Morphological changes in the testes of white rats and humans in acute and chronic alcoholic intoxications: Experimental and sectional study
- Authors: Babanin A.A.1,2, Ulanov V.S.1,2
-
Affiliations:
- V.I. Vernadsky Crimean Federal University
- Medical Academy named after S.I. Georgievsky
- Issue: Vol 9, No 1 (2023)
- Pages: 19-27
- Section: Original study articles
- Submitted: 02.06.2022
- Accepted: 18.10.2022
- Published: 06.03.2023
- URL: https://for-medex.ru/jour/article/view/729
- DOI: https://doi.org/10.17816/fm729
- ID: 729
Cite item
Full Text
Abstract
BACKGROUND: This study analyzed the effects of ethyl alcohol and narcotic drugs on male reproductive organs. Practically no studies have examined morphological transformations in the testicles during alcohol intoxication, which, at the current level of ethanol consumption by men of reproductive age, is a social and medical problem that is far from being solved.
AIM: Through short-term and long-term experiments, this study aimed to examine the severity and dynamics of morphological changes in the gonads during alcohol intoxication in mature rats and in comparison with those in individuals who died from alcoholic disease and severe alcohol catamnesis.
MATERIAL AND METHODS: The study examined the testicles of sexually mature rats that were subjected to acute and chronic alcohol intoxications (from 2 weeks to 6 months) and testicles of persons who died in which ethyl alcohol was found in the blood (at least 5 promile) and alcohol catamnesis were noted.
RESULTS: In both experimental and sectional materials, the stroma of the testicles was characterized by severe circulatory disorders with plethora and stasis in post-capillaries and small veins, edema, and perivascular and interstitial sclerosis. The inhibition of spermatogenesis in the sectional material was more pronounced, which indicated that alcohol was the main etiopathological factor in these changes.
CONCLUSION: Chronic alcohol intoxication in both rats and men has damaging effects both directly, with changes in the stroma and testicular parenchyma, and indirectly on the overlying links of the reproductive system (hypothalamus and pituitary gland). The neurotoxic, microangiopathic, and disenergetic effects of ethanol inhibit normal spermatogenesis. Ultimately, the negative effect based on the morphological analysis was observed in the hypotesticular conditions and morphological manifestations of the testicular wasting syndrome.
Keywords
Full Text
ОБОСНОВАНИЕ
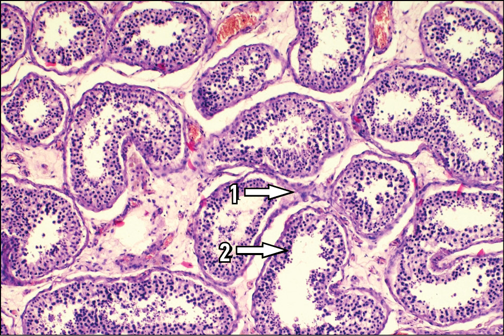
Судебно-медицинская оценка висцеральной патологии при алкогольных интоксикациях обстоятельно описана группой авторов под руководством Ю.И. Пиголкина и стала уже классикой [1–4]. Что касается влияния алкоголя на мужскую репродуктивную систему (гипоталамус, передняя доля гипофиза, яички), то он снижает выработку и активность лютеинизирующего и фолликулостимулирующего гормонов с их критическими репродуктивными функциями и, в конечном итоге, отрицательно влияет на клетки Лейдига, секретирующие тестостерон, а также на клетки Сертоли (сустентоциты), которые играют основную роль в созревании сперматозоидов [5–6] (рис. 1).
Рис. 1. Яичко человека (контрольная группа). 1 — клетки Лейдига; 2 — клетки Сертоли. Окраска гематоксилином и эозином, ×100.
Цель исследования. С этих позиций представляют интерес динамика морфологических изменений в яичках при острой и хронической интоксикациях в эксперименте и сопоставление их с секционно-морфологическими данными лиц с соответствующим алкогольным катамнезом, умерших от отравления этанолом [7].
МАТЕРИАЛЫ И МЕТОДЫ
Дизайн исследования
Исследование было поделено на две части: секционное и экспериментальное. После получения и анализа результатов проводилось сравнение морфологических изменений при экспериментальном и секционном исследовании.
