结缔组织不成熟作为极低出生体重新生儿硬脑膜损伤的原因
- 作者: Gorun E.Y.1, Parilov S.L.1, Maximov A.V.1,2
-
隶属关系:
- Moscow Regional Research and Clinical Institute
- State University of Education
- 期: 卷 10, 编号 3 (2024)
- 页面: 363-371
- 栏目: 原创研究
- ##submission.dateSubmitted##: 29.06.2024
- ##submission.dateAccepted##: 12.07.2024
- ##submission.datePublished##: 22.10.2024
- URL: https://for-medex.ru/jour/article/view/16165
- DOI: https://doi.org/10.17816/fm16165
- ID: 16165
如何引用文章
详细
论证。深度早产是分娩时造成神经系统损伤的主要因素。文章分析了极低出生体重新生儿的产伤病例,研究了硬脑膜结构的特殊性,并将所得结果与足月儿的指标进行了比较。
该研究的目的是确定极低出生体重新生儿和足月儿硬脑膜结缔组织结构的明显特征;确定硬脑膜结构的特征与分娩过程中硬脑膜损伤之间是否存在关联。
材料与方法。我们进行了一项回顾性选择性研究。实验组由极低出生体重新生儿组成,对照组由产伤足月儿组成。研究人员对两组新生儿的小脑幕、大脑镰和静脉窦窦汇的硬脑膜进行了研究;通过光镜、偏光显微镜检查和形态测量法将其与 I 型胶原纤维的计数进行了比较。对实验组中的早产原因、硬脑膜出血的性质进行了评估。
结果。在极低出生体重的新生儿中,硬脑膜内出血明显,这表明分娩时头部形状变化导致硬脑膜过渡扩张,软脑膜内出血较少。实验组患者的硬脑膜为疏松结缔组织,主要由 短的 III 型胶原纤维组成,没有各向异性。在对照组中,缝线投影处蛛网膜下腔出血的严重程度与硬脑膜隔部分受损的严重程度相对应。硬脑膜由致密纤维结缔组织组成, 主要是具有明显极化效应的 I 型胶原。
在形态测量中,实验组中偏振光下各向异性的胶原纤维不超过 2-5%,而对照组中则不低于 30-50%。
结论。结构的特殊性表明,极低出生体重新生儿的硬脑膜结缔组织的形态和功能不成熟,这影响其韧性特性,并导致在任何类型的分娩过程中出现损伤。因此,这种损伤是病理改变的器官损伤,所以不以损害健康的严重程度为标准。
全文:
BACKGROUND
According to order no. 1687n of the Ministry of Health and Social Development of the Russian Federation1, the medical criterion for birth is a pregnancy term of 22 weeks or more, with a birth weight ≥500 g (or <500 g in the case of multiparity). In cases where the gestation period is less than 22 weeks or the birth weight of the child is less than 500 g, including those with unknown birth weight and a body length <25 cm, the criterion for birth is a life expectancy >168 hours after birth (7 days).
Official statistics show that the number of infants born prematurely is increasing worldwide. In the United States, the incidence of premature births is approximately 11%, and in Europe, it ranges from 5% to 7%. Despite advances in obstetric care, the rate of premature births has not decreased over the past 40 years [1].
Extremely low birth weight (ELBW) infants are more likely to die during the first week of life [1–3]. The mortality rate of ELBW infants is 8–13 times higher than that of term infants [4, 5]. Extreme prematurity is a leading risk factor for birth trauma. The brain and spinal cord are most often damaged during childbirth [3, 6–9].
Nervous system damage caused by inadequate medical care is a reason for initiating criminal and civil cases against obstetricians and gynecologists. At present, the issues of liability of medical staff are becoming increasingly crucial.
The American College of Obstetricians and Gynecologists reported that 80% of its members have faced lawsuits, with an average of three litigations per member. Most of the high-profile clinical negligence convictions, often for tens of millions of dollars, are related to birth injuries [10].
Currently, pathologists and forensic experts experience difficulties in examining such newborns, because they were not subjected to autopsy before the abovementioned legislative instrument took effect. According to international literature, the frequency of autopsies of deceased patients in neonatal intensive care units is decreasing. Postmortem magnetic resonance imaging is used as a supplement to or replacement for autopsy [11].
Recent studies in the Russian language have described the biomechanisms of birth injuries in full-term newborns, regardless of fetal presentation and operative delivery, and introduced scientific and practical developments of novel methods of sectional access to the jugular ganglia of the vagus nerve and vertebral arteries [12–15].
