Clinical and morphological features of malignant hyperthermia: a rare case from practice
- Authors: Anichkov N.M.1, Kalinina E.Y.1, Davydova Z.V.1, Shcherbakova E.V.2, Yagmurov O.D.3
-
Affiliations:
- Saint-Petersburg State Pediatric Medical University
- Bureau of Forensic Medical Examination of the Leningrad region
- St. Petersburg Bureau of Forensic Medical Examination
- Issue: Vol 8, No 4 (2022)
- Pages: 97-104
- Section: Case reports
- Submitted: 11.06.2022
- Accepted: 10.11.2022
- Published: 17.12.2022
- URL: https://for-medex.ru/jour/article/view/733
- DOI: https://doi.org/10.17816/fm733
- ID: 733
Cite item
Full Text
Abstract
Malignant hyperthermia, is one of the most serious complications of modern anesthesia, which is a pharmacogenetic disease phenotypically manifested by skeletal muscle hypermetabolism and rhabdomyolysis during or after general anesthesia using inhalation anesthetics. An unexpected increase in CO2 concentration at the end of exhalation is the most common initial sign of malignant hyperthermia. Atypical forms of this pharmacogenetic disease are observed much more often than lightning or fulminant. In Russia, malignant hyperthermia currently remains a problem.
We present a case of malignant hyperthermia in a 19-year-old girl who underwent surgery for nasal breathing disorders and received Sevoran anesthesia as support. The patient died 1 h 25 min after the surgery during withdrawal from anesthesia caused by a clinically confirmed syndrome of malignant hyperthermia. Forensic autopsy confirmed this diagnosis. The morphological changes in the skeletal muscles using both plain and elective histological stains were described.
The presented observation is valuable owing to the rarity of lightning-fast forms of malignant hyperthermia and the high lethality accompanying these pathologies. This expert case demonstrate how a competent and comprehensive histological examination, including the use of genetic testing, allows correct formulation of a diagnosis and, if necessary, reasonably answer questions from law enforcement agencies.
Full Text
АКТУАЛЬНОСТЬ
Злокачественная гипертермия (ЗГ) является фармакогенетическим расстройством метаболизма скелетных мышц, наследуемым по аутосомно-доминантному типу. В большинстве случаев мутации обнаруживаются в гене, кодирующем рианодиновые рецепторы 1-го типа (RyR1), отвечающие за высвобождение Ca2+ из саркоплазматического ретикулума [1]. При наличии указанных мутаций возможны неконтролируемый выход Ca2+ и чрезмерная стимуляция аэробного и анаэробного гликолиза, что ведёт к респираторному и метаболическому ацидозу, изменениям проницаемости клеточной мембраны и гиперкалиемии [2, 3].
Необходимо отметить, что молниеносные, или фульминантные, формы ЗГ встречаются достаточно редко. Но существуют ещё и атипичные формы ЗГ, которые наблюдаются намного чаще. Например, ригидность жевательной мускулатуры в 1/3 случаев является признаком ЗГ и регистрируется с частотой 1:4000–1:16 000. В 45–52% наблюдений этот синдром развивается у людей в возрасте до 19 лет. Основные клинические проявления ЗГ включают в себя гиперкапнию, синусовую тахикардию и генерализованную мышечную ригидность. Наиболее частым начальным признаком ЗГ является неожиданный подъём концентрации CO2 в конце выдоха (ETCO2) [4]. Золотым стандартом диагностики ЗГ является галотан-кофеиновый контрактурный тест in vitro, недоступный в нашей стране. Другой способ диагностики ― генетический тест с определением мутаций гена RyR1, обладающий низкой чувствительностью. Единственный известный препарат на данный момент против ЗГ ― блокатор RyR1 дантролен ― успешно прошёл регистрацию в России в марте 2022 г.
Несомненный интерес представляет случай из собственной практики, когда у молодой девушки, подвергшейся несложному плановому хирургическому вмешательству, развился синдром злокачественной гипертермии.
ОПИСАНИЕ ЭКСПЕРТНОГО СЛУЧАЯ
Из обстоятельств дела
Пациентка Ю., 19 лет, поступила в хирургическое отделение с диагнозом хронического полипозного риносинусита с нарушением носового дыхания. В предоперационном периоде противопоказаний к операции выявлено не было.