Критерии соответствия
В качестве секционного материала использованы яички, взятые от трупов лиц репродуктивного возраста (от 18 до 45 лет), смерть которых наступила от острой алкогольной интоксикации (уровень этилового алкоголя в крови составлял 5 и более промилле), кроме того, у всех присутствовали секционно-морфологические признаки длительного употребления алкоголя и соответствующий алкогольный катамнез.
Исследованы 52 случая, из них 46 отнесены к острому отравлению алкоголем на фоне хронической алкогольной интоксикации, а 6 составили контрольную группу (отсутствие алкогольного катамнеза и признаков длительного употребления алкоголя).
Для экспериментального исследования использованы яички самцов половозрелых крыс линии Вистар (возраст 3–4 месяца, масса до 200 г).
Условия проведения
Секционный материал отобран в ГБУЗ РК «Крымское республиканское бюро судебно-медицинской экспертизы» (Симферополь). Экспериментальная часть исследования проведена в Центральной научно-исследовательской лаборатории Медицинской академии имени С. И. Георгиевского (структурное подразделение) ФГАОУ ВО «Крымский федеральный университет имени В.И. Вернадского».
Экспериментальная часть исследования и анализ секционных результатов проведены по методике А.Г. Соловьёва: внутрижелудочное введение 40% раствора этилового спирта из расчёта 40 г/кг при остром отравлении этиловым спиртом; внутрижелудочное ежедневное введение 40% раствора этилового спирта из расчёта 7 г/кг в сутки при хронической алкогольной интоксикации в течение 2 недель, 1, 2, 3 и 6 месяцев [8].
Продолжительность исследования
Секционный материал отбирали в течение 4 лет (с 2014 по 2017 г.).
Экспериментальный материал был распределён следующим образом: моделирование острой алкогольной интоксикации: 12 крыс (6 ― контроль, 6 ― острое отравление алкоголем); моделирование хронической алкогольной интоксикации: 30 крыс (2 нед; 1, 2, 3, 6 мес алкоголизации), контрольная группа: 30 крыс (по 6 на каждую временную группу алкоголизации).
Методы регистрации исходов
Яички извлекали через паховый канал, фиксировали в 10% растворе забуференного нейтрального формалина, после фиксации производили вырезку секционного материала.
Секционный и экспериментальный материал подвергали стандартной гистологической проводке, использовали окраску гематоксилином и эозином, пикрофуксином по Ван Гизону. После просвечивающей электронной микроскопии (электронно-микроскопическое исследование секционного материала не проводилось в связи с развитием через 12–24 ч посмертных аутолитических изменений в яичках трупов) производили фотодокументирование микропрепаратов. Проводили морфометрическое исследование органа и измеряли следующие параметры: высоту сперматогенного эпителия (hЭ), диаметр извитых семенных канальцев (DК) ― кратчайшее расстояние между двумя противоположными точками, лежащими на границе между внутренней частью канальца; относительную площадь соединительной ткани в процентном соотношении (%соед); относительное количество клеток Лейдига (NL) ― среднее число клеток Лейдига, приходящихся на один семенной каналец на малом увеличении; число клеток Сертоли (NS) ― среднее число клеток Сертоли в одном семенном канальце.
Этические нормы
Манипуляции над подопытными животными проводили согласно требованиям, установленным Европейской конвенцией по защите позвоночных животных, используемых для экспериментальных и научных целей (Страсбург, 1986). Эксперимент на крысах проводили в строгом соответствии с этическими принципами и соблюдением правил проведения работ с использованием экспериментальных животных.
При работе с секционным материалом учитывали нормативно-правовые принципы и этические требования при работе с трупным материалом. Исследования соответствуют принципам, закреплённым в Хельсинкской декларации и последующих правках к ней.
Статистический анализ
Размер выборки секционного материала предварительно не рассчитывался, а исходил из общего количества объектов, подходящих по критериям исследования. Размер выборки экспериментального материала соответствовал минимально допустимому для статистической обработки и получения достоверных результатов количеству животных.
