Possibilities of a fatal damage case complex diagnostics caused by atmospheric electricity - practical observation
- Authors: Karpov D.A.1,2, Terebilov A.N.1, Bezusova I.B.1, Loskutov R.O.1
-
Affiliations:
- Tyumen Regional Bureau of Forensic Medicine
- Tyumen State Medical University
- Issue: Vol 7, No 1 (2021)
- Pages: 51-55
- Section: Case reports
- Submitted: 30.10.2020
- Accepted: 15.01.2021
- Published: 02.04.2021
- URL: https://for-medex.ru/jour/article/view/345
- DOI: https://doi.org/10.17816/fm345
- ID: 345
Cite item
Full Text
Abstract
Background: A lightning strike causes macro- and micromorphological changes in the human body as a whole due to a combination of several damaging factors. Clinical case: Using an example from the forensic medical expert practice demonstrating the possibilities of a comprehensive approach (autopsy, biochemical, histological, and medico-forensic investigations) to the diagnosis of trauma arising from atmospheric electricity exposure. Conclusion: Complex assessment based on a wide range of laboratory studies made it possible to diagnose at a qualitatively new level, reasonably reconstruct circumstances of the injury that occurred in conditions of nonobviousness, and constructively solve a wider range of issues in the interests of the investigating authorities and court.
Full Text
ОБОСНОВАНИЕ
Актуальность
Смертельное поражение атмосферным электричеством не так часто встречается в судебно-медицинской практике, в основном происходит поражение техническим электричеством при техногенных происшествиях или нарушении техники безопасности. Повреждения электрическим током среди всех случаев травмы составляют в целом 1–2,5%, однако по количеству летальных исходов или инвалидности они занимают одно из первых мест [1, 2].
Согласно общеизвестным данным, техническое электричество влияет на организм человека многофакторно, оказывая биологическое, механическое, тепловое и электрохимическое воздействие. Состояние самого организма в момент воздействия электрического тока также имеет большое значение. Факторами, повышающими восприимчивость организма к воздействию электрического тока, являются заболевания сердечно-сосудистой системы, почек, эндокринных желёз, малокровие, детский или пожилой возраст, беременность, а также интоксикация при алкогольном опьянении. Особенно чувствительны к воздействию тока дети [1, 3].
Поражение атмосферным электричеством происходит при действии молнии, представляющей собой искровой электрический разряд силой тока свыше 100 000 ампер и напряжением в несколько миллионов вольт. Основными поражающими факторами являются электрический ток, световая и звуковая энергия, а также ударная волна. Несмотря на незначительную продолжительность явления, ограниченную десятитысячными долями секунды, исключительная величина энергии в момент её действия обусловливает различные телесные повреждения и даже смертельный исход [1, 3, 4].
ПРИМЕР ИЗ ПРАКТИКИ
В нашей практике встретился один из таких случаев с летальным исходом от воздействия атмосферного электричества при стихийном природном явлении, произошедший в 2018 г. с шестилетним ребёнком в одном из районов Тюменской области. Потерпевший С. находился в нескольких километрах от деревни, помогая пастуху при выпасе коров. Во время грозы пастух посадил ребёнка верхом на лошадь (не подкована) и повел её за уздечку. Удар молнии пришёлся в животное с наездником, а идущего рядом пастуха отбросило в сторону. После падения он потерял сознание, а очнувшись, обнаружил трупы мальчика и животного. Длительность пребывания в бессознательном состоянии не помнит. На чепраке (мягкая подстилка) седла с одной стороны был обнаружен сквозной зигзагообразный дефект, которого раньше не было. При осмотре одежды умершего С. на болоньевой куртке, синтетическом трико и трусах обнаружены множественные дефекты материала с неровными опалёнными краями. Материал куртки представлял собой лохмотьями из-за множественных разнонаправленных разрывов, что достаточно характерно для повреждения атмосферным электричеством.
В ходе судебно-медицинской экспертизы трупа при наружном исследовании выявлено следующее. Трупное окоченение резко выражено во всех группах мышц. Волосы на голове, бровях и ресницах опалены и спиралевидно скручены. На правой половине лица, на задней поверхности нижней трети бёдер, в левой подколенной ямке и поясничной области — прерывистые полосовидные или овальные участки кожи с неровными контурами, лишённые эпидермиса, с красно-коричневым плотным ровным дном ниже уровня интактной кожи, нависанием по краям скрученных лоскутов эпидермиса серо-чёрного цвета размером от 0,2×0,3 до 10×11 см, расположенных хаотично, а местами — в виде цепочек. На передней поверхности груди, по средней линии, аналогичный вертикальный участок кожи прерывистой полосовидной формы длиной 30 см, шириной 5–6 см, с желтовато-коричневым западающим дном, который на передней брюшной стенке ниже пупка раздваивается, симметрично продолжаясь вправо и влево на подвздошные и паховые области аналогичными полосами длиной по 15 см, шириной 2–3 см.