This study aimed to identify the characteristic features of the structure of the connective tissue of the dura mater in ELBW and full-term newborns and establish the relationship between the structural features of the dura mater and its damage during childbirth.
MATERIALS AND METHODS
Study design
An observational multicenter retrospective selective controlled non-randomized study was conducted.
Archival autopsy materials and materials of criminal and civil cases regarding fatal outcomes of ELBW newborns and full-term newborns with birth injury were analyzed. The study was conducted at the Krasnoyarsk Regional Office of the Chief Medical Examiner (KRO CME) and Regional Office of the Chief Medical Examiner of the Ministry of Health of the Khabarovsk Territory (Office of CME MH KT).
Eligibility criteria
The inclusion criteria were archival autopsy material and materials of criminal and civil cases regarding fatal outcomes of ELBW newborns and full-term newborns with confirmed birth injury.
The exclusion and non-inclusion criteria included archival autopsy material and materials of criminal and civil cases regarding fatal outcomes of premature newborns with a birth weight >1000 g, severe developmental defects, full-term newborns without an established diagnosis of birth injury, and stillborn fetuses.
Study conditions
Archival autopsy material, materials of criminal and civil cases, and histological glass slides/paraffin blocks were investigated at KRO CME and the Office of CME MH KT.
Study duration
The study used histological materials obtained from 2020 to 2023.
Description of medical intervention
A retrospective selective analysis of autopsy materials and criminal and civil case materials on fatal outcomes of ELBW and full-term newborns was conducted. The method and causes of delivery in the main and comparison groups were assessed. Hemorrhages in the dura mater caused by birth trauma were macro- and microscopically evaluated. Furthermore, distinctive features of the structure of the dura mater were explored, and morphometry of collagen fibers in both groups was performed in 30 fields of view of the microscope.
Standard histological processing of the material under study was carried out. The material was embedded in paraffin blocks, and histological microslides were made. Histological sections were stained with basic and acidic stains (hematoxylin and eosin). The sections were reviewed, studied, and described, and microphotographs were created on the ECLIPSE E200 microscope (Nikon, Japan). Polarization microscopy was performed using an ocular insert to determine the composition of collagen fibers in the dura mater tissue with subsequent morphometry of type I collagen. Obtained data were systematized and registered.
Main outcome of the study
Morphometry of type I collagen fibers in the dura mater showed significantly smaller number in ELBW neonates than in full-term neonates in 30 fields of view of the microscope, which causes immaturity and its damage during any type of birth.
Additional outcomes of the study
Additional expected results of the study of medical intervention were not registered.
Analysis in subgroups
A retrospective selective analysis of cases in autopsy materials and criminal and civil cases was performed, for which two study groups were formed: the main and comparison groups. The main group consisted of deceased ELBW (500–1000 g) newborns, regardless of the method of delivery (n=30), and the control group included deceased full-term newborns with a body weight of 2900–3600 g and confirmed birth injury, regardless of the method of delivery (n=30).
Methods of registration of outcomes
The operating shell Microsoft Windows Professional 2010 Excel was used to record the outcomes. Calculations were performed using the SPSS v.26 package.
Ethical considerations
The Independent Ethics Committee approved the PhD thesis “Biomechanism and forensic medical assessment of birth injuries in extremely low birth weight newborns” in the specialty 3.3.5 “Forensic Medicine” at the Department of Forensic Medicine of the Moscow Regional M.F. Vladimirsky Research and Clinical Institute. There was extract from the minutes of the meeting no. 15, dated 10/07/2021.
Statistical analysis
The probability of birth injury varies in the study groups (full-term and preterm infants); hence, a stratified sample was used with a separate calculation of the number for each stratum. In 2022, 4765 premature babies were born in Russia. Considering that 99.9% of them had a birth injury, at a significance level of 0.05 and a marginal sampling error of 1.2%, the minimum required sample size of the main group was 27 children.
In 2022, 47,247 children were born full-term in Russia. Considering that the prevalence of birth injury was 70%, at a significance level of 0.05 and a marginal sampling error of 17%, the minimum required sample size of the control group was 28 children. We rounded the sample sizes to 30 children. Differences in the marginal errors in each sample stratum were due to the different incidence of birth injury in each group.
The calculations were performed using the SPSS Statistics v.26 package, Microsoft Excel. A classical statistical method, such as the Mann–Whitney statistical test, was used. Indicators were considered statistically significant at p <0.001.