Результаты морфометрических исследований обрабатывались с помощью лицензионной компьютерной программы Statistica 10.0 (StatSoft Inc., США). Статистические таблицы формировались из базы первичных данных (программа Exсel 2010). Проводили первичную группировку данных, а также простейшие статистические операции, после чего материал переносили в программу Statistica 10.0 для проведения статистического анализа.
Нами использованы описательная статистика, критерий Стьюдента для зависимых и независимых выборок, критерий Шапиро–Уилка на нормальность распределения. Перед любыми вычислениями сначала производили проверку типа распределения выборки (тесты на нормальность) и удаление случаев со значениями-артефактами. Вычисляли среднюю арифметическую и стандартную ошибку средней арифметической (М±m). Результаты считали достоверными при р <0,05.
РЕЗУЛЬТАТЫ
Объекты исследования
Результаты экспериментального исследования позволили представить морфологические изменения в яичках в условиях острого и хронического воздействия алкоголя, а также сравнить и сопоставить их с результатами, полученными на секционном материале.
Основные результаты исследования
Морфометрические измерения яичек животных при остром отравлении алкоголем не показали каких-либо значимых изменений в структуре органа, лишь объём соединительной ткани уменьшился на 5,7%, а высота сперматогенного эпителия ― на 10,8%, при этом диаметр извитых семенных канальцев, число клеток Сертоли, относительное количество клеток Лейдига достоверно не изменились (табл. 1).
Таблица 1. Данные морфометрии яичек животных при экспериментальном остром отравлении алкоголем
Table 1. Data of the morphometry of the testicles of animals with experimental acute alcohol poisoning
Серия опытов | DК, мкм | %соед | hЭ, мкм | NS | NL |
Контроль | 250,2±23,1 | 3,5±0,5 | 58,3±8,8 | 41,6±1,3 | 8,1±1,1 |
Эксперимент | 248,0±21,5 | 3,3±0,4* | 52,0±11,3* | 41,3±0,9 | 8,1±1,0 |
Примечание. * р ≤0,05 с контрольной группой исследования.
Note: * Significance with the control group of the study p ≤0.05.
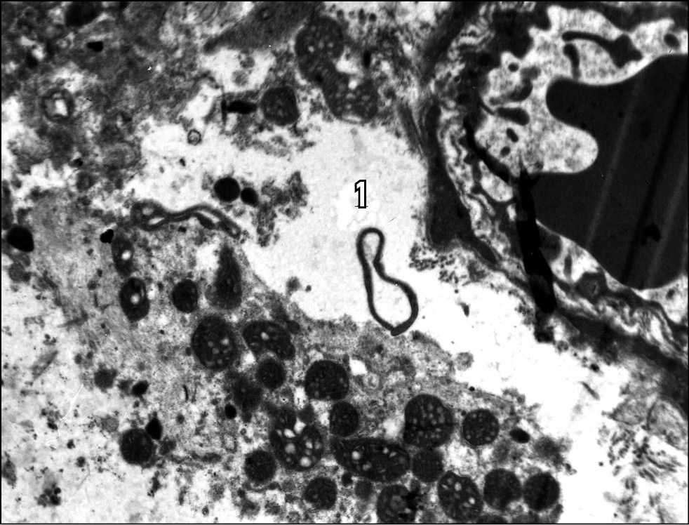
Макроскопически яички не отличались от контрольной группы. Микроскопически при острой алкоголизации животных определялись общие органные реакции на однократное токсическое воздействие алкоголя, что проявлялось отёком преимущественно стромы органа, полнокровием микрососудов, что не влекло за собой серьёзных изменений в сперматогенезе. Основные элементы яичка ― клетки Сертоли и Лейдига ― почти не реагируют на однократное воздействие алкоголя, что связано с кратковременностью его воздействия. Полученные результаты подтверждаются и субмикроскопическим исследованием при увеличении тканей органа в 3000–7000 раз: выявлены умеренный отёк стромы, сладж-феномен, расширение и полнокровие микрососудов. Обнаруженные изменения не являются специфичными для яичек, а лишь отражают частное проявление реакции гемомикрососудов на этиловый алкоголь (рис. 2).
