COVID-19 pathology: experience of 2000 autopsies
- Authors: Zayratyants O.V.1,2,3, Samsonova M.V.4, Cherniaev A.L.3,4, Mishnev O.D.5, Mikhaleva L.M.3,6, Krupnov N.M.7, Kalinin D.V.8
-
Affiliations:
- «A.I. Evdokimov Moscow State University of Medicine and Dentistry» Ministry of Health of Russian Federation
- The State Budgetary Healthcare Institution of Moscow Area Moscows regional research clinical institute n.a. M.F. Vladimirskiy
- Research Institute of Human Morphology
- Federal State Budgetary Institution «Pulmonology Scientific Research Institute under Federal Medical and Biological Agency of Russsian Federation»
- ФГАОУ ВО «Российский национальный исследовательский медицинский университет имени Н.И. Пирогова» Минздрава России
- City Clinical Hospital No. 31
- State Budgetary Institution «D.I. Mastbaum Forensic Medical Bureau»
- Federal State Budget Scientific Research Center «A.V. Vishnevsky Institute of Surgery» of the Ministry of Health of Russian Federation
- Issue: Vol 6, No 4 (2020)
- Pages: 10-23
- Section: Original study articles
- Submitted: 28.10.2020
- Accepted: 04.12.2020
- Published: 15.12.2020
- URL: https://for-medex.ru/jour/article/view/340
- DOI: https://doi.org/10.19048/fm340
- ID: 340
Cite item
Full Text
Abstract
Background: Pathological anatomy, patogenesis and the morphogenesis of manifestations and complications of COVID-19 remain insufficiently studied. The fullest information on structural bases of organs and tissues alterations by new coronavirus disease can be obtained as a result of autopsies.
Aims: The aim of the study was to study the morphological changes of lungs and other organs of the autopsies of COVID-19 deceased persons. Results of 2000 autopsies of people who died of a severe form of COVID-19 in Moscow, consisting of 1212 men and 788 women, from March 20 to May 22, 2020 (a ratio 1.54:1) aged from 20 to 99 years (on average 68.5±15.63 years) were presented. This experience was previously generalized in the Atlas COVID-19 pathology. Autopsies were made in the converted interstationary pathoanatomical offices at strict observance of rules of biosafety according to standard and legal documents of WHO, Russian Ministry of Health and Rospotrebnadzor.
Results: Morphological changes of lungs with varying severity and extent were detected in all examined cases; however, damage to other organs was also common, which in some cases prevailed over pulmonary changes and was the cause of death. The main morphological changes in lungs were diffuse alveolar damage and microangiopathy, alveolar hemorrhage syndrome, thrombosis, and thromboembolism.
Conclusion: The involvement of the lungs, other organs, and vascular system in the pathological process is a result of multiple factors. It is advisable to implement clinical and morphological «masks» of COVID-19.
Keywords
Full Text
Ключевое сообщение
Что уже известно по предмету исследования?
Патологическая анатомия и патогенез проявлений и осложнений COVID-19 остаются недостаточно изученными. Результаты ограниченного числа аутопсий показали наличие диффузного альвеолярного повреждения лёгких и тромботической микроангиопатии, а также возможность поражения других органов.
Что вносит ваше исследование?
В исследовании представлены итоги 2000 патологоанатомических вскрытий умерших от COVID-19. У всех умерших морфологические изменения были выявлены в лёгких, однако отмечено одновременное поражение других органов и сосудистой системы, которые по своей тяжести в ряде случаев преобладали над лёгочными изменениями и были непосредственной причиной смерти. Основным морфологическим субстратом поражения лёгких является диффузное альвеолярное повреждение в сочетании с вовлечением в патологический процесс сосудистого русла лёгких. Патогенез поражений при COVID-19 носит, по-видимому, многофакторный характер. Целесообразно внедрение в практику понятия о клинических и морфологических «масках» COVID-19.
Обоснование
Актуальность
Всемирная организация здравоохранения (ВОЗ) объявила 11 марта 2020 г. о пандемии новой коронавирусной инфекции, вызванной вирусом SARS-CoV-2.Пандемия стала 11-й в ХХ–ХХI вв. Через месяц, 11 февраля 2020 г., ВОЗ присвоила новой коронавирусной инфекции официальное название COVID-19 (CОronaVIrus Disease 2019), а Международный комитет по таксономии вирусов присвоил официальное название возбудителю этой инфекции — SARS-CoV-2 [1–4]. 20 марта 2020 г. в Москве был зарегистрирован первый летальный исход от COVID-19, осложнившегося сепсисом, у мужчины 88 лет. На момент подготовки статьи в печать (через 5 мес) зарегистрировано уже более 4500 смертей1.
SARS-CoV-2 — это одноцепочечный РНК-содержащий вирус, принадлежащий к семейству Coronaviridae (линии вирусов Beta-CoV B, как SARS-CoV и MERS-CoV, вызывавшие эпидемии с высокой летальностью), диаметром 60–140 нм, с «короной» из «шипов» длиной от 9 до 12 нм [5–8]. Рецепторсвязывающий S-протеин вируса SARS-CoV-2, формирующий его «шипы», отличается высокой афинностью к рецептору ангиотензинпревращающего фермента 2 (АПФ2), которая в 10–20 раз выше, чем, например, у SARS-CoV [5–10]. Для активации S-протеина необходимо наличие в клетках-мишенях трансмембранной сериновой протеазы 2 (ТСП2). Рецептор к АПФ2 и фермент ТСП2 экспрессируют эпителиоциты верхних и нижних респираторных путей, желудочно-кишечного тракта, мочеполовых органов, эндотелий сосудов, Т-лимфоциты, моноциты и макрофаги, а также многие другие клетки разных органов и тканей, включая некоторые отделы центральной нервной системы. Хотя SARS-CoV-2 способен к наиболее активной репликации в клетках дыхательных путей, особенно альвеолоцитах II типа, широкое распространение в тканях рецептора АПФ2 позволяет предположить возможность прямого поражения им многих органов-мишеней, и прежде всего сосудистого русла [5–10].
При тяжёлом течении COVID-19 несомненна роль в альтерации органов и тканей синдрома активации макрофагов (вторичного гемофагоцитарного лимфогистиоцитоза) и нерегулируемого выброса цитокинов и хемокинов (цитокиновый шторм) с нарушением продукции интерлейкинов, функции Т-лимфоцитов, с истощением клеточного иммунного ответа и лимфопенией. Не исключается также развитие вирусиндуцированных аутоиммунных реакций [8–15]. Системное поражение вирусом и цитокиновым штормом эндотелия (микроангиопатия с его повреждением, реже эндотелиит и васкулит) и активация каскада коагуляции при COVID-19 вызывают гиперкоагуляционный синдром c тромбозами и тромбоэмболиями [8, 11, 16–23].
