.org/10.1212/CPJ.0000000000000686
- Rolland B., Deheul S., Danel T., Bordet R., Cottencin O. A case of de novo seizures following a probable interaction of high-dose baclofen with alcohol. Alcohol Alcohol. 2012;47(5): 577–580. PMID: 22753796. https://doi.org/10.1093/alcalc/ags076
- de Witte L. D., Dekker D., Veraart J., Kromkamp M., Kaasjager K. Aggression and Restlessness Following Baclofen Overdose: The Narrow Line Between Intoxication and Withdrawal Symptoms. Ned Tijdschr Geneeskd. 2016;160:A9604. PMID: 27484417. (In Dutch)
- Wolf M.E., Mosnaim A.D. Baclofen-induced manic symptoms: case report and systematic review. Psychosomatics. 2017;58:94. https://doi.org/10.1016/j.psym.2016.08.004
- Chapman R.W., Hey J.A., Rizzo C.A., Bolser D.C. GABAB receptors in the lung. Trendsin Pharmacological Sciences. 1993; 14(1):26–29. PMID: 8382886.
- Mizuta K., Xu D., Pan Y., Comas G., Sonett J.R., Zhang Y., et al. GABAA receptors are expressed and facilitate relaxation in airway smooth muscle. Am J Physiol Lung Cell Mol Physiol. 2008;294(6):L1206–1216. PMID: 18408071.
- Denora N., Laquintana V., Lopedota A., Serra M., Dazzi L., Biggio G., et al. Novel L-Dopa and dopamine prodrugs containing a 2-phenyl-imidazopyridine moiety. Pharm Res. 2007; 24(7):1309–1324. PMID: 17404814.
Supplementary files