RESULTS
Research objects (participants)
Overall, 60 cases were studied. The main group included autopsy materials and criminal and civil case materials from 30 ELBW (500–1000 g) newborns, with a gestation period of 22–27 weeks. Premature delivery in this group was caused by acute uteroplacental insufficiency with the development of accelerated labor and requiring an emergency cesarean section in 60% and 40% of cases, respectively.
The comparison group included autopsy materials and criminal and civil case materials from 30 full-term newborns weighing 2900–3600 g with a confirmed birth injury. Delivery in the control group was through the natural birth canal and by elective cesarean section.
Main results of the study
In all the studied cases, ELBW neonates had pronounced intradural hemorrhages in the dura mater with localization in the falx, sinus drainage area, and cerebellar tentorium. Minimally severe “step symptom” with minor hemorrhages in the pia mater was determined. The dura mater from the area of the velum of the cerebellar tentorium, falx, and sinus drainage area had loose connective tissue consisting mainly of type III collagen fibers with a small amount of type I collagen fibers. Under polarization microscopy, type III collagen had short fibers with the absence of anisotropy at 400-fold magnification of the microscope. Collagen type I had single small fiber bundles with a clear polarization effect at 400x magnification of the microscope. Anisotropy in polarized light was detected in no more than 2%–5% of collagen fibers (Fig. 1).
Fig. 1. Dura mater of a deceased newborn with extremely low birth weight, sinus drainage area. Yellow filter. a ― staining: hematoxylin-eosin, magnification, ×400; b ― staining: hematoxylin-eosin, polarization, 10×10. (Photo from personal archive of the authors).
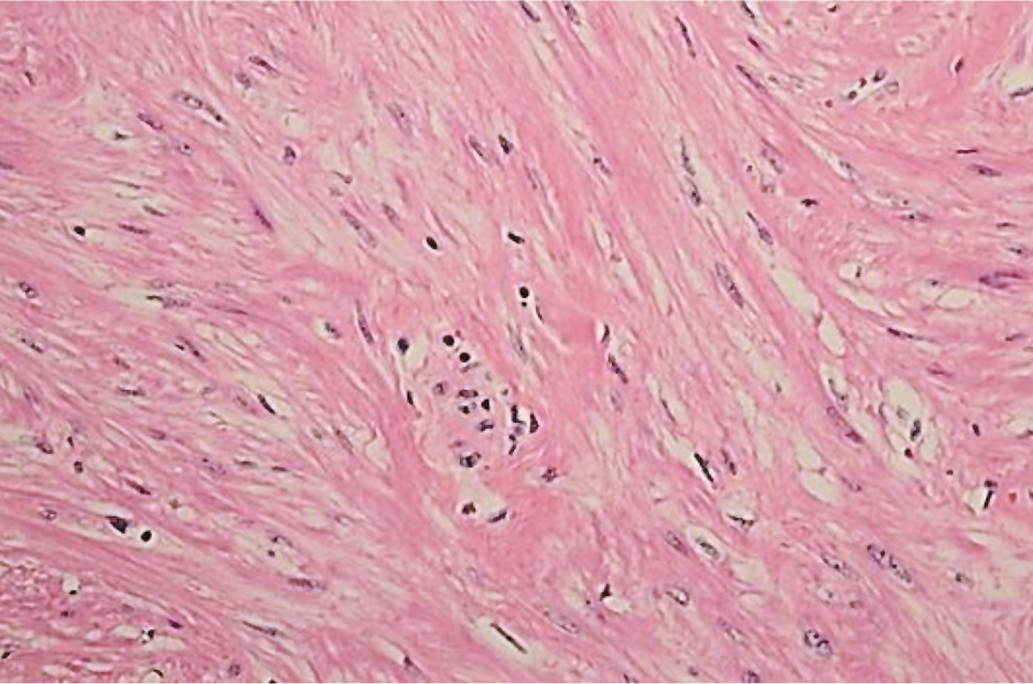
A comparison of the results indicated that in full-term newborns in the comparison group, the severity of subarachnoid hemorrhages in the projection of the sutures corresponded to the severity of damage to the septal parts of the dura mater. Histological examination showed that the dura mater from similar localizations consisted of dense fibrous connective tissue (Fig. 2). Anisotropy in polarized light was at least 30%–50%.
Fig. 2. The dura mater of a deceased full-term baby, the sinus drainage area. Blue filter. Staining: hematoxylin-eosin, ×400. (Photo from personal archive of the authors).