При аутопсии умерших от COVID-19 основные патологические изменения выявлены в лёгких, но нередко отмечают одновременное поражение других органов, которое становится непосредственной причиной смерти, а также сепсис и септический шок при присоединении бактериальной или микотической инфекции [8, 16, 17, 24–33].
Цель исследования — изучить на материале патологоанатомических вскрытий морфологические изменения в лёгких и других органах умерших от COVID-19.
COVID-19: многофакторный патогенез поражений
Патологоанатомические вскрытия производились в перепрофилированных межстационарных патологоанатомических отделениях при строгом соблюдении правил биобезопасности в соответствии с нормативно-правовыми документами ВОЗ, Минздрава России и Роспотребнадзора [17].
Представлены итоги 2000 аутопсий умерших в Москве с 20 марта по 22 мая 2020 г. от тяжёлой формы COVID-19, из них 1212 мужчин и 788 женщин (соотношение 1,54:1) в возрасте от 20 до 99 (в среднем 68,5±15,63; для мужчин — 66,3±14,58, для женщин — 72,1±13,71) лет. Все больные умерли в специализированных перепрофилированных для лечения COVID-19 стационарах; длительность госпитализации составляла от 1 до 26 (в среднем 10,3±4,1) сут, а заболевания до госпитализации — не более 5 сут от появления первых симптомов. У всех умерших в сертифицированных лабораториях были получены положительные результаты прижизненных и посмертных тестов на присутствие РНК SARS-CoV-2, выполненных методом полимеразной цепной реакции; проводилось также бактериологическое исследование аутопсийного материала. Вскрытия производились в сроки не более 1,5 сут после констатации смерти со стандартным гистологическим исследованием разных органов и тканей.
Результаты
Результаты анализа выявили, что среди смертельных осложнений значительно преобладал острый респираторный дистресс-синдром (90%), на втором месте (6%) оказалась тромбоэмболия лёгочной артерии (рис. 1).
Рис. 1. Частота смертельных осложнений (непосредственных причин смерти, в %) у умерших от COVID-19 (n=2000) [18] Примечание. ТЭЛА — тромбоэмболия лёгочной артерии.
Тромботические и тромбоэмболические осложнения, не всегда являвшиеся непосредственной причиной смерти, отмечены у 16,5% умерших, несмотря на проводимую у всех больных антикоагуляционную терапию (рис. 2).
Рис. 2. Частота (абс. цифры и %) тромботических и тромбоэмболических осложнений у умерших от COVID-19 (n=2000) Примечание. Тромбоз коронарных артерий сердца, артерий головного мозга и других органов наблюдался независимо от наличия и тя- жести атеросклероза; тромбоэмболия лёгочной артерии (ТЭЛА) и тромбоз лёгочных артерий представлены вместе в связи с воз- можной ошибкой дифференциальной морфологической диагностики [18]. ДВС — диссеминированное внутрисосудистое свёртывание.
Среди коморбидных заболеваний обращала на себя внимание высокая частота гипертонической болезни (59%), сахарного диабета (21,9%) и ожирения (19,3%, из них 4 случая синдрома Пиквика), что значительно превышает эти показатели при вскрытиях умерших от других заболеваний [17] (рис. 3).
Рис. 3. Коморбидные заболевания (абс. число) у умерших от COVID-19 (n=2000) Примечание. Сахарный диабет (СД) представлен 5 наблюдениями заболевания 1-го типа и 433 — 2-го типа [18]. ХИБС — хроническая ишемическая болезнь сердца, ХОБЛ — хроническая обструктивная болезнь лёгких, ДПК — двенадцатиперстная кишка, СКВ — систем- ная красная волчанка, ВИЧ — инфекция, вызванная вирусом иммунодефицита человека.
На аутопсиях у всех умерших от COVID-19 патологические изменения разной степени тяжести и распространённости были выявлены в лёгких, однако отмечалось одновременное поражение других органов, которое в отдельных наблюдениях по своей тяжести преобладало и становилось непосредственной причиной смерти.
Присоединение бактериальной (или, редко, микотической) инфекции в виде вирусно-бактериальной и микотической (клебсиелла, стафилококки, кандида и др.) пневмонии, а также сепсиса и септического шока было характерно преимущественно у больных, длительно (более недели) находившихся на искусственной вентиляции лёгких (ИВЛ). У таких больных нередко выявлялись также антибиотикассоциированный колит и ИВЛ-ассоциированная бактериальная пневмония. Частота бактериальной или микотической суперинфекции составила в целом 37% (746 из 2000 аутопсий), что несколько выше значений, характерных, например, для гриппа А/H1N1 (около 30%) [34–36].
Исследование показало, что основным морфологическим субстратом поражения лёгких является диффузное альвеолярное повреждение (ДАП) с вовлечением в патологический процесс сосудистого русла лёгких. Термин «вирусной (интерстициальной) пневмонии», широко используемый в клинике, по сути своей, отражает именно развитие ДАП [34–36], а при COVID-19 должен подразумевать ещё и патологию сосудов лёгких — микроангиопатию с повреждением эндотелия, в отдельных наблюдениях — эндотелиит и васкулит с тромбозами сосудов разного калибра, а также с тромбоэмболией лёгочной артерии и инфарктами лёгких. В свою очередь, тяжёлое ДАП является синонимом клинического понятия острого респираторного дистресс-синдрома. В патологоанатомической практике для макроскопического обозначения этих изменений лёгких, которые также наблюдаются при различных тяжёлых травмах, шоке любой этиологии, применяется термин «шоковое лёгкое» [34–36], что не совсем корректно для COVID-19, так как не подразумевает поражения сосудистого русла.