Рис. 2. Яичко крысы линии Вистар. Просвечивающая электронная микроскопия: выраженные дистрофические изменения всех структур стенки капилляра яичек при остром алкогольном отравлении сочетаются с отёком и дезорганизацией их слоёв (1). Эндотелиальные выросты на люминальной поверхности (2). Деформация эритроцитов (3). Окрашивание водным раствором уранилацетата и цитрата свинца, ×3000.
Длительное влияние алкоголя на яички приводит к изменениям в сосудисто-стромальных элементах органа, присоединяются повреждения дистрофического характера, периваскулярный склероз и диффузное разрастание соединительной ткани, что ведёт к угнетению сперматогенеза.
При хроническом воздействии алкоголя в эксперименте в течение 2 недель выявлялись умеренные морфологические изменения при обзорной и ультраструктурной микроскопии в виде полнокровия сосудов микроциркуляторного русла, слабовыраженного периваскулярного отё-ка, при этом клетки пула органа оставались практически интактными. Морфологические показатели органа изменялись незначительно (табл. 2).
Таблица 2. Данные морфометрии яичек животных при экспериментальной хронической алкогольной интоксикации разной продолжительности
Table 2. Data of the morphometry of the testicles of animals with experimental chronic alcohol intoxication of different duration
Серии опытов | DК, мкм | %соед | hЭ, мкм | NS | NL |
Эксперимент (2 нед) | 238,9±4,3 | 4,1±0,1* | 50,2±1,4 | 40,9±1,2 | 8,0±1,1 |
Контроль (2 нед) | 250,9±3,3 | 3,5±0,2 | 57,2±2,4 | 41,2±1,1 | 8,1±0,5 |
Эксперимент (1 мес) | 238,8±3,8* | 3,9±0,2* | 49,8±1,1* | 40,8±1,1 | 7,7±0,8* |
Контроль (1 мес) | 249,9±5,3 | 3,5±0,3 | 57,9±1,9 | 41,4±1,0 | 8,2±0,1 |
Эксперимент (2 мес) | 234,5±5,7* | 7,7±0,3* | 41,3±1,4 | 38,8±0,9* | 7,7±0,7* |
Контроль (2 мес) | 251,9±3,1 | 3,6±0,2 | 58,4±1,5 | 41,7±1,2 | 8,1±0,3 |
Эксперимент(3 мес) | 229,8±5,9* | 7,6±0,2* | 37,6±1,2* | 36,2±1,4* | 7,5±1,4* |
Контроль (3 мес) | 249,3±4,7 | 3,6±0,2 | 56,3±1,9 | 40,2±0,9 | 8,0±0,7 |
Эксперимент (6 мес) | 237,2±4,3* | 6,6±0,1* | 42,4±1,5* | 36,3±1,5* | 7,5±1,1* |
Контроль (6 мес) | 244,8±4,1 | 3,7±0,2 | 54,2±2,7 | 40,1±1,3 | 7,9±0,8 |
Примечание. * р ≤0,05 с контрольной группой исследования.
Note: * Significance with the control group of the study p ≤0.05.
В сроки интоксикации алкоголем 1–3 месяца нарастали артериальная гиперемия и венозное полнокровие, сопровождаемые отёком стромы и паренхимы яичек. В местах выраженного субэпителиального отёка часть сперматогенного эпителия отслаивалась, что приводило к развитию в сперматогониях вакуольной и баллонной дистрофии. Развивались дистрофические изменения в основных структурных компонентах органа ― клетках Лейдига и более выраженные в клетках Сертоли.
Структурные изменения в тестикулах при хроническом воздействии алкоголя были однотипными и представлены лишь интенсивностью изменений в зависимости от сроков интоксикации. Эти изменения проявлялись не только нарушениями в стромально-сосудистых элементах, но и повреждениями паренхиматозных элементов яичек: множественные поля отслоения сперматогенного эпителия, дезорганизация стенок извитых семенных канальцев, дистрофические изменения клеток Сертоли и Лейдига, угнетение сперматогенеза, огрубение соединительнотканных прослоек за счёт новообразованных фуксинофильных и коллагеновых волокон, диффузное разрастание соединительной ткани (рис. 3).
