Possible neurogenic mechanisms in sudden infant death syndrome
- Authors: Kopylov A.V.1,2, Berlay M.V.1,2
-
Affiliations:
- Forensic Medicine and Law Stavropol State Medical University
- Regional Bureau of Forensic Medical Examination
- Issue: Vol 6, No 3 (2020)
- Pages: 31-35
- Section: Original study articles
- Submitted: 03.09.2020
- Accepted: 14.09.2020
- Published: 23.10.2020
- URL: https://for-medex.ru/jour/article/view/321
- DOI: https://doi.org/10.19048/fm321
- ID: 321
Cite item
Full Text
Abstract
Background. Sudden infant death syndrome (SIDS) is the unexpected, non-violent death of an apparently healthy child aged 7 days to 1 year, in which the anamnesis and autopsy data do not reveal the cause of the fatal outcome. Researchers have not come to a consensus on the thanatological role of morphological changes in the brain. Aim. To determine pathomorphological changes in the brain in the case of sudden death syndrome in children. Material and methods. Forensic medical studies of 118 deaths of healthy children who died suddenly for the period 2008–2017 were carried out and analyzed on the territory of the Stavropol region. Autopsy material was divided into groups: the main group (1) consisted of 74 observations (62.8%), where SIDS was the main final sectional diagnosis. The comparison group (2) consisted of 44 (37.2%) observations; the children died suddenly at home as a result of viral-bacterial pneumonia. For the control, the third group was formed (3), which included 45 observations, where the death of children occurred as a result of drowning and carbon monoxide poisoning. Results. A histological examination of pieces of the brain in the case of sudden death syndrome revealed the foci of angiomatosis of the vessels of the pia mater and brain matter with the normal structure of the elastic membrane of the arteries, the effects of glial proliferation in the subependymal region of the lateral ventricles and subcortical formations. In the medulla oblongata, in a detailed study of the posterior (vegetative) nucleus of the vagus nerve, degenerative changes in neurons were detected in the form of chromatolysis and karyolysis, a glial reaction of the neuronophagic type. Conclusion. Pathomorphological changes in the brain stem may be due to combined intrauterine hypoxic and intrapartum traumatic factors, which, potentiating each other, lead to dysregulation of the respiratory rhythm with the development of a fatal outcome during sleep.
Full Text
ВВЕДЕНИЕ
Случаи внезапной смерти детей грудного возраста на фоне видимого здоровья подозрительны, могут носить насильственный характер, и по этой причине подлежат судебно-медицинскому исследованию. В Международной классификации болезней X пересмотра, в разделе «неизвестные причины смерти» под кодом R 95 имеется диагноз «внезапная смерть грудного ребенка». С 1969 г. его понимают как неожиданную ненасильственную смерть видимо здорового ребенка в возрасте от 7 дней до 1 года, при которой данные анамнеза и результаты вскрытия не позволяют объяснить наступление летального исхода [1].
В большинстве промышленно развитых стран частота синдрома внезапной смерти детей (СВСД) составляет 0,6–2,0 на 1000 родившихся живыми. В Японии зарегистрирована самая низкая смертность от данного синдрома — 0,09 на 1000 живорожденных детей [2]. На территории Российской Федерации смертность от СВСД находится в широких пределах — от 0,06 до 2,8 на 1000 родившихся живыми [3].
История изучения СВДС изобилует большим числом теорий его возникновения. Они варьируют от «заспания ребенка» телом матери, механического сдавления трахеи большим тимусом, сердечной недостаточности вследствие удлиненного интервала QT до нарушений выработки серотонина нейронами ствола мозга [4, 5]. Согласно результатам научной работы С. Л. Парилова (2009), в основе внезапной смерти детей первого года жизни может лежать родовая сочетанная травма центральной и периферической нервной системы с отсроченным летальным исходом в младенческом возрасте [6, 7]. Следует отметить, что к единому мнению о причине патоморфологических изменений в головном мозге и их танатологической роли в наступлении летального исхода у детей исследователи так не пришли.
Авторами, изучающими проблему внезапной смерти детей первого года жизни, описаны так называемые жизнеугрожающие и предшествующие внезапной смерти младенцев состояния — апноэ, нарушения ритма сердца, гастроэзофагеальный рефлюкс, которые могут быть обусловлены изменениями в стволовых отделах мозга. Данное обстоятельство диктует необходимость проведения дальнейшего научного исследования, которое будет способствовать оптимизации постмортальной диагностики СВСД в судебно-медицинской практике.
Цель исследования — определить патоморфологические изменения головного мозга при синдроме внезапной смерти детей.