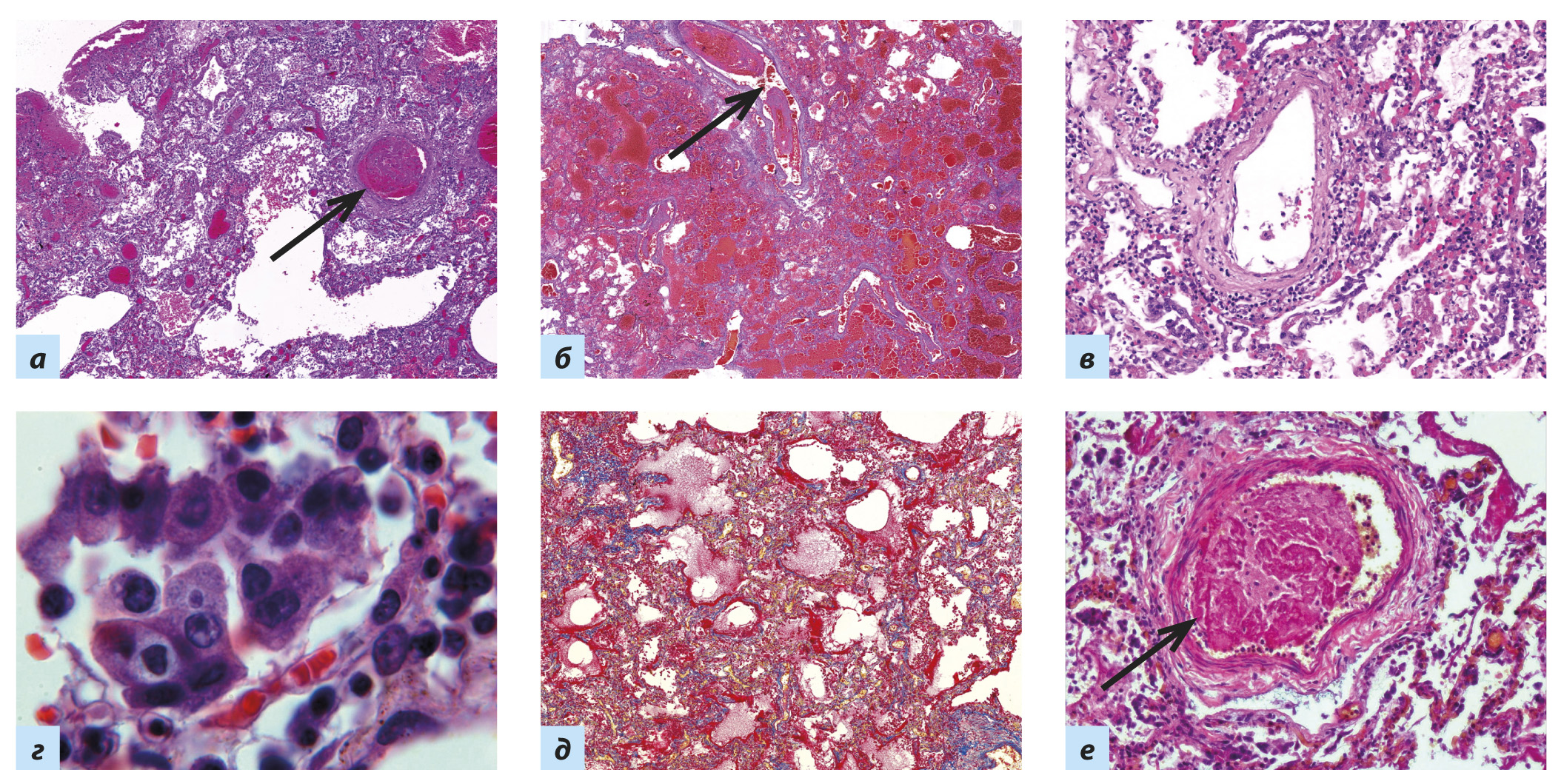
На аутопсии лёгкие увеличены в объёме и массе, причём характерно преимущественное поражение заднебазальных отделов. Изменения лёгких макроскопически соответствуют понятию «шоковое лёгкое». Ткань лёгких диффузно уплотнена, практически безвоздушна, на поверхности красного или тёмно-вишнёвого цвета, типичного «лакового» вида, на разрезе — с участками ателектазов, обширных кровоизлияний и нередко различной величины геморрагическими инфарктами. Характерны множественные пристеночные и обтурирующие тромбы ветвей лёгочных артерий и вен разного калибра, причём в отдельных случаях тромбоз лёгочных артерий распространялся на правые отделы сердца (рис. 4).
Рис. 4. Диффузное альвеолярное повреждение, экссудативная стадия: a — ткань лёгких диффузно уплотнена и практически безвоз- душна, на поверхности красного цвета, характерного «лакового» вида, с кровоизлияниями под плеврой; б, в — на разрезе красного и тёмно-вишнёвого цвета, с участками ателектазов, сливными кровоизлияниями и геморрагическими инфарктами; множественные пристеночные и обтурирующие тромбы ветвей лёгочных артерий и вен разного калибра (стрелки); г — тромбоэмбол в лёгочной артерии (стрелка)
Тромбы ветвей лёгочной артерии следует дифференцировать с тромбоэмболами, источником которых являются глубокие вены нижних конечностей, реже — вены малого таза или правые отделы сердца.
На плевре выявляются наложения фибрина (очаговый и распространённый фибринозный плеврит с незначительным выпотом в плевральных полостях). При присоединении бактериальной суперинфекции развивается фибринозно-гнойный плеврит. Встречается спонтанный пневмоторакс, причём нередко у больных, не находившихся на ИВЛ.
Рис. 5. Диффузное альвеолярное повреждение, экссудативная стадия: a, б — интраальвеолярный отёк с примесью эритроцитов, мо- нонуклеарных лейкоцитов и нейтрофилов, фибрина; кровоизлияния (альвеолярно-геморрагический синдром), гиалиновые мембраны, выраженное полнокровие сосудов со сладжами эритроцитов и тромбами (стрелки); в — мононуклеарная с примесью нейтрофилов инфильтрация межальвеолярных перегородок, периваскулярной ткани, стенок сосудов с альтерацией эндотелия; г — вирусассоци- ированный цитопатический эффект: десквамированные в просвет альвеолы, крупные, уродливой формы альвеолоциты II типа и их симпласты с внутриплазматическими включениями; д — гиалиновые мембраны по контуру альвеол и респираторных бронхиол (красного цвета); е — фибриновый тромб (стрелка) в просвете сосуда с признаками эндотелиита Примечание. Окраска гематоксилином и эозином (a–г, е), MSB по Лёндруму (д); a, б, е — ×60, д — ×120, в — ×250, г — ×1000.
Гистологически изменения лёгких близки к двум классическим фазам ДАП [34–36]. Для экссудативной (первой, ранней) фазы (первые 14 сут и более от начала заболевания) характерны следующие изменения (рис. 5): прежде всего, интраальвеолярный отёк с примесью в отёчной жидкости слущенных альвеолоцитов, а также эритроцитов, лимфоцитов, моноцитов и макрофагов, нейтрофилов; гиалиновые мембраны (разной толщины и распространённости, продолжающиеся вплоть до внутренней поверхности бронхиол); десквамация альвеолярного (в виде отдельных клеток и их пластов) и бронхиолярного эпителия; появление крупных, неправильной формы альвеолоцитов II типа с увеличенными ядрами с грубозернистым хроматином и отчётливыми ядрышками (в некоторых из них вокруг ядра видно гало, а в цитоплазме — округлые базофильные или эозинофильные включения, характерные для вирусного повреждения клеток); пролиферация альвеолоцитов II типа, образование их симпластов. Важным проявлением ДАП при COVID-19 являются перибронхиальная и периваскулярная мононуклеарная инфильтрация межальвеолярных перегородок, выраженное полнокровие капилляров межальвеолярных перегородок, ветвей лёгочных артерий и вен со сладжами эритроцитов, свежими фибриновыми и организующимися тромбами. Нередко выявляется микроангиопатия в виде повреждения эндотелия (эндотелиит), а в отдельных случаях — деструктивно-продуктивного тромбоваскулита. Наблюдаются периваскулярные, внутрибронхиальные, внутрибронхиолярные и интраальвеолярные кровоизлияния (являющиеся субстратом для кровохарканья); выраженный альвеолярно-геморрагический синдром, характерный для большинства наблюдений, вплоть до формирования фактически геморрагических инфарктов (хотя и истинные геморрагические инфаркты нередки). Выявляются мегакариоциты типичного строения в капиллярах межальвеолярных перегородок (мегакариоцитарная эмболия), что характерно для шоковых лёгких любой этиологии, в том числе и для септического шока.