При медико-криминалистическом исследовании кожного препарата на задневнутренней поверхности нижней трети левой голени обнаружено округлое поверхностное повреждение диаметром 0,5 см с неровными краями и плотными участками серо-чёрного обугливания кожи до дермы (выходная электрометка). Дно повреждения неровное, зернистое, с фрагментами опалённых и обугленных волос, глубиной 0,1 см.
При внутреннем исследовании мягкие ткани и внутренние органы полнокровные, стояние жидкой крови в крупных сосудах и полостях сердца. Лёгкие на ощупь и на разрезах эмфизематозные, воздушные. По всем поверхностям под плеврой лёгких и эпикарде многочисленные точечные и мелкоочаговые тёмно-красные кровоизлияния. Мышца сердца неравномерного кровенаполнения.
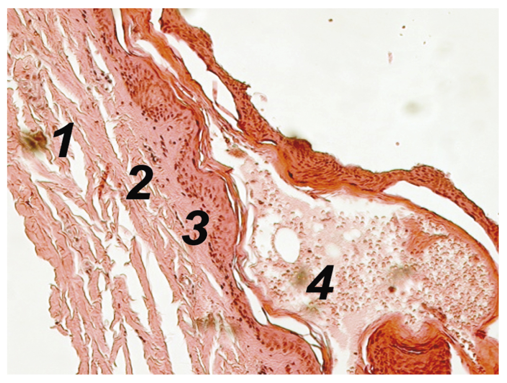
При гистологическом исследовании в препарате «кожа груди с ожогом» ядра клеток эпидермиса нитевидные, гиперхромные, располагаются под углом или параллельно дерме в виде «метёлок» (фигуры Лихтенберга). Сосочковый слой дермы сглажен, её волокна уплотнены, гомогенизированы. В придатках кожи нитевидное вытягивание ядер. Часть артерий спазмирована, вены умеренного кровенаполнения (рис. 1).
Рис. 1. Микропрепарат «кожа груди с ожогом от повреждения атмосферным электричеством»: 1 — гомогенизированные волокна дермы; 2 — сглаженность сосочкового слоя дермы; 3 — переориентация ядер клеток эпидермиса в виде «метёлок»; 4 — расслоение эпидермиса с кровоизлиянием. Окраска гематоксилином и эозином; ув. 5.
Данная морфологическая гистологическая картина, выявленная при исследовании препарата, характерна для поражения электричеством. В остальных препаратах исследуемых внутренних органов отмечаются острое венозное полнокровие; мелкоочаговые кровоизлияния в строме поджелудочной железы, миокарде, головном мозге, лёгких (рис. 2); отёк мягкой мозговой оболочки; стромы сердца и поджелудочной железы, плевры и лёгких, капсул клубочков в почках; спазм артериол и мелких артерий сердца; очаги волнообразной деформации, фрагментации кардиомиоцитов; часть альвеол резко повышенной воздушности, многие из них заполнены отёчной жидкостью; эритростазы в лёгких.
Рис. 2. Микропрепарат «фрагмент респираторной паренхимы лёгкого»: мелкоочаговые кровоизлияния в просветах альвеол в виде скоплений эритроцитов. Окраска гематоксилином и эозином; ув. 5.
Исследование биохимических показателей крови и других биологических сред, как правило, входит в перечень стандартных диагностических процедур при несмертельной электротравме [5], однако сведения об их изменениях в случаях воздействия электрического тока на организм человека, несмотря на частоту встречаемости подобных случаев, весьма немногочисленны в доступной литературе. Именно поэтому в данном случае возможность проведения биохимических исследований в рамках судебно-медицинской экспертизы представляла особый интерес. Полученные результаты приведены в таблице.
Таблица. Биохимические показатели крови, кусочков внутренних органов и мочи потерпевшего С.