Из медицинских документов. Проводилась комбинированная ингаляционная анестезия с миорелаксантами: премедикация раствором атропина сульфата и раствором фентанила (артериальное давление 136/82–122/78 мм рт.ст., частота сердечных сокращений 72–86/мин, синусовый ритм, SpO2 98–99%). Вводная анестезия раствором пропофола, прекураризация раствором пипекурония бромида, интубация трахеи на фоне миоплегии раствором суксаметония йодида, перевод на принудительную вентиляцию лёгких в режиме IPPV (intermittent positive pressure ventilation): дыхательный объем 450 мл, частота дыханий 12/мин, отношение вдох/выдох ― 1/2, положительное давление в конце выдоха 4 см вод.ст. Поддержание анестезии ингаляционным препаратом севофлюраном и раствором фентанила. Гемодинамика стабильна: артериальное давление 112/70–102/64–98/58–112/67 мм рт. ст., пульс 110–100–96–120/мин, ритм синусовый, SpO2 (периферическая кислородная сатурация) 100%, pCO2 (парциальное давление углекислого газа в плазме крови) 34–38–42 мм рт.ст.
09:40. Оперативное вмешательство в объёме септопластики, полипоэтмоидотомии левой половины полости носа, эндоскопической синусотомии левой верхнечелюстной пазухи, подслизистой вазотомии нижних носовых раковин. Оперативное вмешательство прошло без осложнений.
11:05. Заменена ловушка газоанализатора монитора. Отключена подача севофлюрана. Дыхательный контур заменён, а искусственная вентиляции лёгких продолжена по полуоткрытому контуру. Периферическая температура 37°С, мышечной ригидности и тризма жевательной мускулатуры не выявлено. Аускультативно дыхание без хрипов.
11:10. pCO2 99 мм рт.ст., SpO2 100%. Выявлены тризм жевательной мускулатуры, повышение периферической температуры тела до 40°С, тенденция к брадикардии. Начаты реанимационные мероприятия.
11:43. pH (водородный показатель) 6,575; pCO2 >130 мм рт.ст., К+ (ионы калия) 6,2 ммоль/л; восстановление деятельности сердечно-сосудистой системы.
С 12:00 отмечались эктопический ритм с переходом в стойкую асистолию, ослабление дыхания слева, pН 6,78, pCO2 114,7 мм рт.ст., pO2 (парциальное давление кислорода) 23 мм рт.ст., HСО3+ 17,1 ммоль/л, tСО2 (общая концентрация двуокиси углерода) 21 ммоль/л, sO2 (насыщение артериальной крови кислородом) 13%, Na+ (ионы натрия) 134 ммоль/л, K+ 9,0 ммоль/л, Hb (гемоглобин) 71 г/л, КФК-МВ (МВ-фракция креатинфосфокиназы) 431 Ед/л.
12:40. Несмотря на проводимые реанимационные мероприятия, через 1 ч 25 мин после окончания операции констатирована биологическая смерть пациентки.
Заключительный клинический диагноз
Окончательный диагноз ЗГ был поставлен на основании клинических признаков в соответствии со шкалой, предложенной M.G. Larach в 1994 г. [6].
Основное заболевание. Искривление носовой перегородки с нарушением носового дыхания. Хронический полипозный риносинусит. Вазомоторный ринит. Операция: септопластика, полипоэтмоидотомия левой половины полости носа. Эндоскопическая синусотомия левой верхнечелюстной пазухи. Подслизистая вазотомия нижних носовых раковин. Синдром злокачественной гипертермии.
Осложнения. Сердечно-сосудистая недостаточность. Отёк лёгких. Отёк головного мозга.
Непосредственная причина смерти: острая сердечно-сосудистая недостаточность.
Результаты судебно-медицинского вскрытия
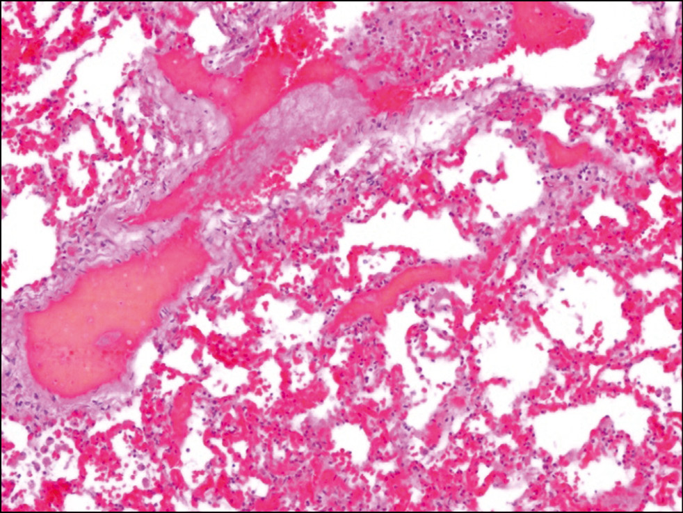
Уже через 45 мин после констатации смерти при наружном осмотре трупа отмечены раннее появление трупных пятен в отлогих местах и задней поверхности тела, мышцы дрябловатой консистенции, ригидность скелетной мускулатуры (наиболее выраженная в икроножных мышцах) и выраженная плантарная флексия стоп. Макроскопически выявлены признаки выраженного острого венозного полнокровия в системе малого и большого кругов кровообращения с явлениями отека легких и головного мозга, множественными мелкими точечными кровоизлияниями.