Пролиферативная (вторая, поздняя) фаза ДАП (после 7–14-х сут и более от начала болезни) характеризуется тем, что в просветах альвеол накапливается фибрин разной степени зрелости; в части альвеол определяются полиповидные разрастания грануляционной ткани; выявляются сливные поля облитерирущего бронхиолита и организующейся пневмонии или участки рыхлого фиброза с щелевидными структурами и сохранившимися альвеолами, выстланными метаплазированным плоским эпителием. В части наблюдений обнаружено выраженное интерстициальное воспаление с утолщением и отёком межальвеолярных перегородок, отёком и миксоматозом периваскулярной стромы. Нередко прогрессируют микроангиопатия (редко тромбоваскулит) и тромбоз микроциркуляторного русла, ветвей лёгочных артерий и вен разного калибра, а также неоангиогенез (рис. 6, 7).
Рис. 6. Диффузное альвеолярное повреждение, пролиферативная стадия: a, б — ткань лёгких уплотнена, безвоздушная, серого и красно- коричневого цвета, с сетчатым рисунком серого цвета и субплевральными геморрагическими инфарктами (стрелки)
Рис. 7. Диффузное альвеолярное повреждение, пролиферативная стадия: а — плоскоклеточная метаплазия; a, б — грануляцион- ная ткань, фибрин и эритроциты в просвете альвеол Примечание. Окраска гематоксилином и эозином, а — ×60, б — ×250.
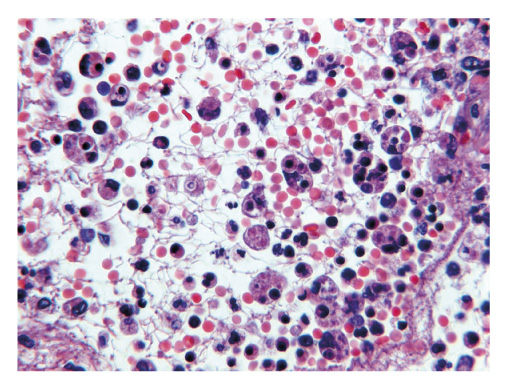
В экссудативную и пролиферативную фазы ДАП в лёгких, как и в лимфоидной ткани, обнаружены признаки синдрома активации макрофагов (вторичного гемофагоцитарного лимфогистиоцитоза): в просветах альвеол выявлялись макрофаги, содержащие в своей цитоплазме фрагменты лимфоцитов и эритроцитов (рис. 8).
Рис. 8. Диффузное альвеолярное повреждение, пролиферативная стадия: феномен цитофагии при синдромеиактивации макрофагов (вторичный лимфогистиоци тоз) Примечание. Окраска гематоксилином и эозином, ×400.
В 37% наблюдений наряду с признаками вирусной пневмонии (причём как в экссудативную, так и пролиферативную стадии ДАП) выявлена бактериальная или микотическая очаговая, сливная или долевая пневмония. В одном наблюдении наряду с экссудативной стадией ДАП была подтверждена аспирационная бронхопневмония.
В более позднюю стадию заболевания в лёгких (чаще в нижних долях) обнаруживаются участки организующейся пневмонии и умеренно выраженные разрастания фиброзной ткани, реканализация ранее тромбированных и новообразование сосудов, а также изменения, характерные для фиброзирующего альвеолита (макроскопически — «сотовое лёгкое» и пневмоцирроз). Описанные выше изменения в ткани лёгких в дальнейшем могут приводить к развитию хронической дыхательной недостаточности, вторичной лёгочной гипертензии и лёгочного сердца [34–36].
В изученных наблюдениях обращали на себя внимание не только выраженность сосудистой патологии лёгких, но и несоответствие классических стадий ДАП длительности заболевания. Так, в части наблюдений изменения лёгких, характерные для ранней экссудативной стадии, обнаружены после 14-х сут от начала заболевания при отсутствии или в сочетании с изменениями, характерными для поздней пролиферативной стадии. Следует также согласиться с выделением трёх стадий поражения лёгких при COVID-19 [37].
Помимо изменений в лёгких, выявлены разной степени выраженности разнообразные поражения других органов и сосудистой системы (включая в отдельных случаях васкулит), патогенез которых пока неясен, но, вероятно, носит сложный многофакторный характер. Среди таких основных факторов — специфическая альтерация, вызванная SARS-CoV-2 или, в части наблюдений, вирусной, бактериальной или микотической суперинфекцией; цитокиновый шторм и, возможно, аутоиммунное повреждение; гипоксия вследствие поражения лёгких; микроангиопатия; гиперкоагуляционный синдром, а также ятрогенное лекарственное повреждение. Кроме того, различные морфологические изменения связаны с коморбидными заболеваниями и их осложнениями, что характерно для COVID-19, летальные исходы от которого в подавляющем большинстве наблюдаются у больных старших возрастных групп.
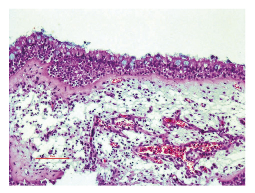
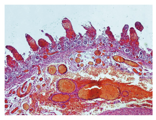
В отличие, например, от гриппа [34–36], для COVID-19 трахеобронхит с яркой воспалительной гиперемией не характерен. В большинстве наблюдений слизистая оболочка бледная, без явных повреждений, с точечными кровоизлияниями при синдроме диссеминированного внутрисосудистого свёртывания. Исключением являются умершие, находившиеся на ИВЛ с развитием бактериальных трахеитов и бронхитов. В слизистой оболочке носа выражены дистрофические, некротические и регенераторные изменения эпителия в сочетании с тяжёлыми микроциркуляторными нарушениями (рис. 9).
Рис. 9. Слизистая оболочка носа (верхний носовой ход): отёк, полнокровие сосудов микроциркуляторного русла, диффузная лимфоидная инфильтрация, дистрофические и пролиферативные изменения эпителия с интраэпителиальной лимфоцитарной инфильтрацией, отёк базальной мембраны Примечание. Окраска гематоксилином и эозином, ×250.