During statistical analysis, the minimum, maximum, and average values of the amount of collagen type I in the main group and comparison groups were compared. The indices were evaluated for compliance with normal distribution using the Kolmogorov–Smirnov test (with significance correction according to Lilliefors) and Shapiro–Wilk test. In both groups, the hypothesis of compliance with normal distribution was rejected. Therefore, structural indices (median and quartiles designated as Me [Q25; Q75]) and minimum and maximum values were used to characterize the indices. The nonparametric Mann–Whitney test was used to compare the groups by the indices of the percentage of mature fibers (Table 1). The minimum value for 30 visual fields varied from 2% to 5% in the main group (median: 2%) and from 30% to 40% in the comparison group (median: 39%). The maximum value for 30 visual fields varied in the main group from 3% to 5% (median: 4.5%) and from 40% to 50% in the comparison group (median 50%). The average value in the main group varied from 2.5% to 4.5% (median: 3.5%) and from 35% to 45% in the main group (median: 40%). A significant difference (p <0.001) was noted in the indices of presence of type I collagen fibers in the main and comparison groups. Figure 3 presents the diagram of the range of the average value of the percentage of mature fibers in the main and comparison groups.
Table 1. Comparison of the amount of type I collagen in the study group sample
Mature fibres in 30 fields of view, % | Main group | Control group | р | ||||
Min | Max | Me [Q25; Q75] | Min | Max | Me [Q25; Q75] | ||
Minimum value | 2.0 | 5.0 | 2.00 [2.00; 3.00] | 30 | 40 | 30.00 [30.00; 40.00] | <0.001 |
Maximum value | 3.0 | 5.0 | 4.50 [4.00; 5.00] | 40 | 50 | 50.00 [50.00; 50.00] | <0.001 |
Mean value | 2.5 | 4.5 | 3.50 [3.00; 3.63] | 35.0 | 45.0 | 40.00 [40.00; 45.00] | <0.001 |
Fig. 3. Comparison of mean values of type I collagen fibers across 30 visual fields in a study group sample.
Additional results of the study
No additional outcomes were registered.
DISCUSSION
During childbirth, compressive forces influence the presentation of the baby’s head. The increasing stress leads to tension of the dura mater duplications, namely, the velum of the tentorium cerebellum and falx [13, 14]. These structures are connective tissue consisting of cells, ground or amorphous substance, and collagen fibers [16]. Pronounced intradural hemorrhages in the dura mater duplications in the main group indicate their overstretching due to the displacement of the skull bones along the sutures. The dura mater of premature infants consists of loose connective tissue and the presence of only 3%–5% of mature type I collagen fibers, in contrast to full-term infants, whose dura mater consists of dense connective tissue and the presence of 30%–50% mature type I collagen fibers.
The differences and structural features of the connective tissue of the dura mater duplications in ELBW newborns indicate its morphofunctional immaturity, which reduces its strength characteristics and causes trauma during any type of delivery. These differences reveal the cause of damage to the septal parts of the dura mater in ELBW premature newborns.
CONCLUSION
Owing to the pronounced physiological immaturity of the connective tissue of the dura mater in ELBW newborns, its damage occurs regardless of the method of delivery and with technically correct obstetric management. Consequently, this injury is an injury to a painfully altered organ. Therefore, it is not subjected to forensic expert assessment of the severity of harm to health.
ADDITIONAL INFORMATION
Funding source. This article was not supported by any external sources of funding.
Competing interests. The authors declare that they have no competing interests.
Authors’ contribution. All authors made a substantial contribution to the conception of the work, acquisition, analysis, interpretation of data for the work, drafting and revising the work, final approval of the version to be published and agree to be accountable for all aspects of the work. E.Yu. Gorun ― data collection, drafting the manuscript, scientific editing; S.L. Parilov ― data collection, scientific editing; S.L. Parilov, A.V. Maksimov ― review and approval of the final version of the manuscript.
1 Order of the Ministry of Health and Social Development of the Russian Federation, dated December 27, 2011, no. 1687n, “On medical criteria for birth, the form of the birth document and the procedure for issuing it” (as amended on October 13, 2021). Access mode: https://docs.cntd.ru/document/902320615?ysclid=lyn4dbab4a160264169.
作者简介
Ekaterina Y. Gorun
Moscow Regional Research and Clinical Institute
编辑信件的主要联系方式.