Рис. 3. Яичко крысы линии Вистар. Просвечивающая электронная микроскопия: разволокнение стенки капилляра яичка при хроническом эксперименте (алкоголизация 3 мес) с отёчной жидкостью между стенкой капилляра и клеткой Лейдига (1). Окрашивание водным раствором уранилацетата и цитрата свинца, ×3000.
Результаты морфометрического исследования подтверждают данную картину. Ко второму месяцу эксперимента уменьшался диаметр извитых семенных канальцев на 6,7%, к третьему ― на 7,8%; высота сперматогенного эпителия ко второму месяцу интоксикации снижалась на 29,2%, к третьему ― на 33,2%; относительное количество клеток Лейдига ко второму месяцу эксперимента снижалось на 4,9%, к третьему ― на 6,3%; уменьшалось и среднее число клеток Сертоли: ко второму месяцу интоксикации на 6,9%, к третьему ― на 9,9%. При этом относительная площадь соединительной ткани увеличивалась относительно соответствующих измерений в контрольной группе: к первому месяцу на 11,4%, ко второму ― на 117,8%, к третьему ― на 111,1%, причём это происходило не только за счёт утолщения и огрубения стромы, но и путём замещения сперматогенного эпителия грубой волокнистой тканью (см. табл. 2).
К шестому месяцу хронической интоксикации алкоголем наблюдалось замедление динамики морфологических преобразований в яичках: высота сперматогенного эпителия уменьшилась на 21%, диаметр семенных извитых канальцев ― на 3,1%, среднее число клеток Сертоли ― на 9,4%, относительное количество клеток Лейдига ― на 5,1%, а относительная площадь соединительной ткани увеличилась на 78%. Несмотря на сохраняющиеся умеренные циркуляторные расстройства, динамика изменений к 6 месяцам алкоголизации несколько снижалась, чем при интоксикации длительностью 1–3 месяца.
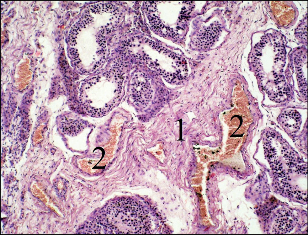
При морфологической оценке тестикул лиц с признаками висцеральной патологии алкогольного генеза (длительное употребления алкоголя), умерших от острого отравления этанолом, отмечались те же изменения, что и в экспериментальной части исследования: явления полнокровия, периваскулярного и интерстициального склероза вплоть до фиброзной трансформации органа с очагами выраженного гиалиноза на фоне склероатрофических изменений сперматогенного эпителия и сустентоцитов, что характерно для морфологической картины истощения яичек (рис. 4).
Рис. 4. Яичко человека (контрольная группа). Отравление этиловым спиртом: 1 ― полнокровные расширенные венулы и вены; 2 ― тестикулосклероз, перидуктальный фиброз. Окрас-ка гематоксилином и эозином, ×100.
В большинстве наблюдений половой эпителий выявлялся очагово, с морфологическими признаками угнетения сперматогенеза, а в ряде случаев вообще не определялся. В канальцах с сохранившимся эпителием обнаруживались сперматоциты, сперматогонии, незначительное число сперматид, а также единичные сперматозоиды, но их количество было значительно снижено по сравнению с данными контроля. Выявлялся диффузный склероз стромы на фоне утолщения мембраны семенных канальцев. Сохранившиеся канальцы были деформированы и резко уменьшены в размерах (табл. 3).
Таблица 3. Данные морфометрии яичек человека (контроль) при алкогольном отравлении
Table 3. Data of the morphometry of the testicles of a person (control) with alcohol poisoning
Серии опытов | DК, мкм | %соед | hЭ, мкм | NS | NL |
Контроль | 283,23±65,19 | 12,70±3,19 | 50,56±6,14 | 20,3±0,1 | 4,8±0,2 |
Эксперимент | 270,43±60,64 | 28,70±21,63* | 40,10±7,21* | 15,4±0,2* | 4,2±0,1* |
Примечание. * р ≤0,05 с контрольной группой исследования.
Note: * Significance with the control group of the study p ≤0.05.