Типично выраженное острое общее венозное полнокровие, у большой части умерших — синдром диссеминированного внутрисосудистого свёртывания с распространённым геморрагическим синдромом, свежие или организующиеся тромбы в просветах артерий и вен разной локализации (помимо лёгких). У отдельных умерших диагностирован сепсис (этиология — различная бактериальная и микотическая смешанная флора), протекавший как с полиорганными гнойными очагами (септикопиемия), так и, чаще, как септицемия и септический шок.
В головном мозге обнаружены диффузные гипоксические и очаговые разной величины ишемические повреждения вплоть до развития ишемических инфарктов (при тромбозах крупных артерий), микроангиопатия с эндотелиитом, тромбоваскулит, диапедезные и сливные кровоизлияния, иногда прогрессирующие до геморрагических инфарктов и, реже, гематом. Полагают, что нарушения проницаемости гематоэнцефалического барьера с поражением головного мозга — результат цитокинового шторма.
В ряде случаев дифференциальная диагностика таких проявлений и осложнений COVID-19 с различными нозологическими единицами из группы цереброваскулярных болезней представляет серьёзную проблему, особенно у коморбидных больных.
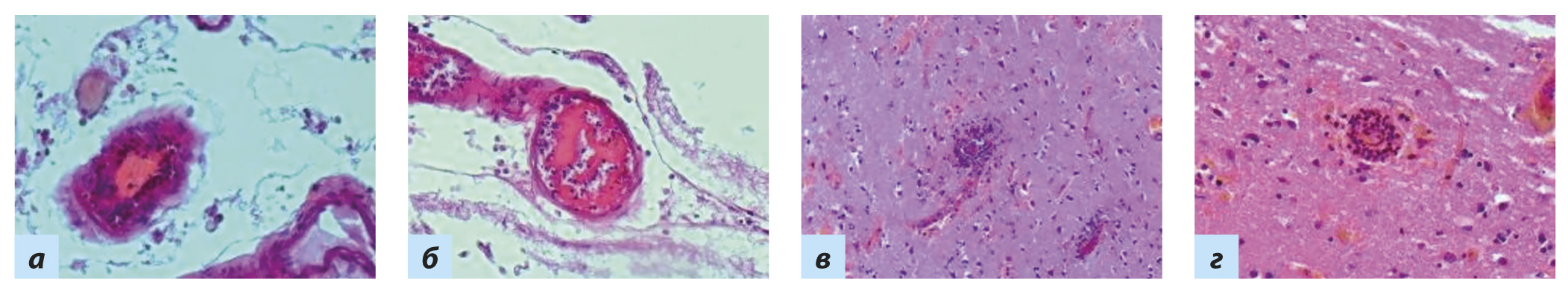
Мононуклеарная периваскулярная инфильтрация и продуктивно-деструктивный тромбоваскулит мягких мозговых оболочек и ткани головного мозга (рис. 10) в отдельных наблюдениях (в случаях без сепсиса) не позволяет исключить возможность развития специфического вирусного энцефалита и менингита.
Рис. 10. Мягкие мозговые оболочки (a, б) и головной мозг (в, г): a, б — тромбоваскулит мягких мозговых оболочек; в, г — тромбоваскулит тканей головного мозга Примечание. Окраска гематоксилином и эозином: a, б — ×250, в — ×60, г — ×120.
Последствия поражения центральной нервной системы при COVID-19, судя по клиническим данным с разнообразной психоневрологической симптоматикой, могут быть достаточно существенными, однако их морфологический субстрат не изучен.
В миокарде также характерны диффузные гипоксические, метаболические, возможно, ассоциированные с SARS-COV-2 и цитокиновым штормом поражения, а также выраженное полнокровие микроциркуляторного русла со сладжами эритроцитов и фибриновыми тромбами, разной величины ишемические повреждения, реже — васкулит, петехиальные и сливные кровоизлияния. При тромбозах коронарных артерий (даже в отсутствии нестабильных атеросклеротических бляшек или вообще атеросклероза) у части умерших развивались мелкоочаговые, реже трансмуральные инфаркты миокарда. Такие инфаркты миокарда важно дифференцировать с инфарктами миокарда 1-го типа при осложнённых нестабильных атеросклеротических бляшках коронарных артерий сердца — самостоятельными нозологическими единицами из группы ишемических болезней сердца.
Межклеточная и периваскулярная мононуклеарная инфильтрация (рис. 11) указывает на возможность развития в редких случаях миокардита различной этиологии, возможно, специфического.
Рис. 11. Миокард: a — диффузная лимфоплазмоклеточная инфильтрация и отёк стромы, деструктивно-продуктивный васкулит, дистрофические изменения и некроз отдельных кардиомиоцитов; б — очаговая, преимущественно периваскулярная лимфомакрофагальная инфильтрация, дистрофические изменения и некроз отдельных кардиомиоцитов, отёк стромы Примечание. Окраска гематоксилином и эозином, ×400.
Описаны некрозы отдельных кардиомиоцитов и их групп без клеточной реакции, вызванные, как полагают, SARS-COV-2 или иммунными нарушениями. Клинически у части больных COVID-19 диагностируют стрессовую кардиомиопатию (синдром такоцубо), которая носит обратимый характер. Появление симптомов патологии сердца или декомпенсация уже имеющейся — нередкое осложнение и последствие COVID-19.
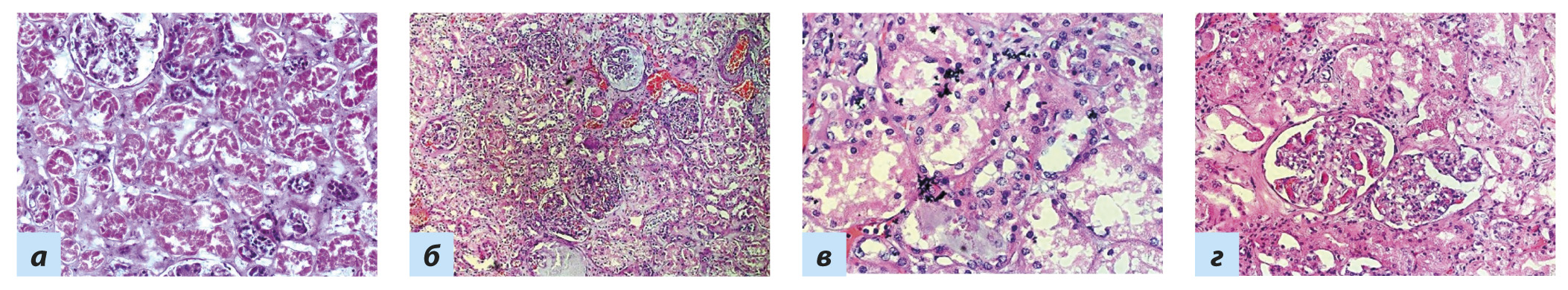
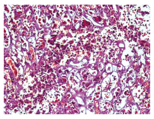
В почках наблюдаются гипоксические, метаболические и ишемические повреждения — субстрат нередко отмечаемого синдрома острой почечной недостаточности с некрозом эпителия извитых канальцев. Однако нельзя исключить специфический характер поражения почек в виде изменения эпителия канальцев почек (с обилием рецепторов АПФ2 и доказанным местом репликации SARS-COV-2), а также вариантов повреждения клубочков по типу формирующегося фокального сегментарного гломерулосклероза (коллабирующей гломерулопатии). Встречаются фибриновые тромбы в капиллярах клубочков и ишемические инфаркты вследствие тромбозов артерий почек разного калибра (рис. 12).