МАТЕРИАЛ И МЕТОДЫ
Проведены и проанализированы судебно-медицинские исследования 118 случаев смерти детей, умерших внезапно на фоне видимого полного здоровья за период 2008–2017 гг. на территории Ставропольского края. Аутопсийный материал был разделен на группы: основную группу (1) составили 74 наблюдения (62,8%), где синдром внезапной смерти детей явился основным заключительным секционным диагнозом. Группу сравнения (2) составили 44 (37,2%) наблюдения, в которых смерть детей наступила внезапно дома в результате вирусно-бактериальной пневмонии. Для контроля была сформирована третья группа (3), куда вошло 45 наблюдений, где летальный исход детей наступил в результате утопления или отравления угарным газом.
Вскрытия детей проводили в соответствии с медицинскими технологиями, применяемыми при производстве судебно-медицинских экспертиз [8]. Детальному макроскопическому изучению был подвергнут ствол мозга с учетом особенностей анатомического строения продолговатого мозга и локализации ядер черепно-мозговых нервов в дне ромбовидной ямки (рис. 1–4). При гистологическом исследовании кусочки внутренних органов и головного мозга подвергали стандартной парафиновой обработке, окрашивали гематоксилин-эозином и пикрофуксином по Ван Гизону в 100% случаев. Кусочки стволовых отделов мозга были дополнительно окрашены гистохимическими методами: по Вейгерту — на эластические волокна, по Шпильмейеру — на миелиновые волокна, толуидиновым синим по Нисслю — для изучения структуры нервной ткани. Общий объем изученных гистологических препаратов составил 12 321 срезов, которые изучали при помощи светового микроскопа «Olympus-CX 31» с микрофотографированием. Микроморфометрия производилась с использованием программного обеспечения Image J2x, что позволило определить площадь объекта, выделенного на фотографии гистологического препарата. При изучении микроскопических срезов продолговатого мозга в основной группе (СВСД) и группе контроля провели статистический анализ морфометрических измерений с помощью пакета статистических и прикладных программ Statistica 6.0 (США).
Рис. 1. Схема проекции ядер черепно-мозговых нервов в дне ромбовидной ямки
Рис. 2. Задняя поверхность продолговатого мозга с контурируемой срединной бороздой (мальчик, 4 месяца 13 дней)
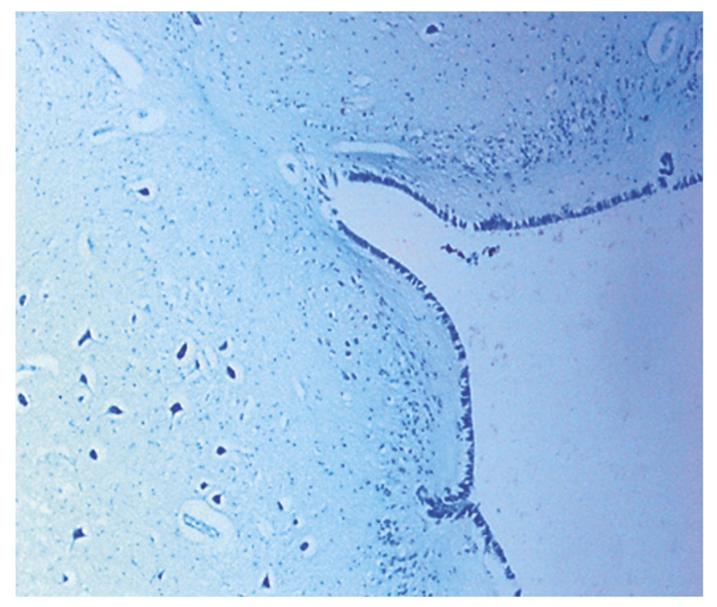
Рис. 3. Срединная борозда продолговатого мозга в микропрепарате (мальчик, 3 месяца 12 дней). Окраска толуидиновым синим по Нисслю. Ув. 40
Рис. 4. Заднее ядро блуждающего нерва продолговатого мозга с хроматолизом в нейронах и нейронофагией (мальчик, 3 месяца 12 дней). Окраска толуидиновым синим по Нисслю. Ув. 100
РЕЗУЛЬТАТЫ
Анализ статистических данных показал, что на территории Ставропольского края за период 2008–2017 гг. частота синдрома внезапной смерти детей представляла собой волнообразную кривую с колебаниями от 0,28 до 0,42‰ на 1000 живорожденных. В среднем встречаемость синдрома на территории Ставропольского края составила 0,36‰ на 1000 родившихся живыми детей [9, 10].
Пиковые значения летальных исходов в результате внезапной смерти детей грудного возраста были отмечены в период от 2 до 5 месяцев жизни с преобладанием в осенне-зимних сезонах, преимущественно в утренние часы — 6,0 ± 0,25 часа. По гендерным соотношениям количество мальчиков, умерших в результате СВСД, преобладало над числом умерших девочек — 62,2 и 37,8% соответственно. В сельской местности в результате синдрома внезапной смерти скончалось большее число детей — 69 (65,7%), чем в городах и районных центрах — 36 (34,3%).