ОБСУЖДЕНИЕ
Сопоставляя результаты опытов по хронической алкогольной интоксикации с особенностями гистоструктуры яичек мужчин, погибших от алкогольной интоксикации, можно проследить как ряд параллелей, так и некоторые отличия. В частности,в экспериментальном материале строма яичек также характеризуется явлениями периваскулярного и интерстициального склероза с очагами выраженного гиалиноза.
Угнетение сперматогенеза встречалось как в секционной, так и экспериментальной части исследования, причём угнетение сперматогенеза в секционном материале было более выраженным.
Гиалиноз сосудов, с нашей точки зрения, является одним из проявлений длительных гемодинамических расстройств, которые вызывает хроническое воздействие алкоголя на железу в частности и на другие органы и системы в целом. Необходимо также учитывать функцию сосудов малого диаметра, поскольку именно они играют главную роль в обеспечении жизнеспособности органа, а малейшие нарушения кровоснабжения семенников могут привести к расстройствам сперматогенеза и различным заболеваниям вследствие нарушения проницаемости гематотестикулярного барьера и изменения температурных условий органа.
Резюме основного результата исследования
В условиях острого эксперимента на алкогольную интоксикацию реагирует строма мужской половой железы, а паренхиматозные элементы в связи с кратковременностью воздействия этанола остаются интактными. Это связано с высокой пластичностью структурных составляющих рыхлой соединительной ткани стромы, причём наиболее подверженными прямому действию этилового спирта и его метаболитов нами определены гемомикрососуды.
Хроническая алкогольная интоксикация в обоих экспериментах проявляется повреждающим эффектом как напрямую, с изменениями стромы и паренхимы яичка, так и опосредованно на вышележащие звенья репродуктивной суперсистемы (гипоталамус и гипофиз), что требует дальнейшего и более глубокого исследования.
Нейротоксические, микроангиопатические и дисэнергетические эффекты этанола тормозят нормальный сперматогенез. В конечном итоге, негативное действие алкоголя, с позиций морфологического анализа, здесь реализуется в виде гипотестикулярных состояний, морфологическими проявлениями синдрома истощения яичка.
Обсуждение основного результата исследования
Изменения, обнаруженные при длительном воздействии алкоголя на яички, во многом схожи с изменениями, выявленными в экспериментальной части исследования: выраженное полнокровие, отёк, диффузное разрастание соединительной ткани, дистрофия сперматогенного эпителия и угнетение сперматогенеза. Морфологические изменения тестикул у людей более выражены: в ряде случаев яички претерпевали фиброзную трансформацию до такой степени, что выявлялись лишь мелкие очаги частично сохранившихся семенных канальцев.
Ограничения исследования
К сожалению, сопоставить результаты электронно-микроскопического исследования экспериментального и секционного материала не представлялось возможным по причине быстро наступающих постмортальных аутолитических процессов в тканях яичка.
ЗАКЛЮЧЕНИЕ
Как в экспериментальном, так и секционном материале динамика морфологических изменений в яичках в ответ на алкогольную интоксикацию однотипна и проявляется выраженными циркуляторными расстройствами с отёком паренхимы и стромы и последующим развитием периваскулярного и интерстициального склероза, а также дистрофическими изменениями в клетках сперматогенного эпителия. Последние прогрессивно нарастают в основных структурных компонентах яичка ― клетках Сертоли и Лейдига, что приводит к частичному или полному угнетению сперматогенеза в условиях морфологической картины истощения и преждевременного «старения» органа.
Более выраженные изменения в паренхиматозно-стромальных элементах яичка человека, в сравнении с экспериментом, вплоть до их рубцовой трансформации обусловлены длительностью и выраженностью алкогольных эксцессов и могут представлять определённый интерес для врачей репродуктологов, андрологов, а также при судебно-экспертной оценке танатогенеза смерти.
ДОПОЛНИТЕЛЬНО
Источник финансирования. Авторы заявляют об отсутствии внешнего финансирования при проведении исследования.
Конфликт интересов. При написании настоящей статьи использованы фрагменты собственного текста диссертации: Уланов В.С. Морфологическая оценка яичек при острой и хронической алкогольной интоксикации (экспериментальное и секционно-морфологическое исследование): Автореф. дис. ... канд. мед.наук. Симферополь, 2019. 18 с. Режим доступа: https://www.dissercat.com/content/morfologicheskaya-otsenka-yaichek-pri-ostroi-ikhronicheskoi-alkogolnoi-intoksikatsii-eksper.