Table. Biochemical parameters of blood, pieces of internal organs, and the urine of victims
Определяемые вещества | Результаты | Нормативные показатели |
Глюкоза крови, ммоль/л | 9 | 1–5 |
Гликоген, мг% | В кусочках печени, мышцах левого и правого желудка сердца, скелетной мышце гликоген не обнаружен | Печень — 3061–7314 Скелетная мышца — 361–849 Мышца левого желудочка сердца — 411–630 Мышца правого желудочка сердца — 290–539 |
Продукты деградации фибриногена/фибрина (fibrin degradation products, FDP), мкг/мл | FDP — >40 D-димеры — >4 Растворимые фибрин-мономерные комплексы — не обнаружено | FDP-тест — <20 D-димеры — <2 Растворимые фибрин-мономерные комплексы — 3,38–4 мг% |
Мочевина, ммоль/л | 9 | 12–14 |
Креатинин, мкмоль/л | 28 | 110–200 |
С-реактивный белок, мг/дл | 0,1 | 0–0,500 |
Креатинкиназа МВ-фракция, ед/л | 307 | 0–195 |
Тропонин I, нг/мл | >0,5 | <0,5 |
Альбумин, мг/дл | 5220 | 3800–5400 |
Миоглобин в крови, г/л | 0,016 | 0,0004–0,006 |
Гемоглобин общий, г/л (гематокрит, %) | 220 (80) | 110–140 (31–41) |
Молочная кислота, ммоль/л | 29 | 17 |
Электрическая энергия оказывает воздействие не только в месте контакта, но и на весь организм в целом [1, 3], часто приводит к развитию шоковых реакций и экстремальных состояний, сопровождаемых резким расстройством сердечной деятельности и дыхания, что и наблюдалось в данном случае. Такая реакция относится к разряду болевых, и возникает за счёт резкого раздражения болевых рецепторов, нервных стволов; приводит к судорогам мышц и спазму сосудов (ишемическая боль) [1]. Ток, проходя по сосудам, повреждает их интиму, что является причиной развития тромбозов и кровотечений, нарушений сосудисто-тромбоцитарного гемостаза, свёртывания крови и фибринолиза, ведущих к синдрому диссеминированного внутрисосудистого свёртывания (ДВС-синдрому), нарушениям микроциркуляции, эндотелиальной дисфункции [5, 6]. Наличие большого количества D-димеров (продукты деградации поперечно-сшитого фибрина, активирующие гемостаз и фибринолиз) и других продуктов деградации фибрина и фибриногена свидетельствует о ДВС-синдроме — маркере шокового состояния [7]. Их повышение в сыворотке крови наблюдается примерно через 2 ч от начала активации свёртывающей и противосвёртывающей системы крови.
Основные причины угнетения дыхательной деятельности — нарушение функции дыхательных мышц, непосредственное поражение дыхательного центра. Во время замыкания электрической дуги происходит максимальный выдох, т. к. мощность мускулатуры на выдохе больше, чем на вдохе [1], что и усугубляет течение электротравмы вследствие снижения кислородного резерва в организме. Нарушение дыхания по биохимической «картине» в данном случае налицо — на это указывает высокий уровень молочной кислоты и глюкозы в крови.
Другим характерным признаком воздействия электричества является увеличение уровня глюкозы, обусловленное стрессовой ситуацией, а именно болевым шоком, что и продемонстрировано в приведённом случае.
Обусловленные воздействием на организм электрического тока судорожные сокращения мышц приводят к их надрывам и разрывам [1, 3]. В данном случае выявлено повышение концентрации миоглобина в крови, которое указывает на гибель миоцитов.
Тяжёлое обезвоживание (повышение общего гемоглобина и гематокритной величины крови) является следствием массивной экссудации плазмы через обожжённые поверхности кожи, занимающей не последнее место в этиологии болевого шока.
Исчезновение гликогена в органах и тканях не является специфическим маркером воздействия электрического тока и может быть обусловлено рядом патологий, не имеющих к этому событию прямого или косвенного отношения; может быть следствием гипоксии кардиогенного генеза, которую подтверждают повышенные концентрации тропонина I, миоглобина, молочной кислоты, глюкозы, активность креатинкиназы МВ-фракции в крови, а также вышеописанные морфологические изменения кардиомиоцитов.
Важность биохимического исследования в подобных случаях состоит в дополнении специфической картины травмы и возможности уточнения периода жизни пострадавшего после неё. В данном случае смерть ребёнка наступила не сразу после удара молнии, а примерно 2 ч спустя, о чём свидетельствует наличие продуктов деградации фибрина и фибриногена наряду с отсутствием гликогена в печени, мышце, левом и правом желудочках сердца.