Email: katuhka30@mail.ru
ORCID iD: 0000-0002-7008-2975
SPIN 代码: 4298-5402
俄罗斯联邦, Moscow
Sergey L. Parilov
Moscow Regional Research and Clinical Institute
Email: parilov.s@mail.ru
ORCID iD: 0000-0001-9888-4534
SPIN 代码: 1764-7532
MD, Dr. Sci. (Medicine), Assistant Professor
俄罗斯联邦, MoscowAlexandr V. Maximov
Moscow Regional Research and Clinical Institute; State University of Education
Email: mcsim2002@mail.ru
ORCID iD: 0000-0003-1936-4448
SPIN 代码: 3134-8457
MD, Dr. Sci. (Medicine), Assistant Professor
俄罗斯联邦, Moscow; Moscow参考
- Goldenberg RL. The management of preterm labor. Obstetrics Gynecol. 2002;100(5, Pt 1):1020–1037. doi: 10.1016/s0029-7844(02)02212-3
- Duskaliev DA, Khvil YV. Analysis of autopsy data of children with extremely low body weight and very low body weight. Forcipe. 2020;3(S):644–645. (In Russ). EDN: CVBXCU
- Boyle AK, Rinaldi SF, Norman JE, Stock SJ. Preterm birth: Inflammation, fetal injury and treatment strategies. J Reproductive Immunol. 2017;(119):62–66. EDN: VZOVMT doi: 10.1016/j.jri.2016.11.008
- Sokolovskaya TA, Stupak VS, Son IM, et al. Premature children with extremely low body weight: Dynamics of morbidity and mortality in the Russian Federation. Far Eastern Med J. 2020;(3):119–123. EDN: PNLZIG doi: 10.35177/1994-5191-2020-3-119-123
- Zhevneronok IV, Shalkevich LV, Lun AV. Modern representation of periventricular leukomalacia genesis in premature newborns. Rep Health Eastern Eur. 2020;10(3):350–356. EDN: MNVMUG doi: 10.34883/PI.2020.10.3.013
- Kozlov YA, Kapuller VM. Birth injuries to the organs of abdominal cavity and retroperitoneal space in newborn infants. Pediatriya. Zhurnal im. G.N. Speranskogo. 2020;99(5):175–184. EDN: MMIRUR doi: 10.24110/0031-403X-2020-99-5-175-184
- Glukhov BM, Bulekbaeva ShA, Baydarbekova AK. Etiopathogenic characteristics of the intraventricular hemorrhages in the structure of perinatal brain injuries: A literature review and the results of own research. Russ J Child Neurol. 2017;(2):21–33. EDN: ZBTNCT doi: 10.17650/2073-8803-2017-12-2-21-33
- Kravchenko EN. Risk factors of birth injury. Fundamental Clin Med. 2018;3(3):54–58. EDN: YKWQDR
- Milovanova OA, Amirkhanova DY, Mironova AK, et al. The risk of forming neurological disease in extremely premature infants: A review of literature and clinical cases. Med Council. 2021;(1):20–29. EDN: CIFVUB doi: 10.21518/2079-701X-2021-1-20-29
- Donn SM, Chiswick ML, Fanaroff JM. Medico-legal implications of hypoxic-ischemic birth injury. Seminars Fetal Neonatal Medicine. 2014;19(5):317–321. doi: 10.1016/j.siny.2014.08.005
- De Sévaux JL, Nikkels PG, Lequin MH, Groenendaal F. The value of autopsy in neonates in the 21st century. Neonatology. 2019;115(1):89–93. doi: 10.1159/000493003
- Bubnova NI, Parilov SL, Tskhai VB. Birth traumatic brain injury in newborns: The obstetrician’s fault or an accident? Sibirskoye meditsinskoye obozreniye. 2009;(3):114–115. (In Russ).
- Forensic medicine: National guide. Ed. Yu.I. Pigolkin. 2nd ed., revised and updated. Moscow: GEOTAR-Media; 2021. 672 р. (In Russ).
- Parilov SL. Birth trauma of the nervous system in children. Monograph. 2018. (In Russ). Available from: https://oa.mg/work/2963831840. Accessed: 15.04.2024.
- New medical technology AA 0001104. FS № 2011/169. 15.06.2011. Forensic differential diagnosis of birth trauma of the nervous system from trauma of violent origin. (In Russ). Available from: https://www.rc-sme.ru/Publishing/BookCatalog/index.php?ELEMENT_ID=1560. Accessed: 15.06.2024.
- Kuznetsov SL, Mushkambarov NN. Histology, cytology and embryology: Textbook. 3rd ed., revised and updated. Moscow: Meditsinskoe informatsionnoe agentstvo; 2016. 640 p. (In Russ).
补充文件