Вклад авторов. Авторы подтверждают соответствие своего авторства международным критериям ICMJE (все авторы внесли существенный вклад в разработку концепции, проведение исследования и подготовку статьи, прочли и одобрили финальную версию перед публикацией). Наибольший вклад распределён следующим образом: В.С. Уланов ― сбор данных, написание черновика рукописи; А.А. Бабанин ― научная редакция рукописи; А.А. Бабанин, В.С. Уланов ― рассмотрение и одобрение окончательного варианта рукописи.
ADDITIONAL INFORMATION
Funding source. This study was not supported by any external sources of funding.
Competing interests. When writing this article, fragments of the dissertation's own text were used: Ulanov V.S. Morphological evaluation of the testicles in acute and chronic alcohol intoxication (experimental and sectional morphological study): Abstract of the thesis. dis. ... cand. medical sciences Simferopol, 2019. 18 p. Access mode: https://www.dissercat.com/content/morfologicheskaya-otsenka-yaichek-pri-ostroi-ikhronicheskoi-alkogolnoi-intoksikatsii-eksper.
Authors’ contribution. All authors made a substantial contribution to the conception of the work, acquisition, analysis, interpretation of data for the work, drafting and revising the work, final approval of the version to be published and agree to be accountable for all aspects of the work. V.S. Ulanov ― data collection, draftig of the manuscript; A.A. Babanin ― critical revition of the manuscript for important intellectual content; V.S. Ulanov, A.A. Babanin ― review and approve the final manuscript.
About the authors
Anatolij A. Babanin
V.I. Vernadsky Crimean Federal University; Medical Academy named after S.I. Georgievsky
Email: anatolij.babanin@inbox.ru
ORCID iD: 0000-0002-8907-6655
SPIN-code: 7045-4281
MD, Dr. Sci. (Med.)
Russian Federation, SimferopolVladimir S. Ulanov
V.I. Vernadsky Crimean Federal University; Medical Academy named after S.I. Georgievsky
Author for correspondence.
Email: ylyan4ik@mail.ru
ORCID iD: 0000-0002-4096-2787
SPIN-code: 9556-7520
MD, Cand. Sci (Med.), Associate Professor
Russian Federation, SimferopolReferences
- Pigolkin JI, Morozov JE, Mamedov VK. Forensic medical diagnostics of acute and chronic alcohol intoxication. Forensic Medical Expertise. 2012;55(1):30–33. (In Russ).
- Pigolkin JI, Dolzhansky OV, Mamsurova TS, Chertovskih AA. Forensic medical diagnostics of chronic alcoholic intoxication based on histological changes in the soft tissues of oral cavity and salivary glands. Forensic Medical Expertise. 2011;54(3):10–12. (In Russ).
- Pigolkin JI, Gasanov AB. Comparative morphological characteristic of immune deficiency in subjects with opioid addiction and chronic alcoholic intoxication. Forensic Medical Expertise. 2010;53(1):26–29. (In Russ).
- Bogomolov DV, Pigolkin JI, Peshkova I, et al. Pathomorphological manifestations of various forms of alcohol disease. Pathology Archive. 2003;65(4):28–32. (In Russ).
- Mima M, Greenwald D, Ohlander S. Environmental toxins and male. Current Urology Reports. 2018;19(7):50. doi: 10.1007/s11934-018-0804-1
- United Nations Office on Drugs and Crime [Internet]. World Drug Report 2020. Available from: https://www.unodc.org/unodc/site-search.html?q=World+Drug+Report+2020. Accessed: 15.12.2022.
- Morozov JE, Porodenko VA, Travenko EN, Gornostaev DV. Morphological markers of liver function in alcohol intoxication. Forensic Medical Expertise. 2019;62(3):37–41. (In Russ).
- Solovev AG. The use of rats in modeling alcohol-related organopathology: method. recommendations. Arkhangelsk: Arkhangelsk State Medical Academy; 1997. 15 р. (In Russ).
Supplementary files