Рис. 12. Почка: a — некроз эпителия извитых канальцев; б — коллабирующая гломерулопатия с выпотом в полость капсулы клубочков; в — вирусное повреждение эпителия извитых канальцев; г — микроангиопатия с тромбами в капиллярах клубочков Примечание. Окраска гематоксилином и эозином, a — ×250, б — ×60, в — ×120, г — ×400.
Как и при анализе патологических изменений других органов, большие трудности представляет собой дифференциальная диагностика этих проявлений и осложнений COVID-19 с различными коморбидными заболеваниями, в частности с хроническим пиелонефритом и вариантами нефросклероза при гипертонической болезни или сахарном диабете.
В печени во всех наблюдениях выявляется выраженная жировая дистрофия, вероятно, гипоксического и метаболического, возможно, и ятрогенного патогенеза. Характерны петехиальные кровоизлияния, в отдельных случаях лимфоидная инфильтрация портальных трактов, сходная с реактивным межуточным гепатитом (помимо наблюдений с сепсисом). В отдельных наблюдениях обнаружены обширные гипоксические некрозы ткани печени вплоть до субтотальных (рис. 13).
Рис. 13. Печень: a — выраженная жировая дистрофия с петехиальными кровоизлияниями; б — обширные гипоксические некрозы
Печёночная недостаточность нередко является тяжёлым осложнением COVID-19, особенно у больных с любой ранее имевшейся её патологией.
В органах иммунной системы выявлен широкий диапазон изменений — от выраженного опустошения, напоминающего изменения при ВИЧ-инфекции на стадии СПИД, до разной степени гиперплазии, преимущественно Т-зависимых зон в сочетании с угнетением В-зависимых зон (лимфоидных фолликулов), зависящий, как и поражения других органов, от длительности болезни, суперинфекции и коморбидных заболеваний, особенностей терапии и др. Как и в лёгких, в краевых синусах лимфатических узлов также обнаружены признаки вторичного лимфогистиоцитоза. Всё это является структурным субстратом сложных иммунных нарушений при COVID-19. Селезёнка макроскопически в разной степени гиперплазирована, полнокровна, с умеренным соскобом на разрезе, встречаются её инфаркты и тромбы в сосудах.
Патология желудочно-кишечного тракта представляет большой интерес в связи с характерными кишечными клиническими проявлениями COVID-19. Однако изучение изменений слизистой оболочки желудочно-кишечного тракта на материале аутопсий затруднено посмертным аутолизом. Выявленные изменения можно охарактеризовать как катаральный и геморрагический энтероколит, а при тромбозах мезентериальных артерий наблюдается гангрена кишки (рис. 14).
Рис. 14. Тонкая кишка, посмертный аутолиз: полнокровие сосудов, сладжи эритроцитов, кровоизлияния, особенно выраженные в ворсинах с их разрушением, отёк собственной пластинки и подслизистого слоя Примечание. Окраска гематоксилином и эозином, ×120.
В органах эндокринной системы выявлялось выраженное полнокровие микроциркуляторного русла с тромбозами, кровоизлияниями вплоть до формирования обширных геморрагических некрозов, в частности гипофиза и надпочечников (рис. 15).
Рис. 15. Аденогипофиз: полнокровие сосудов, кровоизлияния, некроз и дистрофия аденоцитов Примечание. Окраска гематоксилином и эозином, ×250.
Остаётся неясным субстрат и патогенез гипергликемии вплоть до декомпенсации или манифестации сахарного диабета 2-го типа, причём на светооптическом уровне изменения островков Лангерганса не выявляются.
Тромбозы крупных артерий приводят у части больных COVID-19 к гангрене нижних конечностей и даже к редко наблюдаемой в обычной клинической практике гангрене пальцев кистей рук. Изменения кожи отличаются чрезвычайным полиморфизмом и, вероятно, разнообразной этиологией — от геморрагического синдрома до различных высыпаний; гистологически в ряде наблюдений выявлялся капиллярит.
Таким образом, результаты клинико-морфологического анализа летальных исходов показывают, что целесообразно внедрить в практику понятие о клинических и морфологических «масках» COVID-19 по аналогии с классическим определением этого понятия для других заболеваний, например инфекционного эндокардита, — сердечной, мозговой, кишечной, почечной, печёночной, диабетической, тромбоэмболической, септической и кожной.
Заключение
Исследование подводит итоги аутопсийной работы по посмертной диагностике многообразных проявлений и осложнений COVID-19 на материале 2000 вскрытий. Во всех наблюдениях морфологические изменения разной степени тяжести и распространённости были выявлены в лёгких, однако отмечалось одновременное поражение других органов, которое по своей тяжести в ряде случаев преобладало над лёгочными изменениями и было непосредственной причиной смерти. Основным морфологическим субстратом поражения лёгких является ДАП с вовлечением в патологический процесс сосудистого русла лёгких. Патогенез разнообразных поражений многих других органов и сосудистой системы носит, по-видимому, многофакторный характер. Целесообразно внедрение в практику понятия о клинических и морфологических «масках» COVID-19.
Вклад авторов.
Концепция и дизайн исследования: Зайратьянц О. В., Мишнев О. Д., Михалева Л. М. Сбор и обработка материала: Самсонова М. В., Черняев А. Л., Крупнов Н. М., Калинин Д. В. Написание текста: Зайратьянц О. В., Самсонова М. В., Черняев А. Л. Редактирование: Зайратьянц О. В., Самсонова М. В., Черняев А. Л., Мишнев О. Д., Михалева Л. М., Крупнов Н. М., Калинин Д. В.
Выражение признательности.