Описанный нами случай наглядно иллюстрирует многофакторность действия электрического тока на организм человека. Термическое воздействие обусловило возникновение обширных ожоговых поверхностей, гомогенизацию и уплотнение волокон дермы, массивную экссудацию плазмы через раневые поверхности, повлёкшее за собой обезвоживание с характерной биохимической картиной. Биологическое воздействие привело к нарушениям внутренних биоэлектрических процессов, вызывало гипоксию, увеличение уровня глюкозы в крови, полное снижение количества гликогена в тканях органов, сердечно-сосудистой недостаточности с повышением уровня специфических кардиомаркеров. Механическое воздействие характеризовалось возникновением разрывов и надрывов внутренних органов и тканей; с биохимической «стороны» на это указывают увеличение уровня миоглобина и усугубление нарушений гомеостаза с развитием ДВС-синдрома. Электрохимическое повреждающее действие на клетки тканей (электролиз) проявилось поляризацией клеточных мембран, нарушением ионного равновесия, деформацией, переориентацией и вытягиванием клеток и их ядер.
На основании вышеизложенных исследований был сделан вывод, что действие атмосферного электричества на ребёнка С. обусловило быстрое наступление смерти и сопровождалось острой дыхательной (высокий уровень молочной кислоты и глюкозы, отёчность альвеол и стромы лёгких) и сердечно-сосудистой (высокий уровень активности креатинкиназы МВ, миоглобина, тропонина I, спазм артериол и мелких артерий сердца; формирование очагов волнообразной деформации и фрагментации кардиомиоцитов) недостаточностью, развитием ДВС-синдрома (наличие в крови продуктов деградации фибрина и фибриногена) и тяжёлым обезвоживанием организма (высокий уровень общего гемоглобина и гематокритной величины крови).
Многофакторный механизм поражения молнией определяет полиорганный характер травмы и требует мультидисциплионарного подхода к диагностике и постановке полного диагноза. Травма атмосферным электричеством характеризуется сочетанием комплекса признаков, состоящим из наружных телесных повреждений, не способных самостоятельно привести к смерти, и выраженных общих признаков быстро наступившей смерти.
ЗАКЛЮЧЕНИЕ
Комплексная макро- и микроморфологическая диагностика с применением широкого спектра лабораторных исследований позволяет значительно детализировать представления о патологических процессах в органах и тканях организма человека. Это позволяет на качественно ином уровне провести постановку диагноза, и аргументированно реконструировать обстоятельства травмы, особенно в условиях неочевидности происшествия, конструктивно решить более широкий спектр вопросов в интересах органов следствия и суда.
Приведённый пример наглядно демонстрирует широкие возможности традиционных и современных методов диагностики, новых для судебно-медицинской экспертной практики, например в таких случаях, как смертельная травма атмосферным электричеством.
About the authors
Dmitry A. Karpov
Tyumen Regional Bureau of Forensic Medicine; Tyumen State Medical University
Author for correspondence.
Email: karpovsme@mail.ru
ORCID iD: 0000-0002-2608-7111
SPIN-code: 3787-7482
Cand. Sci (Med.), Assoc. Prof.
Russian Federation, TyumenAndrey N. Terebilov
Tyumen Regional Bureau of Forensic Medicine
Email: sbho@tobsme72.ru
ORCID iD: 0000-0003-0956-1835
MD
Russian Federation, TyumenIrina B. Bezusova
Tyumen Regional Bureau of Forensic Medicine
Email: yarkovo@tobsme72.ru
ORCID iD: 0000-0002-8687-9145
MD
Russian Federation, TyumenRostislav O. Loskutov
Tyumen Regional Bureau of Forensic Medicine
Email: kammone69@gmail.com
ORCID iD: 0000-0003-4153-0668
MD
Russian Federation, TyumenReferences
- Smolyaninov VM. Forensic medicine: a textbook. 2nd ed., revised and updated. Moscow: Medicine; 1982. P. 206−211. (In Russ).
- Berezutsky VI. Lightning strike. Polytrauma. 2017;(2):70−76. (In Russ).
- Nazarov GN, Nikolenko LP. Forensic investigation of electric shock. Moscow: Folium; 1992. P. 17–102. (In Russ).
- Kryukov VN. Forensic medicine. 2nd ed. Moscow: Norma; 2009. P. 187–194. (In Russ).
- Zhirkova EA, Spiridonova TG, Sachkov AV, Svetlov VK. Electric shock (review of literature). N.V. Sklifosovsky Journal «Emergency Medical Care». 2019;8(4):443–450. (In Russ). doi: 10.23934/2223-9022-2019-8-4-443-450
- Lubin AV, Solov AV, Shapovalov KG. Platelet aggregation and lymphocyte-platelet adhesion in electric shock in the experiment. Far Eastern Medical Journal. 2012;(1):112–115. (In Russ).
- Solov’eva IV. D-dimer: clinical significance for elderly patients. Laboratory service. 2017;6(1):14–22. (In Russ). doi: 10.17116/labs20176114-22
Supplementary files