Гистологическое исследование. При гистологическом исследовании во всех органах отмечалось резкое полнокровие не только в крупных сосудах, но также в артериолах и венулах с развитием агрегации (сладжа) эритроцитов, явлениями внутрисосудистого гемолиза и формированием гомогенных жёлто-бурых масс, повторявших, как слепки, очертания сосудов (рис. 1).
Рис. 1. Резкое полнокровие сосудистого русла с развитием сладжа и потерей очертания эритроцитов, формированием гомогенных жёлто-бурых масс (внутрисосудистый гемолиз). Окраска гематоксилином и эозином, ×100. / Fig. 1. Massive plethora of blood vessels with the development of sludge and loss of outline of red blood cells with the formation of homogeneous yellow-brown masses (intravascular hemolysis). Hematoxylin-eosin, ×100.
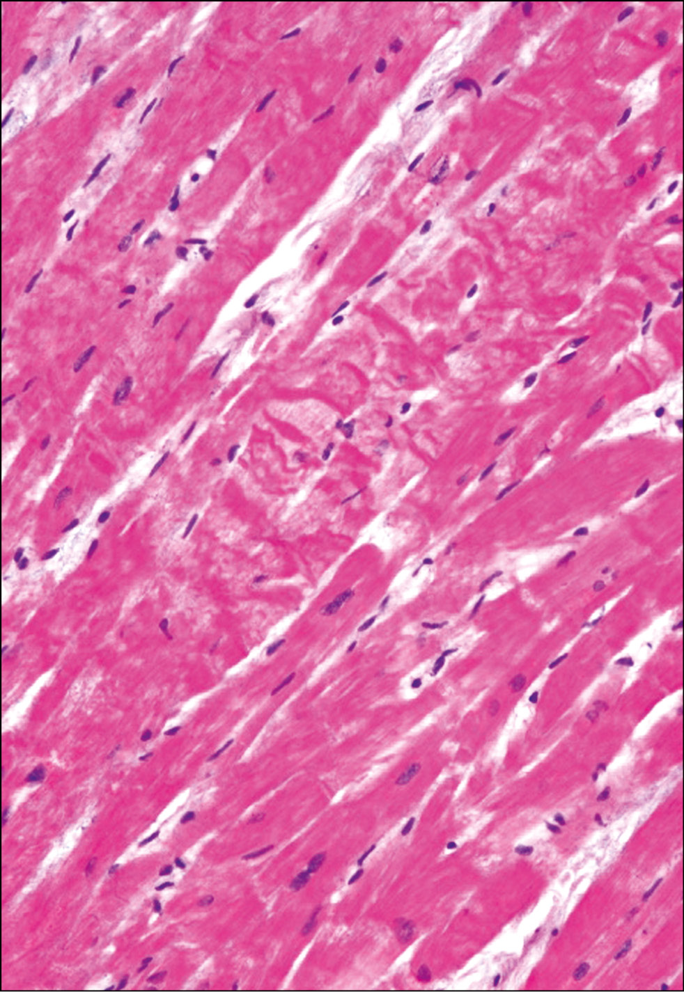
Кроме того, многие сосуды разного калибра в лёгких, почках, печени и головном мозге содержали массы фибрина и тромбы, а в тканях этих органов имелись мелкие диапедезные и крупные сливные кровоизлияния. В мио-карде выявлены участки волнообразной деформации и фрагментации кардиомиоцитов с очагами контрактур (рис. 2).
Рис. 2. Волнообразная деформация и фрагментация кардиомиоцитов с наличием участков контрактур. Окраска гематоксилином и эозином, ×200. / Fig. 2. Wave-like deformation and fragmentation of cardiomyocytes with the presence of contracture sites. Hematoxylin-eosin, ×200.