Авторы выражают благодарность за предоставленные материалы исследований врачам-патологоанатомам патологоанатомических отделений медицинских организаций г. Москвы и их заведующим: д.м.н. Авдаляну А. М. (ГБУЗ ГКБ № 40 ДЗМ); Астаховой О. И. (ГБУЗ ГКБ им. С. И. Спасокукоцкого ДЗМ); к.м.н. Березовскому Ю. С. (ФГБНУ ЦНИИТ МЗ РФ); к.м.н. Варясину В. В. (ГБУЗ ГКБ № 52 ДЗМ); Виноградову С. А. (АО «Группа компаний «МЕДСИ»); д.м.н., доценту кафедры патологической анатомии ФГАО МУ РУДН, с.н.с. лаборатории соединительной ткани ФГБУ НМИЦ травматологии и ортопедии имени Н. Н. Приорова Минздрава России Волкову А. В. (ГБУЗ ГКБ им. Е. О. Мухина ДЗМ); Даабулю А. С. (ГБУЗ ГКБ им. М. Е. Жадкевича ДЗМ); к.м.н. Добрякову А. В. (ГБУЗ ГКБ им. братьев Бахрушиных ДЗМ); Золотенковой Н. В. (ГБУЗ ГКБ № 17 ДЗМ); к.м.н. Келли Е. И. (ГБУЗ ИКБ № 1 ДЗМ); Медникову Г. Н. (ГБУЗ ГКБ № 15 им. О. М. Филатова ДЗМ); к.м.н., доценту Мельченко Д. С. (ЦКБ РАН); к.м.н. Орехову О. О. (ГБУЗ ГКБ № 67 им. Л. А. Ворохобова ДЗМ); Петровой С. Ю. (ГБУЗ ГВВ № 3 ДЗМ); и. о. зав. отделением Тишкевич О. А. (ГБУЗ ИКБ № 2 ДЗМ); Цыганову С. Е. (ГБУЗ ГКБ № 4 ДЗМ).
About the authors
Oleg V. Zayratyants
«A.I. Evdokimov Moscow State University of Medicine and Dentistry» Ministry of Health of Russian Federation; The State Budgetary Healthcare Institution of Moscow Area Moscows regional research clinical institute n.a. M.F. Vladimirskiy; Research Institute of Human Morphology
Author for correspondence.
Email: ovzair@mail.ru
ORCID iD: 0000-0003-3606-3823
Dr. Sci. Med., professor
Russian Federation, 20/1 Delegatskaya street, 127473, Moscow; Moscow; MoscowMaria V. Samsonova
Federal State Budgetary Institution «Pulmonology Scientific Research Institute under Federal Medical and Biological Agency of Russsian Federation»
Email: samary@mail.ru
ORCID iD: 0000-0001-8170-1260
SPIN-code: 9525-9085
Dr. Sci. Med.
Russian Federation, MoscowAndrey L. Cherniaev
Research Institute of Human Morphology; Federal State Budgetary Institution «Pulmonology Scientific Research Institute under Federal Medical and Biological Agency of Russsian Federation»
Email: cheral12@gmail.com
ORCID iD: 0000-0003-0973-9250
Dr. Sci. Med., Professor
Russian Federation, Moscow; MoscowOleko D. Mishnev
ФГАОУ ВО «Российский национальный исследовательский медицинский университет имени Н.И. Пирогова» Минздрава России
Email: mishnevod@gmail.com
ORCID iD: 0000-0002-6466-9147
Dr. Sci. Med., Professor
Russian Federation, МоскваLiudmila M. Mikhaleva
Research Institute of Human Morphology; City Clinical Hospital No. 31
Email: mikhalevalm@yandex.ru
ORCID iD: 0000-0003-2052-914X
SPIN-code: 2086-7513
Dr. Sci. Med., Professor
Russian Federation, Moscow; MoscowNikolai M. Krupnov
State Budgetary Institution «D.I. Mastbaum Forensic Medical Bureau»
Email: Krupatan@yandex.ru
ORCID iD: 0000-0002-5162-1662
SPIN-code: 4814-3226
Cand. Sci. (Med.)
Russian Federation, RyazanDmitry V. Kalinin
Federal State Budget Scientific Research Center «A.V. Vishnevsky Institute of Surgery» of the Ministry of Health of Russian Federation
Email: dmitry.v.kalinin@gmail.com
ORCID iD: 0000-0001-6247-9481
Cand. Sci. (Med.)
Russian Federation, MoscowReferences
- Temporary guidelines: prevention, diagnosis and treatment of new coronavirus infection (COVID-19). Version 7 (03.06.2020). Moscow; 2020. 166 р. (In Russ). Available from: https://static-0.rosminzdrav.ru/system/attachments/attaches/000/050/584/original/03062020_%D0%9CR_COVID-19_v7.pdf
- International guidelines for certification and classification (coding) of COVID-19 as cause of death. Based on ICD International Statistical Classification of Diseases (20 April 2020). WHO/HQ/DDI/DNA/CAT; 2020. Available from: https://www.who.int/classifications/icd/Guidelines_Cause_of_Death_COVID-19-20200420-EN.pdf?ua=1
- Rules of work of pathoanatomical departments in case of coronavirus infection (COVID-19). Pathological anatomy of COVID-19. The provisional guidelines. Version 2 (27.04.2020). Moscow: 2020. 44 р. (In Russ). Available from: http://www.patolog.ru/sites/default/files/metodichka_dz_.pdf
- Nikiforov VV, Suranova TG, Mironov AYu, Zabozlaev FG. New coronavirus infection (COVID-19): etiology, epidemiology, clinic, diagnosis, treatment and prevention. Educational and methodological guide. Moscow; 2020. 48 p. (In Russ).
- Lu R, Zhao X, Li J, et al. Genomic characterization and epidemiology of 2019 novel coronavirus: implications for virus origins and receptor binding. Lancet. 2020;395(10224):565–574. doi: 10.1016/S0140-6736(20)30251-8
- Cao W, Li T. COVID-19: towards understanding of pathogenesis. Cell Res. 2020;30(3):367–369. doi: 10.1038/s41422- 020-0327-4
- Hoffmann M, Kleine-Weber H, Schroeder S, et al. SARS-CoV-2 cell entry depends on ACE2 and TMPRSS2 and is blocked by a clinically proven protease inhibitor. Cell. 2020;181(2):271–280.e8. doi: 10.1016/j.cell.2020.02.052
- Wiersinga WJ, Rhodes A, Cheng AC, et al. Pathophysiology, transmission, diagnosis, and treatment of Coronavirus disease 2019 (COVID-19). A review. JAMA. 2020;324(8):782–793. doi: 10.1001/jama.2020.12839
- Dalan R, Bornstein SR, El-Armouche A, et al. The ACE-2 in COVID-19: Foe or friend? Horm Metab Res. 2020;52(5): 257–263. doi: 10.1055/a-1155-0501
- Wölfel R, Corman VM, Guggemos W, еt al. Virological assessment of hospitalized patients with COVID-2019. Nature. 2020;581(7809):465–469. doi: 10.1038/s41586-020-2196-x
- Zhang Y, Xiao M, Zhang S, et al. Coagulopathy and antiphospholipid antibodies in patients with Covid-19. N Engl J Med. 2020;382(17):e38. doi: 10.1056/NEJMc2007575
- Amdahl M. COVID-19: debunking the hemoglobin story [Internet]. Available from: https:/medium.com/@amdahl/ covid-19debunking-thehemoglobin-story-ce27773d1096
- Barton LM, Duval EJ, Stroberg E, et al. COVID-19 Autopsies, Oklahoma, USA. Am J Clin Pathol. 2020;153(6):725–733. doi: 10.1093/ AJCP/AQAA062
- Wichmann D, Sperhake J, Litgehetmann M, et al. Autopsy findings and venous thromboembolism in patients with COVID-19. Ann Intern Med. 2020;173(4):268–277. doi: 10.7326/M20-2003
- Shoenfeld Y. Corona (COVID-19) time musings: our involvement in COVID-19 pathogenesis, diagnosis, treatment and vaccine planning. Autoimmun Rev. 2020;19(6):102538. doi: 10.1016/j.autrev.2020.102538
- Zayratyants OV, Samsonova MV, Mikhaleva LM, et al. Pathological anatomy of the lungs in COVID-19. Atlas. Ed. by O.V. Zayratyants. Moscow-Ryazan: Ryazanskaya oblastnaya tipografiya; 2020. 52 p. (In Russ).