Проведенное исследование позволило отметить, что у детей, умерших в результате синдрома внезапной смерти, существуют характерные патоморфологические макро- и микроскопические изменения внутренних органов, которые достоверно чаще встречаются при данном синдроме: это общие неспецифические признаки быстро наступившей смерти, такие как обилие трупных пятен, полнокровие внутренних органов, жидкое состояние крови, множественные мелкоточечные кровоизлияния в серозные и слизистые оболочки, участки острой эмфиземы и отека легких, отек головного мозга. К часто выявляемым признакам необходимо отнести гиперплазию тимуса и периферических лимфатических узлов, гипоплазию надпочечников с компенсаторным микроаденоматозом, гипертрофию стенки правого желудочка сердца, гиперплазию мышечного слоя сосудов среднего и малого калибра малого круга кровообращения.
При секционной диагностике детей, умерших вследствие синдрома внезапной смерти, особенное место, на наш взгляд, занимают признаки врожденной гиперплазии тимуса. В среднем масса тимуса у детей основной группы составила 24,3 ± 0,34 г. В контрольных наблюдениях у детей, умерших в результате насильственной смерти, масса тимуса составила 18,3 ± 0,25 г. Другим характерным морфологическим проявлением при внезапной смерти младенцев явилась гипоплазия надпочечников с компенсаторным микроаденоматозом. Указанные изменения являются морфологической основой врожденной иммунно-эндокринной недостаточности, которая значительно суживает спектр приспособительных и адаптивных реакций детей первого года жизни.
В основной группе исследование гистологических препаратов ткани легкого позволило в 25 (33,8%) случаях отметить явления серозно-десквамативного бронхита и бронхиолита с усилением лимфоидной ткани в перибронхиальном пространстве, что сочеталось с обнаружением в просвете альвеол повышенного числа макрофагов и единичных нейтрофилов. Эти изменения были расценены как проявления острой респираторно-вирусной инфекции в виде сопутствующей патологии.
При секционном исследовании головного мозга трупов детей, умерших вследствие синдрома внезапной смерти, в 63 случаях (85,1%) отмечался отек и венозное полнокровие мягких мозговых оболочек и вещества мозга. В 51 (68,9%) случае зафиксировано незначительное расширение латеральных желудочков мозга с умеренным содержанием прозрачной мозговой жидкости. При микроскопическом исследовании в 52 (70,3%) случаях в мягкой мозговой оболочке больших полушарий, мозжечка, в 42 (56,8%) случаях в веществе мозга определялись явления ангиоматоза: сосуды располагались группами, в виде пакетов, в одном поле зрения малого увеличения микроскопа их определялось повышенное количество (от 4 до 10).
В стенках сосудов мягкой мозговой оболочки и вещества мозга отмечались явления отека и плазматического пропитывания, при окраске по Ван Гизону — явления фиброза. В 58 случаях (78,4%) прослеживалась пролиферация клеток глии в субэпендимарных области боковых желудочков и подкорковых образованиях.
Детальному исследованию и анализу был подвергнут ствол мозга с учетом особенностей анатомического строения продолговатого мозга и локализации ядер черепно-мозговых нервов в дне ромбовидной ямки (см. рис. 3 и 4). В 54 случаях (72,9%) при гистохимической окраске срезов толуидиновым синим по Нисслю в заднем (вегетативном) ядре блуждающего нерва, расположенном в проекции вагусного треугольника ромбовидной ямки, обнаружены явления хроматолиза, кариолизиса и нейронофагии [11]. Морфометрические показатели в нейронах и сосудах ствола мозга были статистически значимы между показаниями контрольной и опытной группы в сопоставимых возрастах (р ≤ 0,01).
ЗАКЛЮЧЕНИЕ
Патоморфологические изменения в стволе мозга могут быть обусловлены сочетанными внутриутробными гипоксическими и интранатальными травматическими факторами, которые, потенцируя друг друга, ведут к нарушению регуляции дыхательного ритма с развитием летального исхода во время сна.
Для уточнения морфофункциональных изменений в стволовых отделах мозга у детей, умерших в результате синдрома внезапной смерти, в качестве перспективы дальнейшей разработки темы следует указать на необходимость проведения иммуногистохимических исследований.
About the authors
Anatoly V. Kopylov
Forensic Medicine and Law Stavropol State Medical University; Regional Bureau of Forensic Medical Examination
Email: kkbsme@bk.ru
ORCID iD: 0000-0003-3793-1370
SPIN-code: 9575-4240
Cand. Sci. (Med.), Нead of Department, Forensic Medicine and Law Stavropol State Medical University, Stavropol, Russia; Нead of Regional Bureau of Forensic Medical Examination
Russian FederationMargarita V. Berlay
Author for correspondence.