В скелетной мускулатуре (прямая мышца живота, мышцы бедра и голени) определялись признаки рабдомиолиза: на большем протяжении отмечались исчезновение поперечной исчерченности, разволокнение, а также очаговая извитость и гомогенизация некоторых мышечных волокон. В отдельных волокнах имелись признаки некроза в виде кариорексиса и кариолизиса (рис. 3, а). При окраске с помощью реакции ГОФП (гематоксилин–основной фуксин–пикриновая кислота; метод J.T. Lie с соавт. [7]) выявлялись фуксинофильные участки сегментарно окрашенных контрактур различной протяжённости и гомогенно окрашенные мышечные волокна (рис. 3, b).
Рис. 3. Морфологическая картина рабдомиолиза при злокачественной гипертермии: а ― исчезновение поперечной исчерченности, разволокнение, очаговая извитость, гомогенизация отдельных мышечных волокон с участками просветления (окраска гематоксилином и эозином, ×200); b ― положительно окрашенные фуксинофильные участки (окраска ГОФП, ×200). / Fig. 3. Morphological picture of rhabdomyolysis in malignant hyperthermia: а ― loss of cross-striation and fibrous structure, focal tortuosity, homogenization of individual muscle fibers with areas of enlightenment (Hematoxylin-eosin, ×200); b ― positively stained fuchsinophilic areas (GOFP stain, ×200).
В поляризационном свете отмечалось неравномерное свечение саркоплазмы мышечных волокон, были видны тёмные поперченные полосы «пересокращения».
Генетическое исследование. Посмертно было выполнено генетическое исследование с целью выявления мутации в гене, кодирующем RyR1, однако результат теста был отрицательным.
Заключительный судебно-медицинский диагноз
На основании данных медицинских документов, результатов лабораторных исследований был сформулирован следующий судебно-медицинский диагноз.
Основное заболевание. Предрасположенность к злокачественной гипертермии (фармакогенетическое заболевание, класс МКБ-10 Т88.3).
Сочетанное заболевание. Искривление носовой перегородки с нарушением дыхания (по клиническим данным). Хронический полипозный риносинусит. Воспалительно-отёчный полип левой половины полости носа с плоскоклеточной метаплазией (Б 18-18).
Операция (14.02.2018): септопластика, полипоэтмоидотомия левой половины полости носа, эндоскопическая синусотомия левой верхнечелюстной пазухи, подслизистая вазотомия нижних носовых раковин (О-444-18).
Осложнения. Криз злокачественной гипертермии (по клиническим данным, резкий подъём температуры до 40°С, кислотно-основного состояния, рН 6,78, рСО2 34–38–42 до 114 мм рт.ст., К+ >9 ммоль/л): ускоренный посмертный аутолиз тканей, ригидность икроножных мышц, рабдомиолиз, выраженная плантарная флексия стоп, синдром диссеминированного внутрисосудистого свёртывания (массы фибрина и множественные тромбы в сосудах разного калибра, множественные кровоизлияния в лёгких, почках, печени и головном мозге). Острая сердечная недостаточность (выраженное венозное полнокровие в системах малого и большого круга кровообращения, отёк лёгких и головного мозга).
Непосредственной причиной смерти пациентки явился синдром диссеминированного внутрисосудистого свёртывания с развитием острой сердечно-сосудистой недостаточности.
ЗАКЛЮЧЕНИЕ
Представленный нами случай рассматривался в ходе комиссионной экспертизы, в состав которой были включены врачи судебно-медицинские эксперты, врач анестезиолог-реаниматолог, врач-патологоанатом.
Ценность представленного наблюдения обусловлена редкостью молниеносных форм злокачественной гипертермии и высокой летальностью, сопровождающими указанные варианты данного фармакогенетического заболевания.
Материалы представленного экспертного случая демонстрируют, как грамотно и полноценно проведённое гистологическое исследование, дополненное генетическим тестированием, позволяет в целях установления истины верно сформулировать диагноз и в случае необходимости аргументированно ответить на вопросы правоохранительных органов.
ДОПОЛНИТЕЛЬНО
Источник финансирования. Авторы заявляют об отсутствии внешнего финансирования при проведении поисково-аналитической работы.
Конфликт интересов. Авторы декларируют отсутствие явных и потенциальных конфликтов интересов, связанных с публикацией настоящей статьи.