- Zayratyants OV, Samsonova MV, Mikhaleva LM, et al. Pathological anatomy COVID-19. Atlas. Ed. by O.V. Zayratyants. Moscow; 2020. 140 p. (In Russ).
- Tang N, Li D, Wang X, Sun Z. Abnormal coagulation parameters are associated with poor prognosis in patients with novel coronavirus pneumonia. J Thromb Haemost. 2020;18(4): 844–847. doi: 10.1111/jth.14768
- Zheng M, Gao Y, Wang G, et al. Functional exhaustion of antiviral lymphocytes in COVID-19 patients. Cell Mol Immunol. 2020;17(5):533–535. doi: 10.1038/s41423-020-0402-2
- Qin C, Zhou L, Hu Z, et al. Dysregulation of immune response in patients with Coronavirus 2019 (COVID-19) in Wuhan, China. Clin Infect Dis. 2020;71(15):762–768. doi: 10.1093/ cid/ciaa248
- Lin L, Lu L, Cao W, Li T. Hypothesis for potential pathogenesis of SARS-CoV-2 infection — a review of immune changes in patients with viral pneumonia. Emerg Microbes Infect. 2020;9(1):727–732. doi: 10.1080/22221751.2020.1746199
- O’Donnell R, Tasker RC, Roe MF. SARS: understanding the coronavirus. BMJ. 2003;327(7415):620. doi: 10.1136/bmj.327.7415.620-b
- Varga S, Flammer AJ, Steiger P, et al. Endothelial cell infection and endotheliitis in CoVID-19. Lancet. 2020;395(10234): 1417–1418. doi: 10.1016/S0140-6736(20)30937-5
- Zinserling VА, Vashukova МА, Vasilyeva МV, et al. Issues of pathology of a new coronavirus infection COVID-19. Jurnal Infektologii. 2020;12(2):5–11. (In Russ). doi: 10.22625/ 2072-6732-2020-12-2-5-11
- Society of Pathological Doctors Chinese Medical Doctors Association; Chinese Society of Pathology; Chinese Medical Association. [Provisional guidelines on autopsy practice for deaths associated with COVID-19. (In Chinese.)]. Zhonghua Bing Li Xue Za Zhi. 2020;49(5):406–410. doi: 10.3760/cma.j.cn112151-20200309-00184
- Liu Q, Wang RS, Qu GQ, et al. Gross examination report of a COVID-19 death autopsy. Fa Yi Xue Za Zhi. 2020;36(1):21–23. doi: 10.12116/j.issn.1004-5619.2020.01.005
- Petrosillo N, Viceconte G, Ergonul O, et al. COVID-19, SARS and MERS: are they closely related? Clin Microbiol Infect. 2020;26(6):729–734. doi: 10.1016/j.cmi.2020.03.026
- Yao XH, Li TY, He ZC, et al. [A pathological report of three COVID-19 cases by minimally invasive autopsies. (In Chinese)]. Zhonghua Bing Li Xue Za Zhi. 2020;49(5):411–417. doi: 10.3760/cma.j.cn112151-20200312-00193
- Baig AM, Khalleed A, Ali U, Syeda H. Evidence of COVID-19 virus targeting the CNS: tissue distribution, host-virus interaction, and proposed neurotropic mechanisms. ACS Chem Neurosci. 2020;11(7):995–998. doi: 10.1021/acschemneuro.0c00122
- Chen XB, Du SH, Lu JC, et al. Retrospective analysis of 61 cases of children died of viral pneumonia. Fa Yi Xue Za Zhi. 2020;36(2):164–168. doi: 10.12116/j.issn.1004-5619. 2020.02.002
- Fox SE, Akmatbekov A, Harbert JL, et al. Pulmonary and cardical pathology in African American patients with COVID-19: an autopsy series from New Orlean. Lancet Respir Med. 2020; 8(7):681–686. doi: 10.1016/S2213-2600(20)30243-5
- Su H, Yang M, Wan C, et al. Renal histopathological analysis of 26 postmortem findings of patients with COVID-19 in China. Kidney Int. 2020;98(1):219–227. doi: 10.1016/j.kint.2020.04.003
- Xu Z, Sh L, Wang Y, et al. Pathological findings of COVID-19 associated with acute respiratory distress syndrome. Lancet Respir Med. 2020;8(4):420–422. doi: 10.1016/S2213-2600(20)30076-X
- Zairatyants OV, Chernyaev AL, Chuchalin AG, et al. Pathomorphology of the lung in severe influenza A/H1N1 [Patomorfologiya legkikh pri tyazheloi forme grippa A(H1N1)]. Russian journal of anaesthesiology and reanimatology. 2010;(3): 25–29. (In Russ).
- Chernyaev AL, Zayratyants OV, Polyanko NI, et al. Pathological anatomy of influenza A/H1N1 [Patologicheskaya anatomiya grippa A/H1N1]. Archive of Pathology. 2010;72(3):3–6. (In Russ).
- Chuchalin AG, Chernyaev AL, Zairatyants OV, et al. Pathological anatomy of the lungs in influenza A (H1N1) according to autopsies [Patologicheskaya anatomiya legkikh pri grippe A(H1N1) po dannym autopsii]. Pulmonology. 2010;(1):5–11. (In Russ).
- Zabozlaev FG, Kravchenko EV, Gallyamova AR, Letunovsky NN. Pulmonary pathology of the new coronavirus disease (COVID-19). The preliminary analysis of post-mortem findings. Journal of Clinical Practice. 2020;11(2):21–37. (In Russ). doi: 10.17816/ clinpract34849
Supplementary files


