Email: berlay_mv@mail.ru
ORCID iD: 0000-0002-5809-8480
SPIN-code: 3676-6025
Cand. Sci. (Med.), Forensic Medical Expert, Regional Bureau of Forensic Medical Examination, Assistant Professor, Department of Forensic Medicine and Law, Stavropol State Medical University
Russian FederationReferences
- Moon R.Y., Horne R.S., Hauck F.R. Sudden infant death syndrome. Lancet. 2007;370(9598):1578−1587. https://doi.org/ 10.1016/S0140-6736(07)61662-6
- Hauck F.R., Tanabe K.O. International trends in sudden infant death syndrome and other sudden unexpected deaths in infancy: need for better diagnostic standardization. Curr Pediatr Rev. 2010;6(1):95−101. https://doi.org/10.2174/157339610791317241
- Кораблева Н.Н., Котова Е.Г., Кораблев А.В. Синдром внезапной смерти младенцев и другие ассоциированные со сном случаи младенческой смертности (на примере Республики Коми). Вестник Мордовского университета. 2017; 27(3):355−372. [Korableva N.N., Kotova E.G., Korablev А.V. Sudden infant death syndrome and other sleep-related infant deaths (case study of the Republic of Komi)]. Vestnik Mordovskogo universiteta. 2017;27(3):355−372. (In Russ.)]. https://doi.org/10.15507/0236-2910.027.201703.355-372
- Бокерия Л.А., Бокерия О.Л., Кулага О.И. Синдром внезапной смерти новорожденных: этиология, патогенез, современные диагностические подходы и методы профилактики. Анналы аритмологии. 2009;6(2):12–23. [Bokeria L.A., Bokeria O.L., Kulaga O.I. Sindrom vnezapnoy smerti novorozhdennykh: etiologiya, patogenez, sovremennyye diagnosticheskiye podkhody i metody profilaktiki. Annaly aritmologii. 2009;6(2):12–23. (In Russ.)]
- Lavezzi А.М. A New theory to explain the underlying pathogenetic mechanism of sudden infant death syndrome. Front Neurol. 2015;6:220−220. https://doi.org/10.3389/fneur.2015.00220
- Парилов С.Л., Клевно В.А., Бубнова Н.И., и др. Судебно-медицинская экспертиза родовой травмы новорожденных: биомеханика и диагностика. Под ред. В.А. Клевно. М.: Ассоциация СМЭ, 2015. 186 с. [Parilov S.L., Klevno V.А., Bubnova N.I., et al. Sudebno-meditsinskaya ekspertiza rodovoy travmy novorozhdennykh: biomekhanika i diagnostika. Ed. by V.А. Klevno. Moscow: Association of SME; 2015. 186 р. (In Russ.)]
- Парилов С.Л., Клевно В.А. Биомеханизм внутричерепной и спинальной родовой травмы ребенка при переднем виде затылочного предлежания с позиции судебной экспертизы. Судебно-медицинская экспертиза. 2008;51(1):47−52. [Parilov S.L., Klevno V.A. Biomechanism of intracranial and spinal birth injury of a child with anterior view of the occipital presentation from the position of forensic examination. Russian journal of forensic meditsine. 2008;51(1):47−52. (In Russ.)]
- Клевно В.А. Медицинские технологии, используемые при производстве судебно-медицинских экспертиз. Сборник медицинских технологий. М., 2012. С. 271−278. [Klevno V.A. Meditsinskie tekhnologii, ispolzuemyie pri proizvodstve sudebno-meditsinskikh ekspertiz. Sbornik meditsinskikh tekhnologiy. Moscow; 2012. Р. 271−278. (In Russ.)]
- Берлай М.В., Копылов А.В., Карпов С.М. Синдром внезапной смерти и другие показатели младенческой смерти в Ставропольском крае. Судебная медицина. 2017;3(1): 26−29. [Berlay M.V., Kopylov A.V., Karpov S.M. Sudden death syndrome and other indicators of infant death in Stavropol region. Russian journal of forensic medicine. 2017;3(1):26−29. (In Russ.)]. https://doi.org/10.19048/2411-8729-2017-3-1-26-29
- Berlay M.V., Kopylov A.V., Karpov S.M. Current state of the problem sudden infant death at home. Eur Science Rev. 2017; (1–2):67−70. https://doi.org/10.20534/ESR-17-1.2-67-70
- Берлай М.В., Копылов А.В., Карпов С.М. Патоморфологические изменения головного мозга при внезапной смерти детей первого года жизни. Вестник новых медицинских технологий. 2019;26(1):72−76. [Berlay M.V., Kopylov A.V., Karpov S.M. Patho-morphological changes brain in sudden infant death syndrome. Journal of New medical technologies. 2019;26(1):72−76. (In Russ.)]. https://doi.org/10.24411/1609-2163-2019-16257
Supplementary files