Вклад авторов. Все авторы подтверждают соответствие своего авторства международным критериям ICMJE (все авторы внесли существенный вклад в разработку концепции, проведение исследования и подготовку статьи, прочли и одобрили финальную версию перед публикацией). Наибольший вклад распределён следующим образом: Е.Ю. Калинина, Е.В. Щербакова ― сбор данных; Е.Ю. Калинина, З.В. Давыдова ― написание текста рукописи; Н.М. Аничков, О.Д. Ягмуров ― научное редактирование текста рукописи, рассмотрение и одобрение окончательного варианта рукописи.
ADDITIONAL INFORMATION
Funding source. The study had no sponsorship.
Competing interests. The authors declare no apparent or potential conflicts of interest.
Authors’ contribution. All authors made a substantial contribution to the conception of the work, acquisition, analysis, interpretation of data for the work, drafting and revising the work, final approval of the version to be published and agree to be accountable for all aspects of the work.. E.Yu. Kalinina, E.V. Shcherbakova ― data collection; E.Yu. Kalinina, Z.V. Davydova ― drafting of the manuscript; N.M. Anichkov, O.D. Yagmurov ― critical revition of the manuscript for important intellectual content, review and approval of the final version of the manuscript.
About the authors
Nikolai M. Anichkov
Saint-Petersburg State Pediatric Medical University
Email: anichkov@bk.ru
ORCID iD: 0000-0003-1834-7881
SPIN-code: 5222-7003
MD, Dr. Sci. (Med.), Professor
Russian Federation, 2, Litovskay street, Saint-Peterburg, 194100Elena Yu. Kalinina
Saint-Petersburg State Pediatric Medical University
Email: drkalinina@yandex.ru
ORCID iD: 0000-0001-7077-3584
SPIN-code: 1176-5739
MD, Cand. Sci. (Med.)
Russian Federation, 2, Litovskay street, Saint-Peterburg, 194100Zlata V. Davydova
Saint-Petersburg State Pediatric Medical University
Author for correspondence.
Email: zlata.davydova@rambler.ru
ORCID iD: 0000-0002-6673-8230
SPIN-code: 7016-7086
MD, Cand. Sci. (Med.)
Russian Federation, 2, Litovskay street, Saint-Peterburg, 194100Ekaterina V. Shcherbakova
Bureau of Forensic Medical Examination of the Leningrad region
Email: maestrovody@mail.ru
ORCID iD: 0000-0002-3818-1535
SPIN-code: 7685-0130
Russian Federation, Saint Petersburg
Oraz D. Yagmurov
St. Petersburg Bureau of Forensic Medical Examination
Email: oraz.yagmurov@gmail.com
ORCID iD: 0000-0003-1822-6043
SPIN-code: 7765-8978
MD, Dr. Sci. (Med.)
Russian Federation, Saint PetersburgReferences
- Lawal TA, Wires ES, Terry NL, et al. Preclinical model systems of ryanodine receptor 1-related myopathies and malignant hyperthermia: a comprehensive scoping review of works published 1990–2019. Orphanet J Rare Dis. 2020;15(1):113. doi: 10.1186/s13023-020-01384-x
- Gong X. Malignant hyperthermia when dantrolene is not readily available. BMC Anesthesiol. 2021;21(1):119. doi: 10.1186/s12871-021-01328-3
- Yang L, Tautz T, Zhang S, et al. The current status of malignant hyperthermia. J Biomed Res. 2020;34(2):75–85. doi: 10.7555/JBR.33.20180089
- Knuiman GJ, Küsters B, Eshuis L, et al. The histopathological spectrum of malignant hyperthermia and rhabdomyolysis due to RYR1 mutations. J Neurol. 2019;266(4):876–887. doi: 10.1007/s00415-019-09209-z
- Chang L, Daly C, Miller DM, et al. Permeabilised skeletal muscle reveals mitochondrial deficiency in malignant hyperthermia-susceptible individuals. Br J Anaesth. 2019;122(5):613–621. doi: 10.1016/j.bja.2019.02.010
- Larach MG, Localio AR, Allen GC, et al. A clinical grading scale to predict malignant hyperthermia susceptibility. Anesthesiology. 1994;80(4):771–779. doi: 10.1097/00000542-199404000-00008
- Lie JT, Holley KF, Kampa WR, et al. New histochemical method for morphologic diagnosis of early stages of myocardial ischemia. Proc Mayo Clin.1971;46(5):319–327.
Supplementary files







